JavaScript is disabled in your browser. Please enable JavaScript to view this website.
AB85762

Anti-Thrombospondin 1 antibody

3

(7 Reviews)

|

(78 Publications)

Anti-Thrombospondin 1 antibody (ab85762) is a rabbit polyclonal antibody detecting Thrombospondin 1 in Western Blot, IHC-P, ICC/IF. Suitable for Human.

- Over 60 publications
- Trusted since 2010

View Alternative Names

TSP, TSP1, THBS1, Thrombospondin-1, Glycoprotein G

3 Images
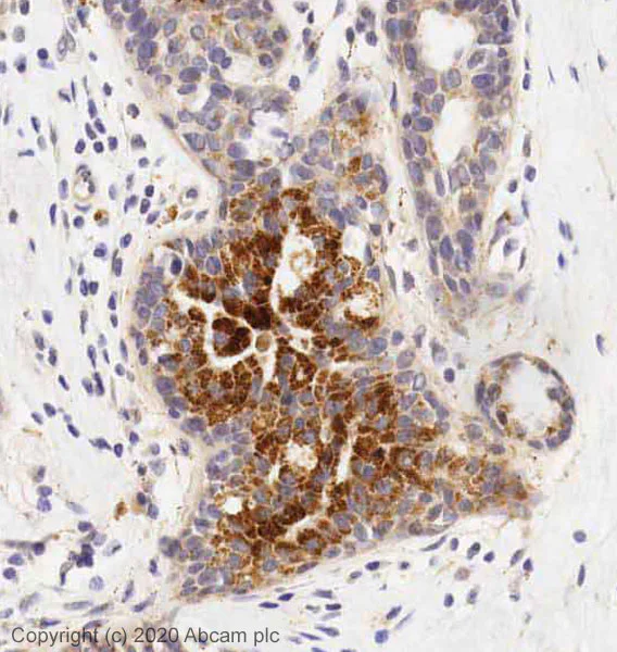
Immunohistochemistry (Formalin/PFA-fixed paraffin-embedded sections) - Anti-Thrombospondin 1 antibody (AB85762)
  • IHC-P

Lab

Immunohistochemistry (Formalin/PFA-fixed paraffin-embedded sections) - Anti-Thrombospondin 1 antibody (AB85762)

IHC image of Thrombospondin 1 antibody staining in a section of formalin-fixed paraffin-embedded human breast ductal carcinoma* tissue performed on a Leica BONDTM system using the standard protocol. The section was pre-treated using heat mediated antigen retrieval with sodium citrate buffer (pH6, epitope retrieval solution 1) for 20mins. The section was then incubated with ab85762, 5ug/ml, for 15 mins at room temperature and detected using an HRP conjugated compact polymer system. DAB was used as the chromogen. The section was then counterstained with haematoxylin and mounted with DPX.

For other IHC staining systems (automated and non-automated) customers should optimize variable parameters such as antigen retrieval conditions, primary antibody concentration and antibody incubation times.

*Tissue obtained from the Human Research Tissue Bank, supported by the NIHR Cambridge Biomedical Research Centre

Immunocytochemistry/ Immunofluorescence - Anti-Thrombospondin 1 antibody (AB85762)
  • ICC/IF

Lab

Immunocytochemistry/ Immunofluorescence - Anti-Thrombospondin 1 antibody (AB85762)

ab85762 staining Thrombospondin-1 in HeLa cells. The cells were fixed with 4% paraformaldehyde (10 min), permeabilized with 0.1% PBS-Triton X-100 for 5 minutes and then blocked with 1% BSA/10% normal goat serum/0.3M glycine in 0.1%PBS-Tween for 1h. The cells were then incubated overnight at 4°C with ab85762 at 1µg/ml and ab7291, Mouse monoclonal [DM1A] to alpha Tubulin - Loading Control. Cells were then incubated with ab150081, Goat polyclonal Secondary Antibody to Rabbit IgG - H&L (Alexa Fluor® 488), pre-adsorbed at 1/1000 dilution (shown in green) and ab150120, Goat polyclonal Secondary Antibody to Mouse IgG - H&L (Alexa Fluor® 594), pre-adsorbed at 1/1000 dilution (shown in pseudocolour red). Nuclear DNA was labelled with DAPI (shown in blue).

Western blot - Anti-Thrombospondin 1 antibody (AB85762)
  • WB

Unknown

Western blot - Anti-Thrombospondin 1 antibody (AB85762)

Human Thrombospondin-1 is predicted to migrate in WB to ~155kDa as it contains a number of potential glycosylation sites; Swiss Prot predicts a protein of 129kDa not taking modifications into account.

All lanes:

Western blot - Anti-Thrombospondin 1 antibody (ab85762) at 1 µg/mL

All lanes:

HUVEC (Human Umbilical Vein Endothelial Cell) Whole Cell Lysate at 10 µg

Secondary

All lanes:

Goat polyclonal to Rabbit IgG - H&L - Pre-Adsorbed (HRP) at 1/3000 dilution

Predicted band size: 129 kDa

Observed band size: 155 kDa

true

Exposure time: 5min

Key facts

Host species

Rabbit

Clonality

Polyclonal

Isotype

IgG

Carrier free

No

Reacts with

Human

Applications

WB, IHC-P, ICC/IF

applications

Immunogen

The exact immunogen used to generate this antibody is proprietary information.

Specificity

Replenishment batches of our polyclonal antibody, ab85762 are tested in WB. Previous batches were additionally validated in ICC/IF and IHC-P. These applications are still expected to work and are covered by our Abpromise guarantee. You may also be interested in our alternative recombinant antibody, ab263905.

Reactivity data

{ "title": "Reactivity Data", "filters": { "stats": ["", "Species", "Dilution Info", "Notes"], "tabs": { "all-applications": {"fullname" : "All Applications", "shortname": "All Applications"}, "IHCP" : {"fullname" : "Immunohistochemistry (Formalin/PFA-fixed paraffin-embedded sections)", "shortname":"IHC-P"}, "WB" : {"fullname" : "Western blot", "shortname":"WB"}, "ICCIF" : {"fullname" : "Immunocytochemistry/ Immunofluorescence", "shortname":"ICC/IF"} }, "product-promise": { "all": "all", "testedAndGuaranteed": "tested", "guaranteed": "expected", "predicted": "predicted", "notRecommended": "not-recommended" } }, "values": { "Human": { "IHCP-species-checked": "testedAndGuaranteed", "IHCP-species-dilution-info": "5 µg/mL", "IHCP-species-notes": "<p></p> Perform heat-mediated antigen retrieval with citrate buffer pH 6 before commencing with IHC staining protocol.", "WB-species-checked": "testedAndGuaranteed", "WB-species-dilution-info": "1 µg/mL", "WB-species-notes": "<p>Human Thrombospondin-1 is predicted to migrate in WB to ~155kDa as it contains a number of potential glycosylation sites; Swiss Prot predicts a protein of 129kDa not taking modifications into account.</p>", "ICCIF-species-checked": "testedAndGuaranteed", "ICCIF-species-dilution-info": "5 µg/mL", "ICCIF-species-notes": "<p></p>" }, "Mouse": { "IHCP-species-checked": "predicted", "IHCP-species-dilution-info": "", "IHCP-species-notes": "", "WB-species-checked": "predicted", "WB-species-dilution-info": "", "WB-species-notes": "", "ICCIF-species-checked": "predicted", "ICCIF-species-dilution-info": "", "ICCIF-species-notes": "" }, "Rat": { "IHCP-species-checked": "predicted", "IHCP-species-dilution-info": "", "IHCP-species-notes": "", "WB-species-checked": "predicted", "WB-species-dilution-info": "", "WB-species-notes": "", "ICCIF-species-checked": "predicted", "ICCIF-species-dilution-info": "", "ICCIF-species-notes": "" }, "Cow": { "IHCP-species-checked": "predicted", "IHCP-species-dilution-info": "", "IHCP-species-notes": "", "WB-species-checked": "predicted", "WB-species-dilution-info": "", "WB-species-notes": "", "ICCIF-species-checked": "predicted", "ICCIF-species-dilution-info": "", "ICCIF-species-notes": "" } } }

Product details

What is this antibody validated in?
Anti-Thrombospondin 1 antibody (ab85762) is a rabbit polyclonal antibody and is validated for use in Western Blot (WB), Immunohistochemistry (IHC-P), Immunocytochemistry/immunofluorescence (ICC/IF) in Human samples.

What is the molecular weight of Thrombospondin 1?
Anti-Thrombospondin 1 (ab85762) specifically detects a band for Thrombospondin 1 (UniProt: P07996) at a molecular weight of 129kDa.

Trusted by the scientific community
Anti-Thrombospondin 1 (ab85762) was first used in a scientific publication in 2010 and has been cited over 60 times in peer-reviewed journals.

Reviewed by scientists
Anti-Thrombospondin 1 (ab85762) has over 5 independent reviews from customers.

Properties and storage information

Form
Liquid
Purification technique
Affinity purification Immunogen
Storage buffer
pH: 7.4 Preservative: 0.02% Sodium azide Constituents: PBS, 1% BSA
Shipped at conditions
Blue Ice
Appropriate short-term storage duration
1-2 weeks
Appropriate short-term storage conditions
+4°C
Appropriate long-term storage conditions
-20°C
Aliquoting information
Upon delivery aliquot
Storage information
Avoid freeze / thaw cycle

Supplementary information

This supplementary information is collated from multiple sources and compiled automatically.

Thrombospondin 1 also known as TSP1 is a multi-functional glycoprotein involved in cellular processes like adhesion migration and tumorigenesis. It has a molecular weight of approximately 450 kDa. TSP1 is produced by multiple cell types including endothelial cells and fibroblasts and it is widely expressed in the extracellular matrix of both normal and tumor tissues. As a member of the thrombospondin family it interacts with cell receptors like integrins and CD36 to mediate its diverse functions.
Biological function summary

TSP1 is significant in modulating angiogenesis immune response and apoptosis. It acts as an anti-angiogenic factor by inhibiting endothelial cell proliferation and migration. TSP1 is a part of a larger complex where it interacts with other matrix proteins and growth factors to fine-tune cellular behavior within tissues. Through its binding domains it inhibits matrix metalloproteinases helping regulate matrix composition and tissue remodeling.

Pathways

TSP1 influences both the TGF-beta and NF-kB signaling pathways. In the TGF-beta pathway TSP1 activates latent TGF-beta contributing to tissue repair and fibrosis processes. It works synergistically with proteins like SMADs in these pathways. In the NF-kB pathway TSP1 modulates immune responses and inflammatory processes. Its interaction with CD36 and integrins in these pathways underlines its versatile role in cellular signaling.

TSP1 has been investigated in cancer progression and cardiovascular diseases. In cancer TSP1's anti-angiogenic properties suppress tumor vascularization which can slow tumor growth. Aberrant TSP1 expression levels have also been linked to atherosclerosis development as it interacts with endothelial cells and inflammatory molecules like TNF-alpha. In both these contexts TSP1 engages with proteins such as integrins and CD36 to exert its influence on disease progression.

Product protocols

For this product, it's our understanding that no specific protocols are required. You can visit:

Target data

Adhesive glycoprotein that mediates cell-to-cell and cell-to-matrix interactions (PubMed : 15014436, PubMed : 18285447, PubMed : 2430973, PubMed : 6489349). Multifunctional, involved in inflammation, angiogenesis, wound healing, reactive oxygen species (ROS) signaling, nitrous oxide (NO) signaling, apoptosis, senescence, aging, cellular self-renewal, stemness, and cardiovascular and metabolic homeostasis (PubMed : 10613822, PubMed : 11134179, PubMed : 1371676, PubMed : 14568985, PubMed : 24511121, PubMed : 29042481, PubMed : 32679764). Negatively modulates dendritic cell activation and cytokine release, as part of an autocrine feedback loop, contributing to the resolution of inflammation and immune homeostasis (PubMed : 14568985). Ligand for receptor CD47 (PubMed : 19004835, PubMed : 8550562). Modulates nitrous oxide (NO) signaling via CD47, hence playing a role as a pressor agent, supporting blood pressure (By similarity). Plays a role in endothelial cell senescence, acting via CD47, by increasing the abundance and activation of NADPH oxidase NOX1, and so generating excess ROS (PubMed : 29042481). Inhibits stem cell self-renewal, acting via CD47 signaling, probably by regulation of the stem cell transcription factors POU5F1/OCT4, SOX2, MYC/c-Myc and KLF4 (By similarity). Negatively modulates wound healing, acting via CD47 (By similarity). Ligand for receptor CD36 (PubMed : 10613822, PubMed : 11134179, PubMed : 1371676). Involved in inducing apoptosis in podocytes in response to elevated free fatty acids, acting via CD36 (By similarity). Plays a role in suppressing angiogenesis, acting, depending on context, via CD36 or CD47 (PubMed : 10613822, PubMed : 11134179, PubMed : 1371676, PubMed : 32679764). Promotes cellular senescence in a TP53-CDKN1A-RB1 signaling-dependent manner (PubMed : 29042481). Ligand for immunoglobulin-like cell surface receptor SIRPA (PubMed : 24511121). Involved in ROS signaling in non-phagocytic cells, stimulating NADPH oxidase-derived ROS production, acting via interaction with SIRPA (PubMed : 24511121). Plays a role in metabolic dysfunction in diet-induced obesity, perhaps acting by exacerbating adipose inflammatory activity; its effects may be mediated, at least in part, through enhanced adipocyte proliferation (By similarity). Plays a role in ER stress response, via its interaction with the activating transcription factor 6 alpha (ATF6) which produces adaptive ER stress response factors (By similarity). May be involved in age-related conditions, including metabolic dysregulation, during normal aging (PubMed : 29042481, PubMed : 32679764).
See full target information THBS1

Publications (78)

Recent publications for all applications. Explore the full list and refine your search

Communications biology 8:1430 PubMed41053513

2025

Hypomethylation of thrombospondin-1 promoter region is associated with reduced aqueous humor flow.

Applications

Unspecified application

Species

Unspecified reactive species

Kit Ying Choy,Wei-Ying Yang,Choi-Ying Ling,King-Kit Li,Hoi Lam Li,Hong-Lok Lung,Chi-Ho To,Chi Wai Do,W Daniel Stamer,Samantha Sze-Wan Shan

Haematologica 110:2792-2798 PubMed40468949

2025

Characterization of a novel mutation in a family with thrombocytopenia and other congenital malformations.

Applications

Unspecified application

Species

Unspecified reactive species

Daniele Ammeti,Serena Barozzi,Alessandro Pecci,Melania Eva Zanchetta,Edward Cesnik,Alessandra Ferlini,Mariabeatrice Sanchini,Laura Verga,Valeria Bozzi,Fabio Corsolini,Michela Faleschini,Anna Savoia,Stefania Bigoni

Nature communications 16:4770 PubMed40404658

2025

Glioma-neuronal circuit remodeling induces regional immunosuppression.

Applications

Unspecified application

Species

Unspecified reactive species

Takahide Nejo,Saritha Krishna,Akane Yamamichi,Senthilnath Lakshmanachetty,Christian Jimenez,Kevin Y Lee,Donovan L Baker,Jacob S Young,Tiffany Chen,Su Su Sabai Phyu,Lan Phung,Marco Gallus,Gabriella C Maldonado,Kaori Okada,Hirokazu Ogino,Payal B Watchmaker,David Diebold,Abrar Choudhury,Andy G S Daniel,Cathryn R Cadwell,David R Raleigh,Shawn L Hervey-Jumper,Hideho Okada

iScience 28:111952 PubMed40060904

2025

Blockade of TSP-1/CD47 signal axis promotes donor hematopoietic engraftment by improving SEC/MK niche function.

Applications

Unspecified application

Species

Unspecified reactive species

Feng Wang,Yan-Hou Liu,Ting Zhang,Xintong Hou,Yanbao Xin,Guang-Yao Xie,Wen-Jie Zhao,Xue Wang,Tianmeng Sun,Zheng Hu,Yong-Guang Yang

Nature cardiovascular research 3:951-969 PubMed39155965

2024

Endothelial LATS2 is a suppressor of bone marrow fibrosis.

Applications

Unspecified application

Species

Unspecified reactive species

Kishor K Sivaraj,Paul-Georg Majev,Backialakshmi Dharmalingam,Silke Schröder,Bella Banjanin,Martin Stehling,Dagmar Zeuschner,Alfred Nordheim,Rebekka K Schneider,Ralf H Adams

Inflammatory bowel diseases 31:151-168 PubMed39102823

2024

Resolving Resident Colonic Muscularis Macrophage Diversity and Plasticity During Colitis.

Applications

Unspecified application

Species

Unspecified reactive species

Kensuke Ohishi,David Dora,Christopher Y Han,Richard A Guyer,Takahiro Ohkura,Simon Kazimierczyk,Nicole Picard,Abigail R Leavitt,Leah C Ott,Ahmed A Rahman,Jessica L Mueller,Nahum Y Shpigel,Nitya Jain,Nandor Nagy,Ryo Hotta,Allan M Goldstein,Rhian Stavely

JACC. Basic to translational science 9:607-627 PubMed38984053

2024

Thrombospondin-1 Drives Cardiac Remodeling in Chronic Kidney Disease.

Applications

Unspecified application

Species

Unspecified reactive species

Sohel M Julovi,Katie Trinh,Harry Robertson,Cuicui Xu,Nikita Minhas,Seethalakshmi Viswanathan,Ellis Patrick,John D Horowitz,Daniel N Meijles,Natasha M Rogers

The Journal of biological chemistry 300:107516 PubMed38960036

2024

Role of TSP-1 and its receptor ITGB3 in the renal tubulointerstitial injury of focal segmental glomerulosclerosis.

Applications

Unspecified application

Species

Unspecified reactive species

Yun Fan,Shihui Dong,Yuanyuan Xia,Xue Yang,Qunjuan Lei,Feng Xu,Dandan Liang,Shaoshan Liang,Mingchao Zhang,Fan Yang,Yan Jing,Lijuan Li,Xiaodong Zhu,Hao Bao,Zhaohong Chen,Caihong Zeng

iScience 27:109708 PubMed38706856

2024

Positive and negative feedback regulation of the TGF-β1 explains two equilibrium states in skin aging.

Applications

Unspecified application

Species

Unspecified reactive species

Masatoshi Haga,Keita Iida,Mariko Okada

iScience 27:109219 PubMed38469561

2024

Cardiomyocyte-fibroblast interaction regulates ferroptosis and fibrosis after myocardial injury.

Applications

Unspecified application

Species

Unspecified reactive species

Mary E Mohr,Shuang Li,Allison M Trouten,Rebecca A Stairley,Patrick L Roddy,Chun Liu,Min Zhang,Henry M Sucov,Ge Tao
View all publications

Product promise

We are committed to supporting your work with high-quality reagents, and we're here for you every step of the way. In the unlikely event that one of our products does not perform as expected, you're protected by our Product Promise.
For full details, please see our Terms & Conditions

Please note: All products are 'FOR RESEARCH USE ONLY. NOT FOR USE IN DIAGNOSTIC OR THERAPEUTIC PROCEDURES'.

For licensing inquiries, please contact partnerships@abcam.com