JavaScript is disabled in your browser. Please enable JavaScript to view this website.
AB263905

Anti-Thrombospondin 1 antibody [EPR22928-10]

Be the first to review this product! Submit a review

|

(3 Publications)

Rabbit Recombinant Monoclonal Thrombospondin 1 antibody. Suitable for IP, WB, IHC-Fr, IHC-P and reacts with Mouse, Rat, Human samples. Cited in 3 publications.

View Alternative Names

TSP, TSP1, THBS1, Thrombospondin-1, Glycoprotein G

6 Images
Immunohistochemistry (Formalin/PFA-fixed paraffin-embedded sections) - Anti-Thrombospondin 1 antibody [EPR22928-10] (AB263905)
  • IHC-P

Unknown

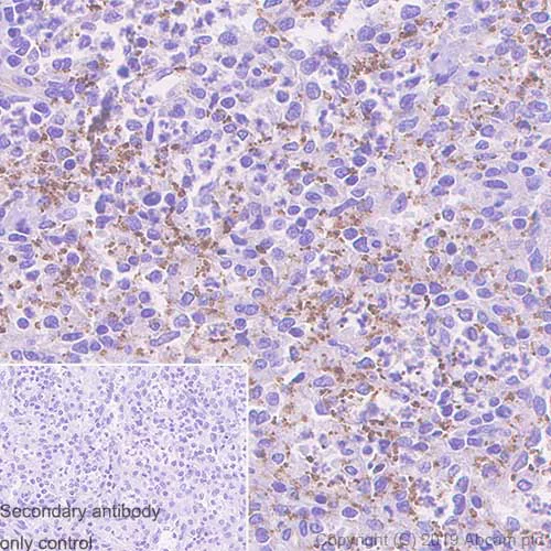
Immunohistochemistry (Formalin/PFA-fixed paraffin-embedded sections) - Anti-Thrombospondin 1 antibody [EPR22928-10] (AB263905)

Immunohistochemical analysis of paraffin-embedded human bone marrow tissue labeling Thrombospondin 1 with ab263905 at 1/5000 dilution followed by a ready to use Goat Anti-Rabbit IgG H&L (HRP Polymer). Positive staining on the megakaryocytes in the human bone marrow (PMID : 28239144). The section was incubated with ab263905 for 15 mins at room temperature. The immunostaining staining was performed on a Leica Biosystems BOND® RX instrument. Counterstained with hematoxylin.

Secondary antibody only control : Secondary antibody is a ready to use Goat Anti-Rabbit IgG H&L (HRP Polymer).

Heat mediated antigen retrieval with Tris-EDTA buffer (pH 9.0, epitope retrieval solution 2) for 20 mins.

This data was developed using the same antibody clone in a different buffer formulation containing PBS, BSA, glycerol, and sodium azide (ab263905).

Immunohistochemistry (Formalin/PFA-fixed paraffin-embedded sections) - Anti-Thrombospondin 1 antibody [EPR22928-10] (AB263905)
  • IHC-P

Supplier Data

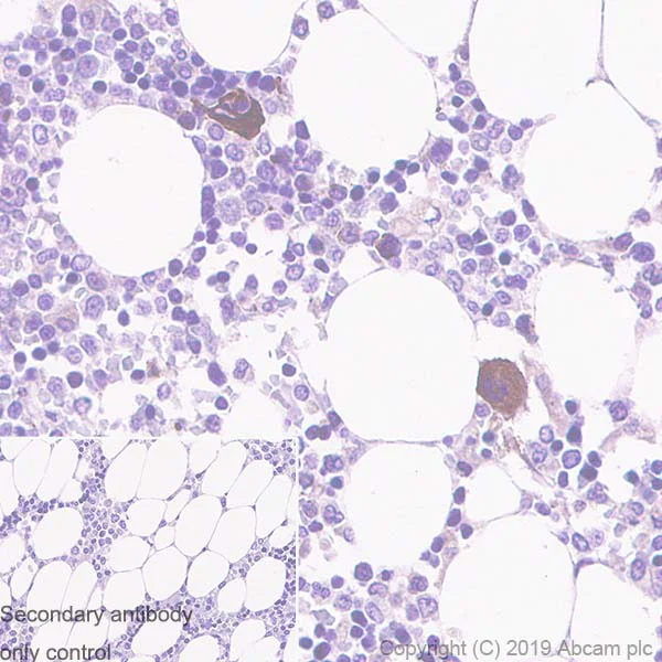
Immunohistochemistry (Formalin/PFA-fixed paraffin-embedded sections) - Anti-Thrombospondin 1 antibody [EPR22928-10] (AB263905)

Immunohistochemical analysis of paraffin-embedded human spleen tissue labeling Thrombospondin 1 with ab263905 at 1/5000 dilution followed by a ready to use Goat Anti-Rabbit IgG H&L (HRP Polymer). Positive staining on the platelets in the human spleen (PMID : 28239144). The section was incubated with ab263905 for 15 mins at room temperature. The immunostaining staining was performed on a Leica Biosystems BOND® RX instrument. Counterstained with hematoxylin.

Secondary antibody only control : Secondary antibody is a ready to use Goat Anti-Rabbit IgG H&L (HRP Polymer).

Heat mediated antigen retrieval with Tris-EDTA buffer (pH 9.0, epitope retrieval solution 2) for 20 mins.

This data was developed using the same antibody clone in a different buffer formulation containing PBS, BSA, glycerol, and sodium azide (ab263905).

Western blot - Anti-Thrombospondin 1 antibody [EPR22928-10] (AB263905)
  • WB

Lab

Western blot - Anti-Thrombospondin 1 antibody [EPR22928-10] (AB263905)

Blocking and diluting buffer and concentration : 5% NFDM/TBST.

TSP 1 is a serum-responsive gene. Its express is elevated in quiescent 3T3 with serum addition.

The molecular weight observed is consistent with what has been described in the literature (PMID : 8422970, 27588705).

Exposure time : 3 minutes.

All lanes:

Western blot - Anti-Thrombospondin 1 antibody [EPR22928-10] (ab263905) at 1/1000 dilution

Lane 1:

3T3-L1 (mouse embryonic fibroblast) starved with 0.4% serum for 30 hours whole cell lysate at 10 µg

Lane 2:

3T3-L1 starved with 0.4% serum for 24 hours, then cultivated with 15% serum for 6 hours. whole cell lysate at 10 µg

Secondary

All lanes:

Western blot - Goat Anti-Rabbit IgG H&L (HRP) (<a href='/en-us/products/secondary-antibodies/goat-rabbit-igg-h-l-hrp-ab97051'>ab97051</a>) at 1/25000 dilution

Predicted band size: 129 kDa

Observed band size: 180 kDa

false

Immunoprecipitation - Anti-Thrombospondin 1 antibody [EPR22928-10] (AB263905)
  • IP

Unknown

Immunoprecipitation - Anti-Thrombospondin 1 antibody [EPR22928-10] (AB263905)

Thrombospondin 1 was immunoprecipitated from 0.35 mg Mouse platelet lysate 10ug with ab263905 at 1/30 dilution (2ug in 0.35mg lysates). Western blot was performed on the immunoprecipitate using ab263905 at 1/1000 dilution. VeriBlot for IP Detection Reagent (HRP) (ab131366) was used at 1/5000 dilution. Lane 1 : Mouse platelet lysate 10ug

Lane 2 : ab263905 IP in Mouse platelet lysate

Lane 3 : Rabbit monoclonal IgG (ab172730) instead of ab263905 in Mouse platelet lysate

Blocking and dilution buffer and concentration : 5% NFDM/TBST.

Exposure time : 3 min

This data was developed using the same antibody clone in a different buffer formulation containing PBS, BSA, glycerol, and sodium azide (ab263905).

All lanes:

Immunoprecipitation - Anti-Thrombospondin 1 antibody [EPR22928-10] (ab263905)

Predicted band size: 129 kDa

false

Western blot - Anti-Thrombospondin 1 antibody [EPR22928-10] (AB263905)
  • WB

Supplier Data

Western blot - Anti-Thrombospondin 1 antibody [EPR22928-10] (AB263905)

Blocking/Dilution buffer : 5% NFDM/TBST.

The molecular weight observed is consistent with what has been described in the literature (PMID : 27588705).

Exposure time : 1 second.

Observed MW : 180 kDa.

All lanes:

Western blot - Anti-Thrombospondin 1 antibody [EPR22928-10] (ab263905) at 1/1000 dilution

All lanes:

Mouse platelet lysate at 20 µg

Secondary

All lanes:

Western blot - Goat Anti-Rabbit IgG H&L (HRP) (<a href='/en-us/products/secondary-antibodies/goat-rabbit-igg-h-l-hrp-ab97051'>ab97051</a>) at 1/25000 dilution

Predicted band size: 129 kDa

false

Western blot - Anti-Thrombospondin 1 antibody [EPR22928-10] (AB263905)
  • WB

Lab

Western blot - Anti-Thrombospondin 1 antibody [EPR22928-10] (AB263905)

Blocking buffer and concentration : 5% NFDM/TBST Diluting buffer and concentration : 5% NFDM/TBST Exposure time : Lane 1 : 59 seconds Lane 2 : 15 seconds The identity of the lower MW bands at approximately 25 kDa is unknown. The bands beneath the target band (~75-180 kDa) are likely to be degraded target fragments.

Lanes 1 - 2:

Western blot - Anti-Thrombospondin 1 antibody [EPR22928-10] - BSA and Azide free (<a href='/en-us/products/primary-antibodies/thrombospondin-1-antibody-epr22928-10-bsa-and-azide-free-ab263952'>ab263952</a>) at 1/1000 dilution

Lanes 1 - 2:

Western blot - Anti-Thrombospondin 1 antibody [EPR22928-10] (ab263905) at 1/1000 dilution

Lane 1:

Mouse platelet whole cell lysate at 20 µg

Lane 2:

Rat platelet whole cell lysate at 20 µg

Secondary

All lanes:

Western blot - Goat Anti-Rabbit IgG H&L (HRP) (<a href='/en-us/products/secondary-antibodies/goat-rabbit-igg-h-l-hrp-ab97051'>ab97051</a>) at 1/100000 dilution

Predicted band size: 129 kDa

Observed band size: 180 kDa

false

Key facts

Host species

Rabbit

Clonality

Monoclonal

Clone number

EPR22928-10

Isotype

IgG

Carrier free

No

Reacts with

Mouse, Rat, Human

Applications

IP, IHC-P, IHC-Fr, WB

applications

Immunogen

The exact immunogen used to generate this antibody is proprietary information.

Reactivity data

{ "title": "Reactivity Data", "filters": { "stats": ["", "Species", "Dilution Info", "Notes"], "tabs": { "all-applications": {"fullname" : "All Applications", "shortname": "All Applications"}, "IP" : {"fullname" : "Immunoprecipitation", "shortname":"IP"}, "FlowCytIntra" : {"fullname" : "Flow Cytometry (Intracellular)", "shortname":"Flow Cyt (Intra)"}, "WB" : {"fullname" : "Western blot", "shortname":"WB"}, "ICCIF" : {"fullname" : "Immunocytochemistry/ Immunofluorescence", "shortname":"ICC/IF"}, "IHCFr" : {"fullname" : "Immunohistochemistry (Frozen sections)", "shortname":"IHC-Fr"}, "IHCP" : {"fullname" : "Immunohistochemistry (Formalin/PFA-fixed paraffin-embedded sections)", "shortname":"IHC-P"} }, "product-promise": { "all": "all", "testedAndGuaranteed": "tested", "guaranteed": "expected", "predicted": "predicted", "notRecommended": "not-recommended" } }, "values": { "Human": { "IP-species-checked": "guaranteed", "IP-species-dilution-info": "", "IP-species-notes": "", "FlowCytIntra-species-checked": "notRecommended", "FlowCytIntra-species-dilution-info": "", "FlowCytIntra-species-notes": "", "WB-species-checked": "guaranteed", "WB-species-dilution-info": "1/1000", "WB-species-notes": "<p></p>", "ICCIF-species-checked": "notRecommended", "ICCIF-species-dilution-info": "1/100", "ICCIF-species-notes": "<p></p>", "IHCFr-species-checked": "guaranteed", "IHCFr-species-dilution-info": "", "IHCFr-species-notes": "", "IHCP-species-checked": "testedAndGuaranteed", "IHCP-species-dilution-info": "1/2000 - 1/5000", "IHCP-species-notes": "<p>Use at 1/5000 for human, 1/2000 for mouse and rat dilution.</p>" }, "Mouse": { "IP-species-checked": "testedAndGuaranteed", "IP-species-dilution-info": "1/30", "IP-species-notes": "<p></p>", "FlowCytIntra-species-checked": "notRecommended", "FlowCytIntra-species-dilution-info": "", "FlowCytIntra-species-notes": "", "WB-species-checked": "testedAndGuaranteed", "WB-species-dilution-info": "1/1000", "WB-species-notes": "<p></p>", "ICCIF-species-checked": "notRecommended", "ICCIF-species-dilution-info": "1/100", "ICCIF-species-notes": "<p></p>", "IHCFr-species-checked": "testedAndGuaranteed", "IHCFr-species-dilution-info": "1/500", "IHCFr-species-notes": "<p>Heat mediated antigen retrieval using sodium citrate buffer (10mM citrate pH 6.0 + 0.05% Tween-20).</p>", "IHCP-species-checked": "testedAndGuaranteed", "IHCP-species-dilution-info": "1/2000 - 1/5000", "IHCP-species-notes": "<p>Use at 1/5000 for human, 1/2000 for mouse and rat dilution.</p>" }, "Rat": { "IP-species-checked": "guaranteed", "IP-species-dilution-info": "", "IP-species-notes": "", "FlowCytIntra-species-checked": "notRecommended", "FlowCytIntra-species-dilution-info": "1/500", "FlowCytIntra-species-notes": "<p></p>", "WB-species-checked": "testedAndGuaranteed", "WB-species-dilution-info": "1/1000", "WB-species-notes": "<p></p>", "ICCIF-species-checked": "notRecommended", "ICCIF-species-dilution-info": "1/100", "ICCIF-species-notes": "<p></p>", "IHCFr-species-checked": "testedAndGuaranteed", "IHCFr-species-dilution-info": "1/500", "IHCFr-species-notes": "<p>Heat mediated antigen retrieval using sodium citrate buffer (10mM citrate pH 6.0 + 0.05% Tween-20).</p>", "IHCP-species-checked": "testedAndGuaranteed", "IHCP-species-dilution-info": "1/2000", "IHCP-species-notes": "<p>Use at 1/5000 for human, 1/2000 for mouse and rat dilution.</p>" } } }

Product details

Patented technology
Our RabMAb® technology is a patented hybridoma-based technology for making rabbit monoclonal antibodies. For details on our patents, please refer to RabMAb® patents.

What are the advantages of a recombinant monoclonal antibody?
This product is a recombinant monoclonal antibody, which offers several advantages including:

  • - High batch-to-batch consistency and reproducibility
  • - Improved sensitivity and specificity
  • - Long-term security of supply
  • - Animal-free batch production

For more information, read more on recombinant antibodies.

Properties and storage information

Form
Liquid
Purification technique
Affinity purification Protein A
Storage buffer
pH: 7.2 - 7.4 Preservative: 0.01% Sodium azide Constituents: PBS, 40% Glycerol (glycerin, glycerine), 0.05% BSA
Shipped at conditions
Blue Ice
Appropriate short-term storage duration
1-2 weeks
Appropriate short-term storage conditions
+4°C
Appropriate long-term storage conditions
-20°C
Aliquoting information
Upon delivery aliquot
Storage information
Avoid freeze / thaw cycle

Supplementary information

This supplementary information is collated from multiple sources and compiled automatically.

Thrombospondin 1 also known as TSP1 is a multi-functional glycoprotein involved in cellular processes like adhesion migration and tumorigenesis. It has a molecular weight of approximately 450 kDa. TSP1 is produced by multiple cell types including endothelial cells and fibroblasts and it is widely expressed in the extracellular matrix of both normal and tumor tissues. As a member of the thrombospondin family it interacts with cell receptors like integrins and CD36 to mediate its diverse functions.
Biological function summary

TSP1 is significant in modulating angiogenesis immune response and apoptosis. It acts as an anti-angiogenic factor by inhibiting endothelial cell proliferation and migration. TSP1 is a part of a larger complex where it interacts with other matrix proteins and growth factors to fine-tune cellular behavior within tissues. Through its binding domains it inhibits matrix metalloproteinases helping regulate matrix composition and tissue remodeling.

Pathways

TSP1 influences both the TGF-beta and NF-kB signaling pathways. In the TGF-beta pathway TSP1 activates latent TGF-beta contributing to tissue repair and fibrosis processes. It works synergistically with proteins like SMADs in these pathways. In the NF-kB pathway TSP1 modulates immune responses and inflammatory processes. Its interaction with CD36 and integrins in these pathways underlines its versatile role in cellular signaling.

TSP1 has been investigated in cancer progression and cardiovascular diseases. In cancer TSP1's anti-angiogenic properties suppress tumor vascularization which can slow tumor growth. Aberrant TSP1 expression levels have also been linked to atherosclerosis development as it interacts with endothelial cells and inflammatory molecules like TNF-alpha. In both these contexts TSP1 engages with proteins such as integrins and CD36 to exert its influence on disease progression.

Product protocols

For this product, it's our understanding that no specific protocols are required. You can visit:

Target data

Adhesive glycoprotein that mediates cell-to-cell and cell-to-matrix interactions (PubMed : 15014436, PubMed : 18285447, PubMed : 2430973, PubMed : 6489349). Multifunctional, involved in inflammation, angiogenesis, wound healing, reactive oxygen species (ROS) signaling, nitrous oxide (NO) signaling, apoptosis, senescence, aging, cellular self-renewal, stemness, and cardiovascular and metabolic homeostasis (PubMed : 10613822, PubMed : 11134179, PubMed : 1371676, PubMed : 14568985, PubMed : 24511121, PubMed : 29042481, PubMed : 32679764). Negatively modulates dendritic cell activation and cytokine release, as part of an autocrine feedback loop, contributing to the resolution of inflammation and immune homeostasis (PubMed : 14568985). Ligand for receptor CD47 (PubMed : 19004835, PubMed : 8550562). Modulates nitrous oxide (NO) signaling via CD47, hence playing a role as a pressor agent, supporting blood pressure (By similarity). Plays a role in endothelial cell senescence, acting via CD47, by increasing the abundance and activation of NADPH oxidase NOX1, and so generating excess ROS (PubMed : 29042481). Inhibits stem cell self-renewal, acting via CD47 signaling, probably by regulation of the stem cell transcription factors POU5F1/OCT4, SOX2, MYC/c-Myc and KLF4 (By similarity). Negatively modulates wound healing, acting via CD47 (By similarity). Ligand for receptor CD36 (PubMed : 10613822, PubMed : 11134179, PubMed : 1371676). Involved in inducing apoptosis in podocytes in response to elevated free fatty acids, acting via CD36 (By similarity). Plays a role in suppressing angiogenesis, acting, depending on context, via CD36 or CD47 (PubMed : 10613822, PubMed : 11134179, PubMed : 1371676, PubMed : 32679764). Promotes cellular senescence in a TP53-CDKN1A-RB1 signaling-dependent manner (PubMed : 29042481). Ligand for immunoglobulin-like cell surface receptor SIRPA (PubMed : 24511121). Involved in ROS signaling in non-phagocytic cells, stimulating NADPH oxidase-derived ROS production, acting via interaction with SIRPA (PubMed : 24511121). Plays a role in metabolic dysfunction in diet-induced obesity, perhaps acting by exacerbating adipose inflammatory activity; its effects may be mediated, at least in part, through enhanced adipocyte proliferation (By similarity). Plays a role in ER stress response, via its interaction with the activating transcription factor 6 alpha (ATF6) which produces adaptive ER stress response factors (By similarity). May be involved in age-related conditions, including metabolic dysregulation, during normal aging (PubMed : 29042481, PubMed : 32679764).
See full target information THBS1

Publications (3)

Recent publications for all applications. Explore the full list and refine your search

Oncology letters 30:517 PubMed40980150

2025

Proteomics reveals the regulation of ALG1 expression by lentivirus-mediated THBS1 overexpression and its mechanism in meibomian gland carcinoma.

Applications

Unspecified application

Species

Unspecified reactive species

Wei Wang,Hetong Wang,Guijia Wu,Xun Liu,Limin Zhu,Fang Tian,Tingting Lin

Science advances 11:eadt2771 PubMed40435254

2025

PIEZO1-mediated calcium signaling reinforces mechanical properties of hair follicle stem cells to promote quiescence.

Applications

Unspecified application

Species

Unspecified reactive species

Jingjing Wang,Chaoyu Fu,Sophie Chang,Christopher Stephens,Haimin Li,Dongmei Wang,Yuheng C Fu,Kathleen J Green,Jie Yan,Rui Yi

Experimental dermatology 33:e70003 PubMed39435748

2024

Increased Abnormal Erythrocytes Caused by Spleen Filtration Deficiency Provide a Hypoxic Environment for the Occurrence of Psoriasis.

Applications

Unspecified application

Species

Unspecified reactive species

Ya Zhao,Yayun Wu,Dancai Fan,Hao Deng,Lijuan Liu,Shigui Deng,Ruizhi Zhao,Chuanjian Lu
View all publications

Product promise

We are committed to supporting your work with high-quality reagents, and we're here for you every step of the way. In the unlikely event that one of our products does not perform as expected, you're protected by our Product Promise.
For full details, please see our Terms & Conditions

Please note: All products are 'FOR RESEARCH USE ONLY. NOT FOR USE IN DIAGNOSTIC OR THERAPEUTIC PROCEDURES'.

For licensing inquiries, please contact partnerships@abcam.com