JavaScript is disabled in your browser. Please enable JavaScript to view this website.
AB236903

Anti-ThrRS antibody

Be the first to review this product! Submit a review

|

(2 Publications)

Rabbit Polyclonal ThrRS antibody. Suitable for WB, IHC-P and reacts with Human samples. Cited in 2 publications. Immunogen corresponding to Recombinant Fragment Protein within Human TARS1 aa 1-250.

View Alternative Names

TARS, TARS1, Threonyl-tRNA synthetase, Threonyl-tRNA synthetase 1, ThrRS

4 Images
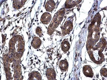
Immunohistochemistry (Formalin/PFA-fixed paraffin-embedded sections) - Anti-ThrRS antibody (AB236903)
  • IHC-P

Supplier Data

Immunohistochemistry (Formalin/PFA-fixed paraffin-embedded sections) - Anti-ThrRS antibody (AB236903)

ThrRS was immunoprecipitated from 0.5 mg A549 (human lung carcinoma cell line) whole cell lysate with ab236903 at 1/200 dilution.

Lane 1 : Control rabbit IgG IP in A549 whole cell lysate.

Lane 2 : ab236903 IP in A549 whole cell lysate.

Lane 3 : A549 whole cell lysate 10 μg (Input).

For western blotting, a HRP-conjugated Protein G antibody was used as the secondary antibody at 1/2000 dilution.

Immunohistochemistry (Formalin/PFA-fixed paraffin-embedded sections) - Anti-ThrRS antibody (AB236903)
  • IHC-P

Supplier Data

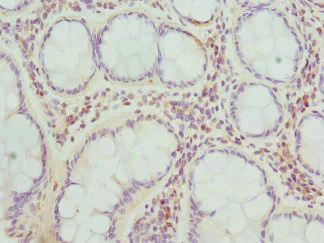
Immunohistochemistry (Formalin/PFA-fixed paraffin-embedded sections) - Anti-ThrRS antibody (AB236903)

Paraffin-embedded human colon cancer tissue stained for ThrRS using ab236903 at 1/100 dilution in immunohistochemical analysis.

Immunohistochemistry (Formalin/PFA-fixed paraffin-embedded sections) - Anti-ThrRS antibody (AB236903)
  • IHC-P

Supplier Data

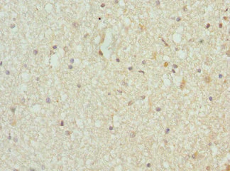
Immunohistochemistry (Formalin/PFA-fixed paraffin-embedded sections) - Anti-ThrRS antibody (AB236903)

Paraffin-embedded human brain tissue stained for ThrRS using ab236903 at 1/100 dilution in immunohistochemical analysis.

Western blot - Anti-ThrRS antibody (AB236903)
  • WB

Supplier Data

Western blot - Anti-ThrRS antibody (AB236903)

All lanes:

Western blot - Anti-ThrRS antibody (ab236903) at 1/1000 dilution

Lane 1:

A549 (human lung carcinoma cell line) whole cell lysate

Lane 2:

HeLa (human epithelial cell line from cervix adenocarcinoma) whole cell lysate

Secondary

All lanes:

Goat polyclonal to rabbit IgG at 1/10000 dilution

Predicted band size: 83 kDa

false

Key facts

Host species

Rabbit

Clonality

Polyclonal

Isotype

IgG

Carrier free

No

Reacts with

Human

Applications

WB, IHC-P

applications

Immunogen

Recombinant Fragment Protein within Human TARS1 aa 1-250. The exact immunogen used to generate this antibody is proprietary information.

P26639

Reactivity data

{ "title": "Reactivity Data", "filters": { "stats": ["", "Species", "Dilution Info", "Notes"], "tabs": { "all-applications": {"fullname" : "All Applications", "shortname": "All Applications"}, "WB" : {"fullname" : "Western blot", "shortname":"WB"}, "IHCP" : {"fullname" : "Immunohistochemistry (Formalin/PFA-fixed paraffin-embedded sections)", "shortname":"IHC-P"} }, "product-promise": { "all": "all", "testedAndGuaranteed": "tested", "guaranteed": "expected", "predicted": "predicted", "notRecommended": "not-recommended" } }, "values": { "Human": { "WB-species-checked": "testedAndGuaranteed", "WB-species-dilution-info": "1/1000 - 1/5000", "WB-species-notes": "<p></p>", "IHCP-species-checked": "testedAndGuaranteed", "IHCP-species-dilution-info": "1/20 - 1/200", "IHCP-species-notes": "<p></p>" }, "Mouse": { "WB-species-checked": "predicted", "WB-species-dilution-info": "", "WB-species-notes": "", "IHCP-species-checked": "predicted", "IHCP-species-dilution-info": "", "IHCP-species-notes": "" }, "Cow": { "WB-species-checked": "predicted", "WB-species-dilution-info": "", "WB-species-notes": "", "IHCP-species-checked": "predicted", "IHCP-species-dilution-info": "", "IHCP-species-notes": "" } } }

Properties and storage information

Form
Liquid
Purification technique
Affinity purification Immunogen
Storage buffer
pH: 7.3 Preservative: 0.02% Sodium azide Constituents: PBS, 50% Glycerol (glycerin, glycerine)
Shipped at conditions
Blue Ice
Appropriate short-term storage duration
1-2 weeks
Appropriate short-term storage conditions
+4°C
Appropriate long-term storage conditions
-20°C
Aliquoting information
Upon delivery aliquot
Storage information
Avoid freeze / thaw cycle

Supplementary information

This supplementary information is collated from multiple sources and compiled automatically.

ThrRS also known as threonyl-tRNA synthetase is an enzyme that attaches the amino acid threonine to its corresponding tRNA (tRNA^Thr) an important step in the translation process during protein synthesis. ThrRS's molecular mass is approximately 80 kDa. It is expressed in various tissues across many organisms showing high conservation from bacteria to humans. This enzyme ensures accurate pairing of threonine with its tRNA which is critical for translating genetic information into functional proteins.
Biological function summary

Threonyl-tRNA synthetase plays a role in cellular function by ensuring proteins are synthesized accurately and efficiently. ThrRS is a standalone enzyme and does not form part of an enzyme complex. Its correct functioning is essential for maintaining cellular homeostasis and ensuring the fidelity of the genetic code. Incorrect aminoacylation by ThrRS can lead to translational errors which may manifest in malfunctioning proteins.

Pathways

The activity of threonyl-tRNA synthetase is integral to the protein synthesis pathway which is part of the larger biological process of gene expression. This pathway involves collaboration with other aminoacyl-tRNA synthetases and overlaps with translation mechanisms. ThrRS is related to proteins such as serine-tRNA synthetase and alanine-tRNA synthetase as they also participate in aminoacylation facilitating accurate protein synthesis by adding the right amino acids to tRNA molecules.

Problems associated with threonyl-tRNA synthetase can lead to conditions like Charcot-Marie-Tooth disease a disorder affecting peripheral nerves and certain types of cancer. Mutations in the ThrRS gene can alter its enzymatic activity or stability potentially disrupting the translation process. Moreover issues with ThrRS can interact with defective proteins like glycyl-tRNA synthetase further impacting cellular function and contributing to disease pathologies.

Product protocols

For this product, it's our understanding that no specific protocols are required. You can visit:

Target data

Catalyzes the attachment of threonine to tRNA(Thr) in a two-step reaction : threonine is first activated by ATP to form Thr-AMP and then transferred to the acceptor end of tRNA(Thr) (PubMed : 25824639, PubMed : 31374204). Also edits incorrectly charged tRNA(Thr) via its editing domain, at the post-transfer stage (By similarity).
See full target information TARS1

Publications (2)

Recent publications for all applications. Explore the full list and refine your search

FASEB journal : official publication of the Federation of American Societies for Experimental Biology 35:e21948 PubMed34569098

2021

A non-translational role of threonyl-tRNA synthetase in regulating JNK signaling during myogenic differentiation.

Applications

Unspecified application

Species

Unspecified reactive species

Chong Dai,Adriana Reyes-Ordoñez,Jae-Sung You,Jie Chen

Journal of experimental & clinical cancer research : CR 40:92 PubMed33691743

2021

Downregulation of lncRNA ZNF582-AS1 due to DNA hypermethylation promotes clear cell renal cell carcinoma growth and metastasis by regulating the N(6)-methyladenosine modification of MT-RNR1.

Applications

Unspecified application

Species

Unspecified reactive species

Wuping Yang,Kenan Zhang,Lei Li,Yawei Xu,Kaifang Ma,Haibiao Xie,Jingcheng Zhou,Lin Cai,Yanqing Gong,Kan Gong
View all publications

Product promise

We are committed to supporting your work with high-quality reagents, and we're here for you every step of the way. In the unlikely event that one of our products does not perform as expected, you're protected by our Product Promise.
For full details, please see our Terms & Conditions

Please note: All products are 'FOR RESEARCH USE ONLY. NOT FOR USE IN DIAGNOSTIC OR THERAPEUTIC PROCEDURES'.

For licensing inquiries, please contact partnerships@abcam.com