JavaScript is disabled in your browser. Please enable JavaScript to view this website.
AB50795

Anti-ThrRS antibody [TARSF8H3]

Be the first to review this product! Submit a review

|

(0 Publication)

Mouse Monoclonal ThrRS antibody. Suitable for ICC, WB and reacts with Human samples. Immunogen corresponding to Recombinant Fragment Protein within Human TARS1.

View Alternative Names

TARS, TARS1, Threonyl-tRNA synthetase, Threonyl-tRNA synthetase 1, ThrRS

2 Images
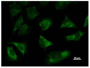
Immunocytochemistry - Anti-ThrRS antibody [TARSF8H3] (AB50795)
  • ICC

Unknown

Immunocytochemistry - Anti-ThrRS antibody [TARSF8H3] (AB50795)

ab50795, at a dilution of 1/5, staining ThrRS in HeLa cell by Immunocytochemistry. AlexaFluor®488 Goat anti-mouse IgG was used as the secondary antibody at a dilution of 1/200.

Western blot - Anti-ThrRS antibody [TARSF8H3] (AB50795)
  • WB

Unknown

Western blot - Anti-ThrRS antibody [TARSF8H3] (AB50795)

All lanes:

Western blot - Anti-ThrRS antibody [TARSF8H3] (ab50795) at 1/50 dilution

All lanes:

HeLa whole cell lysate at 50 µg

Secondary

All lanes:

Mouse IgG antibody at 1/2500 dilution

Predicted band size: 83 kDa

Observed band size: 80 kDa

false

Key facts

Host species

Mouse

Clonality

Monoclonal

Clone number

TARSF8H3

Isotype

IgG2a

Carrier free

No

Reacts with

Human

Applications

ICC, WB

applications

Immunogen

Recombinant Fragment Protein within Human TARS1. The exact immunogen used to generate this antibody is proprietary information.

P26639

Reactivity data

{ "title": "Reactivity Data", "filters": { "stats": ["", "Species", "Dilution Info", "Notes"], "tabs": { "all-applications": {"fullname" : "All Applications", "shortname": "All Applications"}, "ICC" : {"fullname" : "Immunocytochemistry", "shortname":"ICC"}, "WB" : {"fullname" : "Western blot", "shortname":"WB"} }, "product-promise": { "all": "all", "testedAndGuaranteed": "tested", "guaranteed": "expected", "predicted": "predicted", "notRecommended": "not-recommended" } }, "values": { "Human": { "ICC-species-checked": "testedAndGuaranteed", "ICC-species-dilution-info": "1/5", "ICC-species-notes": "<p></p>", "WB-species-checked": "testedAndGuaranteed", "WB-species-dilution-info": "1/50", "WB-species-notes": "<p></p>" } } }

Properties and storage information

Form
Liquid
Purification technique
Affinity purification Protein G
Purification notes
This antibody was purified using protein G column chromatography from culture supernatant of hybridoma cultured in a medium containing bovine IgG depleted (approximately 95%) fetal bovine serum. It is sterile filtered through a 0.22 µm membrane.
Storage buffer
pH: 7.4 Preservative: 0.05% Sodium azide Constituents: PBS, 1% BSA
Shipped at conditions
Blue Ice
Appropriate short-term storage duration
1-2 weeks
Appropriate short-term storage conditions
+4°C
Appropriate long-term storage conditions
-20°C
Aliquoting information
Upon delivery aliquot

Supplementary information

This supplementary information is collated from multiple sources and compiled automatically.

ThrRS also known as threonyl-tRNA synthetase is an enzyme that attaches the amino acid threonine to its corresponding tRNA (tRNA^Thr) an important step in the translation process during protein synthesis. ThrRS's molecular mass is approximately 80 kDa. It is expressed in various tissues across many organisms showing high conservation from bacteria to humans. This enzyme ensures accurate pairing of threonine with its tRNA which is critical for translating genetic information into functional proteins.
Biological function summary

Threonyl-tRNA synthetase plays a role in cellular function by ensuring proteins are synthesized accurately and efficiently. ThrRS is a standalone enzyme and does not form part of an enzyme complex. Its correct functioning is essential for maintaining cellular homeostasis and ensuring the fidelity of the genetic code. Incorrect aminoacylation by ThrRS can lead to translational errors which may manifest in malfunctioning proteins.

Pathways

The activity of threonyl-tRNA synthetase is integral to the protein synthesis pathway which is part of the larger biological process of gene expression. This pathway involves collaboration with other aminoacyl-tRNA synthetases and overlaps with translation mechanisms. ThrRS is related to proteins such as serine-tRNA synthetase and alanine-tRNA synthetase as they also participate in aminoacylation facilitating accurate protein synthesis by adding the right amino acids to tRNA molecules.

Problems associated with threonyl-tRNA synthetase can lead to conditions like Charcot-Marie-Tooth disease a disorder affecting peripheral nerves and certain types of cancer. Mutations in the ThrRS gene can alter its enzymatic activity or stability potentially disrupting the translation process. Moreover issues with ThrRS can interact with defective proteins like glycyl-tRNA synthetase further impacting cellular function and contributing to disease pathologies.

Product protocols

For this product, it's our understanding that no specific protocols are required. You can visit:

Target data

Catalyzes the attachment of threonine to tRNA(Thr) in a two-step reaction : threonine is first activated by ATP to form Thr-AMP and then transferred to the acceptor end of tRNA(Thr) (PubMed : 25824639, PubMed : 31374204). Also edits incorrectly charged tRNA(Thr) via its editing domain, at the post-transfer stage (By similarity).
See full target information TARS1

Product promise

We are committed to supporting your work with high-quality reagents, and we're here for you every step of the way. In the unlikely event that one of our products does not perform as expected, you're protected by our Product Promise.
For full details, please see our Terms & Conditions

Please note: All products are 'FOR RESEARCH USE ONLY. NOT FOR USE IN DIAGNOSTIC OR THERAPEUTIC PROCEDURES'.

For licensing inquiries, please contact partnerships@abcam.com