JavaScript is disabled in your browser. Please enable JavaScript to view this website.
AB242371

Anti-THSD7A antibody [CL3779]

Be the first to review this product! Submit a review

|

(1 Publication)

Mouse Monoclonal THSD7A antibody. Suitable for IHC-P and reacts with Human samples. Cited in 1 publication. Immunogen corresponding to Recombinant Fragment Protein within Human THSD7A aa 200-400.

View Alternative Names

KIAA0960, THSD7A, Thrombospondin type-1 domain-containing protein 7A

3 Images
Immunohistochemistry (Formalin/PFA-fixed paraffin-embedded sections) - Anti-THSD7A antibody [CL3779] (AB242371)
  • IHC-P

Supplier Data

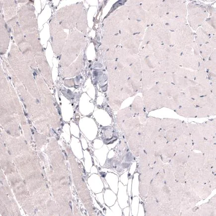
Immunohistochemistry (Formalin/PFA-fixed paraffin-embedded sections) - Anti-THSD7A antibody [CL3779] (AB242371)

Negative control - Formalin-fixed, paraffin-embedded human skeletal muscle tissue stained for THSD7A with ab242371 at a 1 : 50 dilution in immunohistochemical analysis.

Immunohistochemistry (Formalin/PFA-fixed paraffin-embedded sections) - Anti-THSD7A antibody [CL3779] (AB242371)
  • IHC-P

Supplier Data

Immunohistochemistry (Formalin/PFA-fixed paraffin-embedded sections) - Anti-THSD7A antibody [CL3779] (AB242371)

Formalin-fixed, paraffin-embedded human testis tissue stained for THSD7A with ab242371 at a 1 : 50 dilution in immunohistochemical analysis.

Immunohistochemistry (Formalin/PFA-fixed paraffin-embedded sections) - Anti-THSD7A antibody [CL3779] (AB242371)
  • IHC-P

Supplier Data

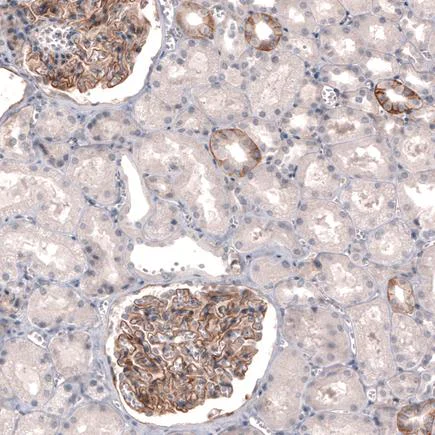
Immunohistochemistry (Formalin/PFA-fixed paraffin-embedded sections) - Anti-THSD7A antibody [CL3779] (AB242371)

Formalin-fixed, paraffin-embedded human kidney tissue stained for THSD7A with ab242371 at a 1 : 50 dilution in immunohistochemical analysis.

Key facts

Host species

Mouse

Clonality

Monoclonal

Clone number

CL3779

Isotype

IgG1

Carrier free

No

Reacts with

Human

Applications

IHC-P

applications

Immunogen

Recombinant Fragment Protein within Human THSD7A aa 200-400. The exact immunogen used to generate this antibody is proprietary information.

Q9UPZ6

Reactivity data

{ "title": "Reactivity Data", "filters": { "stats": ["", "Species", "Dilution Info", "Notes"], "tabs": { "all-applications": {"fullname" : "All Applications", "shortname": "All Applications"}, "IHCP" : {"fullname" : "Immunohistochemistry (Formalin/PFA-fixed paraffin-embedded sections)", "shortname":"IHC-P"} }, "product-promise": { "all": "all", "testedAndGuaranteed": "tested", "guaranteed": "expected", "predicted": "predicted", "notRecommended": "not-recommended" } }, "values": { "Human": { "IHCP-species-checked": "testedAndGuaranteed", "IHCP-species-dilution-info": "1/50 - 1/200", "IHCP-species-notes": "<p></p> Perform heat-mediated antigen retrieval with citrate buffer pH 6 before commencing with IHC staining protocol." } } }

Properties and storage information

Form
Liquid
Purification technique
Affinity purification Protein A
Purification notes
Purified from TCS.
Storage buffer
pH: 7.2 Preservative: 0.02% Sodium azide Constituents: PBS, 40% Glycerol (glycerin, glycerine)
Shipped at conditions
Blue Ice
Appropriate short-term storage duration
1-2 weeks
Appropriate short-term storage conditions
+4°C
Appropriate long-term storage conditions
-20°C
Aliquoting information
Upon delivery aliquot
Storage information
Avoid freeze / thaw cycle

Supplementary information

This supplementary information is collated from multiple sources and compiled automatically.

THSD7A also known as Thrombospondin Type-1 Domain Containing Protein 7A is a glycoprotein with a mass of approximately 250 kDa. The glycoprotein is expressed mainly in the kidneys and brain and to some extent in the placenta and lungs. This expression pattern suggests its potential role in the vascular system and nervous tissues. THSD7A is localized at endothelial cells where it is thought to interact with the extracellular matrix.
Biological function summary

THSD7A influences cell adhesion and migration processes. It plays a significant role in angiogenesis promoting the formation and maintenance of blood vessels. This protein often partners with integrins forming a complex that modulates various cellular interactions essential for vessel stability and permeability. THSD7A's involvement in the developing circulatory system signifies its importance in embryonic growth and development.

Pathways

This protein intersects the angiogenesis and cell adhesion pathways. Within these contexts THSD7A interacts with other proteins such as vascular endothelial growth factor (VEGF) and integrins which are critical for the angiogenesis process. These interactions facilitate proper cell signaling that ensures blood vessel formation and repair stressing its functional significance in vascular biology.

THSD7A has links with membranous nephropathy an autoimmune kidney condition. Autoantibodies against THSD7A are found in a subset of patients with this disease linking it directly to disease pathology. Additionally given its role in angiogenesis abnormalities in THSD7A expression or function may also relate to cancer progression where angiogenic imbalance plays a pivotal role. Understanding THSD7A's connection with VEGF during these disease states highlights it as an important target for therapeutic interventions.

Product protocols

For this product, it's our understanding that no specific protocols are required. You can visit:

Target data

Thrombospondin type-1 domain-containing protein 7A. Plays a role in actin cytoskeleton rearrangement.. Thrombospondin type-1 domain-containing protein 7A, soluble form. The soluble form promotes endothelial cell migration and filopodia formation during sprouting angiogenesis via a FAK-dependent mechanism.
See full target information THSD7A

Publications (1)

Recent publications for all applications. Explore the full list and refine your search

Food science and biotechnology 34:743-755 PubMed39958166

2025

Long-term Pu-erh tea alleviates inflammatory bowel disease via the regulation of intestinal microbiota and maintaining the intestinal mucosal barrier.

Applications

Unspecified application

Species

Unspecified reactive species

Bi-Yun Feng,Pei-Lu Chen,Ling Yan,Wei-Feng Huang,Cheng-Fu Li,Li-Tao Yi,Guang-Hui Xu
View all publications

Product promise

We are committed to supporting your work with high-quality reagents, and we're here for you every step of the way. In the unlikely event that one of our products does not perform as expected, you're protected by our Product Promise.
For full details, please see our Terms & Conditions

Please note: All products are 'FOR RESEARCH USE ONLY. NOT FOR USE IN DIAGNOSTIC OR THERAPEUTIC PROCEDURES'.

For licensing inquiries, please contact partnerships@abcam.com