JavaScript is disabled in your browser. Please enable JavaScript to view this website.
AB284863

Anti-Thymidine Phosphorylase antibody [EPR25629-129] - BSA and Azide free

Be the first to review this product! Submit a review

|

(0 Publication)

Rabbit Recombinant Monoclonal Thymidine Phosphorylase antibody. Carrier free. Suitable for ICC/IF, IP, WB, IHC-P, Flow Cyt (Intra) and reacts with Human samples.

View Alternative Names

ECGF1, TYMP, Thymidine phosphorylase, TP, Gliostatin, Platelet-derived endothelial cell growth factor, TdRPase, PD-ECGF

9 Images
Flow Cytometry (Intracellular) - Anti-Thymidine Phosphorylase antibody [EPR25629-129] - BSA and Azide free (AB284863)
  • Flow Cyt (Intra)

Lab

Flow Cytometry (Intracellular) - Anti-Thymidine Phosphorylase antibody [EPR25629-129] - BSA and Azide free (AB284863)

This data was developed using ab284861, the same antibody clone in a different buffer formulation.

Flow cytometric analysis of 4% paraformaldehyde fixed 90% methanol permeabilized A431 (Human epidermoid carcinoma epithelial cell) cells labelling Thymidine phosphorylase with ab284861 at 1/500 dilution (0.1ug)/(Red) compared with a Rabbit monoclonal IgG (ab172730)/(Black) isotype control and an unlabelled control (cells without incubation with primary antibody and secondary antibody)/(Blue). A Goat Anti-Rabbit IgG (Alexa Fluor® 488, ab150081) at 1/2000 dilution was used as the secondary antibody.

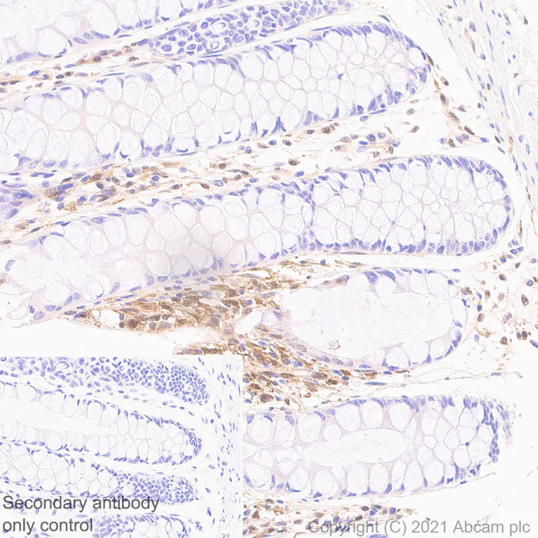
Immunohistochemistry (Formalin/PFA-fixed paraffin-embedded sections) - Anti-Thymidine Phosphorylase antibody [EPR25629-129] - BSA and Azide free (AB284863)
  • IHC-P

Lab

Immunohistochemistry (Formalin/PFA-fixed paraffin-embedded sections) - Anti-Thymidine Phosphorylase antibody [EPR25629-129] - BSA and Azide free (AB284863)

This data was developed using ab284861, the same antibody clone in a different buffer formulation.

Immunohistochemical analysis of paraffin-embedded Human colon tissue labelling Thymidine phosphorylase with ab284861 at 1/5000 (0.103 ug/ml) followed by a ready to use LeicaDS9800 (Bond™ Polymer Refine Detection). Positive staining on the interstitial cells of human colon (PMID : 16361565). The section was incubated with ab284861 for 30 mins at room temperature. The immunostaining was performed on a Leica Biosystems BOND® RX instrument Counterstained with Hematoxylin.

Secondary antibody only control : Secondary antibody is a ready to use LeicaDS9800 (Bond™ Polymer Refine Detection).

Heat mediated antigen retrieval with Citrate buffer (pH 6.0, epitope retrieval solution 1) for 20 mins

Immunocytochemistry/ Immunofluorescence - Anti-Thymidine Phosphorylase antibody [EPR25629-129] - BSA and Azide free (AB284863)
  • ICC/IF

Lab

Immunocytochemistry/ Immunofluorescence - Anti-Thymidine Phosphorylase antibody [EPR25629-129] - BSA and Azide free (AB284863)

This data was developed using ab284861, the same antibody clone in a different buffer formulation.

Immunofluorescent analysis of 4% Paraformaldehyde-fixed, 0.1% TritonX-100 permeabilized A431 cells labelling Thymidine phosphorylase with ab284861 at 1/50 (10.34 ug/ml) dilution, followed by ab150081 Goat Anti-Rabbit IgG H&L (Alexa Fluor® 488) preadsorbed antibody at 1/1000 (2 ug/ml) dilution (Green). Confocal image showing cytoplasmic staining in A431 cells is observed. ab195889 Anti-alpha Tubulin mouse monoclonal antibody - Microtubule Marker (Alexa Fluor® 594) was used to counterstain tubulin at 1/200 (2.5 ug/ml) dilution (Red). The Nuclear counterstain was DAPI (Blue).

Secondary antibody only control : Secondary antibody is ab150081 Goat Anti-Rabbit IgG H&L (Alexa Fluor® 488) preadsorbed at 1/1000 (2 ug/ml) dilution.

Immunocytochemistry/ Immunofluorescence - Anti-Thymidine Phosphorylase antibody [EPR25629-129] - BSA and Azide free (AB284863)
  • ICC/IF

Lab

Immunocytochemistry/ Immunofluorescence - Anti-Thymidine Phosphorylase antibody [EPR25629-129] - BSA and Azide free (AB284863)

This data was developed using ab284861, the same antibody clone in a different buffer formulation.

Immunofluorescent analysis of 4% Paraformaldehyde-fixed, 0.1% TritonX-100 permeabilized THP-1 cells labelling Thymidine phosphorylase with ab284861 at 1/50 (10.34 ug/ml) dilution, followed by ab150081 Goat Anti-Rabbit IgG H&L (Alexa Fluor® 488) preadsorbed antibody at 1/1000 (2 ug/ml) dilution (Green). Confocal image showing cytoplasmic staining in THP-1 cells is observed. ab195889 Anti-alpha Tubulin mouse monoclonal antibody - Microtubule Marker (Alexa Fluor® 594) was used to counterstain tubulin at 1/200 (2.5 ug/ml) dilution (Red). The Nuclear counterstain was DAPI (Blue).

Secondary antibody only control : Secondary antibody is ab150081 Goat Anti-Rabbit IgG H&L (Alexa Fluor® 488) preadsorbed at 1/1000 (2 ug/ml) dilution.

Immunohistochemistry (Formalin/PFA-fixed paraffin-embedded sections) - Anti-Thymidine Phosphorylase antibody [EPR25629-129] - BSA and Azide free (AB284863)
  • IHC-P

Lab

Immunohistochemistry (Formalin/PFA-fixed paraffin-embedded sections) - Anti-Thymidine Phosphorylase antibody [EPR25629-129] - BSA and Azide free (AB284863)

This data was developed using ab284861, the same antibody clone in a different buffer formulation.

Immunohistochemical analysis of paraffin-embedded Human ovarian cancer tissue labelling Thymidine phosphorylase with ab284861 at 1/5000 (0.103 ug/ml) followed by a ready to use LeicaDS9800 (Bond™ Polymer Refine Detection). Positive staining on human ovarian cancer. The section was incubated with ab284861 for 30 mins at room temperature. The immunostaining was performed on a Leica Biosystems BOND® RX instrument Counterstained with Hematoxylin.

Secondary antibody only control : Secondary antibody is a ready to use LeicaDS9800 (Bond™ Polymer Refine Detection).

Heat mediated antigen retrieval with Citrate buffer (pH 6.0, epitope retrieval solution 1) for 20 mins

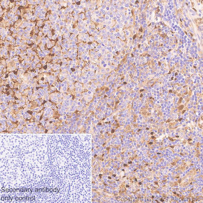
Immunohistochemistry (Formalin/PFA-fixed paraffin-embedded sections) - Anti-Thymidine Phosphorylase antibody [EPR25629-129] - BSA and Azide free (AB284863)
  • IHC-P

Lab

Immunohistochemistry (Formalin/PFA-fixed paraffin-embedded sections) - Anti-Thymidine Phosphorylase antibody [EPR25629-129] - BSA and Azide free (AB284863)

This data was developed using ab284861, the same antibody clone in a different buffer formulation.

Immunohistochemical analysis of paraffin-embedded Human tonsil tissue labelling Thymidine phosphorylase with ab284861 at 1/5000 (0.103 ug/ml) followed by a ready to use LeicaDS9800 (Bond™ Polymer Refine Detection). Positive staining on human tonsil. The section was incubated with ab284861 for 30 mins at room temperature. The immunostaining was performed on a Leica Biosystems BOND® RX instrument Counterstained with Hematoxylin.

Secondary antibody only control : Secondary antibody is a ready to use LeicaDS9800 (Bond™ Polymer Refine Detection).

Heat mediated antigen retrieval with Citrate buffer (pH 6.0, epitope retrieval solution 1) for 20 mins

Immunoprecipitation - Anti-Thymidine Phosphorylase antibody [EPR25629-129] - BSA and Azide free (AB284863)
  • IP

Lab

Immunoprecipitation - Anti-Thymidine Phosphorylase antibody [EPR25629-129] - BSA and Azide free (AB284863)

This data was developed using ab284861, the same antibody clone in a different buffer formulation.

Thymidine phosphorylase was immunoprecipitated from 0.35 mg A431 (human epidermoid carcinoma epithelial cell) whole cell lysate 10 ug with ab284861 at 1/30 dilution (2ug in 0.35mg lysates). Western blot was performed on the immunoprecipitate using ab284861 at 1/1000 dilution. VeriBlot for IP secondary antibody(HRP)(ab131366) was used at 1/5000 dilution.

Lane 1 : A431 (human epidermoid carcinoma epithelial cell) whole cell lysate 10 ug

Lane 2 : ab284861 IP in A431 whole cell lysate

Lane 3 : Rabbit monoclonal IgG (ab172730) instead of ab284861 in A431 whole cell lysate

Blocking and dilution buffer and concentration : 5% NFDM/TBST.

Exposure time : 10 seconds

All lanes:

Immunoprecipitation - Anti-Thymidine Phosphorylase antibody [EPR25629-129] (<a href='/en-us/products/primary-antibodies/thymidine-phosphorylase-antibody-epr25629-129-ab284861'>ab284861</a>)

Predicted band size: 50 kDa

Observed band size: 50 kDa

false

Western blot - Anti-Thymidine Phosphorylase antibody [EPR25629-129] - BSA and Azide free (AB284863)
  • WB

Lab

Western blot - Anti-Thymidine Phosphorylase antibody [EPR25629-129] - BSA and Azide free (AB284863)

This data was developed using ab284861, the same antibody clone in a different buffer formulation.

Blocking and diluting buffer and concentration : 5% NFDM/TBST

Exposure time : 137 seconds

All lanes:

Western blot - Anti-Thymidine Phosphorylase antibody [EPR25629-129] (<a href='/en-us/products/primary-antibodies/thymidine-phosphorylase-antibody-epr25629-129-ab284861'>ab284861</a>) at 1/1000 dilution

All lanes:

A431 (human epidermoid carcinoma epithelial cell), whole cell lysate at 20 µg

Secondary

All lanes:

VeriBlot for IP secondary antibody(HRP)(<a href='/en-us/products/reagents/veriblot-for-ip-detection-reagent-hrp-ab131366'>ab131366</a>) at 1/5000 dilution

Predicted band size: 50 kDa

Observed band size: 50 kDa

false

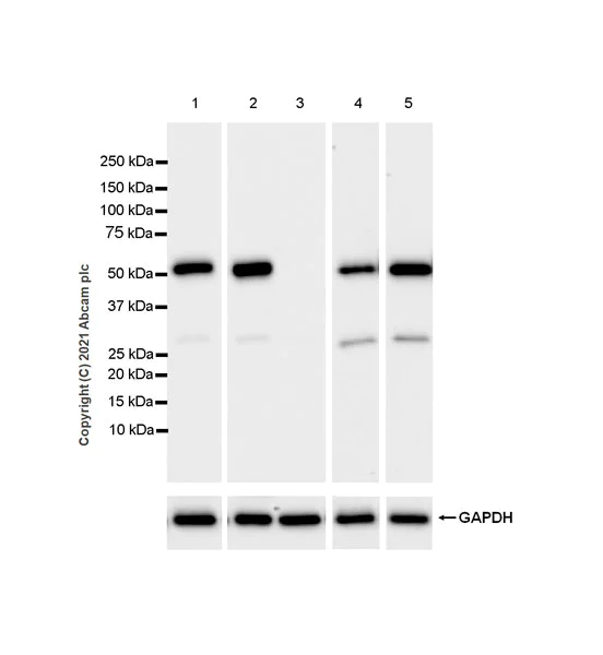
Western blot - Anti-Thymidine Phosphorylase antibody [EPR25629-129] - BSA and Azide free (AB284863)
  • WB

Lab

Western blot - Anti-Thymidine Phosphorylase antibody [EPR25629-129] - BSA and Azide free (AB284863)

This data was developed using ab284861, the same antibody clone in a different buffer formulation.

Blocking and diluting buffer and concentration : 5% NFDM/TBST

Low expression : human ovary (PMID : 2328255).

The bands nearby 25 kDa could be non-specific bands.

Exposure time : Lane 1-3 : 3.25 seconds Lane 4-5 : 37 seconds

All lanes:

Western blot - Anti-Thymidine Phosphorylase antibody [EPR25629-129] (<a href='/en-us/products/primary-antibodies/thymidine-phosphorylase-antibody-epr25629-129-ab284861'>ab284861</a>) at 1/1000 dilution

Lane 1:

Human tonsil tissue lysate at 20 µg

Lane 2:

human ovary cancer tissue lysate at 20 µg

Lane 3:

human ovary tissue lysate at 20 µg

Lane 4:

human colon tissue lysate at 20 µg

Lane 5:

human liver tissue lysate at 20 µg

Secondary

All lanes:

Western blot - VeriBlot for IP Detection Reagent (HRP) (<a href='/en-us/products/reagents/veriblot-for-ip-detection-reagent-hrp-ab131366'>ab131366</a>) at 1/1000 dilution

Predicted band size: 50 kDa

Observed band size: 50 kDa

false

  • Unconjugated

    Anti-Thymidine Phosphorylase antibody [EPR25629-129]

Key facts

Host species

Rabbit

Clonality

Monoclonal

Clone number

EPR25629-129

Isotype

IgG

Carrier free

Yes

Reacts with

Human

Applications

ICC/IF, IHC-P, WB, Flow Cyt (Intra), IP

applications

Immunogen

The exact immunogen used to generate this antibody is proprietary information.

Reactivity data

{ "title": "Reactivity Data", "filters": { "stats": ["", "Species", "Dilution Info", "Notes"], "tabs": { "all-applications": {"fullname" : "All Applications", "shortname": "All Applications"}, "ICCIF" : {"fullname" : "Immunocytochemistry/ Immunofluorescence", "shortname":"ICC/IF"}, "IP" : {"fullname" : "Immunoprecipitation", "shortname":"IP"}, "WB" : {"fullname" : "Western blot", "shortname":"WB"}, "IHCP" : {"fullname" : "Immunohistochemistry (Formalin/PFA-fixed paraffin-embedded sections)", "shortname":"IHC-P"}, "FlowCytIntra" : {"fullname" : "Flow Cytometry (Intracellular)", "shortname":"Flow Cyt (Intra)"} }, "product-promise": { "all": "all", "testedAndGuaranteed": "tested", "guaranteed": "expected", "predicted": "predicted", "notRecommended": "not-recommended" } }, "values": { "Human": { "ICCIF-species-checked": "testedAndGuaranteed", "ICCIF-species-dilution-info": "", "ICCIF-species-notes": "<p></p>", "IP-species-checked": "testedAndGuaranteed", "IP-species-dilution-info": "", "IP-species-notes": "<p></p>", "WB-species-checked": "testedAndGuaranteed", "WB-species-dilution-info": "", "WB-species-notes": "<p></p>", "IHCP-species-checked": "testedAndGuaranteed", "IHCP-species-dilution-info": "", "IHCP-species-notes": "<p></p>", "FlowCytIntra-species-checked": "guaranteed", "FlowCytIntra-species-dilution-info": "", "FlowCytIntra-species-notes": "<p></p>" }, "Mouse": { "ICCIF-species-checked": "notRecommended", "ICCIF-species-dilution-info": "", "ICCIF-species-notes": "", "IP-species-checked": "notRecommended", "IP-species-dilution-info": "", "IP-species-notes": "", "WB-species-checked": "notRecommended", "WB-species-dilution-info": "", "WB-species-notes": "<p></p>", "IHCP-species-checked": "notRecommended", "IHCP-species-dilution-info": "", "IHCP-species-notes": "<p></p>", "FlowCytIntra-species-checked": "notRecommended", "FlowCytIntra-species-dilution-info": "", "FlowCytIntra-species-notes": "" }, "Rat": { "ICCIF-species-checked": "notRecommended", "ICCIF-species-dilution-info": "", "ICCIF-species-notes": "", "IP-species-checked": "notRecommended", "IP-species-dilution-info": "", "IP-species-notes": "", "WB-species-checked": "notRecommended", "WB-species-dilution-info": "", "WB-species-notes": "<p></p>", "IHCP-species-checked": "notRecommended", "IHCP-species-dilution-info": "", "IHCP-species-notes": "<p></p>", "FlowCytIntra-species-checked": "notRecommended", "FlowCytIntra-species-dilution-info": "", "FlowCytIntra-species-notes": "" } } }

You may be interested in:

AB324131

Human Thymidine phosphorylase (PD-ECGF) ELISA Kit- Extracellular

0

0 Reviews

View product

We recommend this product because it’s often used in the same experiment or related research.

We advise that you always check the datasheet to ensure it fits your experiments, or contact ourtechnical teamfor help.

Product details

ab284863 is the carrier-free version of ab284861.

Patented technology
Our RabMAb® technology is a patented hybridoma-based technology for making rabbit monoclonal antibodies. For details on our patents, please refer to RabMAb® patents.

What are the advantages of a recombinant monoclonal antibody?
This product is a recombinant monoclonal antibody, which offers several advantages including:

  • - High batch-to-batch consistency and reproducibility
  • - Improved sensitivity and specificity
  • - Long-term security of supply
  • - Animal-free batch production

For more information, read more on recombinant antibodies.

Conjugation ready
Our carrier-free antibodies are typically supplied in a PBS-only formulation, purified and free of BSA, sodium azide and glycerol. This conjugation-ready format is designed for use with fluorochromes, metal isotopes, oligonucleotides, and enzymes, which makes them ideal for antibody labelling, functional and cell-based assays, flow-based assays (e.g. mass cytometry) and Multiplex Imaging applications.

Use our conjugation kits for antibody conjugates that are ready-to-use in as little as 20 minutes with 1 minute hands-on-time and 100% antibody recovery: available for fluorescent dyes, HRP, biotin and gold.

Compatibility
This product is compatible with the Maxpar® Antibody Labeling Kit from Fluidigm, without the need for antibody preparation. Maxpar® is a trademark of Fluidigm Canada Inc.

Properties and storage information

Form
Liquid
Purification technique
Affinity purification Protein A
Storage buffer
pH: 7.2 - 7.4 Constituents: 100% PBS
Shipped at conditions
Blue Ice
Appropriate short-term storage conditions
+4°C
Appropriate long-term storage conditions
+4°C

Supplementary information

This supplementary information is collated from multiple sources and compiled automatically.

Thymidine phosphorylase also known as platelet-derived endothelial cell growth factor (PD-ECGF) acts mechanically to catalyze the reversible phosphorolysis of thymidine into thymine and 2-deoxy-alpha-D-ribose-1-phosphate. With a mass of approximately 44 kDa this enzyme is present in various tissues including blood vessels and macrophages. Its expression tends to be higher in tumor tissues which suggests a specific role in cancer biology.
Biological function summary

The enzyme participates in pyrimidine nucleoside metabolism providing an alternate route for thymidine catabolism. It is not part of a larger complex functioning independently to promote angiogenesis. Thymidine phosphorylase enhances the degradation of extracellular thymidine which can positively impact nucleotide balance within cells aiding DNA synthesis and repair.

Pathways

Thymidine phosphorylase operates significantly within the nucleotide salvage pathways. It is essential for clarifying thymidine availability for DNA synthesis. The enzyme links with enzymes like dihydropyrimidine dehydrogenase in pyrimidine degradation playing a critical role in maintaining cellular nucleotide homeostasis.

Altered activity of thymidine phosphorylase correlates with cancer and mitochondrial neurogastrointestinal encephalomyopathy (MNGIE). In tumors increased levels of this enzyme facilitate angiogenesis contributing to tumor growth and metastasis. In MNGIE mutations in this enzyme lead to imbalances in nucleotides causing mitochondrial dysfunction. The enzyme's dysregulation connects to angiogenesis-related proteins like VEGF in cancer highlighting potential therapeutic targets.

Product protocols

For this product, it's our understanding that no specific protocols are required. You can visit:

Target data

May have a role in maintaining the integrity of the blood vessels. Has growth promoting activity on endothelial cells, angiogenic activity in vivo and chemotactic activity on endothelial cells in vitro.. Catalyzes the reversible phosphorolysis of thymidine. The produced molecules are then utilized as carbon and energy sources or in the rescue of pyrimidine bases for nucleotide synthesis.
See full target information TYMP

Product promise

We are committed to supporting your work with high-quality reagents, and we're here for you every step of the way. In the unlikely event that one of our products does not perform as expected, you're protected by our Product Promise.
For full details, please see our Terms & Conditions

Please note: All products are 'FOR RESEARCH USE ONLY. NOT FOR USE IN DIAGNOSTIC OR THERAPEUTIC PROCEDURES'.

For licensing inquiries, please contact partnerships@abcam.com