JavaScript is disabled in your browser. Please enable JavaScript to view this website.
AB232021

Anti-Thymidylate Synthase antibody [EPR4545] - BSA and Azide free

Be the first to review this product! Submit a review

|

(1 Publication)

Rabbit Recombinant Monoclonal Thymidylate Synthase antibody. Carrier free. Suitable for IHC-P, IP, WB, ICC/IF, Flow Cyt (Intra) and reacts with Human, Mouse, Rat samples. Cited in 1 publication.

View Alternative Names

TS, OK/SW-cl.29, TYMS, Thymidylate synthase, TSase

5 Images
Flow Cytometry (Intracellular) - Anti-Thymidylate Synthase antibody [EPR4545] - BSA and Azide free (AB232021)
  • Flow Cyt (Intra)

Unknown

Flow Cytometry (Intracellular) - Anti-Thymidylate Synthase antibody [EPR4545] - BSA and Azide free (AB232021)

Intracellular Flow Cytometry analysis of HeLa (Human cervix adenocarcinoma epithelial cell) cells labeling Thymidylate Synthase with purified ab108995 at 1/50 dilution (red). Cells were fixed with 4% Paraformaldehyde. A Goat anti rabbit IgG (Alexa Fluor® 488) secondary antibody was used at 1/2000 dilution. Isotype control - Rabbit monoclonal IgG (Black). Unlabeled control - Cell without incubation with primary antibody and secondary antibody (Blue). This data was developed using the same antibody clone in a different buffer formulation containing PBS, BSA, glycerol, and sodium azide (ab108995).

Immunocytochemistry/ Immunofluorescence - Anti-Thymidylate Synthase antibody [EPR4545] - BSA and Azide free (AB232021)
  • ICC/IF

Unknown

Immunocytochemistry/ Immunofluorescence - Anti-Thymidylate Synthase antibody [EPR4545] - BSA and Azide free (AB232021)

Immunocytochemistry/ Immunofluorescence analysis of Jurkat (Human T cell leukemia T lymphocyte) cells labeling Thymidylate Synthas with Purified ab108995 at 1 : 100 dilution. Cells were fixed in 4% Paraformaldehyde and permeabilized with 0.1% tritonX-100 ab150077 Goat anti rabbit IgG(Alexa Fluor ® 488) was used as the secondary antibody at 1 : 1000 dilution. DAPI nuclear counterstain. PBS instead of the primary antibody was used as the secondary antibody only control.This data was developed using the same antibody clone in a different buffer formulation containing PBS, BSA, glycerol, and sodium azide (ab108995).

Immunoprecipitation - Anti-Thymidylate Synthase antibody [EPR4545] - BSA and Azide free (AB232021)
  • IP

Lab

Immunoprecipitation - Anti-Thymidylate Synthase antibody [EPR4545] - BSA and Azide free (AB232021)

ab108995 (purified) at 1 : 30 dilution (2μg) immunoprecipitating Thymidylate Synthase in Jurkat whole cell lysate.

Lane 1 (input) : Jurkat (Human T cell leukemia T lymphocyte) whole cell lysate,10μg
Lane 2 (+) : ab108995 & Jurkat whole cell lysate
Lane 3 (-) : Rabbit monoclonal IgG (ab172730) instead of ab108995 in Jurkat whole cell lysate

For western blotting, VeriBlot for IP Detection Reagent (HRP) (ab131366) was used for detection at 1 : 1000 dilution.
Blocking and diluting buffer : 5% NFDM/TBST.

This data was developed using the same antibody clone in a different buffer formulation containing PBS, BSA, glycerol, and sodium azide (ab108995).

All lanes:

Immunoprecipitation - Anti-Thymidylate Synthase antibody [EPR4545] (<a href='/en-us/products/primary-antibodies/thymidylate-synthase-antibody-epr4545-ab108995'>ab108995</a>)

Predicted band size: 36 kDa

false

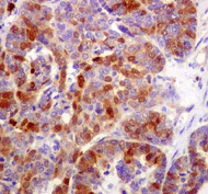
Immunohistochemistry (Formalin/PFA-fixed paraffin-embedded sections) - Anti-Thymidylate Synthase antibody [EPR4545] - BSA and Azide free (AB232021)
  • IHC-P

Unknown

Immunohistochemistry (Formalin/PFA-fixed paraffin-embedded sections) - Anti-Thymidylate Synthase antibody [EPR4545] - BSA and Azide free (AB232021)

Immunohistochemistry (Formalin/PFA-fixed paraffin-embedded sections) analysis of human colon carcinoma tissue sections labeling Thymidylate Synthase with purified ab108995 at 1 : 100 dilution. Heat mediated antigen retrieval was performed using ab93684 (Tris/EDTA buffer, pH 9.0). Tissue was counterstained with hematoxylin. ImmunoHistoProbe one step HRP Polymer (ready to use) secondary antibody was used at 1 : 0 dilution. PBS instead of the primary antibody was used as the negative control.

This data was developed using the same antibody clone in a different buffer formulation containing PBS, BSA, glycerol, and sodium azide (ab108995).

Immunohistochemistry (Formalin/PFA-fixed paraffin-embedded sections) - Anti-Thymidylate Synthase antibody [EPR4545] - BSA and Azide free (AB232021)
  • IHC-P

Unknown

Immunohistochemistry (Formalin/PFA-fixed paraffin-embedded sections) - Anti-Thymidylate Synthase antibody [EPR4545] - BSA and Azide free (AB232021)

Unpurified ab108995 at 1/50 dilution, staining Thymidylate Synthase in Human ovary carcinoma Immunohistochemistry, Paraffin-embedded tissue.

This data was developed using the same antibody clone in a different buffer formulation containing PBS, BSA, glycerol, and sodium azide (ab108995).

Perform heat mediated antigen retrieval before commencing with IHC staining protocol.

  • Unconjugated

    Anti-Thymidylate Synthase antibody [EPR4545]

  • 665 Alexa Fluor® 647

    Alexa Fluor® 647 Anti-Thymidylate Synthase antibody [EPR4545]

  • 519 Alexa Fluor® 488

    Alexa Fluor® 488 Anti-Thymidylate Synthase antibody [EPR4545]

  • 660 APC

    APC Anti-Thymidylate Synthase antibody [EPR4545]

  • 578 PE

    PE Anti-Thymidylate Synthase antibody [EPR4545]

Key facts

Host species

Rabbit

Clonality

Monoclonal

Clone number

EPR4545

Isotype

IgG

Carrier free

Yes

Reacts with

Mouse, Rat, Human

Applications

IP, ICC/IF, Flow Cyt (Intra), WB, IHC-P

applications

Immunogen

The exact immunogen used to generate this antibody is proprietary information.

Specificity

The mouse and rat recommendation is based on the WB results. We do not guarantee IHC-P for mouse and rat.

Reactivity data

{ "title": "Reactivity Data", "filters": { "stats": ["", "Species", "Dilution Info", "Notes"], "tabs": { "all-applications": {"fullname" : "All Applications", "shortname": "All Applications"}, "IHCP" : {"fullname" : "Immunohistochemistry (Formalin/PFA-fixed paraffin-embedded sections)", "shortname":"IHC-P"}, "IP" : {"fullname" : "Immunoprecipitation", "shortname":"IP"}, "WB" : {"fullname" : "Western blot", "shortname":"WB"}, "ICCIF" : {"fullname" : "Immunocytochemistry/ Immunofluorescence", "shortname":"ICC/IF"}, "FlowCytIntra" : {"fullname" : "Flow Cytometry (Intracellular)", "shortname":"Flow Cyt (Intra)"} }, "product-promise": { "all": "all", "testedAndGuaranteed": "tested", "guaranteed": "expected", "predicted": "predicted", "notRecommended": "not-recommended" } }, "values": { "Human": { "IHCP-species-checked": "testedAndGuaranteed", "IHCP-species-dilution-info": "", "IHCP-species-notes": "<p>Heat up to 98°C, below boiling, and then let cool for 10-20 minutes.</p><p>The mouse and rat recommendation is based on the WB results. We do not guarantee IHC-P for mouse and rat.</p>", "IP-species-checked": "testedAndGuaranteed", "IP-species-dilution-info": "", "IP-species-notes": "<p></p>", "WB-species-checked": "guaranteed", "WB-species-dilution-info": "", "WB-species-notes": "<p></p>", "ICCIF-species-checked": "testedAndGuaranteed", "ICCIF-species-dilution-info": "", "ICCIF-species-notes": "<p></p>", "FlowCytIntra-species-checked": "testedAndGuaranteed", "FlowCytIntra-species-dilution-info": "", "FlowCytIntra-species-notes": "<p></p>" }, "Mouse": { "IHCP-species-checked": "predicted", "IHCP-species-dilution-info": "", "IHCP-species-notes": "", "IP-species-checked": "predicted", "IP-species-dilution-info": "", "IP-species-notes": "", "WB-species-checked": "guaranteed", "WB-species-dilution-info": "", "WB-species-notes": "<p></p>", "ICCIF-species-checked": "predicted", "ICCIF-species-dilution-info": "", "ICCIF-species-notes": "", "FlowCytIntra-species-checked": "predicted", "FlowCytIntra-species-dilution-info": "", "FlowCytIntra-species-notes": "" }, "Rat": { "IHCP-species-checked": "predicted", "IHCP-species-dilution-info": "", "IHCP-species-notes": "", "IP-species-checked": "predicted", "IP-species-dilution-info": "", "IP-species-notes": "", "WB-species-checked": "guaranteed", "WB-species-dilution-info": "", "WB-species-notes": "<p></p>", "ICCIF-species-checked": "predicted", "ICCIF-species-dilution-info": "", "ICCIF-species-notes": "", "FlowCytIntra-species-checked": "predicted", "FlowCytIntra-species-dilution-info": "", "FlowCytIntra-species-notes": "" } } }

You may be interested in:

AB288923

Human Thymidylate Synthase ELISA Kit

0

0 Reviews

View product

We recommend this product because it’s often used in the same experiment or related research.

We advise that you always check the datasheet to ensure it fits your experiments, or contact ourtechnical teamfor help.

Product details

Properties and storage information

Form
Liquid
Purification technique
Affinity purification Protein A
Storage buffer
pH: 7.2 - 7.4 Constituents: PBS
Shipped at conditions
Blue Ice
Appropriate short-term storage conditions
+4°C
Appropriate long-term storage conditions
+4°C
Storage information
Do Not Freeze

Supplementary information

This supplementary information is collated from multiple sources and compiled automatically.

Thymidylate Synthase (TS) also known as TYMS or TSase is an important enzyme involved in the de novo synthesis of thymidylate a nucleotide necessary for DNA replication and repair. TS catalyzes the methylation of deoxyuridine monophosphate (dUMP) to deoxythymidine monophosphate (dTMP) using 510-methylenetetrahydrofolate as a cofactor. It has an approximate molecular weight of 36 kDa. The enzyme is expressed in the cytoplasm of proliferating cells predominantly in tissues with high cellular turnover like bone marrow and the intestinal lining.
Biological function summary

Thymidylate synthase plays a critical role in DNA synthesis and cell division. As a member of the folate cycle it indirectly influences the supply of thymidine for DNA synthesis affecting cell proliferation. The enzyme generally functions as a homodimer which is necessary for its activity. Increased expression of TS usually correlates with high rates of cell division making it an important factor in rapidly growing tissues and tumors.

Pathways

Several important biological networks involve thymidylate synthase especially the folate and pyrimidine metabolism pathways. These pathways are essential for the maintenance of nucleotide pools within the cell. TS is functionally related to proteins like dihydrofolate reductase (DHFR) which also play roles in folate metabolism and DNA synthesis. Collectively these proteins ensure the proper balance of nucleotide precursors for DNA replication and repair.

Thymidylate synthase is closely associated with cancer and certain autoimmunity conditions. Overexpression of TS is commonly observed in various cancers as tumor cells require increased nucleotide synthesis for rapid proliferation. This makes TS a target for several anticancer drugs like 5-fluorouracil which inhibits TS activity. Additionally aberrations in enzymes like dihydropyrimidine dehydrogenase (DPD) could affect TS function leading to chemotherapeutic agent sensitivity in cancer treatments.

Product protocols

For this product, it's our understanding that no specific protocols are required. You can visit:

Target data

Catalyzes the reductive methylation of 2'-deoxyuridine 5'-monophosphate (dUMP) to thymidine 5'-monophosphate (dTMP), using the cosubstrate, 5,10- methylenetetrahydrofolate (CH2H4folate) as a 1-carbon donor and reductant and contributes to the de novo mitochondrial thymidylate biosynthesis pathway.
See full target information TYMS

Publications (1)

Recent publications for all applications. Explore the full list and refine your search

Translational lung cancer research 10:2523-2538 PubMed34295659

2021

One carbon metabolism in human lung cancer.

Applications

Unspecified application

Species

Unspecified reactive species

Sha Yao,Luogen Peng,Omar Elakad,Stefan Küffer,Marc Hinterthaner,Bernhard C Danner,Alexander von Hammerstein-Equord,Philipp Ströbel,Hanibal Bohnenberger
View all publications

Product promise

We are committed to supporting your work with high-quality reagents, and we're here for you every step of the way. In the unlikely event that one of our products does not perform as expected, you're protected by our Product Promise.
For full details, please see our Terms & Conditions

Associated Products

Select an associated product type
Alternative Product
Primary Antibodies

AB224649

Anti-Thymidylate Synthase antibody [TYMS/1884]

primary-antibodies

thymidylate-synthase-antibody-tyms-1884-ab224649

0

(0 reviews)

Alternative Product
Primary Antibodies

AB7398

Anti-Thymidylate Synthase antibody

primary-antibodies

thymidylate-synthase-antibody-ab7398

0

(0 reviews)

Alternative Product
Primary Antibodies

AB168853

Anti-Thymidylate Synthase antibody

primary-antibodies

thymidylate-synthase-antibody-ab168853

0

(0 reviews)

Alternative Product
Primary Antibodies

AB111153

Anti-Thymidylate Synthase antibody [SP112]

primary-antibodies

thymidylate-synthase-antibody-sp112-ab111153

0

(0 reviews)

Alternative Product
Primary Antibodies

AB212915

Anti-Thymidylate Synthase antibody [SPM453] - BSA free

primary-antibodies

thymidylate-synthase-antibody-spm453-bsa-free-ab212915

0

(0 reviews)

Alternative Product
Primary Antibodies

AB240947

Anti-Thymidylate Synthase antibody [SP112] - BSA and Azide free

primary-antibodies

thymidylate-synthase-antibody-sp112-bsa-and-azide-free-ab240947

0

(0 reviews)

Alternative Version
Primary Antibodies

AB197899

Alexa Fluor® 647 Anti-Thymidylate Synthase antibody [EPR4545]

primary-antibodies

alexa-fluor-647-thymidylate-synthase-antibody-epr4545-ab197899

0

(0 reviews)

Alternative Version
Primary Antibodies

AB197898

Alexa Fluor® 488 Anti-Thymidylate Synthase antibody [EPR4545]

primary-antibodies

alexa-fluor-488-thymidylate-synthase-antibody-epr4545-ab197898

0

(0 reviews)

Alternative Version
Primary Antibodies

AB225091

APC Anti-Thymidylate Synthase antibody [EPR4545]

primary-antibodies

apc-thymidylate-synthase-antibody-epr4545-ab225091

0

(0 reviews)

Alternative Version
Primary Antibodies

AB225092

PE Anti-Thymidylate Synthase antibody [EPR4545]

primary-antibodies

pe-thymidylate-synthase-antibody-epr4545-ab225092

0

(0 reviews)

Please note: All products are 'FOR RESEARCH USE ONLY. NOT FOR USE IN DIAGNOSTIC OR THERAPEUTIC PROCEDURES'.

For licensing inquiries, please contact partnerships@abcam.com