JavaScript is disabled in your browser. Please enable JavaScript to view this website.
AB111153

Anti-Thymidylate Synthase antibody [SP112]

Be the first to review this product! Submit a review

|

(1 Publication)

Rabbit Recombinant Monoclonal Thymidylate Synthase antibody. Suitable for IHC-P, Flow Cyt (Intra) and reacts with Human samples. Cited in 1 publication.

View Alternative Names

TS, OK/SW-cl.29, TYMS, Thymidylate synthase, TSase

3 Images
Flow Cytometry (Intracellular) - Anti-Thymidylate Synthase antibody [SP112] (AB111153)
  • Flow Cyt (Intra)

Unknown

Flow Cytometry (Intracellular) - Anti-Thymidylate Synthase antibody [SP112] (AB111153)

Flow cytometry analysis of HeLa (human cervix adenocarcinoma epithelial cell) labeling Thymidylate Synthase with purified ab111153 at 1/200 dilution (0.78 μg/ml) (red). Cells were fixed with 4% paraformaldehyde and permeabilised with 90% methanol. Goat anti rabbit IgG (Alexa Fluor® 488, ab150077) at 1/2000 dilution was used as a secondary antibody. Isotype control - Rabbit monoclonal IgG (ab172730) (black). Unlableled control - Unlabelled cells (blue).

Immunohistochemistry (Formalin/PFA-fixed paraffin-embedded sections) - Anti-Thymidylate Synthase antibody [SP112] (AB111153)
  • IHC-P

Unknown

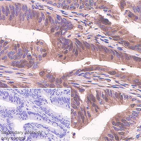
Immunohistochemistry (Formalin/PFA-fixed paraffin-embedded sections) - Anti-Thymidylate Synthase antibody [SP112] (AB111153)

Immunohistochemistry (Formalin/PFA-fixed paraffin-embedded sections) analysis of Human colon carcinoma tissue sections labeling Thymidylate Synthase with ab111153 at 1/100 dilution (1.55 μg/ml). Heat mediated antigen retrieval with Tris-EDTA buffer (pH 9.0, epitope retrieval solution 2) for 10mins. Goat Anti-Rabbit & Mouse IgG (HRP) was used as the secondary antibody. Hematoxylin was used as a counterstain. Positive staining on the human colon carcinoma, with some nuclear staining, performed on a Leica Biosystems BOND™ RX instrument.
The section was incubated with ab111153 for 30 mins at room temperature.

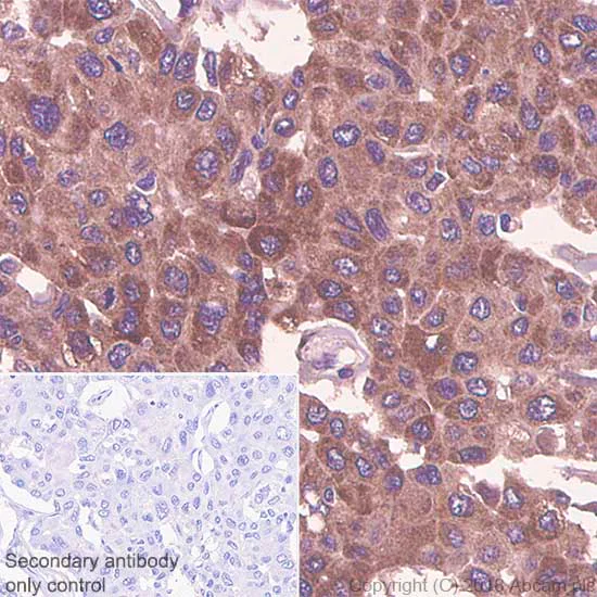
Immunohistochemistry (Formalin/PFA-fixed paraffin-embedded sections) - Anti-Thymidylate Synthase antibody [SP112] (AB111153)
  • IHC-P

Unknown

Immunohistochemistry (Formalin/PFA-fixed paraffin-embedded sections) - Anti-Thymidylate Synthase antibody [SP112] (AB111153)

Immunohistochemistry (Formalin/PFA-fixed paraffin-embedded sections) analysis of Human hepatocellular carcinoma tissue sections labeling Thymidylate Synthase with ab111153 at 1/100 dilution (1.55 μg/ml). Heat mediated antigen retrieval with Tris-EDTA buffer (pH 9.0, epitope retrieval solution 2) for 10mins. Goat Anti-Rabbit & Mouse IgG (HRP) was used as the secondary antibody. Hematoxylin was used as a counterstain. Positive staining on the human hepatocellular carcinoma, performed on a Leica Biosystems BOND™ RX instrument.
The section was incubated with ab111153 for 30 mins at room temperature.

  • Carrier free

    Anti-Thymidylate Synthase antibody [SP112] - BSA and Azide free

Key facts

Host species

Rabbit

Clonality

Monoclonal

Clone number

SP112

Isotype

IgG

Carrier free

No

Reacts with

Human

Applications

Flow Cyt (Intra), IHC-P

applications

Immunogen

The exact immunogen used to generate this antibody is proprietary information.

Reactivity data

{ "title": "Reactivity Data", "filters": { "stats": ["", "Species", "Dilution Info", "Notes"], "tabs": { "all-applications": {"fullname" : "All Applications", "shortname": "All Applications"}, "IHCP" : {"fullname" : "Immunohistochemistry (Formalin/PFA-fixed paraffin-embedded sections)", "shortname":"IHC-P"}, "FlowCytIntra" : {"fullname" : "Flow Cytometry (Intracellular)", "shortname":"Flow Cyt (Intra)"} }, "product-promise": { "all": "all", "testedAndGuaranteed": "tested", "guaranteed": "expected", "predicted": "predicted", "notRecommended": "not-recommended" } }, "values": { "Human": { "IHCP-species-checked": "testedAndGuaranteed", "IHCP-species-dilution-info": "1/100", "IHCP-species-notes": "<p></p> Perform heat-mediated antigen retrieval with citrate buffer pH 6 before commencing with IHC staining protocol.", "FlowCytIntra-species-checked": "testedAndGuaranteed", "FlowCytIntra-species-dilution-info": "1/200", "FlowCytIntra-species-notes": "<p></p>" } } }

Product details

What are the advantages of a recombinant monoclonal antibody?
This product is a recombinant monoclonal antibody, which offers several advantages including:

  • - High batch-to-batch consistency and reproducibility
  • - Improved sensitivity and specificity
  • - Long-term security of supply
  • - Animal-free batch production

For more information, read more on recombinant antibodies.

Properties and storage information

Form
Liquid
Purification technique
Affinity purification Protein A/G
Purification notes
Purified from TCS by protein A/G.
Storage buffer
pH: 7.2 - 7.4 Preservative: 0.1% Sodium azide Constituents: PBS, 1% BSA
Shipped at conditions
Blue Ice
Appropriate short-term storage duration
1-2 weeks
Appropriate short-term storage conditions
+4°C
Appropriate long-term storage conditions
-20°C
Aliquoting information
Upon delivery aliquot
Storage information
Avoid freeze / thaw cycle

Supplementary information

This supplementary information is collated from multiple sources and compiled automatically.

Thymidylate Synthase (TS) also known as TYMS or TSase is an important enzyme involved in the de novo synthesis of thymidylate a nucleotide necessary for DNA replication and repair. TS catalyzes the methylation of deoxyuridine monophosphate (dUMP) to deoxythymidine monophosphate (dTMP) using 510-methylenetetrahydrofolate as a cofactor. It has an approximate molecular weight of 36 kDa. The enzyme is expressed in the cytoplasm of proliferating cells predominantly in tissues with high cellular turnover like bone marrow and the intestinal lining.
Biological function summary

Thymidylate synthase plays a critical role in DNA synthesis and cell division. As a member of the folate cycle it indirectly influences the supply of thymidine for DNA synthesis affecting cell proliferation. The enzyme generally functions as a homodimer which is necessary for its activity. Increased expression of TS usually correlates with high rates of cell division making it an important factor in rapidly growing tissues and tumors.

Pathways

Several important biological networks involve thymidylate synthase especially the folate and pyrimidine metabolism pathways. These pathways are essential for the maintenance of nucleotide pools within the cell. TS is functionally related to proteins like dihydrofolate reductase (DHFR) which also play roles in folate metabolism and DNA synthesis. Collectively these proteins ensure the proper balance of nucleotide precursors for DNA replication and repair.

Thymidylate synthase is closely associated with cancer and certain autoimmunity conditions. Overexpression of TS is commonly observed in various cancers as tumor cells require increased nucleotide synthesis for rapid proliferation. This makes TS a target for several anticancer drugs like 5-fluorouracil which inhibits TS activity. Additionally aberrations in enzymes like dihydropyrimidine dehydrogenase (DPD) could affect TS function leading to chemotherapeutic agent sensitivity in cancer treatments.

Product protocols

For this product, it's our understanding that no specific protocols are required. You can visit:

Target data

Catalyzes the reductive methylation of 2'-deoxyuridine 5'-monophosphate (dUMP) to thymidine 5'-monophosphate (dTMP), using the cosubstrate, 5,10- methylenetetrahydrofolate (CH2H4folate) as a 1-carbon donor and reductant and contributes to the mitochondrial and nuclear de novo thymidylate biosynthesis pathway.
See full target information TYMS

Publications (1)

Recent publications for all applications. Explore the full list and refine your search

Nature genetics 49:1346-1353 PubMed28783163

2017

Frequency of mononuclear diploid cardiomyocytes underlies natural variation in heart regeneration.

Applications

Unspecified application

Species

Unspecified reactive species

Michaela Patterson,Lindsey Barske,Ben Van Handel,Christoph D Rau,Peiheng Gan,Avneesh Sharma,Shan Parikh,Matt Denholtz,Ying Huang,Yukiko Yamaguchi,Hua Shen,Hooman Allayee,J Gage Crump,Thomas I Force,Ching-Ling Lien,Takako Makita,Aldons J Lusis,S Ram Kumar,Henry M Sucov
View all publications

Product promise

We are committed to supporting your work with high-quality reagents, and we're here for you every step of the way. In the unlikely event that one of our products does not perform as expected, you're protected by our Product Promise.
For full details, please see our Terms & Conditions

Please note: All products are 'FOR RESEARCH USE ONLY. NOT FOR USE IN DIAGNOSTIC OR THERAPEUTIC PROCEDURES'.

For licensing inquiries, please contact partnerships@abcam.com