JavaScript is disabled in your browser. Please enable JavaScript to view this website.
AB224649

Anti-Thymidylate Synthase antibody [TYMS/1884]

Be the first to review this product! Submit a review

|

(0 Publication)

Mouse Monoclonal Thymidylate Synthase antibody. Suitable for ICC, Flow Cyt, WB, Protein Array, IHC-P and reacts with Human, Recombinant full length protein - Human samples. Immunogen corresponding to Recombinant Fragment Protein within Human TYMS aa 50-200.

View Alternative Names

TS, OK/SW-cl.29, TYMS, Thymidylate synthase, TSase

5 Images
Immunocytochemistry - Anti-Thymidylate Synthase antibody [TYMS/1884] (AB224649)
  • ICC

Supplier Data

Immunocytochemistry - Anti-Thymidylate Synthase antibody [TYMS/1884] (AB224649)

Flow Cytometry analysis of PFA-fixed Ramos (human Burkitt's lymphoma cell line) cells labeling Thymidylate Synthase with ab224649 at 2 μg/mL followed by Goat anti-Mouse IgG-CF488 (Green). Membrane is labeled with Phalloidin (Red).

Flow Cytometry - Anti-Thymidylate Synthase antibody [TYMS/1884] (AB224649)
  • Flow Cyt

Supplier Data

Flow Cytometry - Anti-Thymidylate Synthase antibody [TYMS/1884] (AB224649)

Flow Cytometry analysis of PFA-fixed MOLT-4 (human lymphoblastic leukemia cell line) cells labeling Thymidylate Synthase with ab224649 at 2 μg/106 cells followed by goat anti-Mouse IgG-CF488 (Blue); Isotype Control (Red).

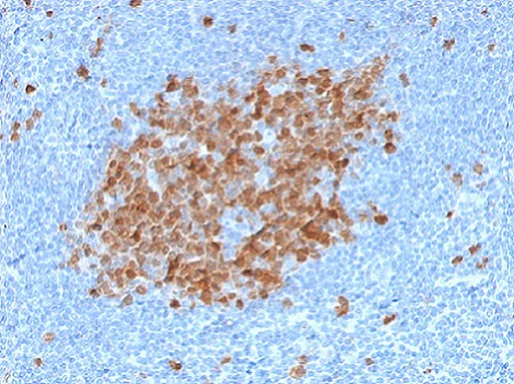
Immunohistochemistry (Formalin/PFA-fixed paraffin-embedded sections) - Anti-Thymidylate Synthase antibody [TYMS/1884] (AB224649)
  • IHC-P

Supplier Data

Immunohistochemistry (Formalin/PFA-fixed paraffin-embedded sections) - Anti-Thymidylate Synthase antibody [TYMS/1884] (AB224649)

Formalin-fixed paraffin-embedded human tonsil tissue stained for Thymidylate Synthase using ab224649 at 2 μg/ml in immunohistochemical analysis.

Protein Array - Anti-Thymidylate Synthase antibody [TYMS/1884] (AB224649)
  • Protein Array

Unknown

Protein Array - Anti-Thymidylate Synthase antibody [TYMS/1884] (AB224649)

ab224649 was tested in protein array against over 19000 different full-length human proteins.
Z- and S- Score : The Z-score represents the strength of a signal that a monoclonal antibody (MAb) (in combination with a fluorescently-tagged anti-IgG secondary antibody) produces when binding to a particular protein on the HuProtTM array. Z-scores are described in units of standard deviations (SD's) above the mean value of all signals generated on that array. If targets on HuProtTM are arranged in descending order of the Z-score the S-score is the difference (also in units of SD's) between the Z-score. S-score therefore represents the relative target specificity of a MAb to its intended target.
A MAb is specific to its intended target if the MAb has an S-score of at least 2.5. For example if a MAb binds to protein X with a Z-score of 43 and to protein Y with a Z-score of 14 then the S-score for the binding of that MAb to protein X is equal to 29.

Western blot - Anti-Thymidylate Synthase antibody [TYMS/1884] (AB224649)
  • WB

Supplier Data

Western blot - Anti-Thymidylate Synthase antibody [TYMS/1884] (AB224649)

All lanes:

Western blot - Anti-Thymidylate Synthase antibody [TYMS/1884] (ab224649) at 2 µg/mL

All lanes:

HeLa (human epithelial cell line from cervix adenocarcinoma) whole cell lysate

Predicted band size: 36 kDa

false

Key facts

Host species

Mouse

Clonality

Monoclonal

Clone number

TYMS/1884

Isotype

IgG2a

Light chain type

kappa

Carrier free

No

Reacts with

Human

Applications

Protein Array, ICC, WB, Flow Cyt, IHC-P

applications

Immunogen

Recombinant Fragment Protein within Human TYMS aa 50-200. The exact immunogen used to generate this antibody is proprietary information.

P04818

Reactivity data

{ "title": "Reactivity Data", "filters": { "stats": ["", "Species", "Dilution Info", "Notes"], "tabs": { "all-applications": {"fullname" : "All Applications", "shortname": "All Applications"}, "ICC" : {"fullname" : "Immunocytochemistry", "shortname":"ICC"}, "FlowCyt" : {"fullname" : "Flow Cytometry", "shortname":"Flow Cyt"}, "WB" : {"fullname" : "Western blot", "shortname":"WB"}, "ProteinArray" : {"fullname" : "Protein Array", "shortname":"Protein Array"}, "IHCP" : {"fullname" : "Immunohistochemistry (Formalin/PFA-fixed paraffin-embedded sections)", "shortname":"IHC-P"} }, "product-promise": { "all": "all", "testedAndGuaranteed": "tested", "guaranteed": "expected", "predicted": "predicted", "notRecommended": "not-recommended" } }, "values": { "Human": { "ICC-species-checked": "testedAndGuaranteed", "ICC-species-dilution-info": "1-2 µg/mL", "ICC-species-notes": "<p></p>", "FlowCyt-species-checked": "testedAndGuaranteed", "FlowCyt-species-dilution-info": "1-2 µg for 10^6 Cells", "FlowCyt-species-notes": "<p></p>", "WB-species-checked": "testedAndGuaranteed", "WB-species-dilution-info": "1-2 µg/mL", "WB-species-notes": "<p></p>", "ProteinArray-species-checked": "guaranteed", "ProteinArray-species-dilution-info": "", "ProteinArray-species-notes": "", "IHCP-species-checked": "testedAndGuaranteed", "IHCP-species-dilution-info": "1-2 µg/mL", "IHCP-species-notes": "<p>Primary incubation for 30 minutes at room temperature.</p> Perform heat-mediated antigen retrieval with Tris/EDTA buffer pH 9.0 before commencing with IHC staining protocol." }, "Recombinant full length protein - Human": { "ICC-species-checked": "notRecommended", "ICC-species-dilution-info": "", "ICC-species-notes": "", "FlowCyt-species-checked": "notRecommended", "FlowCyt-species-dilution-info": "", "FlowCyt-species-notes": "", "WB-species-checked": "notRecommended", "WB-species-dilution-info": "", "WB-species-notes": "", "ProteinArray-species-checked": "testedAndGuaranteed", "ProteinArray-species-dilution-info": "", "ProteinArray-species-notes": "<p></p>", "IHCP-species-checked": "notRecommended", "IHCP-species-dilution-info": "", "IHCP-species-notes": "" } } }

Properties and storage information

Form
Liquid
Purification technique
Affinity purification Protein A/G
Purification notes
ab224649 was purified from Bioreactor concentrate by Protein A/G.
Storage buffer
pH: 7.2 - 7.4 Preservative: 0.05% Sodium azide Constituents: PBS, 0.05% BSA
Shipped at conditions
Blue Ice
Appropriate short-term storage duration
1-2 weeks
Appropriate short-term storage conditions
+4°C
Appropriate long-term storage conditions
-20°C
Aliquoting information
Upon delivery aliquot
Storage information
Avoid freeze / thaw cycle

Supplementary information

This supplementary information is collated from multiple sources and compiled automatically.

Thymidylate Synthase (TS) also known as TYMS or TSase is an important enzyme involved in the de novo synthesis of thymidylate a nucleotide necessary for DNA replication and repair. TS catalyzes the methylation of deoxyuridine monophosphate (dUMP) to deoxythymidine monophosphate (dTMP) using 510-methylenetetrahydrofolate as a cofactor. It has an approximate molecular weight of 36 kDa. The enzyme is expressed in the cytoplasm of proliferating cells predominantly in tissues with high cellular turnover like bone marrow and the intestinal lining.
Biological function summary

Thymidylate synthase plays a critical role in DNA synthesis and cell division. As a member of the folate cycle it indirectly influences the supply of thymidine for DNA synthesis affecting cell proliferation. The enzyme generally functions as a homodimer which is necessary for its activity. Increased expression of TS usually correlates with high rates of cell division making it an important factor in rapidly growing tissues and tumors.

Pathways

Several important biological networks involve thymidylate synthase especially the folate and pyrimidine metabolism pathways. These pathways are essential for the maintenance of nucleotide pools within the cell. TS is functionally related to proteins like dihydrofolate reductase (DHFR) which also play roles in folate metabolism and DNA synthesis. Collectively these proteins ensure the proper balance of nucleotide precursors for DNA replication and repair.

Thymidylate synthase is closely associated with cancer and certain autoimmunity conditions. Overexpression of TS is commonly observed in various cancers as tumor cells require increased nucleotide synthesis for rapid proliferation. This makes TS a target for several anticancer drugs like 5-fluorouracil which inhibits TS activity. Additionally aberrations in enzymes like dihydropyrimidine dehydrogenase (DPD) could affect TS function leading to chemotherapeutic agent sensitivity in cancer treatments.

Product protocols

For this product, it's our understanding that no specific protocols are required. You can visit:

Target data

Catalyzes the reductive methylation of 2'-deoxyuridine 5'-monophosphate (dUMP) to thymidine 5'-monophosphate (dTMP), using the cosubstrate, 5,10- methylenetetrahydrofolate (CH2H4folate) as a 1-carbon donor and reductant and contributes to the de novo mitochondrial thymidylate biosynthesis pathway.
See full target information TYMS

Product promise

We are committed to supporting your work with high-quality reagents, and we're here for you every step of the way. In the unlikely event that one of our products does not perform as expected, you're protected by our Product Promise.
For full details, please see our Terms & Conditions

Please note: All products are 'FOR RESEARCH USE ONLY. NOT FOR USE IN DIAGNOSTIC OR THERAPEUTIC PROCEDURES'.

For licensing inquiries, please contact partnerships@abcam.com