JavaScript is disabled in your browser. Please enable JavaScript to view this website.
AB198738

Anti-Thymosin beta 10 antibody - C-terminal

Be the first to review this product! Submit a review

|

(1 Publication)

Rabbit Polyclonal Thymosin beta 10 antibody. C-terminal. Suitable for IHC-P and reacts with Human samples. Cited in 1 publication. Immunogen corresponding to Synthetic Peptide within Human TMSB10.

View Alternative Names

PTMB10, THYB10, TMSB10, Thymosin beta-10

2 Images
Immunohistochemistry (Formalin/PFA-fixed paraffin-embedded sections) - Anti-Thymosin beta 10 antibody - C-terminal (AB198738)
  • IHC-P

Supplier Data

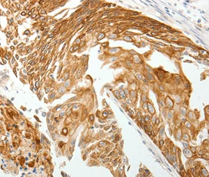
Immunohistochemistry (Formalin/PFA-fixed paraffin-embedded sections) - Anti-Thymosin beta 10 antibody - C-terminal (AB198738)

Immunohistochemical analysis of Paraffin-embedded Human tonsil cancer tissue labeling Thymosin beta 10 with ab198738 at 1/15 dilution.

Immunohistochemistry (Formalin/PFA-fixed paraffin-embedded sections) - Anti-Thymosin beta 10 antibody - C-terminal (AB198738)
  • IHC-P

Supplier Data

Immunohistochemistry (Formalin/PFA-fixed paraffin-embedded sections) - Anti-Thymosin beta 10 antibody - C-terminal (AB198738)

Immunohistochemical analysis of Paraffin-embedded Human cervical cancer tissue labeling Thymosin beta 10 with ab198738 at 1/15 dilution.

Key facts

Host species

Rabbit

Clonality

Polyclonal

Isotype

IgG

Carrier free

No

Reacts with

Human

Applications

IHC-P

applications

Immunogen

Synthetic Peptide within Human TMSB10. The exact immunogen used to generate this antibody is proprietary information.

P63313

Reactivity data

{ "title": "Reactivity Data", "filters": { "stats": ["", "Species", "Dilution Info", "Notes"], "tabs": { "all-applications": {"fullname" : "All Applications", "shortname": "All Applications"}, "IHCP" : {"fullname" : "Immunohistochemistry (Formalin/PFA-fixed paraffin-embedded sections)", "shortname":"IHC-P"} }, "product-promise": { "all": "all", "testedAndGuaranteed": "tested", "guaranteed": "expected", "predicted": "predicted", "notRecommended": "not-recommended" } }, "values": { "Human": { "IHCP-species-checked": "testedAndGuaranteed", "IHCP-species-dilution-info": "1/25 - 1/100", "IHCP-species-notes": "<p></p>" } } }

Properties and storage information

Form
Liquid
Purification technique
Affinity purification Immunogen
Storage buffer
pH: 7.4 Preservative: 0.05% Sodium azide Constituents: 50% Glycerol (glycerin, glycerine), 49% PBS
Shipped at conditions
Blue Ice
Appropriate short-term storage duration
1-2 weeks
Appropriate short-term storage conditions
+4°C
Appropriate long-term storage conditions
-20°C
Aliquoting information
Upon delivery aliquot
Storage information
Avoid freeze / thaw cycle

Supplementary information

This supplementary information is collated from multiple sources and compiled automatically.

Thymosin beta 10 also known as TMSB10 is a small protein that plays a role in the dynamics of the cytoskeleton. It has a mass of approximately 5 kDa. TMSB10 is found in various tissues with high expression levels in the brain kidney and heart. Its function involves binding to actin monomers preventing polymerization and consequently regulating actin filament assembly in cells.
Biological function summary

TMSB10 significantly influences cell movement and proliferation. It serves as an actin-sequestering protein and is not generally part of a larger protein complex. TMSB10 promotes cell motility and plays an essential part in processes like wound healing and angiogenesis. Through these actions it helps in tissue regeneration and repair influencing the cell's structural organization and signaling.

Pathways

TMSB10 is involved in the actin cytoskeleton pathway and cellular signaling pathways that govern movement and shape changes in cells. Its interaction with actin places it in relation to actin-related protein (ARP) complexes such as Arp2/3 which facilitate actin filament branching. In addition TMSB10's regulation of actin dynamics links it to pathways involving proteins like cofilin which modulates actin filament turnover.

TMSB10 shows a connection to cancer and cardiovascular disorders. Elevated levels of TMSB10 have been associated with tumor progression due to its role in enhancing cell movement and metastasis. In cardiovascular disorders changes in TMSB10 expression can impact cardiac function due to its influence on actin dynamics. Proteins such as vascular endothelial growth factor (VEGF) interact with TMSB10 during pathological conditions further illustrating its role in disease mechanisms.

Product protocols

For this product, it's our understanding that no specific protocols are required. You can visit:

Target data

Plays an important role in the organization of the cytoskeleton. Binds to and sequesters actin monomers (G actin) and therefore inhibits actin polymerization (By similarity).
See full target information TMSB10

Publications (1)

Recent publications for all applications. Explore the full list and refine your search

PeerJ 11:e14850 PubMed36793891

2023

Abnormal expression of induces intravillous vascularization dysplasia in ectopic pregnancy.

Applications

Unspecified application

Species

Unspecified reactive species

Qian Zhu,Xiaoya Zhao,Duo Zhang,Wei Xia,Jian Zhang
View all publications

Product promise

We are committed to supporting your work with high-quality reagents, and we're here for you every step of the way. In the unlikely event that one of our products does not perform as expected, you're protected by our Product Promise.
For full details, please see our Terms & Conditions

Please note: All products are 'FOR RESEARCH USE ONLY. NOT FOR USE IN DIAGNOSTIC OR THERAPEUTIC PROCEDURES'.

For licensing inquiries, please contact partnerships@abcam.com