JavaScript is disabled in your browser. Please enable JavaScript to view this website.
AB323478

Anti-Thymosin beta 4 antibody [EPR26609-45]

Be the first to review this product! Submit a review

|

(0 Publication)

Rabbit Recombinant Monoclonal Thymosin beta 4 antibody. Suitable for I-ELISA, WB and reacts with Synthetic peptide - Human, Human, Mouse samples.

View Alternative Names

TB4X, THYB4, TMSB4, TMSB4X, Thymosin beta-4, T beta-4, Fx, Ptmb4, Tmsb4, Thymosin beta-4, T beta 4

5 Images
Western blot - Anti-Thymosin beta 4 antibody [EPR26609-45] (AB323478)
  • WB

Supplier Data

Western blot - Anti-Thymosin beta 4 antibody [EPR26609-45] (AB323478)

Blocking and diluting buffer and concentration : 5% NFDM/TBST.

The expression of Thymosin beta 4 is upregulated in response to PMA treatment. (PMID : 3500230).

In Western blot, Anti-GAPDH antibody [EPR16891] - Loading Control (ab181602) staining at 1/200000 dilution.

All lanes:

Western blot - Anti-Thymosin beta 4 antibody [EPR26609-45] (ab323478) at 1/1000 dilution

Lane 1:

Untreated HL-60 (human acute promyelocytic leukemia promyeloblast) whole cell lysate at 40 µg

Lane 2:

HL-60 treated with 50ng/ml PMA for 72h whole cell lysate at 40 µg

Lane 3:

HL-60 treated with 10 uM MG-132 for 4 hours whole cell lysate at 40 µg

Lane 4:

HL-60 treated with 50ng/ml PMA for 72h, 10 uM MG-132 was then added for additional 4h whole cell lysate at 40 µg

Secondary

All lanes:

Western blot - Goat Anti-Rabbit IgG H&L (HRP) (<a href='/en-us/products/secondary-antibodies/goat-rabbit-igg-h-l-hrp-ab97051'>ab97051</a>) at 1/100000 dilution

Observed band size: 13 kDa,36 kDa

false

Exposure time: 81s

Western blot - Anti-Thymosin beta 4 antibody [EPR26609-45] (AB323478)
  • WB

Supplier Data

Western blot - Anti-Thymosin beta 4 antibody [EPR26609-45] (AB323478)

Blocking and diluting buffer and concentration : 5% NFDM/TBST.

The observed molecular weight is greater than the theoretical value due to its hydrophilic nature, which causes slower migration on SDS-PAGE (PMID : 24109178).

In Western blot, Anti-GAPDH antibody [EPR16891] - Loading Control (ab181602) staining at 1/200000 dilution.

All lanes:

Western blot - Anti-Thymosin beta 4 antibody [EPR26609-45] (ab323478) at 1/1000 dilution

Lane 1:

THP-1 (human monocytic leukemia monocyte) transfected with scrambled siRNA control whole cell lysate at 50 µg

Lane 2:

THP-1 transfected with siRNA specifically targeting Thymosin beta 4 whole cell lysate at 50 µg

Secondary

All lanes:

Western blot - Goat Anti-Rabbit IgG H&L (HRP) (<a href='/en-us/products/secondary-antibodies/goat-rabbit-igg-h-l-hrp-ab97051'>ab97051</a>) at 1/100000 dilution

Observed band size: 13 kDa,36 kDa

false

Exposure time: 59s

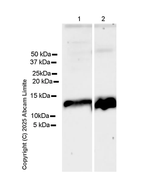
Western blot - Anti-Thymosin beta 4 antibody [EPR26609-45] (AB323478)
  • WB

Supplier Data

Western blot - Anti-Thymosin beta 4 antibody [EPR26609-45] (AB323478)

Blocking and diluting buffer and concentration : 5% NFDM/TBST.

All lanes:

Western blot - Anti-Thymosin beta 4 antibody [EPR26609-45] (ab323478) at 1/1000 dilution

Lane 1:

Human liver cancer tissue lysate at 50 µg

Lane 2:

Human breast cancer tissue lysate at 50 µg

Secondary

All lanes:

Western blot - Goat Anti-Rabbit IgG H&L (HRP) (<a href='/en-us/products/secondary-antibodies/goat-rabbit-igg-h-l-hrp-ab97051'>ab97051</a>) at 1/100000 dilution

Observed band size: 13 kDa

false

Exposure time: 59s

Western blot - Anti-Thymosin beta 4 antibody [EPR26609-45] (AB323478)
  • WB

Supplier Data

Western blot - Anti-Thymosin beta 4 antibody [EPR26609-45] (AB323478)

Blocking and diluting buffer and concentration : 5% NFDM/TBST.

Exposure time : Lane 1 : 37 seconds, Lane 2 : 3 seconds

All lanes:

Western blot - Anti-Thymosin beta 4 antibody [EPR26609-45] (ab323478) at 1/1000 dilution

Lane 1:

C2C12 (mouse myoblast) whole cell lysate at 40 µg

Lane 2:

Mouse platelet lysate at 10 µg

Secondary

All lanes:

Western blot - Goat Anti-Rabbit IgG H&L (HRP) (<a href='/en-us/products/secondary-antibodies/goat-rabbit-igg-h-l-hrp-ab97051'>ab97051</a>) at 1/100000 dilution

Observed band size: 13 kDa

false

Indirect ELISA - Anti-Thymosin beta 4 antibody [EPR26609-45] (AB323478)
  • I-ELISA

Supplier Data

Indirect ELISA - Anti-Thymosin beta 4 antibody [EPR26609-45] (AB323478)

Indirect ELISA analysis of ab323478 at 1000-0 ng/ml. The Secondary antibody used was Alkaline Phosphatase-conjugated AffiniPure Goat Anti-Rabbit IgG (H+L) at 1 : 2500 dilution dilution.

Antigen : Human Thymosin beta-4; Human Thymosin beta-4, Y-chromosomal; Human Thymosin beta-10.

Antigen concentration : 1000 ng/ml

Key facts

Host species

Rabbit

Clonality

Monoclonal

Clone number

EPR26609-45

Isotype

IgG

Carrier free

No

Reacts with

Human, Mouse

Applications

I-ELISA, WB

applications

Immunogen

The exact immunogen used to generate this antibody is proprietary information.

Specificity

This antibody does not cross-react with human Thymosin beta-4, Y-chromosomal and Thymosin beta-10.

Reactivity data

{ "title": "Reactivity Data", "filters": { "stats": ["", "Species", "Dilution Info", "Notes"], "tabs": { "all-applications": {"fullname" : "All Applications", "shortname": "All Applications"}, "IELISA" : {"fullname" : "Indirect ELISA", "shortname":"I-ELISA"}, "WB" : {"fullname" : "Western blot", "shortname":"WB"}, "IHCP" : {"fullname" : "Immunohistochemistry (Formalin/PFA-fixed paraffin-embedded sections)", "shortname":"IHC-P"} }, "product-promise": { "all": "all", "testedAndGuaranteed": "tested", "guaranteed": "expected", "predicted": "predicted", "notRecommended": "not-recommended" } }, "values": { "Human": { "IELISA-species-checked": "guaranteed", "IELISA-species-dilution-info": "", "IELISA-species-notes": "", "WB-species-checked": "testedAndGuaranteed", "WB-species-dilution-info": "1/1000", "WB-species-notes": "<p></p>", "IHCP-species-checked": "notRecommended", "IHCP-species-dilution-info": "", "IHCP-species-notes": "<p></p>" }, "Mouse": { "IELISA-species-checked": "guaranteed", "IELISA-species-dilution-info": "", "IELISA-species-notes": "", "WB-species-checked": "testedAndGuaranteed", "WB-species-dilution-info": "1/1000", "WB-species-notes": "<p></p>", "IHCP-species-checked": "notRecommended", "IHCP-species-dilution-info": "", "IHCP-species-notes": "<p></p>" }, "Synthetic peptide - Human": { "IELISA-species-checked": "testedAndGuaranteed", "IELISA-species-dilution-info": "62.5 ng/mL", "IELISA-species-notes": "<p></p>", "WB-species-checked": "notRecommended", "WB-species-dilution-info": "", "WB-species-notes": "", "IHCP-species-checked": "notRecommended", "IHCP-species-dilution-info": "", "IHCP-species-notes": "" } } }

Product details

Patented technology
Our RabMAb® technology is a patented hybridoma-based technology for making rabbit monoclonal antibodies. For details on our patents, please refer to RabMAb® patents.

What are the advantages of a recombinant monoclonal antibody?
This product is a recombinant monoclonal antibody, which offers several advantages including:

  • - High batch-to-batch consistency and reproducibility
  • - Improved sensitivity and specificity
  • - Long-term security of supply
  • - Animal-free batch production

For more information, read more on recombinant antibodies.

Properties and storage information

Form
Liquid
Purification technique
Affinity purification Protein A
Storage buffer
pH: 7.2 - 7.4 Preservative: 0.01% Sodium azide Constituents: PBS, 40% Glycerol (glycerin, glycerine), 0.05% BSA
Shipped at conditions
Blue Ice
Appropriate short-term storage duration
1-2 weeks
Appropriate short-term storage conditions
+4°C
Appropriate long-term storage conditions
-20°C
Aliquoting information
Upon delivery aliquot
Storage information
Avoid freeze / thaw cycle

Product protocols

For this product, it's our understanding that no specific protocols are required. You can visit:

Target data

Plays an important role in the organization of the cytoskeleton (PubMed : 10848969, PubMed : 1999398). Binds to and sequesters actin monomers (G actin) and therefore inhibits actin polymerization (PubMed : 10848969, PubMed : 1999398).. Hemoregulatory peptide AcSDKP. Potent inhibitor of bone marrow derived stem cell differentiation (PubMed : 7694679). Acts by inhibits the entry of hematopoietic pluripotent stem cells into the S-phase (By similarity).
See full target information TMSB4X

Product promise

We are committed to supporting your work with high-quality reagents, and we're here for you every step of the way. In the unlikely event that one of our products does not perform as expected, you're protected by our Product Promise.
For full details, please see our Terms & Conditions

Please note: All products are 'FOR RESEARCH USE ONLY. NOT FOR USE IN DIAGNOSTIC OR THERAPEUTIC PROCEDURES'.

For licensing inquiries, please contact partnerships@abcam.com