JavaScript is disabled in your browser. Please enable JavaScript to view this website.
AB187378

Anti-Thyroglobulin antibody [2H11]

Be the first to review this product! Submit a review

|

(3 Publications)

Mouse Monoclonal Thyroglobulin antibody. Suitable for IHC-P and reacts with Human samples. Cited in 3 publications. Immunogen corresponding to Cell preparation containing Thyroglobulin protein.

View Alternative Names

Thyroglobulin, Tg, TG

1 Images
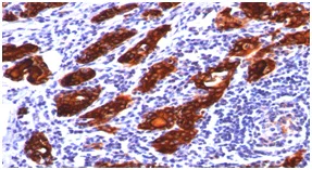
Immunohistochemistry (Formalin/PFA-fixed paraffin-embedded sections) - Anti-Thyroglobulin antibody [2H11] (AB187378)
  • IHC-P

Supplier Data

Immunohistochemistry (Formalin/PFA-fixed paraffin-embedded sections) - Anti-Thyroglobulin antibody [2H11] (AB187378)

Immunohistochemical analysis of Paraffin embedded, formalin fixed Human thyroid tissue labelilng Thyroglobulin using ab187378 at 1μg/ml.

Key facts

Host species

Mouse

Clonality

Monoclonal

Clone number

2H11

Isotype

IgG1

Light chain type

kappa

Carrier free

No

Reacts with

Human

Applications

IHC-P

applications

Immunogen

Cell preparation containing Thyroglobulin protein. The exact immunogen used to generate this antibody is proprietary information.

P01266

Reactivity data

{ "title": "Reactivity Data", "filters": { "stats": ["", "Species", "Dilution Info", "Notes"], "tabs": { "all-applications": {"fullname" : "All Applications", "shortname": "All Applications"}, "IHCP" : {"fullname" : "Immunohistochemistry (Formalin/PFA-fixed paraffin-embedded sections)", "shortname":"IHC-P"} }, "product-promise": { "all": "all", "testedAndGuaranteed": "tested", "guaranteed": "expected", "predicted": "predicted", "notRecommended": "not-recommended" } }, "values": { "Human": { "IHCP-species-checked": "testedAndGuaranteed", "IHCP-species-dilution-info": "0.1-0.2 µg/mL", "IHCP-species-notes": "<p></p>" } } }

Properties and storage information

Form
Liquid
Purification technique
Affinity purification Protein G
Storage buffer
pH: 7.2 - 7.4 Preservative: 0.05% Sodium azide Constituents: PBS, 0.05% BSA
Shipped at conditions
Blue Ice
Appropriate short-term storage duration
1-2 weeks
Appropriate short-term storage conditions
+4°C
Appropriate long-term storage conditions
-20°C
Aliquoting information
Upon delivery aliquot
Storage information
Avoid freeze / thaw cycle

Supplementary information

This supplementary information is collated from multiple sources and compiled automatically.

Thyroglobulin often abbreviated as Tg is a glycoprotein with a molecular mass of approximately 660 kDa. It is expressed primarily in the thyroid gland particularly within the follicular cells. This protein serves as a precursor for thyroid hormones such as thyroxine (T4) and triiodothyronine (T3). High thyroglobulin levels in the bloodstream can indicate altered thyroid function and clinicians frequently measure these levels for diagnostic purposes. Researchers have developed specific anti-thyroglobulin antibodies to facilitate the study and measurement of this protein in various contexts.
Biological function summary

Thyroglobulin plays a critical role in the synthesis and storage of thyroid hormones. It acts as a scaffold for iodination and hormone synthesis within the colloid of thyroid follicles. Thyroglobulin is not part of a protein complex; rather it undergoes iodination to form hormone precursors that later convert into active hormones. Anti-thyroglobulin antibodies can be used in research or diagnostic labs to detect the presence or concentration of thyroglobulin in serum samples. These antibodies help in understanding the nuances of thyroid hormone biosynthesis and in monitoring thyroid activity.

Pathways

Thyroglobulin is deeply involved in the thyroid hormone synthesis pathway a fundamental part of the endocrine system's operations. This process connects closely with the iodine metabolism pathway as iodine plays an essential role in hormone production. Thyroglobulin interacts indirectly with proteins like thyroid peroxidase which catalyzes iodination of thyroglobulin. The synthesis and release of thyroid hormones proceed through a carefully orchestrated sequence affecting many physiological processes including metabolism growth and development.

Thyroglobulin has associations with conditions such as thyroid cancer and autoimmune thyroid diseases. For instance elevated serum thyroglobulin can serve as a tumor marker in differentiated thyroid cancer. Anti-thyroglobulin antibodies are often present in autoimmune thyroid diseases like Hashimoto's thyroiditis where the body's immune system mistakenly targets thyroid proteins. Thyroid peroxidase antibodies are also common in these disorders indicating a shared autoimmune response against thyroid-specific antigens. Understanding these relationships aids in the diagnosis and management of thyroid-related conditions.

Product protocols

For this product, it's our understanding that no specific protocols are required. You can visit:

Target data

Acts as a substrate for the production of iodinated thyroid hormones thyroxine (T4) and triiodothyronine (T3) (PubMed : 17532758, PubMed : 32025030). The synthesis of T3 and T4 involves iodination of selected tyrosine residues of TG/thyroglobulin followed by their oxidative coupling in the thyroid follicle lumen (PubMed : 32025030). Following TG re-internalization and lysosomal-mediated proteolysis, T3 and T4 are released from the polypeptide backbone leading to their secretion into the bloodstream (PubMed : 32025030). One dimer produces 7 thyroid hormone molecules (PubMed : 32025030).
See full target information Thyroglobulin

Publications (3)

Recent publications for all applications. Explore the full list and refine your search

Advanced science (Weinheim, Baden-Wurttemberg, Germany) 10:e2302561 PubMed37897317

2023

Mammary Microvessels are Sensitive to Menstrual Cycle Sex Hormones.

Applications

Unspecified application

Species

Unspecified reactive species

Carmen Moccia,Marta Cherubini,Marina Fortea,Akinola Akinbote,Prasanna Padmanaban,Violeta Beltran-Sastre,Kristina Haase

Endocrine connections 10:570-578 PubMed33909590

2021

Functional model of rat thyroid follicles cultured in Matrigel.

Applications

Unspecified application

Species

Unspecified reactive species

Antonina Khoruzhenko,Françoise Miot,Claude Massart,Jacqueline Van Sande,Jacques Emile Dumont,Renaud Beauwens,Alain Boom

Molecular medicine reports 19:4514-4522 PubMed30942410

2019

HPT axis‑independent TSHβ splice variant regulates the synthesis of thyroid hormone in mice.

Applications

Unspecified application

Species

Unspecified reactive species

Chunrong Liu,Jun Miao,Xiaorong Liu,Zhankao Zhao,Tianlei Kou,Jing Liu,Ruimin Wang,Lanying Li,Qian Dong
View all publications

Product promise

We are committed to supporting your work with high-quality reagents, and we're here for you every step of the way. In the unlikely event that one of our products does not perform as expected, you're protected by our Product Promise.
For full details, please see our Terms & Conditions

Please note: All products are 'FOR RESEARCH USE ONLY. NOT FOR USE IN DIAGNOSTIC OR THERAPEUTIC PROCEDURES'.

For licensing inquiries, please contact partnerships@abcam.com