JavaScript is disabled in your browser. Please enable JavaScript to view this website.
AB92467

Anti-Thyroglobulin antibody [EPR3614]

Be the first to review this product! Submit a review

|

(3 Publications)

Rabbit Recombinant Monoclonal Thyroglobulin antibody. Suitable for IHC-P, WB and reacts with Human samples. Cited in 3 publications.

View Alternative Names

Thyroglobulin, Tg, TG

2 Images
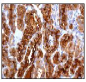
Immunohistochemistry (Formalin/PFA-fixed paraffin-embedded sections) - Anti-Thyroglobulin antibody [EPR3614] (AB92467)
  • IHC-P

Unknown

Immunohistochemistry (Formalin/PFA-fixed paraffin-embedded sections) - Anti-Thyroglobulin antibody [EPR3614] (AB92467)

ab92467 at a 1/2500 dilution staining Thyroglobulin in paraffin embedded Human papillary thyroid carcinoma tissue by Immunohistochemisty.

Perform heat mediated antigen retrieval with citrate buffer pH 6 before commencing with IHC staining protocol.

Western blot - Anti-Thyroglobulin antibody [EPR3614] (AB92467)
  • WB

Unknown

Western blot - Anti-Thyroglobulin antibody [EPR3614] (AB92467)

All lanes:

Western blot - Anti-Thyroglobulin antibody [EPR3614] (ab92467) at 1/10000 dilution

All lanes:

Human thyroid lysate at 10 µg

Secondary

All lanes:

HRP labelled goat anti-rabbit IgG at 1/2000 dilution

Predicted band size: 305 kDa

false

Key facts

Host species

Rabbit

Clonality

Monoclonal

Clone number

EPR3614

Isotype

IgG

Carrier free

No

Reacts with

Human

Applications

WB, IHC-P

applications

Immunogen

The exact immunogen used to generate this antibody is proprietary information.

Reactivity data

{ "title": "Reactivity Data", "filters": { "stats": ["", "Species", "Dilution Info", "Notes"], "tabs": { "all-applications": {"fullname" : "All Applications", "shortname": "All Applications"}, "IHCP" : {"fullname" : "Immunohistochemistry (Formalin/PFA-fixed paraffin-embedded sections)", "shortname":"IHC-P"}, "WB" : {"fullname" : "Western blot", "shortname":"WB"} }, "product-promise": { "all": "all", "testedAndGuaranteed": "tested", "guaranteed": "expected", "predicted": "predicted", "notRecommended": "not-recommended" } }, "values": { "Human": { "IHCP-species-checked": "testedAndGuaranteed", "IHCP-species-dilution-info": "1/250 - 1/500", "IHCP-species-notes": "<p></p>", "WB-species-checked": "testedAndGuaranteed", "WB-species-dilution-info": "1/10000 - 1/20000", "WB-species-notes": "<p></p>" } } }

Product details

Patented technology
Our RabMAb® technology is a patented hybridoma-based technology for making rabbit monoclonal antibodies. For details on our patents, please refer to RabMAb® patents.

What are the advantages of a recombinant monoclonal antibody?
This product is a recombinant monoclonal antibody, which offers several advantages including:

  • - High batch-to-batch consistency and reproducibility
  • - Improved sensitivity and specificity
  • - Long-term security of supply
  • - Animal-free batch production

For more information, read more on recombinant antibodies.

Properties and storage information

Form
Liquid
Purity
Tissue culture supernatant
Storage buffer
pH: 7.2 - 7.4 Preservative: 0.05% Sodium azide Constituents: 50% Tissue culture supernatant, 40% Glycerol (glycerin, glycerine), 9.85% Tris glycine
Shipped at conditions
Blue Ice
Appropriate short-term storage conditions
+4°C
Appropriate long-term storage conditions
-20°C
Storage information
Stable for 12 months at -20°C

Supplementary information

This supplementary information is collated from multiple sources and compiled automatically.

Thyroglobulin often abbreviated as Tg is a glycoprotein with a molecular mass of approximately 660 kDa. It is expressed primarily in the thyroid gland particularly within the follicular cells. This protein serves as a precursor for thyroid hormones such as thyroxine (T4) and triiodothyronine (T3). High thyroglobulin levels in the bloodstream can indicate altered thyroid function and clinicians frequently measure these levels for diagnostic purposes. Researchers have developed specific anti-thyroglobulin antibodies to facilitate the study and measurement of this protein in various contexts.
Biological function summary

Thyroglobulin plays a critical role in the synthesis and storage of thyroid hormones. It acts as a scaffold for iodination and hormone synthesis within the colloid of thyroid follicles. Thyroglobulin is not part of a protein complex; rather it undergoes iodination to form hormone precursors that later convert into active hormones. Anti-thyroglobulin antibodies can be used in research or diagnostic labs to detect the presence or concentration of thyroglobulin in serum samples. These antibodies help in understanding the nuances of thyroid hormone biosynthesis and in monitoring thyroid activity.

Pathways

Thyroglobulin is deeply involved in the thyroid hormone synthesis pathway a fundamental part of the endocrine system's operations. This process connects closely with the iodine metabolism pathway as iodine plays an essential role in hormone production. Thyroglobulin interacts indirectly with proteins like thyroid peroxidase which catalyzes iodination of thyroglobulin. The synthesis and release of thyroid hormones proceed through a carefully orchestrated sequence affecting many physiological processes including metabolism growth and development.

Thyroglobulin has associations with conditions such as thyroid cancer and autoimmune thyroid diseases. For instance elevated serum thyroglobulin can serve as a tumor marker in differentiated thyroid cancer. Anti-thyroglobulin antibodies are often present in autoimmune thyroid diseases like Hashimoto's thyroiditis where the body's immune system mistakenly targets thyroid proteins. Thyroid peroxidase antibodies are also common in these disorders indicating a shared autoimmune response against thyroid-specific antigens. Understanding these relationships aids in the diagnosis and management of thyroid-related conditions.

Product protocols

For this product, it's our understanding that no specific protocols are required. You can visit:

Target data

Acts as a substrate for the production of iodinated thyroid hormones thyroxine (T4) and triiodothyronine (T3) (PubMed : 17532758, PubMed : 32025030). The synthesis of T3 and T4 involves iodination of selected tyrosine residues of TG/thyroglobulin followed by their oxidative coupling in the thyroid follicle lumen (PubMed : 32025030). Following TG re-internalization and lysosomal-mediated proteolysis, T3 and T4 are released from the polypeptide backbone leading to their secretion into the bloodstream (PubMed : 32025030). One dimer produces 7 thyroid hormone molecules (PubMed : 32025030).
See full target information Thyroglobulin

Publications (3)

Recent publications for all applications. Explore the full list and refine your search

PloS one 17:e0262345 PubMed35051203

2022

Subcutaneous transplantation of human thyroid tissue into a pre-vascularized Cell Pouch™ device in a Mus musculus model: Evidence of viability and function for thyroid transplantation.

Applications

Unspecified application

Species

Unspecified reactive species

Sam M Wiseman,Arash Memarnejadian,Guilaine K Boyce,Anne Nguyen,Blair A Walker,Daniel T Holmes,Ian D Welch,Delfina M Mazzuca,Philip M Toleikis

The Journal of clinical endocrinology and metaboli 99:E1236-44 PubMed24708100

2014

Expression of thyrotropin receptor, thyroglobulin, sodium-iodide symporter, and thyroperoxidase by fibrocytes depends on AIRE.

Applications

Unspecified application

Species

Unspecified reactive species

Roshini Fernando,Ying Lu,Stephen J Atkins,Tunde Mester,Kari Branham,Terry J Smith

Proceedings of the National Academy of Sciences of the United States of America 109:7427-32 PubMed22517745

2012

Human fibrocytes coexpress thyroglobulin and thyrotropin receptor.

Applications

ICC/IF

Species

Human

Roshini Fernando,Stephen Atkins,Nupur Raychaudhuri,Ying Lu,Bin Li,Raymond S Douglas,Terry J Smith
View all publications

Product promise

We are committed to supporting your work with high-quality reagents, and we're here for you every step of the way. In the unlikely event that one of our products does not perform as expected, you're protected by our Product Promise.
For full details, please see our Terms & Conditions

Please note: All products are 'FOR RESEARCH USE ONLY. NOT FOR USE IN DIAGNOSTIC OR THERAPEUTIC PROCEDURES'.

For licensing inquiries, please contact partnerships@abcam.com