JavaScript is disabled in your browser. Please enable JavaScript to view this website.
AB151539

Anti-Thyroglobulin antibody [EPR3614(2)]

  • BOND RX™ Validated
  • 20ul selling size
  • RabMAb
  • Advanced Validation
  • Recombinant
  • What is this?

Be the first to review this product! Submit a review

|

(2 Publications)

Rabbit Recombinant Monoclonal Thyroglobulin antibody. Suitable for mIHC, IHC-P, WB and reacts with Human samples. Cited in 2 publications.

View Alternative Names

Thyroglobulin, Tg, TG

6 Images
Immunohistochemistry (Formalin/PFA-fixed paraffin-embedded sections) - Anti-Thyroglobulin antibody [EPR3614(2)] (AB151539)
  • IHC-P

Unknown

Immunohistochemistry (Formalin/PFA-fixed paraffin-embedded sections) - Anti-Thyroglobulin antibody [EPR3614(2)] (AB151539)

Immunohistochemical analysis of paraffin-embedded Human thyroid gland follicular carcinoma tissue labeling Thyroglobulin with ab151539 at 1/250 dilution.

Perform heat mediated antigen retrieval with citrate buffer pH 6 before commencing with IHC staining protocol.

Immunohistochemistry (Formalin/PFA-fixed paraffin-embedded sections) - Anti-Thyroglobulin antibody [EPR3614(2)] (AB151539)
  • IHC-P

Unknown

Immunohistochemistry (Formalin/PFA-fixed paraffin-embedded sections) - Anti-Thyroglobulin antibody [EPR3614(2)] (AB151539)

Immunohistochemical analysis of paraffin embedded normal Human prostate tissue using ab151539 showing -ve staining.

Perform heat mediated antigen retrieval with citrate buffer pH 6 before commencing with IHC staining protocol.

Immunohistochemistry (Formalin/PFA-fixed paraffin-embedded sections) - Anti-Thyroglobulin antibody [EPR3614(2)] (AB151539)
  • IHC-P

Unknown

Immunohistochemistry (Formalin/PFA-fixed paraffin-embedded sections) - Anti-Thyroglobulin antibody [EPR3614(2)] (AB151539)

Immunohistochemical analysis of paraffin embedded Human Skeletal muscle tissue using ab151539 showing -ve staining.

Perform heat mediated antigen retrieval with citrate buffer pH 6 before commencing with IHC staining protocol.

Immunohistochemistry (Formalin/PFA-fixed paraffin-embedded sections) - Anti-Thyroglobulin antibody [EPR3614(2)] (AB151539)
  • IHC-P

Unknown

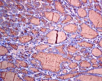
Immunohistochemistry (Formalin/PFA-fixed paraffin-embedded sections) - Anti-Thyroglobulin antibody [EPR3614(2)] (AB151539)

Immunohistochemical analysis of paraffin embedded Human Thyroid gland tissue using ab151539 showing +ve staining.

Perform heat mediated antigen retrieval with citrate buffer pH 6 before commencing with IHC staining protocol.

Multiplex immunohistochemistry - Anti-Thyroglobulin antibody [EPR3614(2)] (AB151539)
  • mIHC

Lab

Multiplex immunohistochemistry - Anti-Thyroglobulin antibody [EPR3614(2)] (AB151539)

Fluorescence multiplex immunohistochemical analysis of Human thyroid gland tissue (Formalin/PFA-fixed paraffin-embedded sections). Panel A : merged staining of anti-Thyroglobulin (ab151539, magenta; Opal™690), anti-Thyroid Peroxidase/TPO (ab109383, green; Opal™520) and anti-PAX8 (ab227707, red; Opal™570) on human thyroid gland. Panel B : anti-Thyroid Peroxidase/TPO stained on cytoplasm of follicular epithelial cells. Panel C : anti-PAX8 stained on nucleus of follicular epithelial cells. Panel D : anti-Thyroglobulin stained on colloid. Opal Polymer HRP Ms + Rb was used as a secondary antibody. The section was incubated in three rounds of staining : in the order of ab151539 at 1/5000 dilution (0.167 μg/ml), ab109383 at 1/1500 dilution (0.072 μg/ml) , and ab227707 at 1/200 dilution (5.22 μg/ml) for 30 mins at room temperature. Each round was followed by a separate fluorescent tyramide signal amplification system. The immunostaining was performed on a Leica Biosystems BOND® RX instrument with an Opal™ 4-color kit. Image acquisition was performed with Leica SP8 confocal microscope. DAPI (blue) was used as a nuclear counter stain. Heat mediated antigen retrieval with Tris-EDTA buffer (pH 9.0, epitope retrieval solution2) for 20 mins.

Western blot - Anti-Thyroglobulin antibody [EPR3614(2)] (AB151539)
  • WB

Unknown

Western blot - Anti-Thyroglobulin antibody [EPR3614(2)] (AB151539)

All lanes:

Western blot - Anti-Thyroglobulin antibody [EPR3614(2)] (ab151539) at 1/100000 dilution

All lanes:

Human thyroid tissue lysate at 10 µg

Secondary

All lanes:

Goat anti-rabbit HRP conjugated at 1/2000 dilution

Predicted band size: 305 kDa

false

  • Carrier free

    Anti-Thyroglobulin antibody [EPR3614(2)] - BSA and Azide free

Key facts

Host species

Rabbit

Clonality

Monoclonal

Clone number

EPR3614(2)

Isotype

IgG

Carrier free

No

Reacts with

Human

Applications

WB, mIHC, IHC-P

applications

Immunogen

The exact immunogen used to generate this antibody is proprietary information.

Reactivity data

{ "title": "Reactivity Data", "filters": { "stats": ["", "Species", "Dilution Info", "Notes"], "tabs": { "all-applications": {"fullname" : "All Applications", "shortname": "All Applications"}, "mIHC" : {"fullname" : "Multiplex immunohistochemistry", "shortname":"mIHC"}, "IHCP" : {"fullname" : "Immunohistochemistry (Formalin/PFA-fixed paraffin-embedded sections)", "shortname":"IHC-P"}, "WB" : {"fullname" : "Western blot", "shortname":"WB"} }, "product-promise": { "all": "all", "testedAndGuaranteed": "tested", "guaranteed": "expected", "predicted": "predicted", "notRecommended": "not-recommended" } }, "values": { "Human": { "mIHC-species-checked": "testedAndGuaranteed", "mIHC-species-dilution-info": "1/5000", "mIHC-species-notes": "<p></p>", "IHCP-species-checked": "testedAndGuaranteed", "IHCP-species-dilution-info": "1/250 - 1/500", "IHCP-species-notes": "<p></p>", "WB-species-checked": "testedAndGuaranteed", "WB-species-dilution-info": "1/100000 - 1/500000", "WB-species-notes": "<p></p>" } } }

Product details

Patented technology
Our RabMAb® technology is a patented hybridoma-based technology for making rabbit monoclonal antibodies. For details on our patents, please refer to RabMAb® patents.

What are the advantages of a recombinant monoclonal antibody?
This product is a recombinant monoclonal antibody, which offers several advantages including:

  • - High batch-to-batch consistency and reproducibility
  • - Improved sensitivity and specificity
  • - Long-term security of supply
  • - Animal-free batch production

For more information, read more on recombinant antibodies.

Properties and storage information

Form
Liquid
Purification technique
Affinity purification Protein A
Storage buffer
pH: 7.2 - 7.4 Preservative: 0.01% Sodium azide Constituents: PBS, 50% Tissue culture supernatant, 40% Glycerol (glycerin, glycerine), 0.05% BSA
Shipped at conditions
Blue Ice
Appropriate short-term storage conditions
+4°C
Appropriate long-term storage conditions
-20°C

Supplementary information

This supplementary information is collated from multiple sources and compiled automatically.

Thyroglobulin often abbreviated as Tg is a glycoprotein with a molecular mass of approximately 660 kDa. It is expressed primarily in the thyroid gland particularly within the follicular cells. This protein serves as a precursor for thyroid hormones such as thyroxine (T4) and triiodothyronine (T3). High thyroglobulin levels in the bloodstream can indicate altered thyroid function and clinicians frequently measure these levels for diagnostic purposes. Researchers have developed specific anti-thyroglobulin antibodies to facilitate the study and measurement of this protein in various contexts.
Biological function summary

Thyroglobulin plays a critical role in the synthesis and storage of thyroid hormones. It acts as a scaffold for iodination and hormone synthesis within the colloid of thyroid follicles. Thyroglobulin is not part of a protein complex; rather it undergoes iodination to form hormone precursors that later convert into active hormones. Anti-thyroglobulin antibodies can be used in research or diagnostic labs to detect the presence or concentration of thyroglobulin in serum samples. These antibodies help in understanding the nuances of thyroid hormone biosynthesis and in monitoring thyroid activity.

Pathways

Thyroglobulin is deeply involved in the thyroid hormone synthesis pathway a fundamental part of the endocrine system's operations. This process connects closely with the iodine metabolism pathway as iodine plays an essential role in hormone production. Thyroglobulin interacts indirectly with proteins like thyroid peroxidase which catalyzes iodination of thyroglobulin. The synthesis and release of thyroid hormones proceed through a carefully orchestrated sequence affecting many physiological processes including metabolism growth and development.

Thyroglobulin has associations with conditions such as thyroid cancer and autoimmune thyroid diseases. For instance elevated serum thyroglobulin can serve as a tumor marker in differentiated thyroid cancer. Anti-thyroglobulin antibodies are often present in autoimmune thyroid diseases like Hashimoto's thyroiditis where the body's immune system mistakenly targets thyroid proteins. Thyroid peroxidase antibodies are also common in these disorders indicating a shared autoimmune response against thyroid-specific antigens. Understanding these relationships aids in the diagnosis and management of thyroid-related conditions.

Product protocols

For this product, it's our understanding that no specific protocols are required. You can visit:

Target data

Acts as a substrate for the production of iodinated thyroid hormones thyroxine (T4) and triiodothyronine (T3) (PubMed : 17532758, PubMed : 32025030). The synthesis of T3 and T4 involves iodination of selected tyrosine residues of TG/thyroglobulin followed by their oxidative coupling in the thyroid follicle lumen (PubMed : 32025030). Following TG re-internalization and lysosomal-mediated proteolysis, T3 and T4 are released from the polypeptide backbone leading to their secretion into the bloodstream (PubMed : 32025030). One dimer produces 7 thyroid hormone molecules (PubMed : 32025030).
See full target information Thyroglobulin

Publications (2)

Recent publications for all applications. Explore the full list and refine your search

Frontiers in cell and developmental biology 9:758339 PubMed34805166

2021

Papillary Thyroid Carcinoma Landscape and Its Immunological Link With Hashimoto Thyroiditis at Single-Cell Resolution.

Applications

Unspecified application

Species

Unspecified reactive species

Jun Pan,Fang Ye,Chengxuan Yu,Qinsheng Zhu,Jiaqi Li,Yaohui Zhang,Hedi Tian,Yunjin Yao,Minjie Zhu,Yibin Shen,Feng Zhu,Yingying Wang,Xinhui Zhou,Guoji Guo,Yijun Wu

The Journal of clinical endocrinology and metaboli 99:E694-702 PubMed24433000

2014

Thyroglobulin suppresses thyroid-specific gene expression in cultures of normal but not neoplastic human thyroid follicular cells.

Applications

Unspecified application

Species

Unspecified reactive species

Yuko Ishido,Kazuko Yamazaki,Makoto Kammori,Yoshiyuki Sugishita,Yuqian Luo,Emiko Yamada,Tetsu Yamada,Donald F Sellitti,Koichi Suzuki
View all publications

Product promise

We are committed to supporting your work with high-quality reagents, and we're here for you every step of the way. In the unlikely event that one of our products does not perform as expected, you're protected by our Product Promise.
For full details, please see our Terms & Conditions

Please note: All products are 'FOR RESEARCH USE ONLY. NOT FOR USE IN DIAGNOSTIC OR THERAPEUTIC PROCEDURES'.

For licensing inquiries, please contact partnerships@abcam.com