JavaScript is disabled in your browser. Please enable JavaScript to view this website.
AB179438

Anti-Thyroid Hormone Receptor alpha antibody [EPR7862]

Be the first to review this product! Submit a review

|

(2 Publications)

Rabbit Recombinant Monoclonal THA antibody. Suitable for WB and reacts with Human, Mouse samples. Cited in 2 publications.

View Alternative Names

EAR7, ERBA1, NR1A1, THRA1, THRA2, THRA, Thyroid hormone receptor alpha, Nuclear receptor subfamily 1 group A member 1, V-erbA-related protein 7, c-erbA-1, c-erbA-alpha, EAR-7

2 Images
Western blot - Anti-Thyroid Hormone Receptor alpha antibody [EPR7862] (AB179438)
  • WB

Lab

Western blot - Anti-Thyroid Hormone Receptor alpha antibody [EPR7862] (AB179438)

All lanes:

Western blot - Anti-Thyroid Hormone Receptor alpha antibody [EPR7862] (ab179438) at 1/1000 dilution

All lanes:

D1.1 (human T lymphoblast), whole cell lysate at 50 µg

Secondary

All lanes:

Western blot - Goat Anti-Rabbit IgG H&L (HRP) (<a href='/en-us/products/secondary-antibodies/goat-rabbit-igg-h-l-hrp-ab97051'>ab97051</a>) at 1/20000 dilution

Predicted band size: 55 kDa

Observed band size: 55 kDa

false

Exposure time: 59s

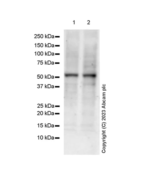
Western blot - Anti-Thyroid Hormone Receptor alpha antibody [EPR7862] (AB179438)
  • WB

Lab

Western blot - Anti-Thyroid Hormone Receptor alpha antibody [EPR7862] (AB179438)

All lanes:

Western blot - Anti-Thyroid Hormone Receptor alpha antibody [EPR7862] (ab179438) at 1/1000 dilution

Lane 1:

NIH/3T3 (mouse embryonic fibroblast) whole cell lysate at 20 µg

Lane 2:

MEF (mouse embryo fibroblast) whole cell lysate at 20 µg

Secondary

All lanes:

Western blot - Goat Anti-Rabbit IgG H&L (HRP) (<a href='/en-us/products/secondary-antibodies/goat-rabbit-igg-h-l-hrp-ab97051'>ab97051</a>) at 1/20000 dilution

Predicted band size: 55 kDa

Observed band size: 55 kDa

true

Exposure time: 180s

  • Carrier free

    Anti-Thyroid Hormone Receptor alpha antibody [EPR7862] - BSA and Azide free

Key facts

Host species

Rabbit

Clonality

Monoclonal

Clone number

EPR7862

Isotype

IgG

Carrier free

No

Reacts with

Mouse, Human

Applications

WB

applications

Immunogen

The exact immunogen used to generate this antibody is proprietary information.

Reactivity data

{ "title": "Reactivity Data", "filters": { "stats": ["", "Species", "Dilution Info", "Notes"], "tabs": { "all-applications": {"fullname" : "All Applications", "shortname": "All Applications"}, "IP" : {"fullname" : "Immunoprecipitation", "shortname":"IP"}, "FlowCyt" : {"fullname" : "Flow Cytometry", "shortname":"Flow Cyt"}, "WB" : {"fullname" : "Western blot", "shortname":"WB"}, "IHCP" : {"fullname" : "Immunohistochemistry (Formalin/PFA-fixed paraffin-embedded sections)", "shortname":"IHC-P"}, "ICCIF" : {"fullname" : "Immunocytochemistry/ Immunofluorescence", "shortname":"ICC/IF"} }, "product-promise": { "all": "all", "testedAndGuaranteed": "tested", "guaranteed": "expected", "predicted": "predicted", "notRecommended": "not-recommended" } }, "values": { "Human": { "IP-species-checked": "notRecommended", "IP-species-dilution-info": "", "IP-species-notes": "<p></p>", "FlowCyt-species-checked": "notRecommended", "FlowCyt-species-dilution-info": "", "FlowCyt-species-notes": "<p></p>", "WB-species-checked": "testedAndGuaranteed", "WB-species-dilution-info": "1/1000 - 1/5000", "WB-species-notes": "<p></p>", "IHCP-species-checked": "notRecommended", "IHCP-species-dilution-info": "", "IHCP-species-notes": "", "ICCIF-species-checked": "notRecommended", "ICCIF-species-dilution-info": "", "ICCIF-species-notes": "<p></p>" }, "Mouse": { "IP-species-checked": "notRecommended", "IP-species-dilution-info": "", "IP-species-notes": "<p></p>", "FlowCyt-species-checked": "notRecommended", "FlowCyt-species-dilution-info": "", "FlowCyt-species-notes": "<p></p>", "WB-species-checked": "testedAndGuaranteed", "WB-species-dilution-info": "1/1000 - 1/5000", "WB-species-notes": "<p></p>", "IHCP-species-checked": "notRecommended", "IHCP-species-dilution-info": "", "IHCP-species-notes": "<p></p>", "ICCIF-species-checked": "notRecommended", "ICCIF-species-dilution-info": "", "ICCIF-species-notes": "" } } }

Product details

Species reactivity
Mouse, Rat: We have preliminary internal testing data to indicate this antibody may not react with these species.
Please contact us for more information.

Patented technology
Our RabMAb® technology is a patented hybridoma-based technology for making rabbit monoclonal antibodies. For details on our patents, please refer to RabMAb® patents.

What are the advantages of a recombinant monoclonal antibody?
This product is a recombinant monoclonal antibody, which offers several advantages including:

  • - High batch-to-batch consistency and reproducibility
  • - Improved sensitivity and specificity
  • - Long-term security of supply
  • - Animal-free batch production

For more information, read more on recombinant antibodies.

Properties and storage information

Form
Liquid
Purification technique
Affinity purification Protein A
Storage buffer
pH: 7.2 - 7.4 Preservative: 0.01% Sodium azide Constituents: PBS, 50% Tissue culture supernatant, 40% Glycerol (glycerin, glycerine), 0.05% BSA
Shipped at conditions
Blue Ice
Appropriate short-term storage duration
1-2 weeks
Appropriate short-term storage conditions
+4°C
Appropriate long-term storage conditions
-20°C
Aliquoting information
Upon delivery aliquot
Storage information
Avoid freeze / thaw cycle

Supplementary information

This supplementary information is collated from multiple sources and compiled automatically.

Thyroid Hormone Receptor alpha (THRA) also known as NR1A1 or c-erbA-1 acts as a nuclear receptor that binds thyroid hormones particularly triiodothyronine (T3). THRA weighs approximately 54 kDa. This receptor exists in various isoforms with the alpha-1 version playing a significant role in mediating thyroid hormone action. THRA is widely expressed in many tissues with high levels in the heart skeletal muscles and brain emphasizing its diverse functional impact.
Biological function summary

The receptor influences many cellular processes such as metabolism differentiation and development. It often works within a complex composed of other nuclear receptors and coregulators to regulate gene expression upon thyroid hormone binding. By altering transcriptional activity THRA affects cell growth energy metabolism and the proper functioning of vital organs. This regulation is critical during both developmental phases and adult physiological maintenance.

Pathways

THRA integrates within the thyroid hormone signaling and metabolic regulation pathways. It modulates genes involved in energy metabolism such as uncoupling proteins influencing how cells utilize and store energy. THRA interacts with related proteins like Thyroid Hormone Receptor beta (THRB) collectively orchestrating the intricate control of metabolic processes particularly in response to hormonal signals that adjust body functions based on physiological needs.

Mutations or dysfunction of THRA associates with conditions like RTHalpha (Resistance to Thyroid Hormone alpha) and some metabolic syndromes. RTHalpha manifests with symptoms such as impaired growth and cognitive deficits. THRA's interaction with THRB can exacerbate these issues highlighting their linked contribution to thyroid hormone resistance. Investigating these interactions presents opportunities for understanding and potentially treating related disorders more effectively.

Product protocols

For this product, it's our understanding that no specific protocols are required. You can visit:

Target data

Isoform Alpha-1. Nuclear hormone receptor that can act as a repressor or activator of transcription. High affinity receptor for thyroid hormones, including triiodothyronine and thyroxine.. Isoform Alpha-2. Does not bind thyroid hormone and functions as a weak dominant negative inhibitor of thyroid hormone action.
See full target information THRA

Publications (2)

Recent publications for all applications. Explore the full list and refine your search

Arthritis research & therapy 26:71 PubMed38493104

2024

TfR1 mediated iron metabolism dysfunction as a potential therapeutic target for osteoarthritis.

Applications

Unspecified application

Species

Unspecified reactive species

Wenchao Wang,Zhenkai Ma,Xuemin Feng,Jiabin Ren,Shengyao Sun,Yuandong Shao,Weimin Zhang,Xiaoxia Yang,Jiaming Zhang,Xingzhi Jing

American journal of human genetics 110:531-547 PubMed36809767

2023

Development of an oral treatment that rescues gait ataxia and retinal degeneration in a phenotypic mouse model of familial dysautonomia.

Applications

Unspecified application

Species

Unspecified reactive species

Elisabetta Morini,Anil Chekuri,Emily M Logan,Jessica M Bolduc,Emily G Kirchner,Monica Salani,Aram J Krauson,Jana Narasimhan,Vijayalakshmi Gabbeta,Shivani Grover,Amal Dakka,Anna Mollin,Stephen P Jung,Xin Zhao,Nanjing Zhang,Sophie Zhang,Michael Arnold,Matthew G Woll,Nikolai A Naryshkin,Marla Weetall,Susan A Slaugenhaupt
View all publications

Product promise

We are committed to supporting your work with high-quality reagents, and we're here for you every step of the way. In the unlikely event that one of our products does not perform as expected, you're protected by our Product Promise.
For full details, please see our Terms & Conditions

Please note: All products are 'FOR RESEARCH USE ONLY. NOT FOR USE IN DIAGNOSTIC OR THERAPEUTIC PROCEDURES'.

For licensing inquiries, please contact partnerships@abcam.com