JavaScript is disabled in your browser. Please enable JavaScript to view this website.
AB250085

Anti-Thyroid Hormone Receptor alpha antibody [EPR7862] - BSA and Azide free

Be the first to review this product! Submit a review

|

(1 Publication)

Rabbit Recombinant Monoclonal THA antibody. Carrier free. Suitable for WB and reacts with Human, Mouse samples. Cited in 1 publication.

View Alternative Names

EAR7, ERBA1, NR1A1, THRA1, THRA2, THRA, Thyroid hormone receptor alpha, Nuclear receptor subfamily 1 group A member 1, V-erbA-related protein 7, c-erbA-1, c-erbA-alpha, EAR-7

2 Images
Western blot - Anti-Thyroid Hormone Receptor alpha antibody [EPR7862] - BSA and Azide free (AB250085)
  • WB

Lab

Western blot - Anti-Thyroid Hormone Receptor alpha antibody [EPR7862] - BSA and Azide free (AB250085)

This data was developed using ab179438, the same antibody clone in a different buffer formulation.

All lanes:

Western blot - Anti-Thyroid Hormone Receptor alpha antibody [EPR7862] (<a href='/en-us/products/primary-antibodies/thyroid-hormone-receptor-alpha-antibody-epr7862-ab179438'>ab179438</a>) at 1/1000 dilution

All lanes:

D1.1 (human T lymphoblast), whole cell lysate at 50 µg

Secondary

All lanes:

Western blot - Goat Anti-Rabbit IgG H&L (HRP) (<a href='/en-us/products/secondary-antibodies/goat-rabbit-igg-h-l-hrp-ab97051'>ab97051</a>) at 1/20000 dilution

Predicted band size: 55 kDa

Observed band size: 55 kDa

false

Exposure time: 59s

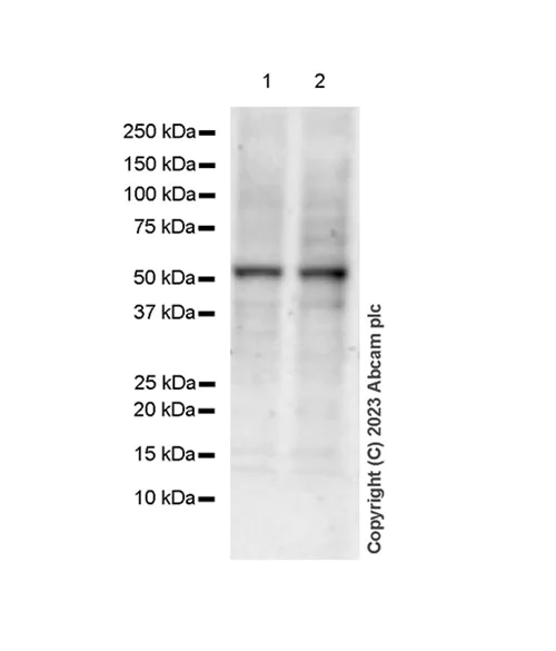
Western blot - Anti-Thyroid Hormone Receptor alpha antibody [EPR7862] - BSA and Azide free (AB250085)
  • WB

Lab

Western blot - Anti-Thyroid Hormone Receptor alpha antibody [EPR7862] - BSA and Azide free (AB250085)

This data was developed using ab179438, the same antibody clone in a different buffer formulation.

All lanes:

Western blot - Anti-Thyroid Hormone Receptor alpha antibody [EPR7862] (<a href='/en-us/products/primary-antibodies/thyroid-hormone-receptor-alpha-antibody-epr7862-ab179438'>ab179438</a>) at 1/1000 dilution

Lane 1:

NIH/3T3 (mouse embryonic fibroblast) whole cell lysate at 20 µg

Lane 2:

MEF (mouse embryo fibroblast) whole cell lysate at 20 µg

Secondary

All lanes:

Western blot - Goat Anti-Rabbit IgG H&L (HRP) (<a href='/en-us/products/secondary-antibodies/goat-rabbit-igg-h-l-hrp-ab97051'>ab97051</a>) at 1/20000 dilution

Predicted band size: 55 kDa

Observed band size: 55 kDa

true

Exposure time: 180s

  • Unconjugated

    Anti-Thyroid Hormone Receptor alpha antibody [EPR7862]

Key facts

Host species

Rabbit

Clonality

Monoclonal

Clone number

EPR7862

Isotype

IgG

Carrier free

Yes

Reacts with

Mouse, Human

Applications

WB

applications

Immunogen

The exact immunogen used to generate this antibody is proprietary information.

Reactivity data

{ "title": "Reactivity Data", "filters": { "stats": ["", "Species", "Dilution Info", "Notes"], "tabs": { "all-applications": {"fullname" : "All Applications", "shortname": "All Applications"}, "IHCP" : {"fullname" : "Immunohistochemistry (Formalin/PFA-fixed paraffin-embedded sections)", "shortname":"IHC-P"}, "ICCIF" : {"fullname" : "Immunocytochemistry/ Immunofluorescence", "shortname":"ICC/IF"}, "IP" : {"fullname" : "Immunoprecipitation", "shortname":"IP"}, "FlowCyt" : {"fullname" : "Flow Cytometry", "shortname":"Flow Cyt"}, "WB" : {"fullname" : "Western blot", "shortname":"WB"} }, "product-promise": { "all": "all", "testedAndGuaranteed": "tested", "guaranteed": "expected", "predicted": "predicted", "notRecommended": "not-recommended" } }, "values": { "Human": { "IHCP-species-checked": "notRecommended", "IHCP-species-dilution-info": "", "IHCP-species-notes": "<p></p>", "ICCIF-species-checked": "notRecommended", "ICCIF-species-dilution-info": "", "ICCIF-species-notes": "<p></p>", "IP-species-checked": "notRecommended", "IP-species-dilution-info": "", "IP-species-notes": "<p></p>", "FlowCyt-species-checked": "notRecommended", "FlowCyt-species-dilution-info": "", "FlowCyt-species-notes": "<p></p>", "WB-species-checked": "testedAndGuaranteed", "WB-species-dilution-info": "", "WB-species-notes": "<p></p>" }, "Mouse": { "IHCP-species-checked": "notRecommended", "IHCP-species-dilution-info": "", "IHCP-species-notes": "<p></p>", "ICCIF-species-checked": "notRecommended", "ICCIF-species-dilution-info": "", "ICCIF-species-notes": "<p></p>", "IP-species-checked": "notRecommended", "IP-species-dilution-info": "", "IP-species-notes": "<p></p>", "FlowCyt-species-checked": "notRecommended", "FlowCyt-species-dilution-info": "", "FlowCyt-species-notes": "<p></p>", "WB-species-checked": "testedAndGuaranteed", "WB-species-dilution-info": "", "WB-species-notes": "<p></p>" } } }

Product details

ab250085 is the carrier-free version of ab179438.

Species reactivity
Mouse, Rat: We have preliminary internal testing data to indicate this antibody may not react with these species.
Please contact us for more information.

Patented technology
Our RabMAb® technology is a patented hybridoma-based technology for making rabbit monoclonal antibodies. For details on our patents, please refer to RabMAb® patents.

What are the advantages of a recombinant monoclonal antibody?
This product is a recombinant monoclonal antibody, which offers several advantages including:

  • - High batch-to-batch consistency and reproducibility
  • - Improved sensitivity and specificity
  • - Long-term security of supply
  • - Animal-free batch production

For more information, read more on recombinant antibodies.

Conjugation ready
Our carrier-free antibodies are typically supplied in a PBS-only formulation, purified and free of BSA, sodium azide and glycerol. This conjugation-ready format is designed for use with fluorochromes, metal isotopes, oligonucleotides, and enzymes, which makes them ideal for antibody labelling, functional and cell-based assays, flow-based assays (e.g. mass cytometry) and Multiplex Imaging applications.

Use our conjugation kits for antibody conjugates that are ready-to-use in as little as 20 minutes with 1 minute hands-on-time and 100% antibody recovery: available for fluorescent dyes, HRP, biotin and gold.

Compatibility
This product is compatible with the Maxpar® Antibody Labeling Kit from Fluidigm, without the need for antibody preparation. Maxpar® is a trademark of Fluidigm Canada Inc.

Properties and storage information

Form
Liquid
Purification technique
Affinity purification Protein A
Storage buffer
pH: 7.2 - 7.4 Constituents: PBS
Shipped at conditions
Blue Ice
Appropriate short-term storage conditions
+4°C
Appropriate long-term storage conditions
+4°C
Storage information
Do Not Freeze

Supplementary information

This supplementary information is collated from multiple sources and compiled automatically.

Thyroid Hormone Receptor alpha (THRA) also known as NR1A1 or c-erbA-1 acts as a nuclear receptor that binds thyroid hormones particularly triiodothyronine (T3). THRA weighs approximately 54 kDa. This receptor exists in various isoforms with the alpha-1 version playing a significant role in mediating thyroid hormone action. THRA is widely expressed in many tissues with high levels in the heart skeletal muscles and brain emphasizing its diverse functional impact.
Biological function summary

The receptor influences many cellular processes such as metabolism differentiation and development. It often works within a complex composed of other nuclear receptors and coregulators to regulate gene expression upon thyroid hormone binding. By altering transcriptional activity THRA affects cell growth energy metabolism and the proper functioning of vital organs. This regulation is critical during both developmental phases and adult physiological maintenance.

Pathways

THRA integrates within the thyroid hormone signaling and metabolic regulation pathways. It modulates genes involved in energy metabolism such as uncoupling proteins influencing how cells utilize and store energy. THRA interacts with related proteins like Thyroid Hormone Receptor beta (THRB) collectively orchestrating the intricate control of metabolic processes particularly in response to hormonal signals that adjust body functions based on physiological needs.

Mutations or dysfunction of THRA associates with conditions like RTHalpha (Resistance to Thyroid Hormone alpha) and some metabolic syndromes. RTHalpha manifests with symptoms such as impaired growth and cognitive deficits. THRA's interaction with THRB can exacerbate these issues highlighting their linked contribution to thyroid hormone resistance. Investigating these interactions presents opportunities for understanding and potentially treating related disorders more effectively.

Product protocols

For this product, it's our understanding that no specific protocols are required. You can visit:

Target data

Isoform Alpha-1. Nuclear hormone receptor that can act as a repressor or activator of transcription. High affinity receptor for thyroid hormones, including triiodothyronine and thyroxine.. Isoform Alpha-2. Does not bind thyroid hormone and functions as a weak dominant negative inhibitor of thyroid hormone action.
See full target information THRA

Publications (1)

Recent publications for all applications. Explore the full list and refine your search

Journal of neuroinflammation 22:74 PubMed40069860

2025

Inhibition of histone deacetylase 6 alleviates neuropathic pain via direct regulating post-translation of spinal STAT3 and decreasing downstream C-C Motif Chemokine Ligand 7 synthesis.

Applications

Unspecified application

Species

Unspecified reactive species

Zhexi Chi,Bo Lu,Rongjun Liu,Chen Pan,Bo Meng,Xiuzhong Xing,Hui Yuan,Xuewei Wu,Yushan Chen,Yuxuan Ren,Wenwei Wu,Mengmeng Miao,Junping Chen,Xiaowei Chen
View all publications

Product promise

We are committed to supporting your work with high-quality reagents, and we're here for you every step of the way. In the unlikely event that one of our products does not perform as expected, you're protected by our Product Promise.
For full details, please see our Terms & Conditions

Please note: All products are 'FOR RESEARCH USE ONLY. NOT FOR USE IN DIAGNOSTIC OR THERAPEUTIC PROCEDURES'.

For licensing inquiries, please contact partnerships@abcam.com