JavaScript is disabled in your browser. Please enable JavaScript to view this website.
AB324308

Anti-Thyroid Hormone Receptor beta antibody [EPR28919-182]

Be the first to review this product! Submit a review

|

(0 Publication)

Rabbit Recombinant Monoclonal Thyroid Hormone Receptor beta antibody. Suitable for WB and reacts with Transfected cell lysate - Human, Human samples.

View Alternative Names

ERBA2, NR1A2, THR1, THRB, Thyroid hormone receptor beta, Nuclear receptor subfamily 1 group A member 2, c-erbA-2, c-erbA-beta

2 Images
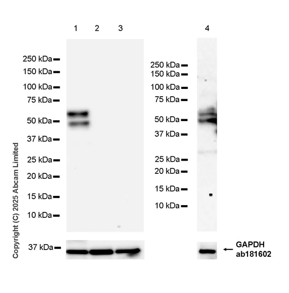
Western blot - Anti-Thyroid Hormone Receptor beta antibody [EPR28919-182] (AB324308)
  • WB

Supplier Data

Western blot - Anti-Thyroid Hormone Receptor beta antibody [EPR28919-182] (AB324308)

Blocking and diluting buffer and concentration : 5% NFDM/TBST.

Low expression : MIA PaCa-2, Ramos.

In Western blot, Anti-GAPDH antibody [EPR16891] - Loading Control (ab181602) staining at 1/200000 dilution.

Exposure time : Lane 1-3 : 15 seconds Lane 4 : 180 seconds

All lanes:

Western blot - Anti-Thyroid Hormone Receptor beta antibody [EPR28919-182] (ab324308) at 1/1000 dilution

Lane 1:

WERI-Rb-1 (human Eye; Retina grape-like clusters of round cells) whole cell lysate at 10 µg

Lane 2:

Ramos (human Burkitts lymphoma B lymphocyte) whole cell lysate at 10 µg

Lane 3:

MIA PaCa-2 (human pancreas epithelial cell) whole cell lysate at 10 µg

Lane 4:

HT-1376 (human urinary bladder carcinoma epithelial cell) whole cell lysate at 20 µg

Secondary

All lanes:

Western blot - Goat Anti-Rabbit IgG H&L (HRP) (<a href='/en-us/products/secondary-antibodies/goat-rabbit-igg-h-l-hrp-ab97051'>ab97051</a>) at 1/20000 dilution

Observed band size: 52 kDa,54 kDa,36 kDa

false

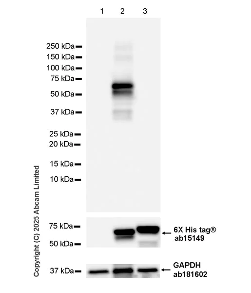
Western blot - Anti-Thyroid Hormone Receptor beta antibody [EPR28919-182] (AB324308)
  • WB

Supplier Data

Western blot - Anti-Thyroid Hormone Receptor beta antibody [EPR28919-182] (AB324308)

Blocking and diluting buffer and concentration : 5% NFDM/TBST.

This antibody does not cross-react with overexpressed human THRA by western blot.

In Western blot, Anti-GAPDH antibody [EPR16891] - Loading Control (ab181602) & Anti-6X His tag® antibody [AD1.1.10] - (ab15149) staining at 1/200000 and 1 : 1000 dilutions respectively.

All lanes:

Western blot - Anti-Thyroid Hormone Receptor beta antibody [EPR28919-182] (ab324308) at 1/1000 dilution

Lane 1:

293T cells transfected with an empty vector containi a myc-His-tag®, whole cell lysate at 20 µg

Lane 2:

293T cells transfected with a human THRB expression vector containi a myc-His-tag®, whole cell lysate at 20 µg

Lane 3:

293T cells transfected with a human THRA expression vector containi a myc-His-tag®, whole cell lysate at 20 µg

Secondary

All lanes:

Western blot - Goat Anti-Rabbit IgG H&L (HRP) (<a href='/en-us/products/secondary-antibodies/goat-rabbit-igg-h-l-hrp-ab97051'>ab97051</a>) at 1/100000 dilution

Observed band size: 52 kDa,54 kDa,36 kDa

false

Exposure time: 3s

Key facts

Host species

Rabbit

Clonality

Monoclonal

Clone number

EPR28919-182

Isotype

IgG

Carrier free

No

Reacts with

Human

Applications

WB

applications

Immunogen

The exact immunogen used to generate this antibody is proprietary information.

Specificity

Unsuitable for WB in human tissues.

Reactivity data

{ "title": "Reactivity Data", "filters": { "stats": ["", "Species", "Dilution Info", "Notes"], "tabs": { "all-applications": {"fullname" : "All Applications", "shortname": "All Applications"}, "WB" : {"fullname" : "Western blot", "shortname":"WB"}, "ICCIF" : {"fullname" : "Immunocytochemistry/ Immunofluorescence", "shortname":"ICC/IF"}, "IHCP" : {"fullname" : "Immunohistochemistry (Formalin/PFA-fixed paraffin-embedded sections)", "shortname":"IHC-P"} }, "product-promise": { "all": "all", "testedAndGuaranteed": "tested", "guaranteed": "expected", "predicted": "predicted", "notRecommended": "not-recommended" } }, "values": { "Human": { "WB-species-checked": "testedAndGuaranteed", "WB-species-dilution-info": "1/1000", "WB-species-notes": "<p></p>", "ICCIF-species-checked": "notRecommended", "ICCIF-species-dilution-info": "", "ICCIF-species-notes": "<p></p>", "IHCP-species-checked": "notRecommended", "IHCP-species-dilution-info": "", "IHCP-species-notes": "<p></p>" }, "Mouse": { "WB-species-checked": "notRecommended", "WB-species-dilution-info": "", "WB-species-notes": "<p></p>", "ICCIF-species-checked": "notRecommended", "ICCIF-species-dilution-info": "", "ICCIF-species-notes": "<p></p>", "IHCP-species-checked": "notRecommended", "IHCP-species-dilution-info": "", "IHCP-species-notes": "<p></p>" }, "Rat": { "WB-species-checked": "notRecommended", "WB-species-dilution-info": "", "WB-species-notes": "<p></p>", "ICCIF-species-checked": "notRecommended", "ICCIF-species-dilution-info": "", "ICCIF-species-notes": "<p></p>", "IHCP-species-checked": "notRecommended", "IHCP-species-dilution-info": "", "IHCP-species-notes": "<p></p>" }, "Transfected cell lysate - Human": { "WB-species-checked": "testedAndGuaranteed", "WB-species-dilution-info": "1/1000", "WB-species-notes": "<p></p>", "ICCIF-species-checked": "notRecommended", "ICCIF-species-dilution-info": "", "ICCIF-species-notes": "", "IHCP-species-checked": "notRecommended", "IHCP-species-dilution-info": "", "IHCP-species-notes": "" } } }

Product details

What are the advantages of a recombinant monoclonal antibody?
This product is a recombinant monoclonal antibody, which offers several advantages including:

  • - High batch-to-batch consistency and reproducibility
  • - Improved sensitivity and specificity
  • - Long-term security of supply
  • - Animal-free batch production

For more information, read more on recombinant antibodies.

Patented technology
Our RabMAb® technology is a patented hybridoma-based technology for making rabbit monoclonal antibodies. For details on our patents, please refer to RabMAb® patents.

Properties and storage information

Form
Liquid
Purification technique
Affinity purification Protein A
Storage buffer
pH: 7.2 - 7.4 Preservative: 0.01% Sodium azide Constituents: PBS, 40% Glycerol (glycerin, glycerine), 0.05% BSA
Shipped at conditions
Blue Ice
Appropriate short-term storage duration
1-2 weeks
Appropriate short-term storage conditions
+4°C
Appropriate long-term storage conditions
-20°C
Aliquoting information
Upon delivery aliquot
Storage information
Avoid freeze / thaw cycle

Product protocols

For this product, it's our understanding that no specific protocols are required. You can visit:

Target data

Nuclear hormone receptor that can act as a repressor or activator of transcription. High affinity receptor for thyroid hormones, including triiodothyronine and thyroxine.
See full target information THRB

Product promise

We are committed to supporting your work with high-quality reagents, and we're here for you every step of the way. In the unlikely event that one of our products does not perform as expected, you're protected by our Product Promise.
For full details, please see our Terms & Conditions

Please note: All products are 'FOR RESEARCH USE ONLY. NOT FOR USE IN DIAGNOSTIC OR THERAPEUTIC PROCEDURES'.

For licensing inquiries, please contact partnerships@abcam.com