JavaScript is disabled in your browser. Please enable JavaScript to view this website.
AB278531

Anti-Thyroid Peroxidase/TPO antibody [EPR23574-405] - BSA and Azide free

  • BOND RX™ Validated
  • Advanced Validation
  • RabMAb
  • Recombinant
  • What is this?

Be the first to review this product! Submit a review

|

(0 Publication)

Rabbit Recombinant Monoclonal Thyroid Peroxidase/TPO antibody. Carrier free. Suitable for WB, IHC-Fr, IHC-P, mIHC and reacts with Mouse, Rat samples.

View Alternative Names

Thyroid peroxidase, TPO, Tpo

9 Images
Multiplex immunohistochemistry - Anti-Thyroid Peroxidase/TPO antibody [EPR23574-405] - BSA and Azide free (AB278531)
  • mIHC

Lab

Multiplex immunohistochemistry - Anti-Thyroid Peroxidase/TPO antibody [EPR23574-405] - BSA and Azide free (AB278531)

This data was developed using ab278525, the same antibody clone in a different buffer formulation.

Multiplex immunohistochemistry analysis of formalin/PFA-fixed paraffin-embedded mouse thyroid staining of Thyroid Peroxidase/TPO with ab278525 at a 1/5000 (0.109 μg/ml) dilution, PAX8 with ab239363 at 1/2000 (0.254 μg/ml) dilution, and Collagen I with ab270993 at a 1/500 (1.152 μg/ml) dilution, followed by a ready to use secondary antibody Opal Polymer HRP Ms + Rb.

Panel A : merged staining of anti-Thyroid peroxidase (green; Opal™ 520), anti-PAX8 (magenta; Opal™ 690) and anti-Collagen I (gray; Opal™ 570) on mouse thyroid.
Panel B : anti-Thyroid peroxidase showed cytoplasmic and membranous staining on mouse thyroid.
Panel C : anti-PAX8 showed nucleus staining on mouse thyroid.
Panel D : anti-Collagen I staining connective tissues in mouse thyroid.
Nuclear DNA was labeled with DAPI (shown in blue).

The section was incubated in three rounds of staining : in the order of ab278525, ab239363 and ab270993 for 30 mins at room temperature. Each round was followed by a separate fluorescent tyramide signal amplification system.

Heat mediated antigen retrieval with Tris-EDTA buffer (pH 9.0, epitope retrieval solution2) for 20 mins.

Immunohistochemistry (Frozen sections) - Anti-Thyroid Peroxidase/TPO antibody [EPR23574-405] - BSA and Azide free (AB278531)
  • IHC-Fr

Lab

Immunohistochemistry (Frozen sections) - Anti-Thyroid Peroxidase/TPO antibody [EPR23574-405] - BSA and Azide free (AB278531)

This data was developed using ab278525, the same antibody clone in a different buffer formulation.

Immunohistochemical analysis of 4% PFA-fixed, 0.2% Triton X-100 permeabilized frozen mouse thyroid tissue labeling Thyroid Peroxidase/TPO with ab278525 at 1/500 (1.086 μg/ml) dilution followed by ab150077 Goat Anti-Rabbit IgG H&L (Alexa Fluor® 488) at 1/1000 dilution (Green). Positive staining on mouse thyroid is observed. The nuclear counterstain was DAPI (Blue).

Secondary antibody control : Secondary antibody is ab150077 Goat Anti-Rabbit IgG H&L (Alexa Fluor® 488)at 1/1000 dilution.

Heat mediated antigen retrieval using sodium citrate buffer (10mM citrate pH 6.0 + 0.05% Tween-20).

Immunohistochemistry (Frozen sections) - Anti-Thyroid Peroxidase/TPO antibody [EPR23574-405] - BSA and Azide free (AB278531)
  • IHC-Fr

Lab

Immunohistochemistry (Frozen sections) - Anti-Thyroid Peroxidase/TPO antibody [EPR23574-405] - BSA and Azide free (AB278531)

This data was developed using ab278525, the same antibody clone in a different buffer formulation.

Immunohistochemical analysis of 4% PFA-fixed, 0.2% Triton X-100 permeabilized frozen rat thyroid tissue labeling Thyroid Peroxidase/TPO with ab278525 at 1/500 (1.086 μg/ml) dilution followed by ab150077 Goat Anti-Rabbit IgG H&L (Alexa Fluor® 488) at 1/1000 dilution (Green). Positive staining on rat thyroid is observed. The nuclear counterstain was DAPI (Blue).

Secondary antibody control : Secondary antibody is ab150077 Goat Anti-Rabbit IgG H&L (Alexa Fluor®488)at 1/1000 dilution.

Heat mediated antigen retrieval using sodium citrate buffer (10mM citrate pH 6.0 + 0.05% Tween-20).

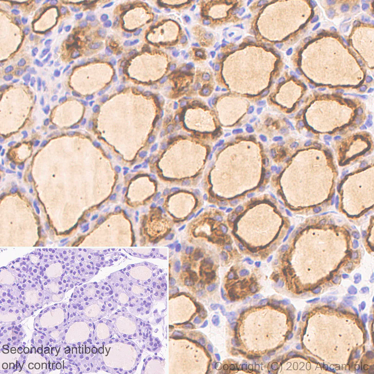
Immunohistochemistry (Formalin/PFA-fixed paraffin-embedded sections) - Anti-Thyroid Peroxidase/TPO antibody [EPR23574-405] - BSA and Azide free (AB278531)
  • IHC-P

Lab

Immunohistochemistry (Formalin/PFA-fixed paraffin-embedded sections) - Anti-Thyroid Peroxidase/TPO antibody [EPR23574-405] - BSA and Azide free (AB278531)

This data was developed using ab278525, the same antibody clone in a different buffer formulation.

Immunohistochemical analysis of paraffin-embedded mouse thyroid tissue labeling Thyroid Peroxidase/TPO with ab278525 at 1/5000 (0.109 μg/ml) followed by a ready to use LeicaDS9800 (Bond® Polymer Refine Detection) was used. Cytoplasmic staining in mouse thyroid. The section was incubated with ab278525 for 30 mins at room temperature. The immunostaining was performed on a Leica Biosystems BOND® RX instrument. Counterstained with Hematoxylin.

Secondary antibody only control : Secondary antibody is a ready to use LeicaDS9800 (Bond® Polymer Refine Detection).

Heat mediated antigen retrieval with Tris-EDTA buffer (pH 9.0, epitope retrieval solution2) for 20 mins.

Immunohistochemistry (Formalin/PFA-fixed paraffin-embedded sections) - Anti-Thyroid Peroxidase/TPO antibody [EPR23574-405] - BSA and Azide free (AB278531)
  • IHC-P

Lab

Immunohistochemistry (Formalin/PFA-fixed paraffin-embedded sections) - Anti-Thyroid Peroxidase/TPO antibody [EPR23574-405] - BSA and Azide free (AB278531)

This data was developed using ab278525, the same antibody clone in a different buffer formulation.

Immunohistochemical analysis of paraffin-embedded rat thyroid tissue labeling Thyroid Peroxidase/TPO with ab278525 at 1/5000 (0.109 μg/ml) dilution followed by a ready to use LeicaDS9800 (Bond® Polymer Refine Detection) was used. Cytoplasmic staining in rat thyroid. The section was incubated with ab278525 for 30 mins at room temperature. The immunostaining was performed on a Leica Biosystems BOND®RX instrument. Counterstained with Hematoxylin.

Secondary antibody only control : Secondary antibody is a ready to use LeicaDS9800 (Bond®Polymer Refine Detection).

Heat mediated antigen retrieval with Tris-EDTA buffer (pH 9.0, epitope retrieval solution2) for 20 mins.

Multiplex immunohistochemistry - Anti-Thyroid Peroxidase/TPO antibody [EPR23574-405] - BSA and Azide free (AB278531)
  • mIHC

Lab

Multiplex immunohistochemistry - Anti-Thyroid Peroxidase/TPO antibody [EPR23574-405] - BSA and Azide free (AB278531)

This data was developed using ab278525, the same antibody clone in a different buffer formulation.

Multiplex immunohistochemistry analysis of formalin/PFA-fixed paraffin-embedded mouse thyroid staining of Thyroid Peroxidase/TPO with ab278525 at a 1/5000 (0.109 μg/ml) dilution, PAX8 with ab239363 at 1/2000 (0.254 μg/ml) dilution, and CaSR with ab259846 at 1/5000 (0.103 μg/ml), followed by a ready to use secondary antibody Opal Polymer HRP Ms + Rb.

Panel A : merged staining of anti-Thyroid peroxidase (green; Opal™ 520), anti-PAX8 (magenta; Opal™ 690) and anti-CaSR (gray; Opal™ 570) on mouse thyroid.
Panel B : anti-Thyroid peroxidase showed cytoplasmic and membranous staining on mouse thyroid.
Panel C : anti-PAX8 showed nucleus staining on mouse thyroid.
Panel D : anti-CaSR staining parafollicular cells.
Nuclear DNA was labeled with DAPI (shown in blue).

The section was incubated in three rounds of staining : in the order of ab278525, ab239363 and ab259846 for 30 mins at room temperature. Each round was followed by a separate fluorescent tyramide signal amplification system.

Heat mediated antigen retrieval with Tris-EDTA buffer (pH 9.0, epitope retrieval solution2) for 20 mins.

Immunohistochemistry (Formalin/PFA-fixed paraffin-embedded sections) - Anti-Thyroid Peroxidase/TPO antibody [EPR23574-405] - BSA and Azide free (AB278531)
  • IHC-P

Lab

Immunohistochemistry (Formalin/PFA-fixed paraffin-embedded sections) - Anti-Thyroid Peroxidase/TPO antibody [EPR23574-405] - BSA and Azide free (AB278531)

This data was developed using ab278525, the same antibody clone in a different buffer formulation.

Immunohistochemical analysis of paraffin-embedded rat cardiac muscle tissue labeling Thyroid Peroxidase/TPO with ab278525 at 1/5000 (0.109 μg/ml) dilution followed by a ready to use LeicaDS9800 (Bond® Polymer Refine Detection) was used. The section was incubated with ab278525 for 30 mins at room temperature. The immunostaining was performed on a Leica Biosystems BOND® RX instrument. Counterstained with Hematoxylin.

No staining in rat cardiac muscle.

Secondary antibody only control : Secondary antibody is a ready to use LeicaDS9800 (Bond® Polymer Refine Detection).

Heat mediated antigen retrieval with Tris-EDTA buffer (pH 9.0, epitope retrieval solution2) for 20 mins.

Western blot - Anti-Thyroid Peroxidase/TPO antibody [EPR23574-405] - BSA and Azide free (AB278531)
  • WB

Lab

Western blot - Anti-Thyroid Peroxidase/TPO antibody [EPR23574-405] - BSA and Azide free (AB278531)

This data was developed using ab278525, the same antibody clone in a different buffer formulation.

Blocking and diluting buffer and concentration : 5% NFDM/TBST

Exposure time : 3 minutes.

All lanes:

Western blot - Anti-Thyroid Peroxidase/TPO antibody [EPR23574-405] (<a href='/en-us/products/primary-antibodies/thyroid-peroxidase-tpo-antibody-epr23574-405-ab278525'>ab278525</a>) at 1/1000 dilution

All lanes:

Mouse thyroid tissue lysate at 20 µg

Secondary

All lanes:

Western blot - Goat Anti-Rabbit IgG H&L (HRP) (<a href='/en-us/products/secondary-antibodies/goat-rabbit-igg-h-l-hrp-ab97051'>ab97051</a>) at 1/100000 dilution

Predicted band size: 103 kDa

Observed band size: 101 kDa

false

Western blot - Anti-Thyroid Peroxidase/TPO antibody [EPR23574-405] - BSA and Azide free (AB278531)
  • WB

Lab

Western blot - Anti-Thyroid Peroxidase/TPO antibody [EPR23574-405] - BSA and Azide free (AB278531)

This data was developed using ab278525, the same antibody clone in a different buffer formulation.

Blocking and diluting buffer and concentration : 5% NFDM/TBST

TPO is expressed in thyroid. Positive signal is observed in thyroid tissue (PMID : 29541194), no signal is observed in heart tissue.

Exposure time : 3 minutes.

All lanes:

Western blot - Anti-Thyroid Peroxidase/TPO antibody [EPR23574-405] (<a href='/en-us/products/primary-antibodies/thyroid-peroxidase-tpo-antibody-epr23574-405-ab278525'>ab278525</a>) at 1/1000 dilution

Lane 1:

Rat thyroid tissue lysate at 20 µg

Lane 2:

Rat heart tissue lysate at 20 µg

Secondary

All lanes:

Western blot - Goat Anti-Rabbit IgG H&L (HRP) (<a href='/en-us/products/secondary-antibodies/goat-rabbit-igg-h-l-hrp-ab97051'>ab97051</a>) at 1/50000 dilution

Predicted band size: 103 kDa

Observed band size: 101 kDa

false

Key facts

Host species

Rabbit

Clonality

Monoclonal

Clone number

EPR23574-405

Isotype

IgG

Carrier free

Yes

Reacts with

Mouse, Rat

Applications

IHC-P, IHC-Fr, WB, mIHC

applications

Immunogen

The exact immunogen used to generate this antibody is proprietary information.

Reactivity data

{ "title": "Reactivity Data", "filters": { "stats": ["", "Species", "Dilution Info", "Notes"], "tabs": { "all-applications": {"fullname" : "All Applications", "shortname": "All Applications"}, "IP" : {"fullname" : "Immunoprecipitation", "shortname":"IP"}, "WB" : {"fullname" : "Western blot", "shortname":"WB"}, "IHCFr" : {"fullname" : "Immunohistochemistry (Frozen sections)", "shortname":"IHC-Fr"}, "IHCP" : {"fullname" : "Immunohistochemistry (Formalin/PFA-fixed paraffin-embedded sections)", "shortname":"IHC-P"}, "mIHC" : {"fullname" : "Multiplex immunohistochemistry", "shortname":"mIHC"} }, "product-promise": { "all": "all", "testedAndGuaranteed": "tested", "guaranteed": "expected", "predicted": "predicted", "notRecommended": "not-recommended" } }, "values": { "Human": { "IP-species-checked": "notRecommended", "IP-species-dilution-info": "", "IP-species-notes": "", "WB-species-checked": "notRecommended", "WB-species-dilution-info": "", "WB-species-notes": "<p></p>", "IHCFr-species-checked": "notRecommended", "IHCFr-species-dilution-info": "", "IHCFr-species-notes": "", "IHCP-species-checked": "notRecommended", "IHCP-species-dilution-info": "", "IHCP-species-notes": "<p></p>", "mIHC-species-checked": "notRecommended", "mIHC-species-dilution-info": "", "mIHC-species-notes": "" }, "Mouse": { "IP-species-checked": "notRecommended", "IP-species-dilution-info": "", "IP-species-notes": "<p></p>", "WB-species-checked": "testedAndGuaranteed", "WB-species-dilution-info": "", "WB-species-notes": "<p></p>", "IHCFr-species-checked": "testedAndGuaranteed", "IHCFr-species-dilution-info": "", "IHCFr-species-notes": "<p>Heat mediated antigen retrieval using sodium citrate buffer (10mM citrate pH 6.0 + 0.05% Tween-20)</p>", "IHCP-species-checked": "guaranteed", "IHCP-species-dilution-info": "", "IHCP-species-notes": "", "mIHC-species-checked": "testedAndGuaranteed", "mIHC-species-dilution-info": "", "mIHC-species-notes": "<p></p>" }, "Rat": { "IP-species-checked": "notRecommended", "IP-species-dilution-info": "", "IP-species-notes": "<p></p>", "WB-species-checked": "guaranteed", "WB-species-dilution-info": "", "WB-species-notes": "", "IHCFr-species-checked": "guaranteed", "IHCFr-species-dilution-info": "", "IHCFr-species-notes": "", "IHCP-species-checked": "testedAndGuaranteed", "IHCP-species-dilution-info": "", "IHCP-species-notes": "<p></p>", "mIHC-species-checked": "guaranteed", "mIHC-species-dilution-info": "", "mIHC-species-notes": "" } } }

Product details

Please Note: Clone [EPR23574-405] (this product) is different to that of ab275932 [EPR23574-130] for the same target.

ab278531 is the carrier-free version of ab278525.

Patented technology
Our RabMAb® technology is a patented hybridoma-based technology for making rabbit monoclonal antibodies. For details on our patents, please refer to RabMAb® patents.

What are the advantages of a recombinant monoclonal antibody?
This product is a recombinant monoclonal antibody, which offers several advantages including:

  • - High batch-to-batch consistency and reproducibility
  • - Improved sensitivity and specificity
  • - Long-term security of supply
  • - Animal-free batch production

For more information, read more on recombinant antibodies.

Conjugation ready
Our carrier-free antibodies are typically supplied in a PBS-only formulation, purified and free of BSA, sodium azide and glycerol. This conjugation-ready format is designed for use with fluorochromes, metal isotopes, oligonucleotides, and enzymes, which makes them ideal for antibody labelling, functional and cell-based assays, flow-based assays (e.g. mass cytometry) and Multiplex Imaging applications.

Use our conjugation kits for antibody conjugates that are ready-to-use in as little as 20 minutes with 1 minute hands-on-time and 100% antibody recovery: available for fluorescent dyes, HRP, biotin and gold.

Compatibility
This product is compatible with the Maxpar® Antibody Labeling Kit from Fluidigm, without the need for antibody preparation. Maxpar® is a trademark of Fluidigm Canada Inc.

Properties and storage information

Form
Liquid
Purification technique
Affinity purification Protein A
Storage buffer
Constituents: PBS
Shipped at conditions
Blue Ice
Appropriate short-term storage conditions
+4°C
Appropriate long-term storage conditions
+4°C

Supplementary information

This supplementary information is collated from multiple sources and compiled automatically.

Thyroid Peroxidase (TPO) also known as thyroperoxidase is an enzyme with a molecular mass of around 105 kDa. It is expressed in the thyroid gland's follicular cells. TPO plays a mechanical role in the synthesis of thyroid hormones by catalyzing iodination and coupling reactions needed to produce triiodothyronine (T3) and thyroxine (T4). These hormones are essential for regulating metabolism growth and development. The activity of TPO is an important step in thyroid hormone production.
Biological function summary

TPO participates in the thyroid's hormone biosynthesis pathway. It forms a part of the multi-enzyme complex that includes thyroglobulin and iodide. The enzyme facilitates the iodination of tyrosine residues on thyroglobulin and the coupling of iodotyrosines important for creating active thyroid hormones. TPO's enzymatic function is important for maintaining appropriate levels of circulating T3 and T4 impacting various physiological processes in the body.

Pathways

TPO contributes to the thyroid hormone synthesis pathway which is a critical pathway for metabolic regulation. It works in close association with other proteins such as thyroglobulin and sodium/iodide symporter (NIS) to ensure efficient thyroid hormone production. TPO's involvement in these pathways indicates its importance in the endocrine system's normal function and homeostasis.

TPO is often associated with autoimmune thyroid diseases like Hashimoto's thyroiditis and Graves' disease. High TPO antibodies such as anti-TPO antibodies are commonly detected in these conditions indicating an autoimmune response against the thyroid. The presence of high anti-thyroid peroxidase antibodies can lead to the destruction of thyroid tissue often resulting in hypothyroidism. TPO's connection to these diseases highlights its role in autoimmune conditions affecting thyroid function.

Product protocols

For this product, it's our understanding that no specific protocols are required. You can visit:

Target data

Iodination and coupling of the hormonogenic tyrosines in thyroglobulin to yield the thyroid hormones T(3) and T(4).
See full target information Thyroid peroxidase

Product promise

We are committed to supporting your work with high-quality reagents, and we're here for you every step of the way. In the unlikely event that one of our products does not perform as expected, you're protected by our Product Promise.
For full details, please see our Terms & Conditions

Please note: All products are 'FOR RESEARCH USE ONLY. NOT FOR USE IN DIAGNOSTIC OR THERAPEUTIC PROCEDURES'.

For licensing inquiries, please contact partnerships@abcam.com