JavaScript is disabled in your browser. Please enable JavaScript to view this website.
AB133322

Anti-Thyroid Peroxidase/TPO antibody [EPR5379]

Be the first to review this product! Submit a review

|

(6 Publications)

Rabbit Recombinant Monoclonal Thyroid Peroxidase/TPO antibody. Suitable for IHC-P, IP, WB and reacts with Human samples. Cited in 6 publications.

View Alternative Names

Thyroid peroxidase, TPO

4 Images
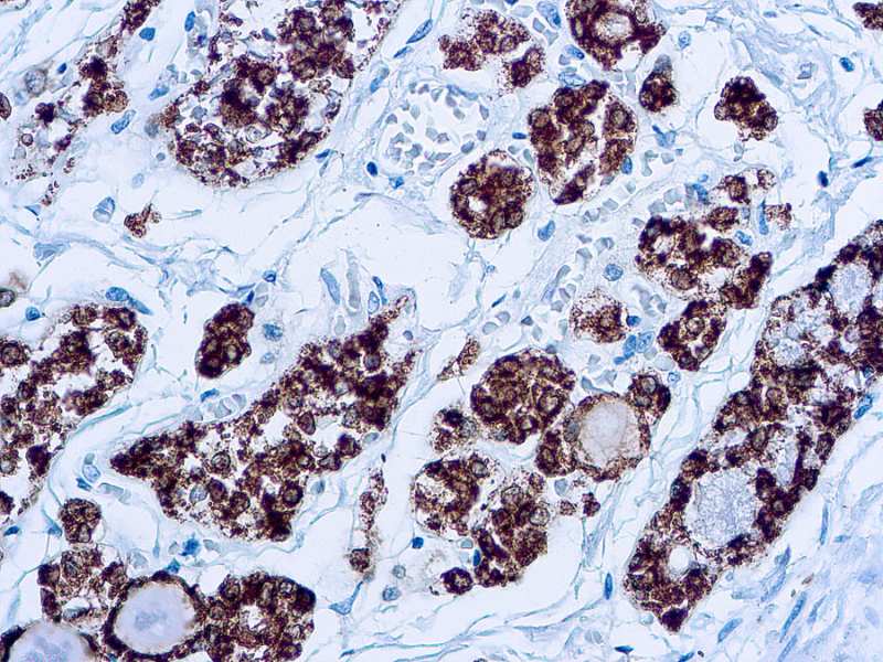
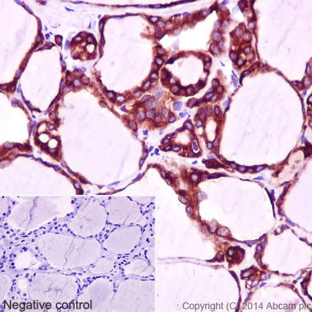
Immunohistochemistry (Formalin/PFA-fixed paraffin-embedded sections) - Anti-Thyroid Peroxidase/TPO antibody [EPR5379] (AB133322)
  • IHC-P

Lab

Immunohistochemistry (Formalin/PFA-fixed paraffin-embedded sections) - Anti-Thyroid Peroxidase/TPO antibody [EPR5379] (AB133322)

Immunohistochemical staining of paraffin embedded human thyroid with purified ab133322 at a working dilution of 1 in 1000. The secondary antibody used is a HRP polymer for rabbit IgG. The sample is counter-stained with hematoxylin. Antigen retrieval was perfomed using Tris-EDTA buffer pH 9.0. PBS was used instead of the primary antibody as the negative control and is shown in the inset.

Immunoprecipitation - Anti-Thyroid Peroxidase/TPO antibody [EPR5379] (AB133322)
  • IP

Lab

Immunoprecipitation - Anti-Thyroid Peroxidase/TPO antibody [EPR5379] (AB133322)

ab133322 (purified) at 1/40 immunoprecipitating thyroid peroxidase/TPO in human thyroid tissue lysate (Lane 1). For western blotting, a HRP-conjugated goat anti-rabbit IgG, was used as the secondary antibody (1/1000).

Blocking buffer and concentration : 5% NFDM/TBST.

Diluting buffer and concentration : 5% NFDM /TBST.

All lanes:

Immunoprecipitation - Anti-Thyroid Peroxidase/TPO antibody [EPR5379] (ab133322)

Predicted band size: 103 kDa

false

Western blot - Anti-Thyroid Peroxidase/TPO antibody [EPR5379] (AB133322)
  • WB

Lab

Western blot - Anti-Thyroid Peroxidase/TPO antibody [EPR5379] (AB133322)

Blocking buffer : 5% NFDM/TBST

Dilution buffer : 5% NFDM/TBST

All lanes:

Western blot - Anti-Thyroid Peroxidase/TPO antibody [EPR5379] (ab133322) at 1/20000 dilution

All lanes:

Human thyroid tissue lysate at 10 µg

Secondary

All lanes:

HRP anti-rabbit IgG, specific to the non-reduced form of IgG at 1/1000 dilution

Predicted band size: 103 kDa,88 kDa

Observed band size: 103 kDa,140 kDa

false

Western blot - Anti-Thyroid Peroxidase/TPO antibody [EPR5379] (AB133322)
  • WB

Unknown

Western blot - Anti-Thyroid Peroxidase/TPO antibody [EPR5379] (AB133322)

All lanes:

Western blot - Anti-Thyroid Peroxidase/TPO antibody [EPR5379] (ab133322) at 1/1000 dilution

All lanes:

Human thyroid lysate at 10 µg

Secondary

All lanes:

HRP labelled goat anti-rabbit at 1/2000 dilution

Predicted band size: 103 kDa

false

  • Carrier free

    Anti-Thyroid Peroxidase/TPO antibody [EPR5379] - BSA and Azide free

Key facts

Host species

Rabbit

Clonality

Monoclonal

Clone number

EPR5379

Isotype

IgG

Carrier free

No

Reacts with

Human

Applications

IP, WB, IHC-P

applications

Immunogen

The exact immunogen used to generate this antibody is proprietary information.

Reactivity data

{ "title": "Reactivity Data", "filters": { "stats": ["", "Species", "Dilution Info", "Notes"], "tabs": { "all-applications": {"fullname" : "All Applications", "shortname": "All Applications"}, "IHCP" : {"fullname" : "Immunohistochemistry (Formalin/PFA-fixed paraffin-embedded sections)", "shortname":"IHC-P"}, "IP" : {"fullname" : "Immunoprecipitation", "shortname":"IP"}, "WB" : {"fullname" : "Western blot", "shortname":"WB"}, "ICCIF" : {"fullname" : "Immunocytochemistry/ Immunofluorescence", "shortname":"ICC/IF"} }, "product-promise": { "all": "all", "testedAndGuaranteed": "tested", "guaranteed": "expected", "predicted": "predicted", "notRecommended": "not-recommended" } }, "values": { "Human": { "IHCP-species-checked": "testedAndGuaranteed", "IHCP-species-dilution-info": "1/1000 - 1/2000", "IHCP-species-notes": "<p></p>", "IP-species-checked": "testedAndGuaranteed", "IP-species-dilution-info": "1/40", "IP-species-notes": "<p></p>", "WB-species-checked": "testedAndGuaranteed", "WB-species-dilution-info": "1/10000 - 1/20000", "WB-species-notes": "<p></p>", "ICCIF-species-checked": "notRecommended", "ICCIF-species-dilution-info": "", "ICCIF-species-notes": "<p></p>" } } }

Product details

Species reactivity
Mouse, Rat: We have preliminary internal testing data to indicate this antibody may not react with these species.
Please contact us for more information.

Patented technology
Our RabMAb® technology is a patented hybridoma-based technology for making rabbit monoclonal antibodies. For details on our patents, please refer to RabMAb® patents.

What are the advantages of a recombinant monoclonal antibody?
This product is a recombinant monoclonal antibody, which offers several advantages including:

  • - High batch-to-batch consistency and reproducibility
  • - Improved sensitivity and specificity
  • - Long-term security of supply
  • - Animal-free batch production

For more information, read more on recombinant antibodies.

Properties and storage information

Form
Liquid
Purification technique
Affinity purification Protein A
Storage buffer
pH: 7.2 - 7.4 Preservative: 0.01% Sodium azide Constituents: PBS, 40% Glycerol (glycerin, glycerine), 0.05% BSA
Shipped at conditions
Blue Ice
Appropriate short-term storage conditions
+4°C
Appropriate long-term storage conditions
-20°C
Storage information
Stable for 12 months at -20°C

Supplementary information

This supplementary information is collated from multiple sources and compiled automatically.

Thyroid Peroxidase (TPO) also known as thyroperoxidase is an enzyme with a molecular mass of around 105 kDa. It is expressed in the thyroid gland's follicular cells. TPO plays a mechanical role in the synthesis of thyroid hormones by catalyzing iodination and coupling reactions needed to produce triiodothyronine (T3) and thyroxine (T4). These hormones are essential for regulating metabolism growth and development. The activity of TPO is an important step in thyroid hormone production.
Biological function summary

TPO participates in the thyroid's hormone biosynthesis pathway. It forms a part of the multi-enzyme complex that includes thyroglobulin and iodide. The enzyme facilitates the iodination of tyrosine residues on thyroglobulin and the coupling of iodotyrosines important for creating active thyroid hormones. TPO's enzymatic function is important for maintaining appropriate levels of circulating T3 and T4 impacting various physiological processes in the body.

Pathways

TPO contributes to the thyroid hormone synthesis pathway which is a critical pathway for metabolic regulation. It works in close association with other proteins such as thyroglobulin and sodium/iodide symporter (NIS) to ensure efficient thyroid hormone production. TPO's involvement in these pathways indicates its importance in the endocrine system's normal function and homeostasis.

TPO is often associated with autoimmune thyroid diseases like Hashimoto's thyroiditis and Graves' disease. High TPO antibodies such as anti-TPO antibodies are commonly detected in these conditions indicating an autoimmune response against the thyroid. The presence of high anti-thyroid peroxidase antibodies can lead to the destruction of thyroid tissue often resulting in hypothyroidism. TPO's connection to these diseases highlights its role in autoimmune conditions affecting thyroid function.

Product protocols

For this product, it's our understanding that no specific protocols are required. You can visit:

Target data

Iodination and coupling of the hormonogenic tyrosines in thyroglobulin to yield the thyroid hormones T(3) and T(4).
See full target information Thyroid peroxidase

Publications (6)

Recent publications for all applications. Explore the full list and refine your search

Archives of toxicology 98:2631-2645 PubMed38796608

2024

In vitro assessment of thyroid peroxidase inhibition by chemical exposure: comparison of cell models and detection methods.

Applications

Unspecified application

Species

Unspecified reactive species

Runze Liu,Jiří Novák,Klára Hilscherová

European thyroid journal 12: PubMed37352166

2023

Iodine avidity in papillary and poorly differentiated thyroid cancer is predicted by immunohistochemical and molecular work-up.

Applications

Unspecified application

Species

Unspecified reactive species

Joachim N Nilsson,Jonathan Siikanen,Vincenzo Condello,Kenbugul Jatta,Ravi Saini,Christel Hedman,Catharina Ihre Lundgren,C Christofer Juhlin

Cell death discovery 8:423 PubMed36266265

2022

Pyruvate carboxylase promotes malignant transformation of papillary thyroid carcinoma and reduces iodine uptake.

Applications

Unspecified application

Species

Unspecified reactive species

Yang Liu,Chang Liu,Yu Pan,Jinxin Zhou,Huijun Ju,Yifan Zhang

The Journal of clinical endocrinology and metabolism 104:4607-4618 PubMed31199456

2019

Circulating Exosomes Activate Dendritic Cells and Induce Unbalanced CD4+ T Cell Differentiation in Hashimoto Thyroiditis.

Applications

Unspecified application

Species

Unspecified reactive species

Xuejiao Cui,Yongping Liu,Shuo Wang,Na Zhao,Jing Qin,Yushu Li,Chenling Fan,Zhongyan Shan,Weiping Teng

International journal of endocrinology 2014:390121 PubMed24829575

2014

Functional analysis of thyroid peroxidase gene mutations detected in patients with thyroid dyshormonogenesis.

Applications

Unspecified application

Species

Unspecified reactive species

Srikanta Guria,Biswabandhu Bankura,Nisha Balmiki,Arup Kumar Pattanayak,Tapas Kumar Das,Anirban Sinha,Sudipta Chakrabarti,Subhankar Chowdhury,Madhusudan Das

The Journal of clinical endocrinology and metaboli 99:E694-702 PubMed24433000

2014

Thyroglobulin suppresses thyroid-specific gene expression in cultures of normal but not neoplastic human thyroid follicular cells.

Applications

Unspecified application

Species

Unspecified reactive species

Yuko Ishido,Kazuko Yamazaki,Makoto Kammori,Yoshiyuki Sugishita,Yuqian Luo,Emiko Yamada,Tetsu Yamada,Donald F Sellitti,Koichi Suzuki
View all publications

Product promise

We are committed to supporting your work with high-quality reagents, and we're here for you every step of the way. In the unlikely event that one of our products does not perform as expected, you're protected by our Product Promise.
For full details, please see our Terms & Conditions

Please note: All products are 'FOR RESEARCH USE ONLY. NOT FOR USE IN DIAGNOSTIC OR THERAPEUTIC PROCEDURES'.

For licensing inquiries, please contact partnerships@abcam.com