JavaScript is disabled in your browser. Please enable JavaScript to view this website.
AB280962

Anti-Thyroxine Binding Globulin antibody [EPR24453-121] - BSA and Azide free

Be the first to review this product! Submit a review

|

(0 Publication)

Rabbit Recombinant Monoclonal Thyroxine Binding Globulin antibody. Carrier free. Suitable for IP, WB, IHC-P, Flow Cyt (Intra) and reacts with Human samples.

View Alternative Names

TBG, SERPINA7, Thyroxine-binding globulin, Serpin A7, T4-binding globulin

8 Images
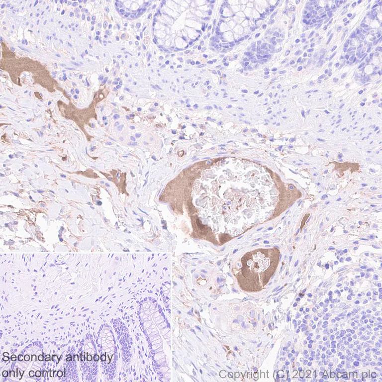
Immunohistochemistry (Formalin/PFA-fixed paraffin-embedded sections) - Anti-Thyroxine Binding Globulin antibody [EPR24453-121] - BSA and Azide free (AB280962)
  • IHC-P

Supplier Data

Immunohistochemistry (Formalin/PFA-fixed paraffin-embedded sections) - Anti-Thyroxine Binding Globulin antibody [EPR24453-121] - BSA and Azide free (AB280962)

This data was developed using ab280954, the same antibody clone in a different buffer formulation.

Immunohistochemical analysis of paraffin-embedded Human colon tissue labelling Thyroxine Binding Globulin with ab280954 at 1/300 (5.92 ug/ml) dilution followed by a ready to use Rabbit specific IHC polymer detection kit HRP/DAB (ab209101). Positive staining on the plasma in human colon. The section was incubated with ab280954 for 30 mins at room temperature. The immunostaining was performed on a Leica Biosystems BOND® RX instrument. Counterstained with Hematoxylin.

Secondary antibody only control : Secondary antibody is a ready to use Rabbit specific IHC polymer detection kit HRP/DAB (ab209101).

Heat mediated antigen retrieval with Tris-EDTA buffer (pH 9.0, epitope retrieval solution2) for 20 mins.

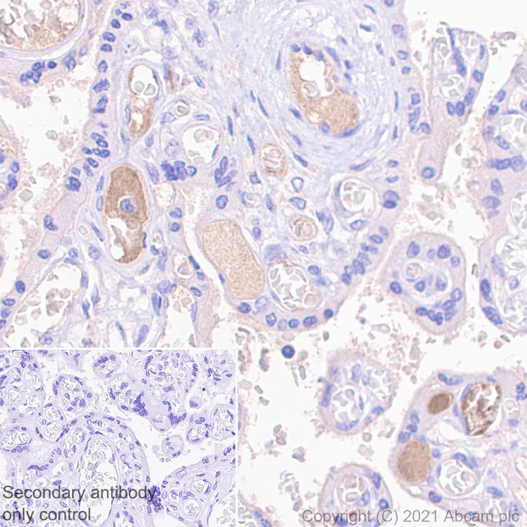
Immunohistochemistry (Formalin/PFA-fixed paraffin-embedded sections) - Anti-Thyroxine Binding Globulin antibody [EPR24453-121] - BSA and Azide free (AB280962)
  • IHC-P

Supplier Data

Immunohistochemistry (Formalin/PFA-fixed paraffin-embedded sections) - Anti-Thyroxine Binding Globulin antibody [EPR24453-121] - BSA and Azide free (AB280962)

This data was developed using ab280954, the same antibody clone in a different buffer formulation.

Immunohistochemical analysis of paraffin-embedded Human placenta tissue labelling Thyroxine Binding Globulin with ab280954 at 1/300 (5.92 ug/ml) dilution followed by a ready to use Rabbit specific IHC polymer detection kit HRP/DAB (ab209101). Positive staining on the plasma in human placenta. The section was incubated with ab280954 for 30 mins at room temperature. The immunostaining was performed on a Leica Biosystems BOND® RX instrument. Counterstained with Hematoxylin.

Secondary antibody only control : Secondary antibody is a ready to use Rabbit specific IHC polymer detection kit HRP/DAB (ab209101).

Heat mediated antigen retrieval with Tris-EDTA buffer (pH 9.0, epitope retrieval solution2) for 20 mins.

Flow Cytometry (Intracellular) - Anti-Thyroxine Binding Globulin antibody [EPR24453-121] - BSA and Azide free (AB280962)
  • Flow Cyt (Intra)

Supplier Data

Flow Cytometry (Intracellular) - Anti-Thyroxine Binding Globulin antibody [EPR24453-121] - BSA and Azide free (AB280962)

This data was developed using ab280954, the same antibody clone in a different buffer formulation.

Flow cytometric analysis of 4% paraformaldehyde-fixed, 90% methanol-permeabilized HeLa (Human cervix adenocarcinoma epithelial cell, Left) / HepG2 (Human hepatocellular carcinoma epithelial cell, Right) cells labelling Thyroxine Binding Globulin with ab280954 at 1/50 dilution (1ug) (Red) compared with a Rabbit monoclonal IgG (ab172730) (Black) isotype control and an unlabelled control (cells without incubation with primary antibody and secondary antibody) (Blue). A Goat anti rabbit IgG (Alexa Fluor® 488, ab150077) at 1/2000 dilution was used as the secondary antibody. Negative control : HeLa cells.

Immunohistochemistry (Formalin/PFA-fixed paraffin-embedded sections) - Anti-Thyroxine Binding Globulin antibody [EPR24453-121] - BSA and Azide free (AB280962)
  • IHC-P

Supplier Data

Immunohistochemistry (Formalin/PFA-fixed paraffin-embedded sections) - Anti-Thyroxine Binding Globulin antibody [EPR24453-121] - BSA and Azide free (AB280962)

This data was developed using ab280954, the same antibody clone in a different buffer formulation.

Immunohistochemical analysis of paraffin-embedded Human skeletal muscle tissue labelling Thyroxine Binding Globulin with ab280954 at 1/300 (5.92 ug/ml) dilution followed by a ready to use Rabbit specific IHC polymer detection kit HRP/DAB (ab209101). Negative control : no staining on human skeletal muscle (PMID : 8143919). The section was incubated with ab280954 for 30 mins at room temperature. The immunostaining was performed on a Leica Biosystems BOND® RX instrument. Counterstained with Hematoxylin.

Secondary antibody only control : Secondary antibody is a ready to use Rabbit specific IHC polymer detection kit HRP/DAB (ab209101).

Heat mediated antigen retrieval with Tris-EDTA buffer (pH 9.0, epitope retrieval solution2) for 20 mins.

Flow Cytometry (Intracellular) - Anti-Thyroxine Binding Globulin antibody [EPR24453-121] - BSA and Azide free (AB280962)
  • Flow Cyt (Intra)

Supplier Data

Flow Cytometry (Intracellular) - Anti-Thyroxine Binding Globulin antibody [EPR24453-121] - BSA and Azide free (AB280962)

This data was developed using ab280954, the same antibody clone in a different buffer formulation.

Flow cytometric analysis of 4% paraformaldehyde-fixed, 90% methanol-permeabilized HEK-293T (Human embryonic kidney epithelial cell) cells labelling Thyroxine Binding Globulin with ab280954 at 1/50 dilution (1ug) (Red) compared with a Rabbit monoclonal IgG (ab172730) (Black) isotype control and an unlabelled control (cells without incubation with primary antibody and secondary antibody) (Blue). A Goat anti rabbit IgG (Alexa Fluor® 488, ab150077) at 1/2000 dilution was used as the secondary antibody. Negative control : HEK-293T cells.

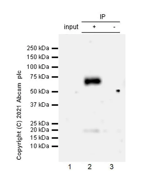
Immunoprecipitation - Anti-Thyroxine Binding Globulin antibody [EPR24453-121] - BSA and Azide free (AB280962)
  • IP

Supplier Data

Immunoprecipitation - Anti-Thyroxine Binding Globulin antibody [EPR24453-121] - BSA and Azide free (AB280962)

This data was developed using ab280954, the same antibody clone in a different buffer formulation.

Thyroxine Binding Globulin was immunoprecipitated from 0.35 mg HepG2 (human hepatocellular carcinoma epithelial cell) supernatant with ab280954 at 1/30 dilution (2ug in 0.35mg lysates). Western blot was performed on the immunoprecipitate using ab280954 at 1/1000 dilution. VeriBlot for IP Detection Reagent (HRP)(ab131366) was used at 1/5000 dilution.

Lane 1 : HepG2 (human hepatocellular carcinoma epithelial cell) supernatant 10 μl

Lane 2 : ab280954 IP in HepG2 supernatant

Lane 3 : Rabbit monoclonal IgG (ab172730) instead of ab280954 in HepG2 supernatant

Blocking and dilution buffer and concentration : 5% NFDM/TBST.

Exposure time : 3 minutes.

All lanes:

Immunoprecipitation - Anti-Thyroxine Binding Globulin antibody [EPR24453-121] (<a href='/en-us/products/primary-antibodies/thyroxine-binding-globulin-antibody-epr24453-121-ab280954'>ab280954</a>)

Predicted band size: 46 kDa

Observed band size: 54 kDa

false

Immunoprecipitation - Anti-Thyroxine Binding Globulin antibody [EPR24453-121] - BSA and Azide free (AB280962)
  • IP

Supplier Data

Immunoprecipitation - Anti-Thyroxine Binding Globulin antibody [EPR24453-121] - BSA and Azide free (AB280962)

This data was developed using ab280954, the same antibody clone in a different buffer formulation.

Thyroxine Binding Globulin was immunoprecipitated from 0.35 mg Human lung tissue lysate with ab280954 at 1/30 dilution (2ug in 0.35mg lysates). Western blot was performed on the immunoprecipitate using ab280954 at 1/1000 dilution. VeriBlot for IP Detection Reagent (HRP)(ab131366) was used at 1/5000 dilution.

Lane 1 : Human lung tissue lysate 10 ug

Lane 2 : ab280954 IP in Human lung tissue lysate

Lane 3 : Rabbit monoclonal IgG (ab172730) instead of ab280954 in Human lung tissue lysate

Blocking and dilution buffer and concentration : 5% NFDM/TBST.

Exposure time : 3 minutes.

This blot was developed using a higher sensitivity ECL substrate.

All lanes:

Immunoprecipitation - Anti-Thyroxine Binding Globulin antibody [EPR24453-121] (<a href='/en-us/products/primary-antibodies/thyroxine-binding-globulin-antibody-epr24453-121-ab280954'>ab280954</a>)

Predicted band size: 46 kDa

Observed band size: 49 kDa,54 kDa

false

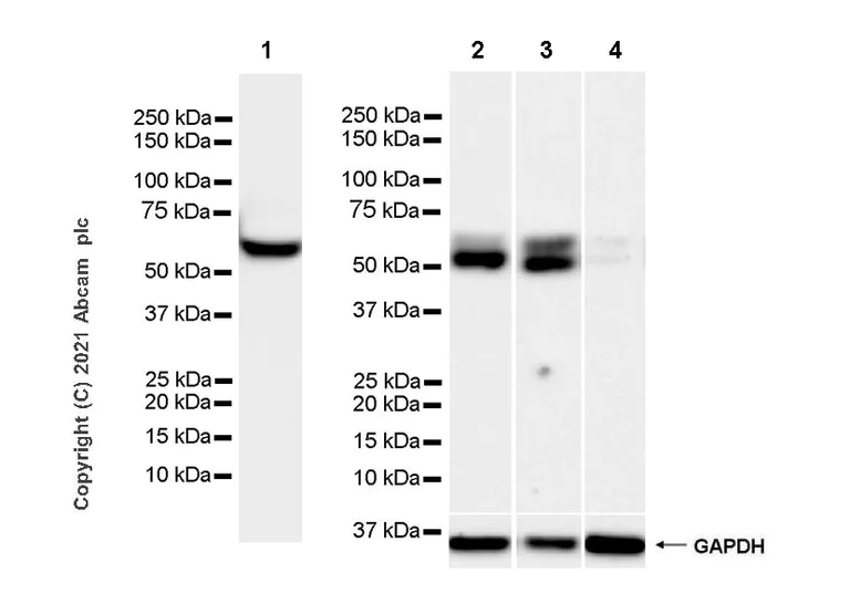
Western blot - Anti-Thyroxine Binding Globulin antibody [EPR24453-121] - BSA and Azide free (AB280962)
  • WB

Lab

Western blot - Anti-Thyroxine Binding Globulin antibody [EPR24453-121] - BSA and Azide free (AB280962)

This data was developed using 280954, the same antibody clone in a different buffer formulation.

Blocking and diluting buffer and concentration : 5% NFDM/TBST.

Samples are non-boiled as boiling may cause protein aggregates.

The MW observed is consistent with the literature (PMID : 12107243).

Thyroxine-binding globulin is highly expressed in plasma. (PMID : 820495, 8106612).

Bands of 54KDa and 49KDa respectively represent the full length and endogenous cleavage form.

Exposure time : Lane 1 : 15 seconds Lane 2 : 37 seconds Lane 3, 4 : 109 seconds.

All lanes:

Western blot - Anti-Thyroxine Binding Globulin antibody [EPR24453-121] (<a href='/en-us/products/primary-antibodies/thyroxine-binding-globulin-antibody-epr24453-121-ab280954'>ab280954</a>) at 1/1000 dilution

Lane 1:

Human plasma at 20 µL

Lane 2:

Human small intestine tissue lysate at 40 µg

Lane 3:

Human lung tissue lysate 40ug at 40 µg

Lane 4:

Human skeletal muscle lysate at 40 µg

Secondary

Lane 1:

Goat Anti-Rabbit IgG (HRP) with minimal cross-reactivity with human IgG at 1/2000 dilution

Lanes 2 - 4:

VeriBlot for IP secondary antibody(HRP)(<a href='/en-us/products/reagents/veriblot-for-ip-detection-reagent-hrp-ab131366'>ab131366</a>) at 1/1000 dilution

Predicted band size: 46 kDa

Observed band size: 49 kDa,54 kDa

false

  • Unconjugated

    Anti-Thyroxine Binding Globulin antibody [EPR24453-121]

Key facts

Host species

Rabbit

Clonality

Monoclonal

Clone number

EPR24453-121

Isotype

IgG

Carrier free

Yes

Reacts with

Human

Applications

IP, WB, IHC-P, Flow Cyt (Intra)

applications

Immunogen

The exact immunogen used to generate this antibody is proprietary information.

Reactivity data

{ "title": "Reactivity Data", "filters": { "stats": ["", "Species", "Dilution Info", "Notes"], "tabs": { "all-applications": {"fullname" : "All Applications", "shortname": "All Applications"}, "ICCIF" : {"fullname" : "Immunocytochemistry/ Immunofluorescence", "shortname":"ICC/IF"}, "IP" : {"fullname" : "Immunoprecipitation", "shortname":"IP"}, "WB" : {"fullname" : "Western blot", "shortname":"WB"}, "IHCP" : {"fullname" : "Immunohistochemistry (Formalin/PFA-fixed paraffin-embedded sections)", "shortname":"IHC-P"}, "FlowCytIntra" : {"fullname" : "Flow Cytometry (Intracellular)", "shortname":"Flow Cyt (Intra)"} }, "product-promise": { "all": "all", "testedAndGuaranteed": "tested", "guaranteed": "expected", "predicted": "predicted", "notRecommended": "not-recommended" } }, "values": { "Human": { "ICCIF-species-checked": "notRecommended", "ICCIF-species-dilution-info": "", "ICCIF-species-notes": "<p></p>", "IP-species-checked": "testedAndGuaranteed", "IP-species-dilution-info": "", "IP-species-notes": "<p></p>", "WB-species-checked": "testedAndGuaranteed", "WB-species-dilution-info": "", "WB-species-notes": "<p></p>", "IHCP-species-checked": "testedAndGuaranteed", "IHCP-species-dilution-info": "", "IHCP-species-notes": "<p></p>", "FlowCytIntra-species-checked": "testedAndGuaranteed", "FlowCytIntra-species-dilution-info": "", "FlowCytIntra-species-notes": "<p></p>" }, "Mouse": { "ICCIF-species-checked": "notRecommended", "ICCIF-species-dilution-info": "", "ICCIF-species-notes": "", "IP-species-checked": "notRecommended", "IP-species-dilution-info": "", "IP-species-notes": "", "WB-species-checked": "notRecommended", "WB-species-dilution-info": "", "WB-species-notes": "<p></p>", "IHCP-species-checked": "notRecommended", "IHCP-species-dilution-info": "", "IHCP-species-notes": "<p></p>", "FlowCytIntra-species-checked": "notRecommended", "FlowCytIntra-species-dilution-info": "", "FlowCytIntra-species-notes": "" }, "Rat": { "ICCIF-species-checked": "notRecommended", "ICCIF-species-dilution-info": "", "ICCIF-species-notes": "", "IP-species-checked": "notRecommended", "IP-species-dilution-info": "", "IP-species-notes": "", "WB-species-checked": "notRecommended", "WB-species-dilution-info": "", "WB-species-notes": "<p></p>", "IHCP-species-checked": "notRecommended", "IHCP-species-dilution-info": "", "IHCP-species-notes": "<p></p>", "FlowCytIntra-species-checked": "notRecommended", "FlowCytIntra-species-dilution-info": "", "FlowCytIntra-species-notes": "" } } }

Product details

ab280962 is the carrier-free version of ab280954.

Patented technology
Our RabMAb® technology is a patented hybridoma-based technology for making rabbit monoclonal antibodies. For details on our patents, please refer to RabMAb® patents.

What are the advantages of a recombinant monoclonal antibody?
This product is a recombinant monoclonal antibody, which offers several advantages including:

  • - High batch-to-batch consistency and reproducibility
  • - Improved sensitivity and specificity
  • - Long-term security of supply
  • - Animal-free batch production

For more information, read more on recombinant antibodies.

Conjugation ready
Our carrier-free antibodies are typically supplied in a PBS-only formulation, purified and free of BSA, sodium azide and glycerol. This conjugation-ready format is designed for use with fluorochromes, metal isotopes, oligonucleotides, and enzymes, which makes them ideal for antibody labelling, functional and cell-based assays, flow-based assays (e.g. mass cytometry) and Multiplex Imaging applications.

Use our conjugation kits for antibody conjugates that are ready-to-use in as little as 20 minutes with 1 minute hands-on-time and 100% antibody recovery: available for fluorescent dyes, HRP, biotin and gold.

Compatibility
This product is compatible with the Maxpar® Antibody Labeling Kit from Fluidigm, without the need for antibody preparation. Maxpar® is a trademark of Fluidigm Canada Inc.

Properties and storage information

Form
Liquid
Purification technique
Affinity purification Protein A
Storage buffer
Constituents: PBS
Shipped at conditions
Blue Ice
Appropriate short-term storage conditions
+4°C
Appropriate long-term storage conditions
+4°C

Supplementary information

This supplementary information is collated from multiple sources and compiled automatically.

Thyroxine Binding Globulin (TBG) also called globulin 23 is a glycoprotein that binds thyroid hormones primarily thyroxine (T4) and triiodothyronine (T3). It facilitates the transport of these hormones through the bloodstream to various tissues. This binding globulin has a molecular weight of approximately 54 kDa. TBG is predominantly expressed in the liver and is an essential component within the circulatory system for hormone regulation. Although there is no substance called 'globulin green' TBG plays an important role in maintaining the systemic balance of thyroid hormones.
Biological function summary

The thyroxine-binding globulin helps maintain adequate levels of thyroid hormones in circulation ensuring a ready reserve supply to target tissues. TBG acts as a carrier protein and does not form part of a larger complex. It provides stability to the hormones and prevents their premature clearance from the bloodstream. Without it the availability and functionality of thyroid hormones within the body would be compromised affecting metabolic and growth functions.

Pathways

Thyroxine-binding globulin is critical in the thyroid hormone signaling pathway. This pathway regulates metabolism growth and development through the action of thyroid hormones. TBG is closely related to other hormone-binding proteins such as transthyretin and albumin which also participate in thyroid hormone transport albeit with different affinities. Its presence ensures that these hormones remain available for cellular uptake and action within various tissues influencing energy expenditure and developmental processes.

The function and levels of thyroxine-binding globulin have significant implications in conditions like hypothyroidism and hyperthyroidism. Altered TBG levels either due to genetic variations or external factors can lead to abnormal blood concentrations of thyroid hormones affecting growth and metabolism. In such disorders the interaction between TBG and thyroid hormones becomes critical. TBG levels can be influenced by other proteins like sex hormone-binding globulin (SHBG) which may reflect changes in the hormone-binding protein landscape during disease states contributing to dysregulated hormonal balance.

Product protocols

For this product, it's our understanding that no specific protocols are required. You can visit:

Target data

Major thyroid hormone transport protein in serum.
See full target information SERPINA7

Product promise

We are committed to supporting your work with high-quality reagents, and we're here for you every step of the way. In the unlikely event that one of our products does not perform as expected, you're protected by our Product Promise.
For full details, please see our Terms & Conditions

Please note: All products are 'FOR RESEARCH USE ONLY. NOT FOR USE IN DIAGNOSTIC OR THERAPEUTIC PROCEDURES'.

For licensing inquiries, please contact partnerships@abcam.com