JavaScript is disabled in your browser. Please enable JavaScript to view this website.
AB140595

Anti-TIA1 antibody [EPR9304]

  • KO Validated
  • RabMAb
  • Recombinant
  • 20ul selling size
  • What is this?

2

(1 Review)

|

(20 Publications)

Anti-TIA1 antibody [EPR9304] (ab140595) is a rabbit monoclonal antibody detecting TIA1 in Western Blot, IP, IHC-P, ICC/IF. Suitable for Human, Mouse.

- KO validated for confirmed specificity
- Biophysical QC for unrivalled batch-batch consistency
- Over 10 publications

View Alternative Names

Cytotoxic granule associated RNA binding protein TIA1, Nucleolysin TIA-1 isoform p40, RNA-binding protein TIA-1, T-cell-restricted intracellular antigen-1, p40-TIA-1, TIA-1, TIA1

11 Images
Immunocytochemistry/ Immunofluorescence - Anti-TIA1 antibody [EPR9304] (AB140595)
  • ICC/IF

Lab

Immunocytochemistry/ Immunofluorescence - Anti-TIA1 antibody [EPR9304] (AB140595)

ab140595 staining TIA1 in wild-type Hap1 cells (top panel) and TIA1 knockout Hap1 cells (bottom panel). The cells were fixed with 4% paraformaldehyde (10 min), permeabilized with 0.1% Triton X-100 for 5 minutes and then blocked with 1% BSA/10% normal goat serum/0.3M glycine in 0.1% PBS-Tween for 1h. The cells were then incubated with ab140595 at 1/250 dilution and ab7291 (Mouse monoclonal to alpha Tubulin) at 1/1000 dilution overnight at +4°C, followed by a further incubation at room temperature for 1h with a goat secondary antibody to rabbit IgG (Alexa Fluor® 488) (ab150081) at 2 μg/ml (shown in green) and a goat secondary antibody to mouse IgG (Alexa Fluor® 594) (ab150120) at 2 μg/ml (shown in red). Nuclear DNA was labelled in blue with DAPI.

Image was taken with a confocal microscope (Leica-Microsystems, TCS SP8).

Immunohistochemistry (Formalin/PFA-fixed paraffin-embedded sections) - Anti-TIA1 antibody [EPR9304] (AB140595)
  • IHC-P

Unknown

Immunohistochemistry (Formalin/PFA-fixed paraffin-embedded sections) - Anti-TIA1 antibody [EPR9304] (AB140595)

Immunohistochemistry (Formalin/PFA-fixed paraffin-embedded sections) analysis of human spleen tissue labelling TIA1 with unpurified ab140595 at a dilution of 1/100.

Immunocytochemistry/ Immunofluorescence - Anti-TIA1 antibody [EPR9304] (AB140595)
  • ICC/IF

Lab

Immunocytochemistry/ Immunofluorescence - Anti-TIA1 antibody [EPR9304] (AB140595)

Immunocytochemistry/Immunofluorescence analysis of HuT-78 cells labelling TIA1 with purified ab140595 at 1/100. Cells were fixed with 4% paraformaldehyde and permeabilized with 0.1% Triton X-100. ab150077, an Alexa Fluor® 488-conjugated goat anti-rabbit IgG (1/1000) was used as the secondary antibody. DAPI (blue) was used as the nuclear counterstain. ab7291, a mouse anti-tubulin (1/1000) and ab150120, an Alexa Fluor® 594-conjugated goat anti-mouse IgG (1/1000) were also used.

Control 1 : primary antibody (1/100) and secondary antibody, ab150120, an Alexa Fluor® 594-conjugated goat anti-mouse IgG (1/1000).

Control 2 : ab7291 (1/1000) and secondary antibody, ab150077, an Alexa Fluor® 488-conjugated goat anti-rabbit IgG (1/1000).

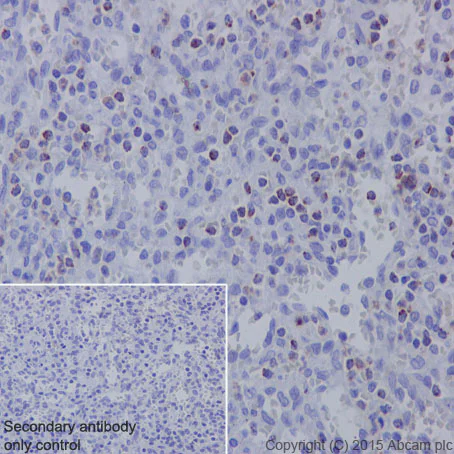
Immunohistochemistry (Formalin/PFA-fixed paraffin-embedded sections) - Anti-TIA1 antibody [EPR9304] (AB140595)
  • IHC-P

Lab

Immunohistochemistry (Formalin/PFA-fixed paraffin-embedded sections) - Anti-TIA1 antibody [EPR9304] (AB140595)

Immunohistochemistry (Formalin/PFA-fixed paraffin-embedded sections) analysis of human spleen tissue labelling TIA1 with purified ab140595 at 1/1000. Heat mediated antigen retrieval was performed using Tris/EDTA buffer pH 9. ab97051, a HRP-conjugated goat anti-rabbit IgG (H+L) was used as the secondary antibody (1/500). Negative control using PBS instead of primary antibody. Counterstained with hematoxylin.

Immunoprecipitation - Anti-TIA1 antibody [EPR9304] (AB140595)
  • IP

Lab

Immunoprecipitation - Anti-TIA1 antibody [EPR9304] (AB140595)

ab140595 (purified) at 1/40 immunoprecipitating TIA1 in HuT-78 whole cell lysate.

Lane 1 (input) : HuT-78 whole cell lysate (10μg)

Lane 2 (+) : ab140595 + HuT-78 whole cell lysate.

Lane 3 (-) : Rabbit monoclonal IgG (ab172730) instead of ab140595 in HuT-78 whole cell lysate.

For western blotting, a HRP-conjugated anti-rabbit IgG, specific to the non-reduced form of IgG was used as the secondary antibody (1/1500).

Blocking buffer and concentration : 5% NFDM/TBST.

Diluting buffer and concentration : 5% NFDM /TBST.

All lanes:

Immunoprecipitation - Anti-TIA1 antibody [EPR9304] (ab140595)

Predicted band size: 43 kDa

Observed band size: 42 kDa,43 kDa

false

Immunoprecipitation - Anti-TIA1 antibody [EPR9304] (AB140595)
  • IP

Lab

Immunoprecipitation - Anti-TIA1 antibody [EPR9304] (AB140595)

Immunoprecipitation of TIA1 in HAP1 cells. Lysates were prepared and immunoprecipitation was performed using 1.0 µg of ab263945 pre-coupled to Protein A beads. Samples were then washed and processed for western blot.

These data were provided by YCharOS Inc., an open science company with the mission of characterizing commercially available antibody reagents for all human proteins. Abcam and YCharOS are working together to help address the reproducibility crisis by enabling the life science community to better evaluate commercially available antibodies.

All lanes:

Immunoprecipitation - Anti-TIA1 antibody [EPR9304] (ab140595) at 1 µg

All lanes:

HAP1 cells

false

Western blot - Anti-TIA1 antibody [EPR9304] (AB140595)
  • WB

Lab

Western blot - Anti-TIA1 antibody [EPR9304] (AB140595)

Blocking and dilution buffer : 5% NFDM/TBST.

All lanes:

Western blot - Anti-TIA1 antibody [EPR9304] (ab140595) at 1/5000 dilution

Lane 1:

Jurkat whole cell lysate at 20 µg

Lane 2:

K562 whole cell lysate at 20 µg

Lane 3:

HUT-78 whole cell lysate at 20 µg

Secondary

All lanes:

Western blot - Goat Anti-Rabbit IgG H&L (HRP) (<a href='/en-us/products/secondary-antibodies/goat-rabbit-igg-h-l-hrp-ab97051'>ab97051</a>) at 1/10000 dilution

Predicted band size: 43 kDa

Observed band size: 42-43 kDa

false

Western blot - Anti-TIA1 antibody [EPR9304] (AB140595)
  • WB

Lab

Western blot - Anti-TIA1 antibody [EPR9304] (AB140595)

Lane 1 : Wild-type HAP1 cell lysate (40 μg)
Lane 2 : TIA1 knockout HAP1 cell lysate (40 μg)
Lane 3 : Jurkat cell lysate (40 μg)
Lane 4 : K562 cell lysate (40 μg)
Lanes 1 - 4 : Merged signal (red and green). Green - ab140595 observed at 43 kDa. Red - loading control, ab18058, observed at 124 kDa.

ab140595 was shown to specifically react with TIA1 when TIA1 knockout samples were used. Wild-type and TIA1 knockout samples were subjected to SDS-PAGE. ab140595 and ab18058 (loading control to Vinculin) were diluted at 1/1000 and 1/10000 dilution respectively and incubated overnight at 4C. Blots were developed with Goat anti-Rabbit IgG H&L (IRDye® 800CW) preadsorbed ab216773 and Goat anti-Mouse IgG H&L (IRDye® 680RD) preadsorbed ab216776 secondary antibodies at 1/10000 dilution for 1 hour at room temperature before imaging.

All lanes:

Western blot - Anti-TIA1 antibody [EPR9304] (ab140595)

Predicted band size: 43 kDa

false

Western blot - Anti-TIA1 antibody [EPR9304] (AB140595)
  • WB

Unknown

Western blot - Anti-TIA1 antibody [EPR9304] (AB140595)

All lanes:

Western blot - Anti-TIA1 antibody [EPR9304] (ab140595)

Lane 1:

HuT-78 cell lysate at 10 µg

Lane 2:

Jurkat cell lysate at 10 µg

Lane 3:

Molt-4 cell lysate at 10 µg

Lane 4:

K562 cell lysate at 10 µg

Secondary

All lanes:

HRP-conjugated goat anti-rabbit IgG at 1/2000 dilution

Predicted band size: 43 kDa

false

Western blot - Anti-TIA1 antibody [EPR9304] (AB140595)
  • WB

Lab

Western blot - Anti-TIA1 antibody [EPR9304] (AB140595)

ab140595 was shown to react with TIA1 in wild-type HAP1 cells in Western blot with loss of signal observed in a TIA1 knockout cell line. Wild-type HAP1 and TIA1 knockout cell lysates were subjected to SDS-PAGE. Membranes were blocked in 5% milk in TBST for 1 hr before incubation with ab140595 overnight at 4 °C at a 1/5000 dilution. Blots were incubated with secondary antibodies at 0.2 µg/mL before imaging.

These data were provided by YCharOS Inc., an open science company with the mission of characterizing commercially available antibody reagents for all human proteins. Abcam and YCharOS are working together to help address the reproducibility crisis by enabling the life science community to better evaluate commercially available antibodies.

All lanes:

Western blot - Anti-TIA1 antibody [EPR9304] (ab140595) at 1/5000 dilution

Lane 1:

Wild-type HAP1 lysate at 50 µg

Lane 2:

TIA1 knock-out HAP1 lysate at 50 µg

false

Western blot - Anti-TIA1 antibody [EPR9304] (AB140595)
  • WB

Lab

Western blot - Anti-TIA1 antibody [EPR9304] (AB140595)

Blocking and dilution buffer : 5% NFDM/TBST.

All lanes:

Western blot - Anti-TIA1 antibody [EPR9304] (ab140595) at 1/5000 dilution

All lanes:

NIH/3T3 whole cell lysate at 20 µg

Secondary

All lanes:

Western blot - Goat Anti-Rabbit IgG H&L (HRP) (<a href='/en-us/products/secondary-antibodies/goat-rabbit-igg-h-l-hrp-ab97051'>ab97051</a>) at 1/10000 dilution

Predicted band size: 43 kDa

Observed band size: 42-43 kDa

false

Key facts

Host species

Rabbit

Clonality

Monoclonal

Clone number

EPR9304

Isotype

IgG

Carrier free

No

Reacts with

Mouse, Human

Applications

IHC-P, WB, IP, ICC/IF

applications

Immunogen

The exact immunogen used to generate this antibody is proprietary information.

Reactivity data

{ "title": "Reactivity Data", "filters": { "stats": ["", "Species", "Dilution Info", "Notes"], "tabs": { "all-applications": {"fullname" : "All Applications", "shortname": "All Applications"}, "IP" : {"fullname" : "Immunoprecipitation", "shortname":"IP"}, "WB" : {"fullname" : "Western blot", "shortname":"WB"}, "ICCIF" : {"fullname" : "Immunocytochemistry/ Immunofluorescence", "shortname":"ICC/IF"}, "IHCP" : {"fullname" : "Immunohistochemistry (Formalin/PFA-fixed paraffin-embedded sections)", "shortname":"IHC-P"} }, "product-promise": { "all": "all", "testedAndGuaranteed": "tested", "guaranteed": "expected", "predicted": "predicted", "notRecommended": "not-recommended" } }, "values": { "Human": { "IP-species-checked": "testedAndGuaranteed", "IP-species-dilution-info": "1/10 - 1/100", "IP-species-notes": "<p></p>", "WB-species-checked": "testedAndGuaranteed", "WB-species-dilution-info": "1/1000 - 1/10000", "WB-species-notes": "<p></p>", "ICCIF-species-checked": "testedAndGuaranteed", "ICCIF-species-dilution-info": "1/100 - 1/250", "ICCIF-species-notes": "<p></p>", "IHCP-species-checked": "testedAndGuaranteed", "IHCP-species-dilution-info": "1/1000", "IHCP-species-notes": "<p><strong>For unpurified use at 1/100 - 1/250.</strong></p> Perform heat-mediated antigen retrieval with Tris/EDTA buffer pH 9.0 before commencing with IHC staining protocol." }, "Mouse": { "IP-species-checked": "guaranteed", "IP-species-dilution-info": "", "IP-species-notes": "", "WB-species-checked": "testedAndGuaranteed", "WB-species-dilution-info": "1/1000 - 1/10000", "WB-species-notes": "<p></p>", "ICCIF-species-checked": "guaranteed", "ICCIF-species-dilution-info": "", "ICCIF-species-notes": "", "IHCP-species-checked": "guaranteed", "IHCP-species-dilution-info": "", "IHCP-species-notes": "" } } }

Product details

What is this antibody validated in?
Anti-TIA1 antibody [EPR9304] (ab140595) is a rabbit recombinant monoclonal antibody and is validated for use in Western Blot (WB), Immunoprecipitation (IP), Immunohistochemistry (IHC-P), Immunocytochemistry/immunofluorescence (ICC/IF) in Human, Mouse samples.

What is the molecular weight of TIA1?
Anti-TIA1 [EPR9304] (ab140595) specifically detects a band for TIA1 (UniProt: P31483) at a molecular weight of 43kDa.

Trusted by the scientific community
Anti-TIA1 [EPR9304] (ab140595) was first used in a scientific publication in 2012 and has been cited over 10 times in peer-reviewed journals.

Trial sizes available!
Test your antibody or perform pre-screening before committing to a larger quantity. Sold in 10µl. Discover our selection of trial-size antibodies.

Specificity confirmed
The specificity of Anti-TIA1 antibody [EPR9304] (ab140595) has been confirmed by Western blot testing in TIA1 Knockout HAP1 cells.

Other related products
We have a range of other formats of antibody clone [EPR9304] also available for your convenience: ab140595, Alexa Fluor® 488 - ab196382, Carrier free - ab230829, Alexa Fluor® 647 - ab311116, Alexa Fluor® 594 - ab311742, Alexa Fluor® 568 - ab313022, Alexa Fluor® 555 - ab313224, Alexa Fluor® 750 - ab321117

Patented technology
Our RabMAb® technology is a patented hybridoma-based technology for making rabbit monoclonal antibodies. For details on our patents, please refer to RabMAb® patents.

What are the advantages of a recombinant monoclonal antibody?
This product is a recombinant monoclonal antibody, which offers several advantages including:

  • - High batch-to-batch consistency and reproducibility
  • - Improved sensitivity and specificity
  • - Long-term security of supply
  • - Animal-free batch production

For more information, read more on recombinant antibodies.

Species reactivity
Rat: We have preliminary internal testing data to indicate this antibody may not react with this species.
Please contact us for more information.

Properties and storage information

Form
Liquid
Purification technique
Affinity purification Protein A
Storage buffer
Preservative: 0.01% Sodium azide Constituents: PBS, 40% Glycerol (glycerin, glycerine), 0.05% BSA
Shipped at conditions
Blue Ice
Appropriate short-term storage duration
1-2 weeks
Appropriate short-term storage conditions
+4°C
Appropriate long-term storage conditions
-20°C
Aliquoting information
Upon delivery aliquot
Storage information
Avoid freeze / thaw cycle

Supplementary information

This supplementary information is collated from multiple sources and compiled automatically.

TIA1 also known as T-cell intracellular antigen 1 is a protein that plays a role in RNA binding and regulation of gene expression. It possesses a molecular mass of approximately 43 kDa. TIA1 is characterized by its presence in the cytoplasm of various cell types including immune cells and neuronal cells. It contains three RNA recognition motifs (RRM) that enable it to interact with its RNA targets and modulate their fate during cellular stress.
Biological function summary

TIA1 functions in the assembly of stress granules which are aggregates of proteins and RNAs that form in response to cellular stress. It is part of a complex dynamic system that regulates mRNA translation by directing untranslated mRNAs to stress granules thereby influencing gene expression at the post-transcriptional level. TIA1 is implicated in apoptosis and can bind with other proteins like HuR to affect mRNA stability and translation.

Pathways

TIA1 participates in stress response signaling and apoptotic pathways. It is involved in the regulation of mRNA metabolism playing a critical role in the cellular stress response pathway by modulating the translation and stability of mRNAs during stress. TIA1 interacts with kinases like JNK to mediate these stress responses and works alongside related proteins including G3BP to organize mRNAs into stress granules.

TIA1 has been linked to conditions such as neurodegenerative diseases and certain types of cancer. Mutations or dysregulations in TIA1 expression can lead to disorders characterized by defective stress granule formation and RNA metabolism. In the context of amyotrophic lateral sclerosis (ALS) TIA1 interacts with proteins like TDP-43 which have roles in similar pathological aggregation processes.

Product protocols

For this product, it's our understanding that no specific protocols are required. You can visit:

Target data

RNA-binding protein involved in the regulation of alternative pre-RNA splicing and mRNA translation by binding to uridine-rich (U-rich) RNA sequences (PubMed : 11106748, PubMed : 12486009, PubMed : 17488725, PubMed : 8576255). Binds to U-rich sequences immediately downstream from a 5' splice sites in a uridine-rich small nuclear ribonucleoprotein (U snRNP)-dependent fashion, thereby modulating alternative pre-RNA splicing (PubMed : 11106748, PubMed : 8576255). Preferably binds to the U-rich IAS1 sequence in a U1 snRNP-dependent manner; this binding is optimal if a 5' splice site is adjacent to IAS1 (By similarity). Activates the use of heterologous 5' splice sites; the activation depends on the intron sequence downstream from the 5' splice site, with a preference for a downstream U-rich sequence (PubMed : 11106748). By interacting with SNRPC/U1-C, promotes recruitment and binding of spliceosomal U1 snRNP to 5' splice sites followed by U-rich sequences, thereby facilitating atypical 5' splice site recognition by U1 snRNP (PubMed : 11106748, PubMed : 12486009, PubMed : 17488725). Activates splicing of alternative exons with weak 5' splice sites followed by a U-rich stretch on its own pre-mRNA and on TIAR mRNA (By similarity). Acts as a modulator of alternative splicing for the apoptotic FAS receptor, thereby promoting apoptosis (PubMed : 11106748, PubMed : 17488725, PubMed : 1934064). Binds to the 5' splice site region of FAS intron 5 to promote accumulation of transcripts that include exon 6 at the expense of transcripts in which exon 6 is skipped, thereby leading to the transcription of a membrane-bound apoptotic FAS receptor, which promotes apoptosis (PubMed : 11106748, PubMed : 17488725, PubMed : 1934064). Binds to a conserved AU-rich cis element in COL2A1 intron 2 and modulates alternative splicing of COL2A1 exon 2 (PubMed : 17580305). Also binds to the equivalent AT-rich element in COL2A1 genomic DNA, and may thereby be involved in the regulation of transcription (PubMed : 17580305). Binds specifically to a polypyrimidine-rich controlling element (PCE) located between the weak 5' splice site and the intronic splicing silencer of CFTR mRNA to promote exon 9 inclusion, thereby antagonizing PTB1 and its role in exon skipping of CFTR exon 9 (PubMed : 14966131). Involved in the repression of mRNA translation by binding to AU-rich elements (AREs) located in mRNA 3' untranslated regions (3' UTRs), including target ARE-bearing mRNAs encoding TNF and PTGS2 (By similarity). Also participates in the cellular response to environmental stress, by acting downstream of the stress-induced phosphorylation of EIF2S1/EIF2A to promote the recruitment of untranslated mRNAs to cytoplasmic stress granules (SGs), leading to stress-induced translational arrest (PubMed : 10613902). Formation and recruitment to SGs is regulated by Zn(2+) (By similarity). Possesses nucleolytic activity against cytotoxic lymphocyte target cells (PubMed : 1934064).. Isoform Short. Displays enhanced splicing regulatory activity compared with TIA isoform Long.
See full target information TIA1

Publications (20)

Recent publications for all applications. Explore the full list and refine your search

European journal of immunology 55:e51885 PubMed40538191

2025

NKG7 is a Stable Marker of Cytotoxicity Across Immune Contexts and Within the Tumor Microenvironment.

Applications

Unspecified application

Species

Unspecified reactive species

Roberta Turiello,Susanna S Ng,Elisabeth Tan,Gemma van der Voort,Nazhifah Salim,Michelle C R Yong,Malika Khassenova,Johannes Oldenburg,Heiko Rühl,Jan Hasenauer,Laura Surace,Marieta Toma,Tobias Bald,Michael Hölzel,Dillon Corvino

Translational neurodegeneration 14:22 PubMed40355949

2025

Stress granules: emerging players in neurodegenerative diseases.

Applications

Unspecified application

Species

Unspecified reactive species

Lin Yuan,Li-Hong Mao,Yong-Ye Huang,Tiago F Outeiro,Wen Li,Tuane C R G Vieira,Jia-Yi Li

Nature immunology 26:557-566 PubMed40050432

2025

The integrated stress response pathway controls cytokine production in tissue-resident memory CD4 T cells.

Applications

Unspecified application

Species

Unspecified reactive species

Nariaki Asada,Pauline Ginsberg,Hans-Joachim Paust,Ning Song,Jan-Hendrik Riedel,Jan-Eric Turner,Anett Peters,Anna Kaffke,Jonas Engesser,Huiying Wang,Yu Zhao,Robin Khatri,Philipp Gild,Roland Dahlem,Björn-Philipp Diercks,Sarada Das,Zoya Ignatova,Tobias B Huber,Immo Prinz,Nicola Gagliani,Hans-Willi Mittrücker,Christian F Krebs,Ulf Panzer

Advanced science (Weinheim, Baden-Wurttemberg, Germany) 12:e2409086 PubMed39804990

2025

TIA1-Mediated Stress Granules Promote the Neuroinflammation and Demyelination in Experimental Autoimmune Encephalomyelitis through Upregulating IL-31RA Signaling.

Applications

Unspecified application

Species

Unspecified reactive species

Xin Hua,Lingting Jin,Zheyu Fang,Yiyun Weng,Yuan Zhang,Jingjing Zhang,Dewei Xie,Yang Tang,Siyu Guo,Yingying Huang,Yilin Dai,Jia Li,Zhihui Huang,Xu Zhang

F1000Research 12:745 PubMed38638178

2024

A guide to selecting high-performing antibodies for RNA-binding protein TIA1 for use in Western Blot, immunoprecipitation and immunofluorescence.

Applications

WB, IP

Species

Human, Human

Maryam Fotouhi,Donovan Worrall,Riham Ayoubi,Kathleen Southern,Peter S McPherson,Carl Laflamme

Nucleic acids research 52:5356-5375 PubMed38366783

2024

Nuclear RNA-related processes modulate the assembly of cytoplasmic RNA granules.

Applications

Unspecified application

Species

Unspecified reactive species

Mor Angel,Eden Fleshler,Mohammad Khaled Atrash,Noa Kinor,Jennifer I C Benichou,Yaron Shav-Tal

European journal of haematology 109:513-518 PubMed35871391

2022

Loss of LEF-1 expression as a diagnostic indicator for extranodal NK/T-cell lymphoma: An immunohistochemical study of 88 cases.

Applications

Unspecified application

Species

Unspecified reactive species

Cen Qiu,Guangye Du

Nature communications 13:2306 PubMed35484142

2022

Heterozygous frameshift variants in HNRNPA2B1 cause early-onset oculopharyngeal muscular dystrophy.

Applications

Unspecified application

Species

Unspecified reactive species

Hong Joo Kim,Payam Mohassel,Sandra Donkervoort,Lin Guo,Kevin O'Donovan,Maura Coughlin,Xaviere Lornage,Nicola Foulds,Simon R Hammans,A Reghan Foley,Charlotte M Fare,Alice F Ford,Masashi Ogasawara,Aki Sato,Aritoshi Iida,Pinki Munot,Gautam Ambegaonkar,Rahul Phadke,Dominic G O'Donovan,Rebecca Buchert,Mona Grimmel,Ana Töpf,Irina T Zaharieva,Lauren Brady,Ying Hu,Thomas E Lloyd,Andrea Klein,Maja Steinlin,Alice Kuster,Sandra Mercier,Pascale Marcorelles,Yann Péréon,Emmanuelle Fleurence,Adnan Manzur,Sarah Ennis,Rosanna Upstill-Goddard,Luca Bello,Cinzia Bertolin,Elena Pegoraro,Leonardo Salviati,Courtney E French,Andriy Shatillo,F Lucy Raymond,Tobias B Haack,Susana Quijano-Roy,Johann Böhm,Isabelle Nelson,Tanya Stojkovic,Teresinha Evangelista,Volker Straub,Norma B Romero,Jocelyn Laporte,Francesco Muntoni,Ichizo Nishino,Mark A Tarnopolsky,James Shorter,Carsten G Bönnemann,J Paul Taylor

FEBS letters 595:2872-2896 PubMed34780058

2021

SARS-CoV-2 nucleocapsid protein interacts with immunoregulators and stress granules and phase separates to form liquid droplets.

Applications

Unspecified application

Species

Unspecified reactive species

Syam Prakash Somasekharan,Martin Gleave

International journal of molecular sciences 22: PubMed34681673

2021

mA Modified Short RNA Fragments Inhibit Cytoplasmic TLS/FUS Aggregation Induced by Hyperosmotic Stress.

Applications

Unspecified application

Species

Unspecified reactive species

Ryoma Yoneda,Naomi Ueda,Riki Kurokawa
View all publications

Product promise

We are committed to supporting your work with high-quality reagents, and we're here for you every step of the way. In the unlikely event that one of our products does not perform as expected, you're protected by our Product Promise.
For full details, please see our Terms & Conditions

Please note: All products are 'FOR RESEARCH USE ONLY. NOT FOR USE IN DIAGNOSTIC OR THERAPEUTIC PROCEDURES'.

For licensing inquiries, please contact partnerships@abcam.com