JavaScript is disabled in your browser. Please enable JavaScript to view this website.
AB2712

Anti-TIA1 antibody [TIA-1]

3

(6 Reviews)

|

(18 Publications)

Anti-TIA1 antibody [TIA-1] (ab2712) is a mouse monoclonal antibody detecting TIA1 in IHC-P. Suitable for Human, Monkey, Mouse.

- Over 10 publications
- Trusted since 2003

View Alternative Names

Cytotoxic granule associated RNA binding protein TIA1, Nucleolysin TIA-1 isoform p40, RNA-binding protein TIA-1, T-cell-restricted intracellular antigen-1, p40-TIA-1, TIA-1, TIA1

1 Images
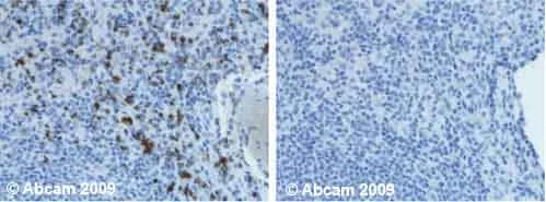
Immunohistochemistry (Formalin/PFA-fixed paraffin-embedded sections) - Anti-TIA1 antibody [TIA-1] (AB2712)
  • IHC-P

Unknown

Immunohistochemistry (Formalin/PFA-fixed paraffin-embedded sections) - Anti-TIA1 antibody [TIA-1] (AB2712)

Human normal spleen. Staining is observed in the cytoplasm. Left panel : with primary antibody at 1 ug/ml. Right panel : isotype control. Sections were stained using an automated system at room temperature : sections were rehydrated and antigen retrieved with buffers citrate EDTA pH 9.0. Slides were peroxidase blocked in 3% H2O2 in methanol for 10 minutes. They were then blocked for 10 minutes (casein 0.25% in PBS) then incubated with primary antibody for 20 minutes. Colorimetric detection was completed with Diaminobenzidine for 5 minutes. Slides were counterstained with Haematoxylin and coverslipped. Please note that for manual staining we recommend to optimize the primary antibody concentration and incubation time (overnight incubation), and amplification may be required.

Key facts

Host species

Mouse

Clonality

Monoclonal

Clone number

TIA-1

Isotype

IgG1

Light chain type

unknown

Carrier free

No

Reacts with

Human, Monkey, Mouse

Applications

IHC-P

applications

Immunogen

The exact immunogen used to generate this antibody is proprietary information.

Reactivity data

{ "title": "Reactivity Data", "filters": { "stats": ["", "Species", "Dilution Info", "Notes"], "tabs": { "all-applications": {"fullname" : "All Applications", "shortname": "All Applications"}, "IHCP" : {"fullname" : "Immunohistochemistry (Formalin/PFA-fixed paraffin-embedded sections)", "shortname":"IHC-P"} }, "product-promise": { "all": "all", "testedAndGuaranteed": "tested", "guaranteed": "expected", "predicted": "predicted", "notRecommended": "not-recommended" } }, "values": { "Human": { "IHCP-species-checked": "testedAndGuaranteed", "IHCP-species-dilution-info": "1/50 - 1/100", "IHCP-species-notes": "<p>Incubate for 30-60 minutes at RT.Use heat-mediated antigen retrieval, an optional pepsin treatment can also improve the signal.</p>" }, "Mouse": { "IHCP-species-checked": "guaranteed", "IHCP-species-dilution-info": "1/50 - 1/100", "IHCP-species-notes": "<p>Incubate for 30-60 minutes at RT.Use heat-mediated antigen retrieval, an optional pepsin treatment can also improve the signal.</p>" }, "Monkey": { "IHCP-species-checked": "guaranteed", "IHCP-species-dilution-info": "1/50 - 1/100", "IHCP-species-notes": "<p>Incubate for 30-60 minutes at RT.Use heat-mediated antigen retrieval, an optional pepsin treatment can also improve the signal.</p>" } } }

Product details

What is this antibody validated in?
Anti-TIA1 antibody [TIA-1] (ab2712) is a mouse monoclonal antibody and is validated for use in Immunohistochemistry (IHC-P) in Human, Monkey, Mouse samples.

Trusted by the scientific community
Anti-TIA1 [TIA-1] (ab2712) was first used in a scientific publication in 2003 and has been cited over 10 times in peer-reviewed journals.

Reviewed by scientists
Anti-TIA1 [TIA-1] (ab2712) has over 5 independent reviews from customers.

Properties and storage information

Form
Liquid
Purification technique
Proprietary technique
Storage buffer
Preservative: 0.1% Sodium azide Constituents: Proprietary Solution
Shipped at conditions
Blue Ice
Appropriate short-term storage duration
1-2 weeks
Appropriate short-term storage conditions
+4°C
Appropriate long-term storage conditions
-20°C
Aliquoting information
Upon delivery aliquot
Storage information
Avoid freeze / thaw cycle

Supplementary information

This supplementary information is collated from multiple sources and compiled automatically.

TIA1 also known as T-cell intracellular antigen 1 is a protein that plays a role in RNA binding and regulation of gene expression. It possesses a molecular mass of approximately 43 kDa. TIA1 is characterized by its presence in the cytoplasm of various cell types including immune cells and neuronal cells. It contains three RNA recognition motifs (RRM) that enable it to interact with its RNA targets and modulate their fate during cellular stress.
Biological function summary

TIA1 functions in the assembly of stress granules which are aggregates of proteins and RNAs that form in response to cellular stress. It is part of a complex dynamic system that regulates mRNA translation by directing untranslated mRNAs to stress granules thereby influencing gene expression at the post-transcriptional level. TIA1 is implicated in apoptosis and can bind with other proteins like HuR to affect mRNA stability and translation.

Pathways

TIA1 participates in stress response signaling and apoptotic pathways. It is involved in the regulation of mRNA metabolism playing a critical role in the cellular stress response pathway by modulating the translation and stability of mRNAs during stress. TIA1 interacts with kinases like JNK to mediate these stress responses and works alongside related proteins including G3BP to organize mRNAs into stress granules.

TIA1 has been linked to conditions such as neurodegenerative diseases and certain types of cancer. Mutations or dysregulations in TIA1 expression can lead to disorders characterized by defective stress granule formation and RNA metabolism. In the context of amyotrophic lateral sclerosis (ALS) TIA1 interacts with proteins like TDP-43 which have roles in similar pathological aggregation processes.

Product protocols

For this product, it's our understanding that no specific protocols are required. You can visit:

Target data

RNA-binding protein involved in the regulation of alternative pre-RNA splicing and mRNA translation by binding to uridine-rich (U-rich) RNA sequences (PubMed : 11106748, PubMed : 12486009, PubMed : 17488725, PubMed : 8576255). Binds to U-rich sequences immediately downstream from a 5' splice sites in a uridine-rich small nuclear ribonucleoprotein (U snRNP)-dependent fashion, thereby modulating alternative pre-RNA splicing (PubMed : 11106748, PubMed : 8576255). Preferably binds to the U-rich IAS1 sequence in a U1 snRNP-dependent manner; this binding is optimal if a 5' splice site is adjacent to IAS1 (By similarity). Activates the use of heterologous 5' splice sites; the activation depends on the intron sequence downstream from the 5' splice site, with a preference for a downstream U-rich sequence (PubMed : 11106748). By interacting with SNRPC/U1-C, promotes recruitment and binding of spliceosomal U1 snRNP to 5' splice sites followed by U-rich sequences, thereby facilitating atypical 5' splice site recognition by U1 snRNP (PubMed : 11106748, PubMed : 12486009, PubMed : 17488725). Activates splicing of alternative exons with weak 5' splice sites followed by a U-rich stretch on its own pre-mRNA and on TIAR mRNA (By similarity). Acts as a modulator of alternative splicing for the apoptotic FAS receptor, thereby promoting apoptosis (PubMed : 11106748, PubMed : 17488725, PubMed : 1934064). Binds to the 5' splice site region of FAS intron 5 to promote accumulation of transcripts that include exon 6 at the expense of transcripts in which exon 6 is skipped, thereby leading to the transcription of a membrane-bound apoptotic FAS receptor, which promotes apoptosis (PubMed : 11106748, PubMed : 17488725, PubMed : 1934064). Binds to a conserved AU-rich cis element in COL2A1 intron 2 and modulates alternative splicing of COL2A1 exon 2 (PubMed : 17580305). Also binds to the equivalent AT-rich element in COL2A1 genomic DNA, and may thereby be involved in the regulation of transcription (PubMed : 17580305). Binds specifically to a polypyrimidine-rich controlling element (PCE) located between the weak 5' splice site and the intronic splicing silencer of CFTR mRNA to promote exon 9 inclusion, thereby antagonizing PTB1 and its role in exon skipping of CFTR exon 9 (PubMed : 14966131). Involved in the repression of mRNA translation by binding to AU-rich elements (AREs) located in mRNA 3' untranslated regions (3' UTRs), including target ARE-bearing mRNAs encoding TNF and PTGS2 (By similarity). Also participates in the cellular response to environmental stress, by acting downstream of the stress-induced phosphorylation of EIF2S1/EIF2A to promote the recruitment of untranslated mRNAs to cytoplasmic stress granules (SGs), leading to stress-induced translational arrest (PubMed : 10613902). Formation and recruitment to SGs is regulated by Zn(2+) (By similarity). Possesses nucleolytic activity against cytotoxic lymphocyte target cells (PubMed : 1934064).. Isoform Short. Displays enhanced splicing regulatory activity compared with TIA isoform Long.
See full target information TIA1

Publications (18)

Recent publications for all applications. Explore the full list and refine your search

Cancer immunology, immunotherapy : CII 71:565-578 PubMed34275008

2021

Elevated expression of B7 homolog 4 is associated with disease progression in upper urinary tract urothelial carcinoma.

Applications

Unspecified application

Species

Unspecified reactive species

Tomoya Mizuno,Takao Kamai,Toyonori Tsuzuki,Daisaku Nishihara,Toshiki Kijima,Kyoko Arai,Ken-Ichiro Yoshida

Neuron 106:404-420.e8 PubMed32135084

2020

Pathogenic DDX3X Mutations Impair RNA Metabolism and Neurogenesis during Fetal Cortical Development.

Applications

Unspecified application

Species

Unspecified reactive species

Ashley L Lennox,Mariah L Hoye,Ruiji Jiang,Bethany L Johnson-Kerner,Lindsey A Suit,Srivats Venkataramanan,Charles J Sheehan,Fernando C Alsina,Brieana Fregeau,Kimberly A Aldinger,Ching Moey,Iryna Lobach,Alexandra Afenjar,Dusica Babovic-Vuksanovic,Stéphane Bézieau,Patrick R Blackburn,Jens Bunt,Lydie Burglen,Philippe M Campeau,Perrine Charles,Brian H Y Chung,Benjamin Cogné,Cynthia Curry,Maria Daniela D'Agostino,Nataliya Di Donato,Laurence Faivre,Delphine Héron,A Micheil Innes,Bertrand Isidor,Boris Keren,Amy Kimball,Eric W Klee,Paul Kuentz,Sébastien Küry,Dominique Martin-Coignard,Ghayda Mirzaa,Cyril Mignot,Noriko Miyake,Naomichi Matsumoto,Atsushi Fujita,Caroline Nava,Mathilde Nizon,Diana Rodriguez,Lot Snijders Blok,Christel Thauvin-Robinet,Julien Thevenon,Marie Vincent,Alban Ziegler,William Dobyns,Linda J Richards,A James Barkovich,Stephen N Floor,Debra L Silver,Elliott H Sherr

Frontiers in neurology 9:147 PubMed29599744

2018

Myopathy With and Variants: Clinical and Pathological Features.

Applications

IHC-P

Species

Human

Zhiyv Niu,Carly Sabine Pontifex,Sarah Berini,Leslie E Hamilton,Elie Naddaf,Eric Wieben,Ross A Aleff,Kristina Martens,Angela Gruber,Andrew G Engel,Gerald Pfeffer,Margherita Milone

EBioMedicine 2:1785-98 PubMed26870803

2015

Stress Granules Modulate SYK to Cause Microglial Cell Dysfunction in Alzheimer's Disease.

Applications

WB, ICC/IF

Species

Mouse, Mouse

Soumitra Ghosh,Robert L Geahlen

International journal of clinical and experimental 8:13241-8 PubMed26722524

2015

Expression of Sirt1 and FoxP3 in classical Hodgkin lymphoma and tumor infiltrating lymphocytes: Implications for immune dysregulation, prognosis and potential therapeutic targeting.

Applications

Unspecified application

Species

Unspecified reactive species

Andrés E Quesada,Binara Assylbekova,Christine E Jabcuga,Rongzhen Zhang,Michael Covinsky,Adan Rios,Nghia D Nguyen,Robert E Brown

Clinical cancer research : an official journal of 21:3347-3355 PubMed25878334

2015

POLE Proofreading Mutations Elicit an Antitumor Immune Response in Endometrial Cancer.

Applications

IHC-P

Species

Human

Inge C van Gool,Florine A Eggink,Luke Freeman-Mills,Ellen Stelloo,Emanuele Marchi,Marco de Bruyn,Claire Palles,Remi A Nout,Cor D de Kroon,Elisabeth M Osse,Paul Klenerman,Carien L Creutzberg,Ian Pm Tomlinson,Vincent Thbm Smit,Hans W Nijman,Tjalling Bosse,David N Church

Cell stress & chaperones 19:813-25 PubMed24590458

2014

The involvement of mRNA processing factors TIA-1, TIAR, and PABP-1 during mammalian hibernation.

Applications

Unspecified application

Species

Unspecified reactive species

Shannon N Tessier,Timothy E Audas,Cheng-Wei Wu,Stephen Lee,Kenneth B Storey

Oncotarget 5:95-102 PubMed24395633

2014

A novel immunomodulatory molecularly targeted strategy for refractory Hodgkin's lymphoma.

Applications

IHC

Species

Human

Vivek Subbiah,Robert E Brown,Mary F McGuire,Jamie Buryanek,Filip Janku,Anas Younes,David Hong

PloS one 8:e82406 PubMed24376535

2013

Markers of T cell infiltration and function associate with favorable outcome in vascularized high-grade serous ovarian carcinoma.

Applications

IHC-P

Species

Human

Katelin N Townsend,Jaeline E Spowart,Hassan Huwait,Sima Eshragh,Nathan R West,Mary A Elrick,Steve E Kalloger,Michael Anglesio,Peter H Watson,David G Huntsman,Julian J Lum

Journal of cell science 126:4308-19 PubMed23843625

2013

Ribonuclease/angiogenin inhibitor 1 regulates stress-induced subcellular localization of angiogenin to control growth and survival.

Applications

ICC/IF

Species

Human

Elio Pizzo,Carmen Sarcinelli,Jinghao Sheng,Sabato Fusco,Fabio Formiggini,Paolo Netti,Wenhao Yu,Giuseppe D'Alessio,Guo-Fu Hu
View all publications

Product promise

We are committed to supporting your work with high-quality reagents, and we're here for you every step of the way. In the unlikely event that one of our products does not perform as expected, you're protected by our Product Promise.
For full details, please see our Terms & Conditions

Please note: All products are 'FOR RESEARCH USE ONLY. NOT FOR USE IN DIAGNOSTIC OR THERAPEUTIC PROCEDURES'.

For licensing inquiries, please contact partnerships@abcam.com