JavaScript is disabled in your browser. Please enable JavaScript to view this website.
AB169547

Anti-TIAL1 antibody [EPR11323(B)]

Be the first to review this product! Submit a review

|

(2 Publications)

Rabbit Recombinant Monoclonal TIAL1 antibody. Suitable for IHC-P, WB, Flow Cyt (Intra) and reacts with Human, Mouse, Rat samples. Cited in 2 publications.

View Alternative Names

Nucleolysin TIAR, TIA-1-related protein, TIAL1

5 Images
Immunohistochemistry (Formalin/PFA-fixed paraffin-embedded sections) - Anti-TIAL1 antibody [EPR11323(B)] (AB169547)
  • IHC-P

Unknown

Immunohistochemistry (Formalin/PFA-fixed paraffin-embedded sections) - Anti-TIAL1 antibody [EPR11323(B)] (AB169547)

Immunohistochemical analysis of paraffin-embedded Human breast tissue labeling TIAL1 with ab169547 at 1/50 dilution.

Perform heat mediated antigen retrieval with citrate buffer pH 6 before commencing with IHC staining protocol.

Flow Cytometry (Intracellular) - Anti-TIAL1 antibody [EPR11323(B)] (AB169547)
  • Flow Cyt (Intra)

Unknown

Flow Cytometry (Intracellular) - Anti-TIAL1 antibody [EPR11323(B)] (AB169547)

Intracellular flow cytometric analysis of permeabilized K562 cells labeling TIAL1 with ab169547 at 1/100 dilution (red) compared to a rabbit IgG negative control (green).

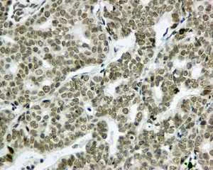
Immunohistochemistry (Formalin/PFA-fixed paraffin-embedded sections) - Anti-TIAL1 antibody [EPR11323(B)] (AB169547)
  • IHC-P

Unknown

Immunohistochemistry (Formalin/PFA-fixed paraffin-embedded sections) - Anti-TIAL1 antibody [EPR11323(B)] (AB169547)

Immunohistochemical analysis of paraffin-embedded Human ovarian carcinoma tissue labeling TIAL1 with ab169547 at 1/50 dilution.

Perform heat mediated antigen retrieval with citrate buffer pH 6 before commencing with IHC staining protocol.

Western blot - Anti-TIAL1 antibody [EPR11323(B)] (AB169547)
  • WB

Lab

Western blot - Anti-TIAL1 antibody [EPR11323(B)] (AB169547)

Lanes 1-4 : Merged signal (red and green). Green - ab169547 observed at 49 kDa. Red - loading control ab8245 observed at 36 kDa.

ab169547 Anti-TIAL1 antibody [EPR11323(B)] was shown to specifically react with TIAL1 in wild-type HeLa cells. Loss of signal was observed when knockout sample ab257743 was used. Wild-type and TIAL1 knockout samples were subjected to SDS-PAGE. ab169547 and Anti-GAPDH antibody [6C5] - Loading Control (ab8245) were incubated overnight at 4°C at 1 in 1000 dilution and 1 in 20000 dilution respectively. Blots were developed with Goat anti-Rabbit IgG H&L (IRDye® 800CW) preadsorbed (ab216773) and Goat anti-Mouse IgG H&L (IRDye® 680RD) preadsorbed (ab216776) secondary antibodies at 1 in 20000 dilution for 1 hour at room temperature before imaging.

All lanes:

Western blot - Anti-TIAL1 antibody [EPR11323(B)] (ab169547) at 1/1000 dilution

Lane 1:

Wild-type HeLa cell lysate at 20 µg

Lane 2:

TIAL1 knockout HeLa cell lysate at 20 µg

Lane 2:

Western blot - Human TIAL1 knockout HeLa cell line (<a href='/en-us/products/cell-lines/human-tial1-knockout-hela-cell-line-ab265793'>ab265793</a>)

Lane 3:

Jurkat cell lysate at 20 µg

Lane 4:

K-562 cell lysate at 20 µg

Secondary

All lanes:

Western blot - Goat anti-Rabbit IgG H&L (IRDye® 800CW) preadsorbed (<a href='/en-us/products/secondary-antibodies/goat-rabbit-igg-h-l-irdye-800cw-preadsorbed-ab216773'>ab216773</a>) at 1/10000 dilution

Predicted band size: 41 kDa

Observed band size: 49 kDa

false

Western blot - Anti-TIAL1 antibody [EPR11323(B)] (AB169547)
  • WB

Unknown

Western blot - Anti-TIAL1 antibody [EPR11323(B)] (AB169547)

All lanes:

Western blot - Anti-TIAL1 antibody [EPR11323(B)] (ab169547) at 1/1000 dilution

Lane 1:

HeLa cell lysate at 10 µg

Lane 2:

Jurkat cell lysate at 10 µg

Lane 3:

K562 cell lysate at 10 µg

Secondary

All lanes:

HRP labeled goat anti-rabbit at 1/2000 dilution

Predicted band size: 41 kDa

false

Key facts

Host species

Rabbit

Clonality

Monoclonal

Clone number

EPR11323(B)

Isotype

IgG

Carrier free

No

Reacts with

Human

Applications

IHC-P, WB, Flow Cyt (Intra)

applications

Immunogen

The exact immunogen used to generate this antibody is proprietary information.

Reactivity data

{ "title": "Reactivity Data", "filters": { "stats": ["", "Species", "Dilution Info", "Notes"], "tabs": { "all-applications": {"fullname" : "All Applications", "shortname": "All Applications"}, "IHCP" : {"fullname" : "Immunohistochemistry (Formalin/PFA-fixed paraffin-embedded sections)", "shortname":"IHC-P"}, "ICCIF" : {"fullname" : "Immunocytochemistry/ Immunofluorescence", "shortname":"ICC/IF"}, "IP" : {"fullname" : "Immunoprecipitation", "shortname":"IP"}, "WB" : {"fullname" : "Western blot", "shortname":"WB"}, "FlowCytIntra" : {"fullname" : "Flow Cytometry (Intracellular)", "shortname":"Flow Cyt (Intra)"} }, "product-promise": { "all": "all", "testedAndGuaranteed": "tested", "guaranteed": "expected", "predicted": "predicted", "notRecommended": "not-recommended" } }, "values": { "Human": { "IHCP-species-checked": "testedAndGuaranteed", "IHCP-species-dilution-info": "1/50 - 1/100", "IHCP-species-notes": "<p></p> Perform heat-mediated antigen retrieval with citrate buffer pH 6 before commencing with IHC staining protocol.", "ICCIF-species-checked": "notRecommended", "ICCIF-species-dilution-info": "", "ICCIF-species-notes": "<p></p>", "IP-species-checked": "notRecommended", "IP-species-dilution-info": "", "IP-species-notes": "<p></p>", "WB-species-checked": "testedAndGuaranteed", "WB-species-dilution-info": "1/1000 - 1/5000", "WB-species-notes": "<p></p>", "FlowCytIntra-species-checked": "testedAndGuaranteed", "FlowCytIntra-species-dilution-info": "1/100 - 1/500", "FlowCytIntra-species-notes": "<p><a href='/en-us/products/primary-antibodies/rabbit-igg-monoclonal-epr25a-isotype-control-ab172730'>ab172730</a> - Rabbit monoclonal IgG, is suitable for use as an isotype control with this antibody.</p>" }, "Mouse": { "IHCP-species-checked": "predicted", "IHCP-species-dilution-info": "", "IHCP-species-notes": "", "ICCIF-species-checked": "notRecommended", "ICCIF-species-dilution-info": "", "ICCIF-species-notes": "", "IP-species-checked": "notRecommended", "IP-species-dilution-info": "", "IP-species-notes": "", "WB-species-checked": "guaranteed", "WB-species-dilution-info": "", "WB-species-notes": "<p></p>", "FlowCytIntra-species-checked": "predicted", "FlowCytIntra-species-dilution-info": "", "FlowCytIntra-species-notes": "" }, "Rat": { "IHCP-species-checked": "predicted", "IHCP-species-dilution-info": "", "IHCP-species-notes": "", "ICCIF-species-checked": "notRecommended", "ICCIF-species-dilution-info": "", "ICCIF-species-notes": "", "IP-species-checked": "notRecommended", "IP-species-dilution-info": "", "IP-species-notes": "", "WB-species-checked": "guaranteed", "WB-species-dilution-info": "", "WB-species-notes": "<p></p>", "FlowCytIntra-species-checked": "predicted", "FlowCytIntra-species-dilution-info": "", "FlowCytIntra-species-notes": "" } } }

Product details

Patented technology
Our RabMAb® technology is a patented hybridoma-based technology for making rabbit monoclonal antibodies. For details on our patents, please refer to RabMAb® patents.

What are the advantages of a recombinant monoclonal antibody?
This product is a recombinant monoclonal antibody, which offers several advantages including:

  • - High batch-to-batch consistency and reproducibility
  • - Improved sensitivity and specificity
  • - Long-term security of supply
  • - Animal-free batch production

For more information, read more on recombinant antibodies.

Properties and storage information

Form
Liquid
Purification technique
Affinity purification Protein A
Storage buffer
pH: 7.2 - 7.4 Preservative: 0.01% Sodium azide Constituents: PBS, 50% Tissue culture supernatant, 40% Glycerol (glycerin, glycerine), 0.05% BSA
Shipped at conditions
Blue Ice
Appropriate short-term storage duration
1-2 weeks
Appropriate short-term storage conditions
+4°C
Appropriate long-term storage conditions
-20°C
Aliquoting information
Upon delivery aliquot

Supplementary information

This supplementary information is collated from multiple sources and compiled automatically.

TIAL1 also known as TIA-1 related protein is a 42 kDa protein that plays a mechanical role in RNA processing. It belongs to the RNA-binding protein family and contains three RNA recognition motifs and a glutamine-rich domain. TIAL1 is widely expressed in various tissues including the spleen thymus and brain. It influences the regulation of mRNA stability and translation specifically recognizing and binding to U-rich elements in the 3’-untranslated regions of target mRNAs.
Biological function summary

TIAL1 influences gene expression by associating with stress granules cytoplasmic aggregates formed in response to cellular stress. This association helps inhibit translation initiation modulating the cellular stress response. TIAL1 is part of a complex with other RNA-binding proteins that integrate signaling events and manage mRNA turnover and stress granule dynamics. Through this interaction it affects apoptosis and contributes to cell survival under stress conditions.

Pathways

Studies demonstrate that TIAL1 plays a role in the apoptotic signaling pathway and the stress response pathway. By interacting with proteins such as eIF2α kinase TIAL1 helps mediate the cellular response to environmental and oxidative stress. These pathways maintain cellular homeostasis and TIAL1 assists in regulating translation during stress ensuring proper cell function.

TIAL1 has relevance in neurodegenerative diseases like Alzheimer's and amyotrophic lateral sclerosis (ALS). The formation of stress granules influenced by TIAL1 is connected to the pathological misfolding of proteins implicated by related proteins such as TDP-43 and FUS. Faulty regulation of these processes may lead to the progression of neurodegenerative conditions highlighting TIAL1's significant role in their development.

Product protocols

For this product, it's our understanding that no specific protocols are required. You can visit:

Target data

RNA-binding protein involved in alternative pre-RNA splicing and in cytoplasmic stress granules formation (PubMed : 10613902, PubMed : 1326761, PubMed : 17488725, PubMed : 8576255). Shows a preference for uridine-rich RNAs (PubMed : 8576255). Activates splicing of alternative exons with weak 5' splice sites followed by a U-rich stretch on its own pre-mRNA and on TIA1 mRNA (By similarity). Promotes the inclusion of TIA1 exon 5 to give rise to the long isoform (isoform a) of TIA1 (PubMed : 17488725). Acts downstream of the stress-induced phosphorylation of EIF2S1/EIF2A to promote the recruitment of untranslated mRNAs to cytoplasmic stress granules (SG) (PubMed : 10613902). Possesses nucleolytic activity against cytotoxic lymphocyte target cells (PubMed : 1326761). May be involved in apoptosis (PubMed : 1326761).
See full target information Nucleolysin TIAR

Publications (2)

Recent publications for all applications. Explore the full list and refine your search

The Journal of biological chemistry 298:102433 PubMed36041630

2022

Systematic mutagenesis of TFIIH subunit p52/Tfb2 identifies residues required for XPB/Ssl2 subunit function and genetic interactions with TFB6.

Applications

Unspecified application

Species

Unspecified reactive species

Jacob Bassett,Jenna K Rimel,Shrabani Basu,Pratik Basnet,Jie Luo,Krysta L Engel,Michael Nagel,Alexander Woyciehowsky,Christopher C Ebmeier,Craig D Kaplan,Dylan J Taatjes,Jeffrey A Ranish

Cancer discovery 12:1984-2005 PubMed35674408

2022

Stress Granules Determine the Development of Obesity-Associated Pancreatic Cancer.

Applications

Unspecified application

Species

Unspecified reactive species

Guillaume Fonteneau,Alexandra Redding,Hannah Hoag-Lee,Edward S Sim,Stefan Heinrich,Matthias M Gaida,Elda Grabocka
View all publications

Product promise

We are committed to supporting your work with high-quality reagents, and we're here for you every step of the way. In the unlikely event that one of our products does not perform as expected, you're protected by our Product Promise.
For full details, please see our Terms & Conditions

Please note: All products are 'FOR RESEARCH USE ONLY. NOT FOR USE IN DIAGNOSTIC OR THERAPEUTIC PROCEDURES'.

For licensing inquiries, please contact partnerships@abcam.com