JavaScript is disabled in your browser. Please enable JavaScript to view this website.
AB211518

Anti-TIAM1 antibody

Be the first to review this product! Submit a review

|

(6 Publications)

Rabbit Polyclonal TIAM1 antibody. Suitable for IHC-P and reacts with Human samples. Cited in 6 publications. Immunogen corresponding to Synthetic Peptide within Human TIAM1 aa 1450-1550 conjugated to Keyhole Limpet Haemocyanin.

View Alternative Names

Rho guanine nucleotide exchange factor TIAM1, T-lymphoma invasion and metastasis-inducing protein 1, TIAM-1, TIAM1

1 Images
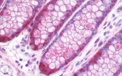
Immunohistochemistry (Formalin/PFA-fixed paraffin-embedded sections) - Anti-TIAM1 antibody (AB211518)
  • IHC-P

Supplier Data

Immunohistochemistry (Formalin/PFA-fixed paraffin-embedded sections) - Anti-TIAM1 antibody (AB211518)

Immunohistochemical analysis of formalin-fixed, paraffin-embedded Human colon tissue labeling TIAM1 with ab211518 at 1/100 dilution.

Key facts

Host species

Rabbit

Clonality

Polyclonal

Isotype

IgG

Carrier free

No

Reacts with

Human

Applications

IHC-P

applications

Immunogen

Synthetic Peptide within Human TIAM1 aa 1450-1550 conjugated to Keyhole Limpet Haemocyanin. The exact immunogen used to generate this antibody is proprietary information.

Q13009

Reactivity data

{ "title": "Reactivity Data", "filters": { "stats": ["", "Species", "Dilution Info", "Notes"], "tabs": { "all-applications": {"fullname" : "All Applications", "shortname": "All Applications"}, "IHCP" : {"fullname" : "Immunohistochemistry (Formalin/PFA-fixed paraffin-embedded sections)", "shortname":"IHC-P"}, "WB" : {"fullname" : "Western blot", "shortname":"WB"} }, "product-promise": { "all": "all", "testedAndGuaranteed": "tested", "guaranteed": "expected", "predicted": "predicted", "notRecommended": "not-recommended" } }, "values": { "Human": { "IHCP-species-checked": "testedAndGuaranteed", "IHCP-species-dilution-info": "1/100", "IHCP-species-notes": "<p></p>", "WB-species-checked": "notRecommended", "WB-species-dilution-info": "", "WB-species-notes": "<p></p>" } } }

Properties and storage information

Form
Liquid
Purification technique
Affinity purification Immunogen
Storage buffer
pH: 7.4 Preservative: 0.09% Sodium azide Constituents: PBS
Shipped at conditions
Blue Ice
Appropriate short-term storage duration
1-2 weeks
Appropriate short-term storage conditions
+4°C
Appropriate long-term storage conditions
-20°C
Aliquoting information
Upon delivery aliquot
Storage information
Avoid freeze / thaw cycle

Supplementary information

This supplementary information is collated from multiple sources and compiled automatically.

TIAM1 also known as T-cell lymphoma invasion and metastasis 1 is a significant regulator in cellular dynamics. It functions as a guanine nucleotide exchange factor (GEF) predominantly for the Rho family of GTPases particularly Rac1. With a mass of approximately 188 kDa TIAM1 is ubiquitously expressed in various tissues indicating its broad role in cellular activities. The protein modulates cytoskeletal organization and cell-migration by exchanging GDP for GTP on Rac1 therefore activating it.
Biological function summary

TIAM1 influences several cellular processes such as cell polarity migration and growth. It forms a complex with several other proteins and plays a role in reorganizing the actin cytoskeleton. This ability to modulate the cytoskeleton impacts the cell's ability to move and change shape which are essential during developmental processes and in maintaining tissue architecture. TIAM1 also affects cell-cell adhesion through interactions with E-cadherin which suggests its involvement in stabilizing cellular contacts.

Pathways

The role of TIAM1 can be observed prominently in the Wnt and PI3K/Akt signaling pathways. In the Wnt pathway TIAM1 interacts with the β-catenin pathway influencing processes like gene expression cell behavior and differentiation. It co-localizes with Dsh and APC influencing the signaling cascade that controls cell fate decisions. In the PI3K/Akt pathway it impacts cell survival and metabolism showing TIAM1's engagement with multiple proteins like PI3K and Akt which further affects cell proliferation and survival mechanisms.

TIAM1 shows a significant connection to cancer and neurological disorders. Its role in promoting cancer cell invasion and metastasis is evident in various tumor types where altered TIAM1 expression correlates with tumor progression and poor prognosis. In cancer it engages with proteins such as MMPs facilitating extracellular matrix degradation and metastasis. Furthermore aberrant TIAM1 expression or dysfunction is associated with some neurological disorders indicating its possible involvement in neurodevelopmental or neurodegenerative conditions where related proteins like Rac1 play an important part.

Product protocols

For this product, it's our understanding that no specific protocols are required. You can visit:

Target data

Guanyl-nucleotide exchange factor that activates RHO-like proteins and connects extracellular signals to cytoskeletal activities. Activates RAC1, CDC42, and to a lesser extent RHOA and their downstream signaling to regulate processes like cell adhesion and cell migration.
See full target information TIAM1

Publications (6)

Recent publications for all applications. Explore the full list and refine your search

International journal of rheumatic diseases 27:e70009 PubMed39668736

2024

Functional Characterization of SLC2A3 in Rheumatoid Arthritis: Unraveling Its Role in Ferroptosis and Inflammatory Pathways.

Applications

Unspecified application

Species

Unspecified reactive species

Zhiping Lin,Peng Li,Chaojun Wang,Hongchang Tan

Histology and histopathology 36:355-365 PubMed33447989

2021

MiR-590-5p regulates cell proliferation, apoptosis, migration and invasion in oral squamous cell carcinoma by targeting RECK.

Applications

Unspecified application

Species

Unspecified reactive species

Wei-Wei Bao,You-Ling Shi,Yan Ma,Xing-Hui Qu,Guang-Ming Pang,Lei Yang

Biochemical genetics :953-965 PubMed32671511

2020

TIAM1 Upregulation Confers NVP-BEZ235 Resistance to Breast Cancer Cells Through FGFR/STAT3 Pathway.

Applications

Unspecified application

Species

Unspecified reactive species

Jingjing Qiao,Man Li,Na Li,Lingzhi Xu,Gena Huang,Jing Yu

Archives of biochemistry and biophysics 663:101-108 PubMed30550728

2018

NF45 promotes esophageal squamous carcinoma cell invasion by increasing Rac1 activity through 14-3-3ε protein.

Applications

Unspecified application

Species

Unspecified reactive species

Yao Wen-Jian,Tong Song,Tan Jun,Xu Kai-Ying,Wang Jian-Jun,Wang Si-Hua

Cellular physiology and biochemistry : internation 51:1763-1777 PubMed30504727

2018

miR-10b Downregulated by DNA Methylation Acts as a Tumor Suppressor in HPV-Positive Cervical Cancer via Targeting Tiam1.

Applications

Unspecified application

Species

Unspecified reactive species

Miaomei Yu,Yun Xu,Lili Pan,Yuehua Feng,Kaiming Luo,Qinfeng Mu,Guanghua Luo

Oncogene 38:699-715 PubMed30171257

2018

MicroRNA 483-3p targets Pard3 to potentiate TGF-β1-induced cell migration, invasion, and epithelial-mesenchymal transition in anaplastic thyroid cancer cells.

Applications

Unspecified application

Species

Unspecified reactive species

Xiaoping Zhang,Lin Liu,Xianzhao Deng,Dan Li,Haidong Cai,Yushui Ma,Chengyou Jia,Bo Wu,Youben Fan,Zhongwei Lv
View all publications

Product promise

We are committed to supporting your work with high-quality reagents, and we're here for you every step of the way. In the unlikely event that one of our products does not perform as expected, you're protected by our Product Promise.
For full details, please see our Terms & Conditions

Please note: All products are 'FOR RESEARCH USE ONLY. NOT FOR USE IN DIAGNOSTIC OR THERAPEUTIC PROCEDURES'.

For licensing inquiries, please contact partnerships@abcam.com