JavaScript is disabled in your browser. Please enable JavaScript to view this website.
AB201986

Anti-TIE1 antibody [8D12D2]

Be the first to review this product! Submit a review

|

(4 Publications)

Mouse Monoclonal TIE1 antibody. Suitable for WB, IHC-P and reacts with Human samples. Cited in 4 publications. Immunogen corresponding to Recombinant Fragment Protein within Human TIE1 aa 350-650.

View Alternative Names

TIE, TIE1, Tyrosine-protein kinase receptor Tie-1

5 Images
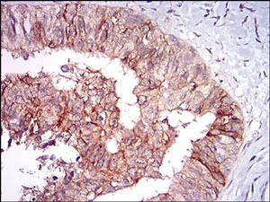
Immunohistochemistry (Formalin/PFA-fixed paraffin-embedded sections) - Anti-TIE1 antibody [8D12D2] (AB201986)
  • IHC-P

Supplier Data

Immunohistochemistry (Formalin/PFA-fixed paraffin-embedded sections) - Anti-TIE1 antibody [8D12D2] (AB201986)

Immunohistochemical analysis of paraffin-embedded Human ovarian cancer tissue labeling TIE1 with ab201986 at 1/200 dilution with DAB staining.

Immunohistochemistry (Formalin/PFA-fixed paraffin-embedded sections) - Anti-TIE1 antibody [8D12D2] (AB201986)
  • IHC-P

Supplier Data

Immunohistochemistry (Formalin/PFA-fixed paraffin-embedded sections) - Anti-TIE1 antibody [8D12D2] (AB201986)

Immunohistochemical analysis of paraffin-embedded Human kidney tissue labeling TIE1 with ab201986 at 1/200 dilution with DAB staining.

Western blot - Anti-TIE1 antibody [8D12D2] (AB201986)
  • WB

Supplier Data

Western blot - Anti-TIE1 antibody [8D12D2] (AB201986)

All lanes:

Western blot - Anti-TIE1 antibody [8D12D2] (ab201986) at 1/500 dilution

All lanes:

HepG2 cell lysate

Predicted band size: 125 kDa

false

Western blot - Anti-TIE1 antibody [8D12D2] (AB201986)
  • WB

Supplier Data

Western blot - Anti-TIE1 antibody [8D12D2] (AB201986)

All lanes:

Western blot - Anti-TIE1 antibody [8D12D2] (ab201986) at 1/500 dilution

All lanes:

Human TIE1 (AA: 385-607) recombinant protein

Predicted band size: 125 kDa

false

Western blot - Anti-TIE1 antibody [8D12D2] (AB201986)
  • WB

Supplier Data

Western blot - Anti-TIE1 antibody [8D12D2] (AB201986)

All lanes:

Western blot - Anti-TIE1 antibody [8D12D2] (ab201986) at 1/500 dilution

Lane 1:

HEK293 cell lysate

Lane 2:

TIE1 (AA: 385-607)-hIgGFc transfected HEK293 cell lysate

Predicted band size: 125 kDa

false

Key facts

Host species

Mouse

Clonality

Monoclonal

Clone number

8D12D2

Isotype

IgG1

Carrier free

No

Reacts with

Human

Applications

WB, IHC-P

applications

Immunogen

Recombinant Fragment Protein within Human TIE1 aa 350-650. The exact immunogen used to generate this antibody is proprietary information.

P35590

Reactivity data

{ "title": "Reactivity Data", "filters": { "stats": ["", "Species", "Dilution Info", "Notes"], "tabs": { "all-applications": {"fullname" : "All Applications", "shortname": "All Applications"}, "WB" : {"fullname" : "Western blot", "shortname":"WB"}, "IHCP" : {"fullname" : "Immunohistochemistry (Formalin/PFA-fixed paraffin-embedded sections)", "shortname":"IHC-P"} }, "product-promise": { "all": "all", "testedAndGuaranteed": "tested", "guaranteed": "expected", "predicted": "predicted", "notRecommended": "not-recommended" } }, "values": { "Human": { "WB-species-checked": "testedAndGuaranteed", "WB-species-dilution-info": "1/500 - 1/2000", "WB-species-notes": "<p></p>", "IHCP-species-checked": "testedAndGuaranteed", "IHCP-species-dilution-info": "1/200 - 1/1000", "IHCP-species-notes": "<p></p>" }, "Cow": { "WB-species-checked": "predicted", "WB-species-dilution-info": "", "WB-species-notes": "", "IHCP-species-checked": "predicted", "IHCP-species-dilution-info": "", "IHCP-species-notes": "" } } }

Properties and storage information

Form
Liquid
Purification technique
Affinity purification Protein G
Purification notes
Purified from tissue culture supernatant.
Storage buffer
Preservative: 0.05% Sodium azide Constituents: PBS
Shipped at conditions
Blue Ice
Appropriate short-term storage duration
1-2 weeks
Appropriate short-term storage conditions
+4°C
Appropriate long-term storage conditions
-20°C
Aliquoting information
Upon delivery aliquot
Storage information
Avoid freeze / thaw cycle

Supplementary information

This supplementary information is collated from multiple sources and compiled automatically.

TIE1 also known as Tyrosine Kinase with Immunoglobulin-like and EGF-like Domains 1 plays a role as a receptor tyrosine kinase. It has a molecular mass of approximately 130 kDa. TIE1 is mainly expressed in vascular endothelial cells and is involved in the vascular system. It shares structural characteristics with other tyrosine kinases providing a framework for signaling and interaction. TIE1 activation involves phosphorylation leading to subsequent signaling cascades in endothelial cells.
Biological function summary

TIE1 associates with angiogenesis and blood vessel integrity. It forms a complex with other proteins notably TIE2 within the endothelial cells where it modulates endothelial cell survival and proliferation. Its role becomes particularly significant in dynamic environments where new blood vessel formation or remodeling occurs. TIE1 interacts with angiopoietins providing a network essential for maintaining vascular homeostasis and integrity.

Pathways

TIE1 interacts within angiopoietin-TIE signaling pathways. This pathway plays a critical role in vascular maturation and stability. TIE1 working in conjunction with TIE2 and the angiopoietins orchestrates the intricate balance between vessel stabilization and sprouting needed for healthy vascular function. These interactions link TIE1 with core processes in endothelial cell communication and vascular development.

TIE1 shows association with cancer and atherosclerosis. Its interaction with TIE2 and angiopoietin proteins contributes to pathological angiogenesis often observed in tumor growth and progression. In atherosclerosis TIE1 influences endothelial dysfunction and vascular inflammation. These diseases highlight TIE1's contribution to pathological processes highlighting the importance of its precise regulation in maintaining vascular health.

Product protocols

For this product, it's our understanding that no specific protocols are required. You can visit:

Target data

Transmembrane tyrosine-protein kinase that may modulate TEK/TIE2 activity and contribute to the regulation of angiogenesis.
See full target information TIE1

Publications (4)

Recent publications for all applications. Explore the full list and refine your search

The Journal of cell biology 221: PubMed36205720

2022

Integrin-based adhesion compartmentalizes ALK3 of the BMPRII to control cell adhesion and migration.

Applications

Unspecified application

Species

Unspecified reactive species

Amaris Guevara-Garcia,Laure Fourel,Ingrid Bourrin-Reynard,Adria Sales,Christiane Oddou,Mylène Pezet,Olivier Rossier,Paul Machillot,Line Chaar,Anne-Pascale Bouin,Gregory Giannone,Olivier Destaing,Catherine Picart,Corinne Albiges-Rizo

Nature communications 12:6839 PubMed34824237

2021

Cell-fate transition and determination analysis of mouse male germ cells throughout development.

Applications

Unspecified application

Species

Unspecified reactive species

Jiexiang Zhao,Ping Lu,Cong Wan,Yaping Huang,Manman Cui,Xinyan Yang,Yuqiong Hu,Yi Zheng,Ji Dong,Mei Wang,Shu Zhang,Zhaoting Liu,Shuhui Bian,Xiaoman Wang,Rui Wang,Shaofang Ren,Dazhuang Wang,Zhaokai Yao,Gang Chang,Fuchou Tang,Xiao-Yang Zhao

Oncology letters 20:365 PubMed33133265

2020

TIPE1 impairs ovarian tumor growth by promoting caspase-dependent apoptosis.

Applications

Unspecified application

Species

Unspecified reactive species

Tingting Li,Lei Jia,Yu Deng,Bo Wang,Song Quan

Cell 178:1478-1492.e20 PubMed31474362

2019

LECT2, a Ligand for Tie1, Plays a Crucial Role in Liver Fibrogenesis.

Applications

Unspecified application

Species

Unspecified reactive species

Meng Xu,Hong-Hai Xu,Yuan Lin,Xiangnan Sun,Li-Jing Wang,Zhe-Ping Fang,Xue-Han Su,Xiang-Jing Liang,Yang Hu,Zhi-Min Liu,Yuanxiong Cheng,Yuanyuan Wei,Jiabin Li,Li Li,Hong-Juan Liu,Zhiqiang Cheng,Na Tang,Chao Peng,Tingting Li,Tengfei Liu,Liang Qiao,Dalei Wu,Yan-Qing Ding,Wei-Jie Zhou
View all publications

Product promise

We are committed to supporting your work with high-quality reagents, and we're here for you every step of the way. In the unlikely event that one of our products does not perform as expected, you're protected by our Product Promise.
For full details, please see our Terms & Conditions

Please note: All products are 'FOR RESEARCH USE ONLY. NOT FOR USE IN DIAGNOSTIC OR THERAPEUTIC PROCEDURES'.

For licensing inquiries, please contact partnerships@abcam.com