JavaScript is disabled in your browser. Please enable JavaScript to view this website.
AB238172

Anti-TIE2 antibody [EPR21915] - BSA and Azide free

Be the first to review this product! Submit a review

|

(1 Publication)

Rabbit Recombinant Monoclonal TIE2 antibody. Carrier free. Suitable for Flow Cyt (Intra), I-ELISA, Flow Cyt, WB, ICC/IF and reacts with Human, Mouse samples. Cited in 1 publication.

View Alternative Names

CD202b, TIE2, VMCM, VMCM1, TEK, Angiopoietin-1 receptor, Endothelial tyrosine kinase, Tunica interna endothelial cell kinase, Tyrosine kinase with Ig and EGF homology domains-2, Tyrosine-protein kinase receptor TEK, Tyrosine-protein kinase receptor TIE-2, p140 TEK, hTIE2

8 Images
Flow Cytometry - Anti-TIE2 antibody [EPR21915] - BSA and Azide free (AB238172)
  • Flow Cyt

Unknown

Flow Cytometry - Anti-TIE2 antibody [EPR21915] - BSA and Azide free (AB238172)

Flow cytometric analysis of HEK-293T (human epithelial cell line from embryonic kidney transformed with large T antigen) (left panel) and HUVEC (human umbilical vein endothelial cell line) (right panel) cells labeling TIE2 with ab221154 at 1/500 dilution (red) compared with a Rabbit monoclonal IgG (ab172730) Isotype control (black) and an unlabelled control (cells without incubation with primary antibody and secondary antibody) (blue). Goat Anti-Rabbit IgG H&L (Alexa Fluor® 488) (ab150077), at 1/2000 dilution was used as the secondary antibody.

Gated on viable cells.

Negative control : HEK - 293T (PMID : 17189382)

This data was developed using the same antibody clone in a different buffer formulation containing PBS, BSA, glycerol, and sodium azide (ab221154).

Immunocytochemistry/ Immunofluorescence - Anti-TIE2 antibody [EPR21915] - BSA and Azide free (AB238172)
  • ICC/IF

Unknown

Immunocytochemistry/ Immunofluorescence - Anti-TIE2 antibody [EPR21915] - BSA and Azide free (AB238172)

Immunofluorescent analysis of 4% paraformaldehyde-fixed, 0.1% Triton X-100 permeabilized HUVEC (human umbilical vein endothelial cell line) cells labeling TIE2 with ab221154 at 1/4000 dilution, followed by Goat Anti-Rabbit IgG H&L (Alexa Fluor® 488) (ab150077) secondary antibody at 1/1000 dilution (green). Confocal image showing membranous and cytoplasmic staining in HUVEC cell line is observed. The nuclear counter stain is DAPI (blue). Tubulin is detected with Anti-alpha Tubulin antibody [DM1A] - Microtubule Marker (Alexa Fluor® 594) (ab195889) at 1/200 dilution (red).

Control : Used PBS instead of primary antibody, followed by Goat Anti-Rabbit IgG H&L (Alexa Fluor® 488) (ab150077) secondary antibody at 1/1000 dilution.

Negative control : HEK-293T (PMID : 17189382).

This data was developed using the same antibody clone in a different buffer formulation containing PBS, BSA, glycerol, and sodium azide (ab221154).

Flow Cytometry (Intracellular) - Anti-TIE2 antibody [EPR21915] - BSA and Azide free (AB238172)
  • Flow Cyt (Intra)

Lab

Flow Cytometry (Intracellular) - Anti-TIE2 antibody [EPR21915] - BSA and Azide free (AB238172)

This data was developed using the same antibody clone in a different buffer formulation containing PBS, BSA, glycerol, and sodium azide (ab221154).

Flow cytometry overlay histogram showing positive HUVEC cells (left) and negative Hek-293 cells (right) stained with ab221154 (red line). The cells were fixed with 4% PFA and permeabilised with 0.1% PBS-Triton X-100 for 15 min. The cells were then incubated in 1x PBS containing 10% normal goat serum to block non-specific protein-protein interaction followed by the antibody (ab221154) (1x 106 in 100μl at 0.2 μg/ml (1/2,500)) for 30min at 22°C.

The secondary antibody Goat Anti-Rabbit IgG H&L (Alexa Fluor® 488) preadsorbed was incubated at 1/4000 for 30min at 22°C.

Isotype control antibody Recombinant Rabbit IgG, monoclonal [EPR25A] - Isotype Control was used at the same concentration and conditions as the primary antibody (black line). Unlabelled sample was also used as a control (blue line).

Acquisition of >5000 events were collected using a 50 mW Blue laser (488nm) and 525/40 bandpass filter.

Indirect ELISA - Anti-TIE2 antibody [EPR21915] - BSA and Azide free (AB238172)
  • I-ELISA

Lab

Indirect ELISA - Anti-TIE2 antibody [EPR21915] - BSA and Azide free (AB238172)

Indirect ELISA showing primary antibody ab221154 binding to mouse TEK and Human TEK. Antigen concentration is 1000 ng/ml. Binding of ab221154 was assessed in a serial dilution range 1000-0 ng/ml. Binding was detected using the secondary antibody, Alkaline Phosphatase-conjugated AffiniPure Goat Anti-Rabbit IgG (H+L) at 1/2500 dilution. This data was developed using the same antibody clone in a different buffer formulation containing PBS, BSA, glycerol, and sodium azide (ab221154).

Western blot - Anti-TIE2 antibody [EPR21915] - BSA and Azide free (AB238172)
  • WB

Lab

Western blot - Anti-TIE2 antibody [EPR21915] - BSA and Azide free (AB238172)

This data was developed using ab221154, the same antibody clone in a different buffer formulation.

Blocking and diluting buffer and concentration : 5% NFDM/TBST.

To preserve protein degradation, harvested cells were immediately lysed, followed by rapid gel electrophoresis and membrane transfer procedures.

All lanes:

Western blot - Anti-TIE2 antibody [EPR21915] (<a href='/en-us/products/primary-antibodies/tie2-antibody-epr21915-ab221154'>ab221154</a>) at 1/1000 dilution

Lane 1:

HUVEC (human umbilical vein endothelial cell line) fresh whole cell lysate at 20 µg

Lane 2:

HUVEC (human umbilical vein endothelial cell line) frozen whole cell lysate at 20 µg

Lane 3:

Mouse lung fresh tissue lysate at 20 µg

Lane 4:

Mouse lung frozen tissue lysate at 20 µg

Secondary

All lanes:

Western blot - Goat Anti-Rabbit IgG H&L (HRP) (<a href='/en-us/products/secondary-antibodies/goat-rabbit-igg-h-l-hrp-ab97051'>ab97051</a>) at 1/20000 dilution

Observed band size: 160 kDa,60 kDa

false

Exposure time: 180s

Western blot - Anti-TIE2 antibody [EPR21915] - BSA and Azide free (AB238172)
  • WB

Lab

Western blot - Anti-TIE2 antibody [EPR21915] - BSA and Azide free (AB238172)

This data was developed using ab221154, the same antibody clone in a different buffer formulation.

Blocking and diluting buffer and concentration : 5% NFDM/TBST.

The antibody ab221154 exhibits low sensitivity in Western blot analyses. To improve detection of full-length TIE2, we recommend substituting with ab307556 or ab259982. Alternatively, experimental conditions can be optimized through increasing sample loading quantity, using lower antibody dilution or implementing femtogram-level sensitivity detection substrates.

Important note : TIE2 undergoes proteolytic cleavage (PMID : 32838837, PMID : 26666854). These three antibodies target distinct cleaved fragments of TIE2 due to differences in their immunogen localization.

Lane 1:

Western blot - Anti-TIE2 antibody [EPR21915] (<a href='/en-us/products/primary-antibodies/tie2-antibody-epr21915-ab221154'>ab221154</a>)

Lane 2:

Western blot - Anti-TIE2 antibody [EPR26540-78] (<a href='/en-us/products/primary-antibodies/tie2-antibody-epr26540-78-ab307556'>ab307556</a>)

Lane 3:

Western blot - Anti-TIE2 antibody [EPR23823-109] (<a href='/en-us/products/primary-antibodies/tie2-antibody-epr23823-109-ab259982'>ab259982</a>)

All lanes:

HUVEC (human umbilical vein endothelial cell line) whole cell lysate at 20 µg

Secondary

All lanes:

Western blot - Goat Anti-Rabbit IgG H&L (HRP) (<a href='/en-us/products/secondary-antibodies/goat-rabbit-igg-h-l-hrp-ab97051'>ab97051</a>) at 1/20000 dilution

Observed band size: 60 kDa,40 kDa,160 kDa

false

Exposure time: 40s

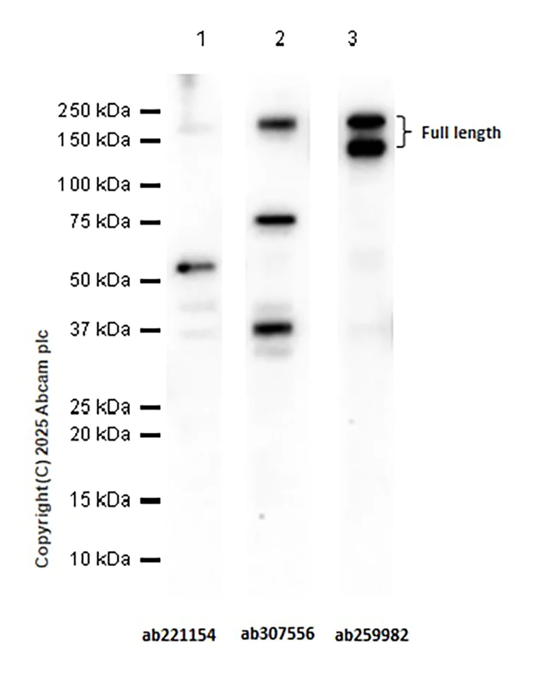
Western blot - Anti-TIE2 antibody [EPR21915] - BSA and Azide free (AB238172)
  • WB

Lab

Western blot - Anti-TIE2 antibody [EPR21915] - BSA and Azide free (AB238172)

Blocking and diluting buffer and concentration : 5% NFDM/TBST.

The antibody ab221154 exhibits low sensitivity in Western blot analyses. To improve detection of full-length TIE2 in mouse samples, we recommend substituting with ab307556. Alternatively, experimental conditions can be optimized through increasing sample loading quantity, using lower antibody dilution or implementing femtogram-level sensitivity detection substrates.

This data was developed using ab221154, the same antibody clone in a different buffer formulation.

Lane 1:

Western blot - Anti-TIE2 antibody [EPR21915] (<a href='/en-us/products/primary-antibodies/tie2-antibody-epr21915-ab221154'>ab221154</a>) at 1/1000 dilution

Lane 2:

Western blot - Anti-TIE2 antibody [EPR26540-78] (<a href='/en-us/products/primary-antibodies/tie2-antibody-epr26540-78-ab307556'>ab307556</a>) at 1/1000 dilution

All lanes:

Mouse lung tissue lysate at 20 µg

Secondary

All lanes:

Western blot - Goat Anti-Rabbit IgG H&L (HRP) (<a href='/en-us/products/secondary-antibodies/goat-rabbit-igg-h-l-hrp-ab97051'>ab97051</a>) at 1/20000 dilution

Observed band size: 160 kDa

false

Exposure time: 180s

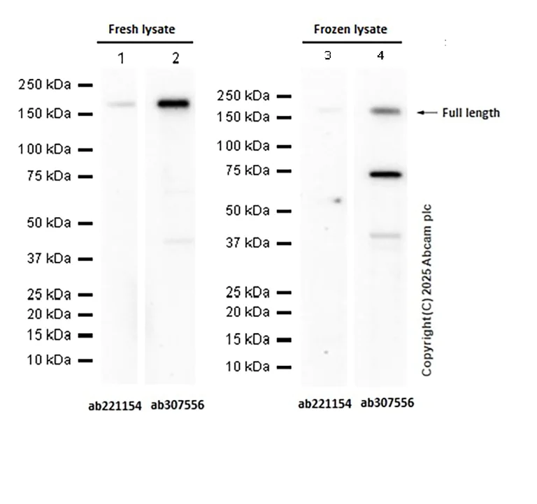
Western blot - Anti-TIE2 antibody [EPR21915] - BSA and Azide free (AB238172)
  • WB

Lab

Western blot - Anti-TIE2 antibody [EPR21915] - BSA and Azide free (AB238172)

This data was developed using ab221154, the same antibody clone in a different buffer formulation.

Blocking and diluting buffer and concentration : 5% NFDM/TBST.

The antibody ab221154 exhibits low sensitivity in Western blot analyses. To improve detection of full-length TIE2 in mouse samples, we recommend substituting with ab307556. Alternatively, experimental conditions can be optimized through increasing sample loading quantity, using lower antibody dilution or implementing femtogram-level sensitivity detection substrates.

To preserve protein degradation, harvested cells were immediately lysed, followed by rapid gel electrophoresis and membrane transfer procedures.

Lanes 1 and 3:

Western blot - Anti-TIE2 antibody [EPR21915] (<a href='/en-us/products/primary-antibodies/tie2-antibody-epr21915-ab221154'>ab221154</a>) at 1/1000 dilution

Lanes 2 and 4:

Western blot - Anti-TIE2 antibody [EPR26540-78] (<a href='/en-us/products/primary-antibodies/tie2-antibody-epr26540-78-ab307556'>ab307556</a>) at 1/1000 dilution

Lanes 1 - 2:

bEnd.3 (mouse brain endothelial cell) fresh whole cell lysate at 20 µg

Lanes 3 - 4:

bEnd.3 (mouse brain endothelial cell) frozen whole cell lysate at 20 µg

Secondary

All lanes:

Western blot - Goat Anti-Rabbit IgG H&L (HRP) (<a href='/en-us/products/secondary-antibodies/goat-rabbit-igg-h-l-hrp-ab97051'>ab97051</a>) at 1/20000 dilution

Observed band size: 160 kDa

false

Exposure time: 180s

  • Unconjugated

    Anti-TIE2 antibody [EPR21915]

  • 665 Alexa Fluor® 647

    Alexa Fluor® 647 Anti-TIE2 antibody [EPR21915]

  • 578 PE

    PE Anti-TIE2 antibody [EPR21915]

  • 519 Alexa Fluor® 488

    Alexa Fluor® 488 Anti-TIE2 antibody [EPR21915]

  • 660 APC

    APC Anti-TIE2 antibody [EPR21915]

Key facts

Host species

Rabbit

Clonality

Monoclonal

Clone number

EPR21915

Isotype

IgG

Carrier free

Yes

Reacts with

Human, Mouse

Applications

Flow Cyt (Intra), WB, I-ELISA, Flow Cyt, ICC/IF

applications

Immunogen

The exact immunogen used to generate this antibody is proprietary information.

Reactivity data

{ "title": "Reactivity Data", "filters": { "stats": ["", "Species", "Dilution Info", "Notes"], "tabs": { "all-applications": {"fullname" : "All Applications", "shortname": "All Applications"}, "FlowCytIntra" : {"fullname" : "Flow Cytometry (Intracellular)", "shortname":"Flow Cyt (Intra)"}, "IELISA" : {"fullname" : "Indirect ELISA", "shortname":"I-ELISA"}, "FlowCyt" : {"fullname" : "Flow Cytometry", "shortname":"Flow Cyt"}, "WB" : {"fullname" : "Western blot", "shortname":"WB"}, "ICCIF" : {"fullname" : "Immunocytochemistry/ Immunofluorescence", "shortname":"ICC/IF"} }, "product-promise": { "all": "all", "testedAndGuaranteed": "tested", "guaranteed": "expected", "predicted": "predicted", "notRecommended": "not-recommended" } }, "values": { "Human": { "FlowCytIntra-species-checked": "testedAndGuaranteed", "FlowCytIntra-species-dilution-info": "", "FlowCytIntra-species-notes": "<p></p>", "IELISA-species-checked": "testedAndGuaranteed", "IELISA-species-dilution-info": "", "IELISA-species-notes": "<p></p>", "FlowCyt-species-checked": "testedAndGuaranteed", "FlowCyt-species-dilution-info": "", "FlowCyt-species-notes": "<p></p>", "WB-species-checked": "guaranteed", "WB-species-dilution-info": "", "WB-species-notes": "<p></p>", "ICCIF-species-checked": "testedAndGuaranteed", "ICCIF-species-dilution-info": "", "ICCIF-species-notes": "<p></p>" }, "Mouse": { "FlowCytIntra-species-checked": "guaranteed", "FlowCytIntra-species-dilution-info": "", "FlowCytIntra-species-notes": "", "IELISA-species-checked": "testedAndGuaranteed", "IELISA-species-dilution-info": "", "IELISA-species-notes": "<p></p>", "FlowCyt-species-checked": "guaranteed", "FlowCyt-species-dilution-info": "", "FlowCyt-species-notes": "", "WB-species-checked": "predicted", "WB-species-dilution-info": "", "WB-species-notes": "", "ICCIF-species-checked": "guaranteed", "ICCIF-species-dilution-info": "", "ICCIF-species-notes": "" } } }

Product details

ab238172 is the carrier-free version of ab221154.

Patented technology
Our RabMAb® technology is a patented hybridoma-based technology for making rabbit monoclonal antibodies. For details on our patents, please refer to RabMAb® patents.

What are the advantages of a recombinant monoclonal antibody?
This product is a recombinant monoclonal antibody, which offers several advantages including:

  • - High batch-to-batch consistency and reproducibility
  • - Improved sensitivity and specificity
  • - Long-term security of supply
  • - Animal-free batch production

For more information, read more on recombinant antibodies.

Conjugation ready
Our carrier-free antibodies are typically supplied in a PBS-only formulation, purified and free of BSA, sodium azide and glycerol. This conjugation-ready format is designed for use with fluorochromes, metal isotopes, oligonucleotides, and enzymes, which makes them ideal for antibody labelling, functional and cell-based assays, flow-based assays (e.g. mass cytometry) and Multiplex Imaging applications.

Use our conjugation kits for antibody conjugates that are ready-to-use in as little as 20 minutes with 1 minute hands-on-time and 100% antibody recovery: available for fluorescent dyes, HRP, biotin and gold.

Compatibility
This product is compatible with the Maxpar® Antibody Labeling Kit from Fluidigm, without the need for antibody preparation. Maxpar® is a trademark of Fluidigm Canada Inc.

Properties and storage information

Form
Liquid
Purification technique
Affinity purification Protein A
Storage buffer
pH: 7.2 - 7.4 Constituents: PBS
Shipped at conditions
Blue Ice
Appropriate short-term storage conditions
+4°C
Appropriate long-term storage conditions
+4°C
Storage information
Do Not Freeze

Supplementary information

This supplementary information is collated from multiple sources and compiled automatically.

TIE2 also known as TEK or CD202B is a receptor tyrosine kinase with a mass of approximately 145 kDa. It plays an important role in vascular development and maintenance. TIE2 is mainly expressed in endothelial cells which line the interior surface of blood vessels. It binds angiopoietins predominantly Angiopoietin-1 (Angpt1) influencing vascular stability and permeability. Researchers use TIE2 antibodies including anti-TIE and anti-clone to study its role and functions across various contexts.
Biological function summary

TIE2 plays a central role in angiogenesis and blood vessel maturation. It forms a receptor complex with other components to mediate its effects. This interaction mainly involves Angpt1 which binds to TIE2 stabilizing blood vessels and preserving their integrity. TIE2 also participates in cell survival and migration processes necessary for normal vascular function. Researchers often perform Angpt1 ELISA in bulk to quantify interactions involving TIE2 in experiments.

Pathways

TIE2 is important in the angiopoietin-TIE signaling pathway regulating vascular development. TIE2 is related to proteins such as Angpt1 which are centrally involved in this pathway. It also interacts with various signaling molecules including phosphatidylinositol-3-kinase (PI3K) which contributes to cell survival pathways. Alterations in the TIE2 signaling cascade can lead to aberrant angiogenesis and related pathologies.

TIE2 is implicated in several vascular diseases and cancer. Mutations or dysregulation of TIE2 can result in venous malformations and further compromise blood vessel integrity. In cancer TIE2 expression can influence tumor angiogenesis enhancing tumor growth and metastasis. TIE2 interacts with proteins like vascular endothelial growth factor (VEGF) which are involved in neovascularization and cancer progression. Understanding these interactions helps target therapeutic strategies in relevant diseases.

Product protocols

For this product, it's our understanding that no specific protocols are required. You can visit:

Target data

Tyrosine-protein kinase that acts as a cell-surface receptor for ANGPT1, ANGPT2 and ANGPT4 and regulates angiogenesis, endothelial cell survival, proliferation, migration, adhesion and cell spreading, reorganization of the actin cytoskeleton, but also maintenance of vascular quiescence. Has anti-inflammatory effects by preventing the leakage of pro-inflammatory plasma proteins and leukocytes from blood vessels. Required for normal angiogenesis and heart development during embryogenesis. Required for post-natal hematopoiesis. After birth, activates or inhibits angiogenesis, depending on the context. Inhibits angiogenesis and promotes vascular stability in quiescent vessels, where endothelial cells have tight contacts. In quiescent vessels, ANGPT1 oligomers recruit TEK to cell-cell contacts, forming complexes with TEK molecules from adjoining cells, and this leads to preferential activation of phosphatidylinositol 3-kinase and the AKT1 signaling cascades. In migrating endothelial cells that lack cell-cell adhesions, ANGT1 recruits TEK to contacts with the extracellular matrix, leading to the formation of focal adhesion complexes, activation of PTK2/FAK and of the downstream kinases MAPK1/ERK2 and MAPK3/ERK1, and ultimately to the stimulation of sprouting angiogenesis. ANGPT1 signaling triggers receptor dimerization and autophosphorylation at specific tyrosine residues that then serve as binding sites for scaffold proteins and effectors. Signaling is modulated by ANGPT2 that has lower affinity for TEK, can promote TEK autophosphorylation in the absence of ANGPT1, but inhibits ANGPT1-mediated signaling by competing for the same binding site. Signaling is also modulated by formation of heterodimers with TIE1, and by proteolytic processing that gives rise to a soluble TEK extracellular domain. The soluble extracellular domain modulates signaling by functioning as decoy receptor for angiopoietins. TEK phosphorylates DOK2, GRB7, GRB14, PIK3R1; SHC1 and TIE1.
See full target information TEK

Publications (1)

Recent publications for all applications. Explore the full list and refine your search

Frontiers in immunology 14:1162669 PubMed37207208

2023

Naproxen chemoprevention induces proliferation of cytotoxic lymphocytes in Lynch Syndrome colorectal mucosa.

Applications

Unspecified application

Species

Unspecified reactive species

Charles M Bowen,Nan Deng,Laura Reyes-Uribe,Edwin Roger Parra,Pedro Rocha,Luisa M Solis,Ignacio I Wistuba,Valerie O Sepeda,Lana Vornik,Marjorie Perloff,Eva Szabo,Asad Umar,Krishna M Sinha,Powel H Brown,Eduardo Vilar
View all publications

Product promise

We are committed to supporting your work with high-quality reagents, and we're here for you every step of the way. In the unlikely event that one of our products does not perform as expected, you're protected by our Product Promise.
For full details, please see our Terms & Conditions

Please note: All products are 'FOR RESEARCH USE ONLY. NOT FOR USE IN DIAGNOSTIC OR THERAPEUTIC PROCEDURES'.

For licensing inquiries, please contact partnerships@abcam.com