JavaScript is disabled in your browser. Please enable JavaScript to view this website.
AB227219

Anti-TIE2 antibody - N-terminal

Be the first to review this product! Submit a review

|

(1 Publication)

Rabbit Polyclonal TIE2 antibody. N-terminal. Suitable for WB, IHC-P and reacts with Human samples. Cited in 1 publication. Immunogen corresponding to Recombinant Fragment Protein within Human TEK.

View Alternative Names

CD202b, TIE2, VMCM, VMCM1, TEK, Angiopoietin-1 receptor, Endothelial tyrosine kinase, Tunica interna endothelial cell kinase, Tyrosine kinase with Ig and EGF homology domains-2, Tyrosine-protein kinase receptor TEK, Tyrosine-protein kinase receptor TIE-2, p140 TEK, hTIE2

2 Images
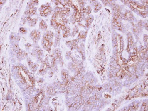
Immunohistochemistry (Formalin/PFA-fixed paraffin-embedded sections) - Anti-TIE2 antibody - N-terminal (AB227219)
  • IHC-P

Supplier Data

Immunohistochemistry (Formalin/PFA-fixed paraffin-embedded sections) - Anti-TIE2 antibody - N-terminal (AB227219)

Paraffin-embedded human breast cancer tissue stained for TIE2 using ab227219 at 1/250 dilution in immunohistochemical analysis.

Western blot - Anti-TIE2 antibody - N-terminal (AB227219)
  • WB

Supplier Data

Western blot - Anti-TIE2 antibody - N-terminal (AB227219)

5% SDS-PAGE gel.

All lanes:

Western blot - Anti-TIE2 antibody - N-terminal (ab227219) at 1/500 dilution

All lanes:

HUVEC (human umbilical vein endothelial cell line) whole cell lysate at 15 µg

Secondary

All lanes:

HRP-conjugated anti-rabbit IgG

Predicted band size: 125 kDa

false

Key facts

Host species

Rabbit

Clonality

Polyclonal

Isotype

IgG

Carrier free

No

Reacts with

Human

Applications

WB, IHC-P

applications

Immunogen

Recombinant Fragment Protein within Human TEK. The exact immunogen used to generate this antibody is proprietary information.

Q02763

Reactivity data

{ "title": "Reactivity Data", "filters": { "stats": ["", "Species", "Dilution Info", "Notes"], "tabs": { "all-applications": {"fullname" : "All Applications", "shortname": "All Applications"}, "WB" : {"fullname" : "Western blot", "shortname":"WB"}, "IHCP" : {"fullname" : "Immunohistochemistry (Formalin/PFA-fixed paraffin-embedded sections)", "shortname":"IHC-P"} }, "product-promise": { "all": "all", "testedAndGuaranteed": "tested", "guaranteed": "expected", "predicted": "predicted", "notRecommended": "not-recommended" } }, "values": { "Human": { "WB-species-checked": "testedAndGuaranteed", "WB-species-dilution-info": "1/500 - 1/3000", "WB-species-notes": "<p></p>", "IHCP-species-checked": "testedAndGuaranteed", "IHCP-species-dilution-info": "1/100 - 1/1000", "IHCP-species-notes": "<p></p>" }, "Mouse": { "WB-species-checked": "predicted", "WB-species-dilution-info": "", "WB-species-notes": "", "IHCP-species-checked": "predicted", "IHCP-species-dilution-info": "", "IHCP-species-notes": "" }, "Rat": { "WB-species-checked": "predicted", "WB-species-dilution-info": "", "WB-species-notes": "", "IHCP-species-checked": "predicted", "IHCP-species-dilution-info": "", "IHCP-species-notes": "" }, "Cow": { "WB-species-checked": "predicted", "WB-species-dilution-info": "", "WB-species-notes": "", "IHCP-species-checked": "predicted", "IHCP-species-dilution-info": "", "IHCP-species-notes": "" } } }

Properties and storage information

Form
Liquid
Purification technique
Affinity purification Immunogen
Storage buffer
pH: 7 Preservative: 0.025% Proclin 300 Constituents: 79% PBS, 20% Glycerol (glycerin, glycerine)
Shipped at conditions
Blue Ice
Appropriate short-term storage duration
1-2 weeks
Appropriate short-term storage conditions
+4°C
Appropriate long-term storage conditions
-20°C
Aliquoting information
Upon delivery aliquot
Storage information
Avoid freeze / thaw cycle

Supplementary information

This supplementary information is collated from multiple sources and compiled automatically.

TIE2 also known as TEK or CD202B is a receptor tyrosine kinase with a mass of approximately 145 kDa. It plays an important role in vascular development and maintenance. TIE2 is mainly expressed in endothelial cells which line the interior surface of blood vessels. It binds angiopoietins predominantly Angiopoietin-1 (Angpt1) influencing vascular stability and permeability. Researchers use TIE2 antibodies including anti-TIE and anti-clone to study its role and functions across various contexts.
Biological function summary

TIE2 plays a central role in angiogenesis and blood vessel maturation. It forms a receptor complex with other components to mediate its effects. This interaction mainly involves Angpt1 which binds to TIE2 stabilizing blood vessels and preserving their integrity. TIE2 also participates in cell survival and migration processes necessary for normal vascular function. Researchers often perform Angpt1 ELISA in bulk to quantify interactions involving TIE2 in experiments.

Pathways

TIE2 is important in the angiopoietin-TIE signaling pathway regulating vascular development. TIE2 is related to proteins such as Angpt1 which are centrally involved in this pathway. It also interacts with various signaling molecules including phosphatidylinositol-3-kinase (PI3K) which contributes to cell survival pathways. Alterations in the TIE2 signaling cascade can lead to aberrant angiogenesis and related pathologies.

TIE2 is implicated in several vascular diseases and cancer. Mutations or dysregulation of TIE2 can result in venous malformations and further compromise blood vessel integrity. In cancer TIE2 expression can influence tumor angiogenesis enhancing tumor growth and metastasis. TIE2 interacts with proteins like vascular endothelial growth factor (VEGF) which are involved in neovascularization and cancer progression. Understanding these interactions helps target therapeutic strategies in relevant diseases.

Product protocols

For this product, it's our understanding that no specific protocols are required. You can visit:

Target data

Tyrosine-protein kinase that acts as a cell-surface receptor for ANGPT1, ANGPT2 and ANGPT4 and regulates angiogenesis, endothelial cell survival, proliferation, migration, adhesion and cell spreading, reorganization of the actin cytoskeleton, but also maintenance of vascular quiescence. Has anti-inflammatory effects by preventing the leakage of pro-inflammatory plasma proteins and leukocytes from blood vessels. Required for normal angiogenesis and heart development during embryogenesis. Required for post-natal hematopoiesis. After birth, activates or inhibits angiogenesis, depending on the context. Inhibits angiogenesis and promotes vascular stability in quiescent vessels, where endothelial cells have tight contacts. In quiescent vessels, ANGPT1 oligomers recruit TEK to cell-cell contacts, forming complexes with TEK molecules from adjoining cells, and this leads to preferential activation of phosphatidylinositol 3-kinase and the AKT1 signaling cascades. In migrating endothelial cells that lack cell-cell adhesions, ANGT1 recruits TEK to contacts with the extracellular matrix, leading to the formation of focal adhesion complexes, activation of PTK2/FAK and of the downstream kinases MAPK1/ERK2 and MAPK3/ERK1, and ultimately to the stimulation of sprouting angiogenesis. ANGPT1 signaling triggers receptor dimerization and autophosphorylation at specific tyrosine residues that then serve as binding sites for scaffold proteins and effectors. Signaling is modulated by ANGPT2 that has lower affinity for TEK, can promote TEK autophosphorylation in the absence of ANGPT1, but inhibits ANGPT1-mediated signaling by competing for the same binding site. Signaling is also modulated by formation of heterodimers with TIE1, and by proteolytic processing that gives rise to a soluble TEK extracellular domain. The soluble extracellular domain modulates signaling by functioning as decoy receptor for angiopoietins. TEK phosphorylates DOK2, GRB7, GRB14, PIK3R1; SHC1 and TIE1.
See full target information TEK

Publications (1)

Recent publications for all applications. Explore the full list and refine your search

Disease models & mechanisms 16: PubMed36518009

2023

Infiltrating circulating monocytes provide an important source of BMP4 at the early stage of spinal cord injury.

Applications

Unspecified application

Species

Unspecified reactive species

Weiyun Shen,Shuxin Liu,Xiaojing Wei,Yaping Wang,Lin Yang
View all publications

Product promise

We are committed to supporting your work with high-quality reagents, and we're here for you every step of the way. In the unlikely event that one of our products does not perform as expected, you're protected by our Product Promise.
For full details, please see our Terms & Conditions

Please note: All products are 'FOR RESEARCH USE ONLY. NOT FOR USE IN DIAGNOSTIC OR THERAPEUTIC PROCEDURES'.

For licensing inquiries, please contact partnerships@abcam.com