JavaScript is disabled in your browser. Please enable JavaScript to view this website.
AB111585

Anti-TIE2 (phospho Y1102) antibody

Be the first to review this product! Submit a review

|

(1 Publication)

Rabbit Polyclonal TIE2 phospho Y1102 antibody. Suitable for IHC-P and reacts with Human samples. Cited in 1 publication. Immunogen corresponding to Synthetic Peptide within Human TEK phospho Y1102.

View Alternative Names

CD202b, TIE2, VMCM, VMCM1, TEK, Angiopoietin-1 receptor, Endothelial tyrosine kinase, Tunica interna endothelial cell kinase, Tyrosine kinase with Ig and EGF homology domains-2, Tyrosine-protein kinase receptor TEK, Tyrosine-protein kinase receptor TIE-2, p140 TEK, hTIE2

1 Images
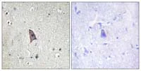
Immunohistochemistry (Formalin/PFA-fixed paraffin-embedded sections) - Anti-TIE2 (phospho Y1102) antibody (AB111585)
  • IHC-P

Unknown

Immunohistochemistry (Formalin/PFA-fixed paraffin-embedded sections) - Anti-TIE2 (phospho Y1102) antibody (AB111585)

Immunohistochemistry analysis of (phospho Y1102) in paraffin embedded Human brain tissue, using ab111585 at a 1/50 dilution. The image on the right is treated with the synthesized peptide.

Key facts

Host species

Rabbit

Clonality

Polyclonal

Isotype

IgG

Carrier free

No

Reacts with

Human

Applications

IHC-P

applications

Immunogen

Synthetic Peptide within Human TEK phospho Y1102. The exact immunogen used to generate this antibody is proprietary information.

Q02763

Reactivity data

{ "title": "Reactivity Data", "filters": { "stats": ["", "Species", "Dilution Info", "Notes"], "tabs": { "all-applications": {"fullname" : "All Applications", "shortname": "All Applications"}, "IHCP" : {"fullname" : "Immunohistochemistry (Formalin/PFA-fixed paraffin-embedded sections)", "shortname":"IHC-P"} }, "product-promise": { "all": "all", "testedAndGuaranteed": "tested", "guaranteed": "expected", "predicted": "predicted", "notRecommended": "not-recommended" } }, "values": { "Human": { "IHCP-species-checked": "testedAndGuaranteed", "IHCP-species-dilution-info": "1/50 - 1/100", "IHCP-species-notes": "<p></p>" }, "Mouse": { "IHCP-species-checked": "predicted", "IHCP-species-dilution-info": "", "IHCP-species-notes": "" } } }

Properties and storage information

Form
Liquid
Purification technique
Affinity purification Immunogen
Purification notes
ab111585 was affinity-purified from rabbit antiserum by affinity-chromatography using epitope-specific phosphopeptide. The antibody against non-phosphopeptide was removed by chromatography using non-phosphopeptide corresponding to the phosphorylation.
Storage buffer
pH: 7.4 Preservative: 0.02% Sodium azide Constituents: PBS, 50% Glycerol (glycerin, glycerine), 0.88% Sodium chloride
Shipped at conditions
Blue Ice
Appropriate short-term storage conditions
+4°C
Appropriate long-term storage conditions
-20°C
Storage information
Stable for 12 months at -20°C

Supplementary information

This supplementary information is collated from multiple sources and compiled automatically.

TIE2 also known as TEK or CD202B is a receptor tyrosine kinase with a mass of approximately 145 kDa. It plays an important role in vascular development and maintenance. TIE2 is mainly expressed in endothelial cells which line the interior surface of blood vessels. It binds angiopoietins predominantly Angiopoietin-1 (Angpt1) influencing vascular stability and permeability. Researchers use TIE2 antibodies including anti-TIE and anti-clone to study its role and functions across various contexts.
Biological function summary

TIE2 plays a central role in angiogenesis and blood vessel maturation. It forms a receptor complex with other components to mediate its effects. This interaction mainly involves Angpt1 which binds to TIE2 stabilizing blood vessels and preserving their integrity. TIE2 also participates in cell survival and migration processes necessary for normal vascular function. Researchers often perform Angpt1 ELISA in bulk to quantify interactions involving TIE2 in experiments.

Pathways

TIE2 is important in the angiopoietin-TIE signaling pathway regulating vascular development. TIE2 is related to proteins such as Angpt1 which are centrally involved in this pathway. It also interacts with various signaling molecules including phosphatidylinositol-3-kinase (PI3K) which contributes to cell survival pathways. Alterations in the TIE2 signaling cascade can lead to aberrant angiogenesis and related pathologies.

TIE2 is implicated in several vascular diseases and cancer. Mutations or dysregulation of TIE2 can result in venous malformations and further compromise blood vessel integrity. In cancer TIE2 expression can influence tumor angiogenesis enhancing tumor growth and metastasis. TIE2 interacts with proteins like vascular endothelial growth factor (VEGF) which are involved in neovascularization and cancer progression. Understanding these interactions helps target therapeutic strategies in relevant diseases.

Product protocols

For this product, it's our understanding that no specific protocols are required. You can visit:

Target data

Tyrosine-protein kinase that acts as a cell-surface receptor for ANGPT1, ANGPT2 and ANGPT4 and regulates angiogenesis, endothelial cell survival, proliferation, migration, adhesion and cell spreading, reorganization of the actin cytoskeleton, but also maintenance of vascular quiescence. Has anti-inflammatory effects by preventing the leakage of pro-inflammatory plasma proteins and leukocytes from blood vessels. Required for normal angiogenesis and heart development during embryogenesis. Required for post-natal hematopoiesis. After birth, activates or inhibits angiogenesis, depending on the context. Inhibits angiogenesis and promotes vascular stability in quiescent vessels, where endothelial cells have tight contacts. In quiescent vessels, ANGPT1 oligomers recruit TEK to cell-cell contacts, forming complexes with TEK molecules from adjoining cells, and this leads to preferential activation of phosphatidylinositol 3-kinase and the AKT1 signaling cascades. In migrating endothelial cells that lack cell-cell adhesions, ANGT1 recruits TEK to contacts with the extracellular matrix, leading to the formation of focal adhesion complexes, activation of PTK2/FAK and of the downstream kinases MAPK1/ERK2 and MAPK3/ERK1, and ultimately to the stimulation of sprouting angiogenesis. ANGPT1 signaling triggers receptor dimerization and autophosphorylation at specific tyrosine residues that then serve as binding sites for scaffold proteins and effectors. Signaling is modulated by ANGPT2 that has lower affinity for TEK, can promote TEK autophosphorylation in the absence of ANGPT1, but inhibits ANGPT1-mediated signaling by competing for the same binding site. Signaling is also modulated by formation of heterodimers with TIE1, and by proteolytic processing that gives rise to a soluble TEK extracellular domain. The soluble extracellular domain modulates signaling by functioning as decoy receptor for angiopoietins. TEK phosphorylates DOK2, GRB7, GRB14, PIK3R1; SHC1 and TIE1.
See full target information TEK phospho Y1102

Publications (1)

Recent publications for all applications. Explore the full list and refine your search

EMBO molecular medicine 15:e17836 PubMed37766669

2023

Propionate reinforces epithelial identity and reduces aggressiveness of lung carcinoma.

Applications

Unspecified application

Species

Unspecified reactive species

Vignesh Ramesh,Paradesi Naidu Gollavilli,Luisa Pinna,Mohammad Aarif Siddiqui,Adriana Martinez Turtos,Francesca Napoli,Yasmin Antonelli,Aldo Leal-Egaña,Jesper Foged Havelund,Simon Toftholm Jakobsen,Elisa Le Boiteux,Marco Volante,Nils Joakim Faergeman,Ole N Jensen,Rasmus Siersbaek,Kumar Somyajit,Paolo Ceppi
View all publications

Product promise

We are committed to supporting your work with high-quality reagents, and we're here for you every step of the way. In the unlikely event that one of our products does not perform as expected, you're protected by our Product Promise.
For full details, please see our Terms & Conditions

Please note: All products are 'FOR RESEARCH USE ONLY. NOT FOR USE IN DIAGNOSTIC OR THERAPEUTIC PROCEDURES'.

For licensing inquiries, please contact partnerships@abcam.com