JavaScript is disabled in your browser. Please enable JavaScript to view this website.
AB214815

Anti-TIFA (phospho T9) antibody [EPR19853]

Be the first to review this product! Submit a review

|

(3 Publications)

Rabbit Recombinant Monoclonal TIFA phospho T9 antibody. Suitable for IP, Dot, WB and reacts with Human, Synthetic peptide samples. Cited in 3 publications.

View Alternative Names

T2BP, TIFA, TRAF-interacting protein with FHA domain-containing protein A, Putative MAPK-activating protein PM14, Putative NF-kappa-B-activating protein 20, TRAF2-binding protein

4 Images
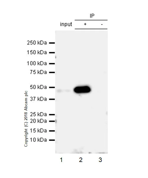
Immunoprecipitation - Anti-TIFA (phospho T9) antibody [EPR19853] (AB214815)
  • IP

Supplier Data

Immunoprecipitation - Anti-TIFA (phospho T9) antibody [EPR19853] (AB214815)

TIFA (phospho T9) was immunoprecipitated from 0.35 mg HEK-293T (human epithelial cell line from embryonic kidney transformed with large T antigen) whole cell lysate with ab214815 at 1/30 dilution. Western blot was performed from the immunoprecipitate using ab214815 at 1/1000 dilution. VeriBlot for IP Detection Reagent (HRP) (ab131366), was used for detection at 1/5,000 dilution

Lane 1 : HEK-293T transfected with GFP-tagged TIFA expression vector for 24 hours, and then infected with B. cenocepacia J2315 for 4 hours whole cell lysate 10 μg (Input).
Lane 2 : ab214815 IP in HEK-293T transfected with GFP-tagged TIFA expression vector for 24 hours, and then infected with B. cenocepacia J2315 for 4 hours whole cell lysate (+).
Lane 3 : Rabbit monoclonal IgG (ab172730) instead of ab214815 in HEK-293T transfected with GFP-tagged TIFA expression vector for 24 hours, and then infected with B. cenocepacia J2315 for 4 hours whole cell lysate (-).

Blocking/Dilution buffer : 5% NFDM/TBST.
Exposure time : 3 minutes.

The lysates were kindly provided by our collaborator Dr Feng Shao's lab, NIBS.

All lanes:

Immunoprecipitation - Anti-TIFA (phospho T9) antibody [EPR19853] (ab214815)

Predicted band size: 21 kDa,43 kDa

Observed band size: 16 kDa,42 kDa,43 kDa

false

Western blot - Anti-TIFA (phospho T9) antibody [EPR19853] (AB214815)
  • WB

Collaborator

Western blot - Anti-TIFA (phospho T9) antibody [EPR19853] (AB214815)

Blocking/Dilution buffer : 5% milk/TBST.

The image was kindly provided by our collaborator Dr Feng Shao's lab, NIBS.

S. flexneri infection induces an innate immune response (PMID : 28222186).

All lanes:

Western blot - Anti-TIFA (phospho T9) antibody [EPR19853] (ab214815) at 1/1000 dilution

Lane 1:

HeLa (Human epithelial cell line from cervix adenocarcinoma) transfected with 3×Flag-tagged TIFA expression vector for 28 hours, whole cell lysate at 20 µg

Lane 2:

HeLa transfected with 3×Flag-tagged TIFA T9A mutant expression vector for 28 hours, whole cell lysate at 20 µg

Lane 3:

HeLa transfected with 3×Flag-tagged TIFA expression vector for 24 hours, and then infected with S. flexneri 2457T for 4 hours, whole cell lysate at 20 µg

Lane 4:

HeLa transfected with 3×Flag-tagged TIFAT9A mutant expression vector for 24 hours, and then infected with S. flexneri 2457T for 4 hours, whole cell lysate at 20 µg

Secondary

All lanes:

Goat Anti-Rabbit IgG, (H+L), Peroxidase conjugated at 1/5000 dilution

Predicted band size: 21 kDa

Observed band size: 26 kDa

false

Exposure time: 30s

Western blot - Anti-TIFA (phospho T9) antibody [EPR19853] (AB214815)
  • WB

Supplier Data

Western blot - Anti-TIFA (phospho T9) antibody [EPR19853] (AB214815)

Blocking/Dilution buffer : 5% NFDM/TBST.

The band observed represents GFP-tagged TIFA pT9.

The lysates were kindly provided by our collaborator Dr Feng Shao's lab, NIBS.

B. cenocepacia J2315 infection elicits an inflammatory response. (PMID : 27133449)

All lanes:

Western blot - Anti-TIFA (phospho T9) antibody [EPR19853] (ab214815) at 1/5000 dilution

Lane 1:

HEK-293T (human epithelial cell line from embryonic kidney transformed with large T antigen) transfected with GFP-tagged TIFA expression vector, whole cell lysate at 20 µg

Lane 2:

HEK-293T transfected with GFP-tagged TIFA expression vector for 24 hours, and then infected with B. cenocepacia J2315 for 4 hours, whole cell lysate at 20 µg

Secondary

All lanes:

Western blot - Goat Anti-Rabbit IgG H&L (HRP) (<a href='/en-us/products/secondary-antibodies/goat-rabbit-igg-h-l-hrp-ab97051'>ab97051</a>) at 1/100000 dilution

Predicted band size: 21 kDa

Observed band size: 47 kDa

false

Exposure time: 103s

Dot Blot - Anti-TIFA (phospho T9) antibody [EPR19853] (AB214815)
  • Dot

Supplier Data

Dot Blot - Anti-TIFA (phospho T9) antibody [EPR19853] (AB214815)

Dot blot analysis of TIFA (phospho T9) labeled with ab214815 at 1/1000 dilution.

Lane 1 : TIFA (phospho T9) peptide (aa3-12).

Lane 2 : TIFA (phospho T9) peptide (aa5-15).

Lane 3 : TIFA non-phospho peptide (aa3-15).

Secondary used was Goat Anti-Rabbit IgG, (H+L), Peroxidase conjugated (ab97051) at 1/100000 dilution.

Blocking/Dilution buffer : 5% NFDM/TBST.

Exposure time : 10 seconds.

  • Carrier free

    Anti-TIFA (phospho T9) antibody [EPR19853] - BSA and Azide free

Key facts

Host species

Rabbit

Clonality

Monoclonal

Clone number

EPR19853

Isotype

IgG

Carrier free

No

Reacts with

Human

Applications

Dot, IP, WB

applications

Immunogen

The exact immunogen used to generate this antibody is proprietary information.

Reactivity data

{ "title": "Reactivity Data", "filters": { "stats": ["", "Species", "Dilution Info", "Notes"], "tabs": { "all-applications": {"fullname" : "All Applications", "shortname": "All Applications"}, "IP" : {"fullname" : "Immunoprecipitation", "shortname":"IP"}, "Dot" : {"fullname" : "Dot Blot", "shortname":"Dot"}, "WB" : {"fullname" : "Western blot", "shortname":"WB"} }, "product-promise": { "all": "all", "testedAndGuaranteed": "tested", "guaranteed": "expected", "predicted": "predicted", "notRecommended": "not-recommended" } }, "values": { "Human": { "IP-species-checked": "testedAndGuaranteed", "IP-species-dilution-info": "1/30", "IP-species-notes": "<p></p>", "Dot-species-checked": "guaranteed", "Dot-species-dilution-info": "", "Dot-species-notes": "", "WB-species-checked": "testedAndGuaranteed", "WB-species-dilution-info": "1/1000", "WB-species-notes": "<p></p>" }, "Synthetic peptide": { "IP-species-checked": "notRecommended", "IP-species-dilution-info": "", "IP-species-notes": "", "Dot-species-checked": "testedAndGuaranteed", "Dot-species-dilution-info": "1/1000", "Dot-species-notes": "<p></p>", "WB-species-checked": "notRecommended", "WB-species-dilution-info": "", "WB-species-notes": "" } } }

Product details

Patented technology
Our RabMAb® technology is a patented hybridoma-based technology for making rabbit monoclonal antibodies. For details on our patents, please refer to RabMAb® patents.

What are the advantages of a recombinant monoclonal antibody?
This product is a recombinant monoclonal antibody, which offers several advantages including:

  • - High batch-to-batch consistency and reproducibility
  • - Improved sensitivity and specificity
  • - Long-term security of supply
  • - Animal-free batch production

For more information, read more on recombinant antibodies.

Properties and storage information

Form
Liquid
Purification technique
Affinity purification Protein A
Storage buffer
pH: 7.2 - 7.4 Preservative: 0.01% Sodium azide Constituents: PBS, 40% Glycerol (glycerin, glycerine), 0.05% BSA
Shipped at conditions
Blue Ice
Appropriate short-term storage duration
1-2 weeks
Appropriate short-term storage conditions
+4°C
Appropriate long-term storage conditions
-20°C
Aliquoting information
Upon delivery aliquot
Storage information
Avoid freeze / thaw cycle

Supplementary information

This supplementary information is collated from multiple sources and compiled automatically.

The TRAF-interacting protein with forkhead-associated domain (TIFA) also known as 55 kDa protein plays an important role in cellular signaling. It engages through interactions with TRAF2 and TRAF6 proteins which are involved in many cellular processes. TIFA has wide expression in several tissues including immune cells where it mediates immune responses. The protein localizes in the cytoplasm and its activities are often important in maintaining cellular homeostasis.
Biological function summary

TIFA acts as a mediator in various cellular responses by forming signaling complexes. It possesses a threonine-phosphorylation motif necessary for the formation of oligomeric structures which facilitates its interactions with other proteins. Through this TIFA participates in immune response and inflammation regulation contributing to cellular resilience against external stresses.

Pathways

TIFA is an important player in the NF-κB signaling and Toll-like receptor pathways. It regulates protein interactions within these pathways such as TRAF2 and TRAF6 that help propagate proinflammatory signals. The induction of TIFA in these pathways leads to the activation of downstream effectors which result in targeted immune responses.

TIFA functions have been linked with inflammatory disorders and type 1 diabetes. Dysregulation of TIFA may contribute to improper immune response leading to chronic inflammation seen in inflammatory conditions. It also interfaces with proteins like TRAF2 which are involved in metabolic disorders suggesting a role for TIFA in the pathogenesis of autoimmune diseases.

Product protocols

For this product, it's our understanding that no specific protocols are required. You can visit:

Target data

Adapter molecule that plays a key role in the activation of pro-inflammatory NF-kappa-B signaling following detection of bacterial pathogen-associated molecular pattern metabolites (PAMPs) (PubMed : 12566447, PubMed : 15492226, PubMed : 26068852, PubMed : 28222186, PubMed : 28877472, PubMed : 30111836). Promotes activation of an innate immune response by inducing the oligomerization and polyubiquitination of TRAF6, which leads to the activation of TAK1 and IKK through a proteasome-independent mechanism (PubMed : 15492226, PubMed : 26068852). TIFA-dependent innate immune response is triggered by ADP-D-glycero-beta-D-manno-heptose (ADP-Heptose), a potent PAMP present in all Gram-negative and some Gram-positive bacteria : ADP-Heptose is recognized by ALPK1, which phosphorylates TIFA at Thr-9, leading to TIFA homooligomerization and subsequent activation of pro-inflammatory NF-kappa-B signaling (PubMed : 30111836).
See full target information TIFA phospho T9

Publications (3)

Recent publications for all applications. Explore the full list and refine your search

iScience 28:111563 PubMed39868044

2025

IFN-γ licenses normal and pathogenic ALPK1/TIFA pathway in human monocytes.

Applications

Unspecified application

Species

Unspecified reactive species

Amandine Martin,Solène Caron,Mélissa Marcotte,Pauline Bronnec,Etienne Garneret,Nora Martel,Georgina Maalouf,Pascal Sève,David Saadoun,Yvan Jamilloux,Thomas Henry

Virulence 11:607-635 PubMed32420802

2020

TMT-based quantitative proteomics analysis reveals the attenuated replication mechanism of Newcastle disease virus caused by nuclear localization signal mutation in viral matrix protein.

Applications

Unspecified application

Species

Unspecified reactive species

Zhiqiang Duan,Chao Yuan,Yifan Han,Lei Zhou,Jiafu Zhao,Yong Ruan,Jiaqi Chen,Mengmeng Ni,Xinqin Ji

Nature 561:122-126 PubMed30111836

2018

Alpha-kinase 1 is a cytosolic innate immune receptor for bacterial ADP-heptose.

Applications

Unspecified application

Species

Unspecified reactive species

Ping Zhou,Yang She,Na Dong,Peng Li,Huabin He,Alessio Borio,Qingcui Wu,Shan Lu,Xiaojun Ding,Yong Cao,Yue Xu,Wenqing Gao,Mengqiu Dong,Jingjin Ding,Da-Cheng Wang,Alla Zamyatina,Feng Shao
View all publications

Product promise

We are committed to supporting your work with high-quality reagents, and we're here for you every step of the way. In the unlikely event that one of our products does not perform as expected, you're protected by our Product Promise.
For full details, please see our Terms & Conditions

Please note: All products are 'FOR RESEARCH USE ONLY. NOT FOR USE IN DIAGNOSTIC OR THERAPEUTIC PROCEDURES'.

For licensing inquiries, please contact partnerships@abcam.com