JavaScript is disabled in your browser. Please enable JavaScript to view this website.
AB189164

Anti-TIGAR antibody

Be the first to review this product! Submit a review

|

(4 Publications)

Rabbit Polyclonal TIGAR antibody. Suitable for IHC-P, WB and reacts with Human, Rat, Mouse samples. Cited in 4 publications. Immunogen corresponding to Synthetic Peptide within Human TIGAR aa 100-200.

View Alternative Names

C12orf5, TIGAR, TP53-induced glycolysis and apoptosis regulator, TP53-induced glycolysis regulatory phosphatase

2 Images
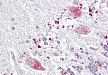
Immunohistochemistry (Formalin/PFA-fixed paraffin-embedded sections) - Anti-TIGAR antibody (AB189164)
  • IHC-P

Supplier Data

Immunohistochemistry (Formalin/PFA-fixed paraffin-embedded sections) - Anti-TIGAR antibody (AB189164)

Immunohistochemical analysis of formalin/PFA-fixed paraffin-embedded human brain cerebellum tissue sections labeling TIGAR using ab189164 at 10 μg/ml.

Western blot - Anti-TIGAR antibody (AB189164)
  • WB

Supplier Data

Western blot - Anti-TIGAR antibody (AB189164)

Lanes 1 - 2:

Western blot - Anti-TIGAR antibody (ab189164) at 1 µg/mL

Lane 3:

Western blot - Anti-TIGAR antibody (ab189164) at 4 µg/mL

Lane 4:

Western blot - Anti-TIGAR antibody (ab189164) at 2 µg/mL

Lane 1:

Human liver lysate

Lane 2:

Human liver lysate plus immunizing peptide

Lane 3:

Mouse liver lysate

Lane 4:

Rat liver lysate

Predicted band size: 30 kDa

false

Key facts

Host species

Rabbit

Clonality

Polyclonal

Isotype

IgG

Carrier free

No

Reacts with

Mouse, Rat, Human

Applications

WB, IHC-P

applications

Immunogen

Synthetic Peptide within Human TIGAR aa 100-200. The exact immunogen used to generate this antibody is proprietary information.

Q9NQ88

Reactivity data

{ "title": "Reactivity Data", "filters": { "stats": ["", "Species", "Dilution Info", "Notes"], "tabs": { "all-applications": {"fullname" : "All Applications", "shortname": "All Applications"}, "IHCP" : {"fullname" : "Immunohistochemistry (Formalin/PFA-fixed paraffin-embedded sections)", "shortname":"IHC-P"}, "WB" : {"fullname" : "Western blot", "shortname":"WB"} }, "product-promise": { "all": "all", "testedAndGuaranteed": "tested", "guaranteed": "expected", "predicted": "predicted", "notRecommended": "not-recommended" } }, "values": { "Human": { "IHCP-species-checked": "testedAndGuaranteed", "IHCP-species-dilution-info": "10 µg/mL", "IHCP-species-notes": "<p></p> Perform heat-mediated antigen retrieval before commencing with IHC staining protocol.", "WB-species-checked": "testedAndGuaranteed", "WB-species-dilution-info": "1-4 µg/mL", "WB-species-notes": "<p></p>" }, "Mouse": { "IHCP-species-checked": "predicted", "IHCP-species-dilution-info": "", "IHCP-species-notes": "", "WB-species-checked": "guaranteed", "WB-species-dilution-info": "1/1 - 1/4", "WB-species-notes": "<p></p>" }, "Rat": { "IHCP-species-checked": "guaranteed", "IHCP-species-dilution-info": "", "IHCP-species-notes": "", "WB-species-checked": "testedAndGuaranteed", "WB-species-dilution-info": "1-4 µg/mL", "WB-species-notes": "<p></p>" }, "Chimpanzee": { "IHCP-species-checked": "predicted", "IHCP-species-dilution-info": "", "IHCP-species-notes": "", "WB-species-checked": "predicted", "WB-species-dilution-info": "", "WB-species-notes": "" } } }

Properties and storage information

Form
Liquid
Purification technique
Affinity purification Protein G
Storage buffer
Preservative: 0.05% Sodium azide Constituents: PBS, 0.2% Gelatin
Shipped at conditions
Blue Ice
Appropriate short-term storage duration
1-2 weeks
Appropriate short-term storage conditions
+4°C
Appropriate long-term storage conditions
-20°C
Aliquoting information
Upon delivery aliquot
Storage information
Avoid freeze / thaw cycle

Supplementary information

This supplementary information is collated from multiple sources and compiled automatically.

TIGAR also known as TP53-Induced Glycolysis and Apoptosis Regulator is a protein involved in cellular metabolism. With a mass of approximately 28 kDa TIGAR regulates glycolysis by acting similarly to fructose-26-bisphosphatase. It is expressed predominantly in tissues with active cellular proliferation such as the brain and liver. TIGAR functions mechanically to inhibit the glycolytic flux by decreasing levels of fructose-26-bisphosphate which is important for various cellular activities.
Biological function summary

TIGAR plays a critical role in controlling the oxidative stress within cells. By lowering glycolytic rates it shifts cellular metabolism toward the pentose phosphate pathway boosting the production of NADPH and reducing reactive oxygen species (ROS). This protein does not form a part of a larger complex operating independently to exhibit its effects. It also influences cellular survival mechanisms by mitigating oxidative stress which is important for cell health.

Pathways

TIGAR is involved with both apoptosis and carbohydrate metabolism pathways where it acts to support cellular metabolism and survival. Within these pathways it interacts closely with the tumor suppressor protein p53 which regulates TIGAR expression. Another related protein is AMPK which also plays roles in energy balance and is influenced by changes in cellular metabolic status. TIGAR's actions help in cellular adaptation during metabolic stress maintaining energy homeostasis.

TIGAR is linked to cancer and neurodegenerative diseases. Its role in reducing oxidative stress makes it significant in cancer as elevated levels can sometimes promote cancer cell survival. Involvement with p53 is particularly notable as alterations in p53 pathways are common in various cancers. In neurodegenerative diseases such as Alzheimer's TIGAR's function in managing oxidative stress can affect neuronal survival. Dysregulation of related metabolic processes can contribute to disease progression highlighting the importance of TIGAR in these contexts.

Product protocols

For this product, it's our understanding that no specific protocols are required. You can visit:

Target data

Fructose-bisphosphatase hydrolyzing fructose-2,6-bisphosphate as well as fructose-1,6-bisphosphate (PubMed : 19015259). Acts as a negative regulator of glycolysis by lowering intracellular levels of fructose-2,6-bisphosphate in a p53/TP53-dependent manner, resulting in the pentose phosphate pathway (PPP) activation and NADPH production (PubMed : 16839880, PubMed : 22887998). Contributes to the generation of reduced glutathione to cause a decrease in intracellular reactive oxygen species (ROS) content, correlating with its ability to protect cells from oxidative or metabolic stress-induced cell death (PubMed : 16839880, PubMed : 19713938, PubMed : 22887998, PubMed : 23726973, PubMed : 23817040). Plays a role in promoting protection against cell death during hypoxia by decreasing mitochondria ROS levels in a HK2-dependent manner through a mechanism that is independent of its fructose-bisphosphatase activity (PubMed : 23185017). In response to cardiac damage stress, mediates p53-induced inhibition of myocyte mitophagy through ROS levels reduction and the subsequent inactivation of BNIP3. Reduced mitophagy results in an enhanced apoptotic myocyte cell death, and exacerbates cardiac damage (By similarity). Plays a role in adult intestinal regeneration; contributes to the growth, proliferation and survival of intestinal crypts following tissue ablation (PubMed : 23726973). Plays a neuroprotective role against ischemic brain damage by enhancing PPP flux and preserving mitochondria functions (By similarity). Protects glioma cells from hypoxia- and ROS-induced cell death by inhibiting glycolysis and activating mitochondrial energy metabolism and oxygen consumption in a TKTL1-dependent and p53/TP53-independent manner (PubMed : 22887998). Plays a role in cancer cell survival by promoting DNA repair through activating PPP flux in a CDK5-ATM-dependent signaling pathway during hypoxia and/or genome stress-induced DNA damage responses (PubMed : 25928429). Involved in intestinal tumor progression (PubMed : 23726973).
See full target information TIGAR

Publications (4)

Recent publications for all applications. Explore the full list and refine your search

American journal of translational research 17:1223-1236 PubMed40092124

2025

TIGAR alleviates cognitive impairment in rats with chronic cerebral hypoperfusion by suppressing oxidative stress and pyroptosis.

Applications

Unspecified application

Species

Unspecified reactive species

Jie Xiao,Min Wu,Hailong Li,Shufan Zhang,Jing Deng,Bihua Wu

Nature communications 15:4340 PubMed38773142

2024

Disruption of TIGAR-TAK1 alleviates immunopathology in a murine model of sepsis.

Applications

Unspecified application

Species

Unspecified reactive species

Dongdong Wang,Yanxia Li,Hao Yang,Xiaoqi Shen,Xiaolin Shi,Chenyu Li,Yongjing Zhang,Xiaoyu Liu,Bin Jiang,Xudong Zhu,Hanwen Zhang,Xiaoyu Li,Hui Bai,Qing Yang,Wei Gao,Fang Bai,Yong Ji,Qi Chen,Jingjing Ben

BMC complementary medicine and therapies 22:188 PubMed35840932

2022

Ginsenoside Rg3 induces apoptosis and inhibits proliferation by down-regulating TIGAR in rats with gastric precancerous lesions.

Applications

Unspecified application

Species

Unspecified reactive species

Shangbin Lv,Xiaodong Chen,Yu Chen,Daoyin Gong,Gang Mao,Caifei Shen,Ting Xia,Jing Cheng,Zhaoliang Luo,Yu Cheng,Weihong Li,Jinhao Zeng

Stem cells (Dayton, Ohio) 37:937-947 PubMed30977208

2019

p53-TP53-Induced Glycolysis Regulator Mediated Glycolytic Suppression Attenuates DNA Damage and Genomic Instability in Fanconi Anemia Hematopoietic Stem Cells.

Applications

Unspecified application

Species

Unspecified reactive species

Xue Li,Limei Wu,Morgan Zopp,Shaina Kopelov,Wei Du
View all publications

Product promise

We are committed to supporting your work with high-quality reagents, and we're here for you every step of the way. In the unlikely event that one of our products does not perform as expected, you're protected by our Product Promise.
For full details, please see our Terms & Conditions

Please note: All products are 'FOR RESEARCH USE ONLY. NOT FOR USE IN DIAGNOSTIC OR THERAPEUTIC PROCEDURES'.

For licensing inquiries, please contact partnerships@abcam.com