JavaScript is disabled in your browser. Please enable JavaScript to view this website.
AB289565

Anti-TIGIT antibody [2C7] - BSA and Azide free

Be the first to review this product! Submit a review

|

(0 Publication)

Llama Recombinant Monoclonal TIGIT antibody. Carrier free. Suitable for IHC-P and reacts with Human samples. Immunogen corresponding to Recombinant Fragment Protein within Human TIGIT aa 1-150.

View Alternative Names

VSIG9, VSTM3, TIGIT, T-cell immunoreceptor with Ig and ITIM domains, V-set and immunoglobulin domain-containing protein 9, V-set and transmembrane domain-containing protein 3

1 Images
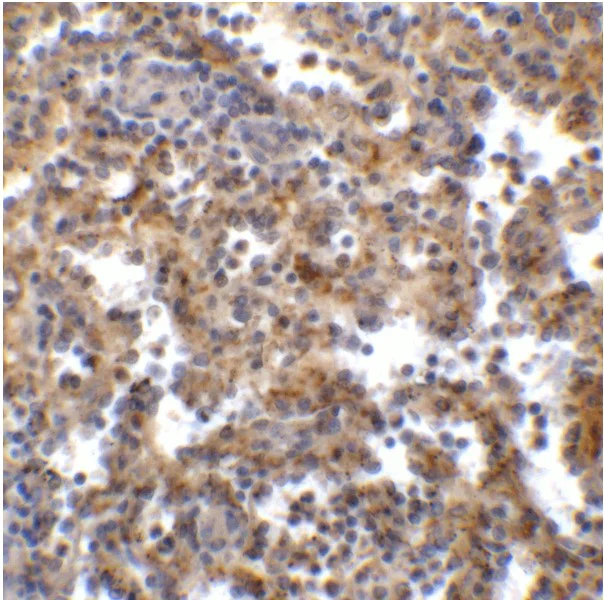
Immunohistochemistry (Formalin/PFA-fixed paraffin-embedded sections) - Anti-TIGIT antibody [2C7] - BSA and Azide free (AB289565)
  • IHC-P

Supplier Data

Immunohistochemistry (Formalin/PFA-fixed paraffin-embedded sections) - Anti-TIGIT antibody [2C7] - BSA and Azide free (AB289565)

Immunohistochemical analysis of TIGIT in human spleen tissue, using ab289565 at 1 μg/mL. Positive cytoplasmic staining for human TIGIT.

Key facts

Host species

Llama

Clonality

Monoclonal

Clone number

2C7

Carrier free

Yes

Reacts with

Human

Applications

IHC-P

applications

Immunogen

Recombinant Fragment Protein within Human TIGIT aa 1-150. The exact immunogen used to generate this antibody is proprietary information.

Q495A1

Reactivity data

{ "title": "Reactivity Data", "filters": { "stats": ["", "Species", "Dilution Info", "Notes"], "tabs": { "all-applications": {"fullname" : "All Applications", "shortname": "All Applications"}, "IHCP" : {"fullname" : "Immunohistochemistry (Formalin/PFA-fixed paraffin-embedded sections)", "shortname":"IHC-P"} }, "product-promise": { "all": "all", "testedAndGuaranteed": "tested", "guaranteed": "expected", "predicted": "predicted", "notRecommended": "not-recommended" } }, "values": { "Human": { "IHCP-species-checked": "testedAndGuaranteed", "IHCP-species-dilution-info": "1 µg/mL", "IHCP-species-notes": "<p></p>" } } }

Product details

What are the advantages of a recombinant monoclonal antibody?
This product is a recombinant monoclonal antibody, which offers several advantages including:

  • - High batch-to-batch consistency and reproducibility
  • - Improved sensitivity and specificity
  • - Long-term security of supply
  • - Animal-free batch production

For more information, read more on recombinant antibodies.

Properties and storage information

Form
Liquid
Purification technique
Affinity purification
Purification notes
Purified using Nickel column
Storage buffer
Constituents: 98% Water, 1.636% Sodium chloride, 0.142% Disodium hydrogenorthophosphate, 0.138% Sodium dihydrogen phosphate
Shipped at conditions
Blue Ice
Appropriate short-term storage duration
1-2 weeks
Appropriate short-term storage conditions
+4°C
Appropriate long-term storage conditions
-20°C
Aliquoting information
Upon delivery aliquot
Storage information
Avoid freeze / thaw cycle

Supplementary information

This supplementary information is collated from multiple sources and compiled automatically.

TIGIT also known as T cell immunoreceptor with Ig and ITIM domains is an immunoglobulin superfamily receptor. It weighs approximately 26 kDa. TIGIT commonly expresses on T cells especially on regulatory T cells (Tregs) and effector memory T cells. It also presents on natural killer (NK) cells. Among its alternate forms some notable ones also include the anti-TIGIT and biotinylated TIGIT antibodies used in experimental research to monitor immune responses.
Biological function summary

TIGIT acts as an inhibitory receptor modulating immune responses. It belongs to the CD28 family and binds to poliovirus receptor (PVR) and nectin-2 on antigen-presenting cells. This interaction inhibits T cell activation and proliferation and increases Treg cell activity maintaining immune homeostasis. TIGIT forms a complex with other inhibitory receptors like PD-1 2B4 and CD96 to further regulate immune functions.

Pathways

The interaction of TIGIT with its ligands significantly affects the immune checkpoint pathway. This involvement regulates T cell and NK cell activity. TIGIT is related to CD226 (DNAM-1) which competes for binding to its ligands influencing cellular signaling pathways. Through these pathways TIGIT signals through the downstream SHP-1 and SHP-2 proteins affecting immune cell signaling and response.

TIGIT has implications in cancer and autoimmune diseases. Its inhibitory function can allow tumor progression by dampening effective anti-tumor immunity. In cancer TIGIT’s activity often pairs with PD-1 both contributing to immune checkpoint blockade resistance necessary for tumor evasion. In autoimmune diseases increased TIGIT expression could result in reduced immune cell attack against self tissues showing its potential to modulate treatment strategies.

Product protocols

For this product, it's our understanding that no specific protocols are required. You can visit:

Target data

Inhibitory receptor that plays a role in the modulation of immune responses. Suppresses T-cell activation by promoting the generation of mature immunoregulatory dendritic cells (PubMed : 19011627). Upon binding to its ligands PVR/CD155 or NECTIN2/CD112, which are expressed on antigen-presenting cells, sends inhibitory signals to the T-cell or NK cell. Mechanistically, interaction with ligand leads to phosphorylation of the cytoplasmic tail by Src family tyrosine kinases such as FYN or LCK, allowing subsequent binding to adapter GRB2 and SHIP1/INPP5D. In turn, inhibits PI3K and MAPK signaling cascades (PubMed : 23154388). In addition, associates with beta-arrestin-2/ARRB2 to recruit SHIP1/INPP5D that suppresses autoubiquitination of TRAF6 and subsequently inhibits NF-kappa-B signaling pathway (PubMed : 24817116). Acts also as a receptor for NECTIN4 to inhibit NK cell cytotoxicity (PubMed : 32503945).
See full target information TIGIT

Product promise

We are committed to supporting your work with high-quality reagents, and we're here for you every step of the way. In the unlikely event that one of our products does not perform as expected, you're protected by our Product Promise.
For full details, please see our Terms & Conditions

Please note: All products are 'FOR RESEARCH USE ONLY. NOT FOR USE IN DIAGNOSTIC OR THERAPEUTIC PROCEDURES'.

For licensing inquiries, please contact partnerships@abcam.com