JavaScript is disabled in your browser. Please enable JavaScript to view this website.
AB243903

Anti-TIGIT antibody [BLR047F] - BSA free

4

(7 Reviews)

|

(37 Publications)

Anti-TIGIT antibody [BLR047F] - BSA free (ab243903) is a rabbit monoclonal antibody detecting TIGIT in Western Blot, IHC-P. Suitable for Human.

- BSA free for higher signal-to noise ratio
- Recombinant format for unrivalled batch-batch consistency
- Over 20 publications

View Alternative Names

VSIG9, VSTM3, TIGIT, T-cell immunoreceptor with Ig and ITIM domains, V-set and immunoglobulin domain-containing protein 9, V-set and transmembrane domain-containing protein 3

4 Images
Immunohistochemistry (Formalin/PFA-fixed paraffin-embedded sections) - Anti-TIGIT antibody [BLR047F] - BSA free (AB243903)
  • IHC-P

Supplier Data

Immunohistochemistry (Formalin/PFA-fixed paraffin-embedded sections) - Anti-TIGIT antibody [BLR047F] - BSA free (AB243903)

Immunohistochemical analysis of Formalin/PFA-fixed paraffin-embedded human tonsil tissue sections labeling TIGIT with ab243903 at 1/250 (red). HRP-conjugated goat anti-rabbit IgG was used as secondary antibody. Counterstain : DAPI (blue).

Immunohistochemistry (Formalin/PFA-fixed paraffin-embedded sections) - Anti-TIGIT antibody [BLR047F] - BSA free (AB243903)
  • IHC-P

Unknown

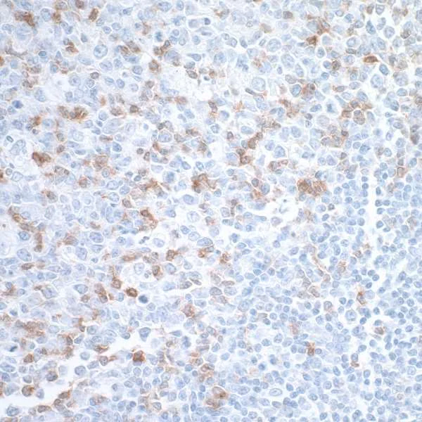
Immunohistochemistry (Formalin/PFA-fixed paraffin-embedded sections) - Anti-TIGIT antibody [BLR047F] - BSA free (AB243903)

Formalin-fixed, paraffin-embedded human tonsil tissue stained for TIGIT using ab243903 at 1/200 dilution in immunohistochemical analysis. A HRP-conjugated goat anti-rabbit antibody was used as the secondary. DAB staining.

Immunohistochemistry (Formalin/PFA-fixed paraffin-embedded sections) - Anti-TIGIT antibody [BLR047F] - BSA free (AB243903)
  • IHC-P

Supplier Data

Immunohistochemistry (Formalin/PFA-fixed paraffin-embedded sections) - Anti-TIGIT antibody [BLR047F] - BSA free (AB243903)

Immunohistochemical analysis of Formalin/PFA-fixed paraffin-embedded human tonsil tissue sections labeling TIGIT with ab243903 (red). Dylight 594 conjugated goat-anti-rabbit IgG was used as secondary antibody. Counterstain : DAPI (blue).

Western blot - Anti-TIGIT antibody [BLR047F] - BSA free (AB243903)
  • WB

Unknown

Western blot - Anti-TIGIT antibody [BLR047F] - BSA free (AB243903)

Western blot analysis using ab243903 at 1/1000 dilution.

Lane 1 : HeLa cell whole cell lysate (50 μg).

Lane 2 : HEK-293T cell whole cell lysate (50 μg).

Lane 3 : MyLa CD4+ whole cell lysate (50 μg).

Lane 4 : HepG2 whole cell lysate (50 μg).

Lane 5 : MG whole cell lysate (50 μg).

Lane 6 : Jurkat whole cell lysate (50 μg).

Lane 7 : GaMG whole cell lysate (50 μg).

Lane 8 : A549 whole cell lysate (50 μg).

A HRP-conjugated goat anti-rabbit IgG antibody was used as the secondary. Detection : chemiluminescence with an exposure time of 3 minutes.

All lanes:

Western blot - Anti-TIGIT antibody [BLR047F] - BSA free (ab243903)

Predicted band size: 26 kDa

false

Key facts

Host species

Rabbit

Clonality

Monoclonal

Clone number

BLR047F

Isotype

IgG

Carrier free

No

Reacts with

Human

Applications

IHC-P, WB

applications

Immunogen

Synthetic Peptide within Human TIGIT aa 150 to C-terminus. The exact immunogen used to generate this antibody is proprietary information.

Q495A1

Reactivity data

{ "title": "Reactivity Data", "filters": { "stats": ["", "Species", "Dilution Info", "Notes"], "tabs": { "all-applications": {"fullname" : "All Applications", "shortname": "All Applications"}, "IHCP" : {"fullname" : "Immunohistochemistry (Formalin/PFA-fixed paraffin-embedded sections)", "shortname":"IHC-P"}, "WB" : {"fullname" : "Western blot", "shortname":"WB"} }, "product-promise": { "all": "all", "testedAndGuaranteed": "tested", "guaranteed": "expected", "predicted": "predicted", "notRecommended": "not-recommended" } }, "values": { "Human": { "IHCP-species-checked": "testedAndGuaranteed", "IHCP-species-dilution-info": "1/100 - 1/500", "IHCP-species-notes": "<p></p>", "WB-species-checked": "testedAndGuaranteed", "WB-species-dilution-info": "1/1000", "WB-species-notes": "<p></p>" } } }

Product details

What is this antibody validated in?
Anti-TIGIT antibody [BLR047F] - BSA free (ab243903) is a rabbit recombinant monoclonal antibody and is validated for use in Western Blot (WB), Immunohistochemistry (IHC-P) in Human samples.

Trusted by the scientific community
Anti-TIGIT [BLR047F] - BSA free (ab243903) was first used in a scientific publication in 2018 and has been cited over 20 times in peer-reviewed journals.

Reviewed by scientists
Anti-TIGIT [BLR047F] - BSA free (ab243903) has over 5 independent reviews from customers.

Trial sizes available!
Test your antibody or perform pre-screening before committing to a larger quantity. Sold in 10µl. Discover our selection of trial-size antibodies.

Other related products
We have a range of other formats of antibody clone [BLR047F] also available for your convenience: ab243903, ab290966

REACH authorisation
Abcam has not and does not intend to apply for the REACH Authorisation of customers' uses of products that contain European Authorisation list (Annex XIV) substances.
It is the responsibility of our customers to check the necessity of application of REACH Authorisation, and any other relevant authorisations, for their intended uses.

This product is sold under License from Bethyl Laboratories, Inc.

Properties and storage information

Form
Liquid
Purification notes
Recombinant antibody was purified from cell culture supernatant.
Storage buffer
pH: 7.8 - 8.6 Preservative: 0.09% Sodium azide Constituents: 99% Borate buffered saline
Shipped at conditions
Blue Ice
Appropriate short-term storage duration
1-2 weeks
Appropriate short-term storage conditions
+4°C
Appropriate long-term storage conditions
+4°C
Aliquoting information
Upon delivery aliquot
Storage information
Avoid freeze / thaw cycle

Supplementary information

This supplementary information is collated from multiple sources and compiled automatically.

TIGIT also known as T cell immunoreceptor with Ig and ITIM domains is an immunoglobulin superfamily receptor. It weighs approximately 26 kDa. TIGIT commonly expresses on T cells especially on regulatory T cells (Tregs) and effector memory T cells. It also presents on natural killer (NK) cells. Among its alternate forms some notable ones also include the anti-TIGIT and biotinylated TIGIT antibodies used in experimental research to monitor immune responses.
Biological function summary

TIGIT acts as an inhibitory receptor modulating immune responses. It belongs to the CD28 family and binds to poliovirus receptor (PVR) and nectin-2 on antigen-presenting cells. This interaction inhibits T cell activation and proliferation and increases Treg cell activity maintaining immune homeostasis. TIGIT forms a complex with other inhibitory receptors like PD-1 2B4 and CD96 to further regulate immune functions.

Pathways

The interaction of TIGIT with its ligands significantly affects the immune checkpoint pathway. This involvement regulates T cell and NK cell activity. TIGIT is related to CD226 (DNAM-1) which competes for binding to its ligands influencing cellular signaling pathways. Through these pathways TIGIT signals through the downstream SHP-1 and SHP-2 proteins affecting immune cell signaling and response.

TIGIT has implications in cancer and autoimmune diseases. Its inhibitory function can allow tumor progression by dampening effective anti-tumor immunity. In cancer TIGIT's activity often pairs with PD-1 both contributing to immune checkpoint blockade resistance necessary for tumor evasion. In autoimmune diseases increased TIGIT expression could result in reduced immune cell attack against self tissues showing its potential to modulate treatment strategies.

Product protocols

For this product, it's our understanding that no specific protocols are required. You can visit:

Target data

Inhibitory receptor that plays a role in the modulation of immune responses. Suppresses T-cell activation by promoting the generation of mature immunoregulatory dendritic cells (PubMed : 19011627). Upon binding to its ligands PVR/CD155 or NECTIN2/CD112, which are expressed on antigen-presenting cells, sends inhibitory signals to the T-cell or NK cell. Mechanistically, interaction with ligand leads to phosphorylation of the cytoplasmic tail by Src family tyrosine kinases such as FYN or LCK, allowing subsequent binding to adapter GRB2 and SHIP1/INPP5D. In turn, inhibits PI3K and MAPK signaling cascades (PubMed : 23154388). In addition, associates with beta-arrestin-2/ARRB2 to recruit SHIP1/INPP5D that suppresses autoubiquitination of TRAF6 and subsequently inhibits NF-kappa-B signaling pathway (PubMed : 24817116). Acts also as a receptor for NECTIN4 to inhibit NK cell cytotoxicity (PubMed : 32503945).
See full target information TIGIT

Publications (37)

Recent publications for all applications. Explore the full list and refine your search

Frontiers in immunology 16:1596434 PubMed40771810

2025

Pygo2+ T cells possess immunosuppressive features and inferior immunotherapeutic response in gastric cancer.

Applications

Unspecified application

Species

Unspecified reactive species

Weilong Chang,Huifang Yan,Yawei Zhang,Zibo Sang,Bei Bu,Rui Deng,Kaibo Li,Jiajing Li,Yang Fu,Jinyuan Cui

Journal for immunotherapy of cancer 13: PubMed40744660

2025

MIAT promotes tumor-infiltrating CD8 T-cell exhaustion and malignant progression of renal cell carcinoma via activating JAK3/STAT3 pathway.

Applications

Unspecified application

Species

Unspecified reactive species

Ming-Xiao Zhang,Lan-Yu Jing,Hao-Tian Tan,Zi-Ran Dai,Da-Zhi Long,Han-Chao Liu,An-Ze Yu,Bin Wang,Zi-Yin Chen,Jun-Hang Luo,Zhen-Hua Chen,Jian-Feng Wang

Neuro-oncology advances 7:vdaf099 PubMed40703802

2025

Dual targeting of / and / immune checkpoints potentiates NK cell-mediated cytotoxicity in medulloblastoma.

Applications

Unspecified application

Species

Unspecified reactive species

Matthijs Monnikhof,Michael Y Schakelaar,Chris Meulenbroeks,Matthias Quist,Alicia Perzolli,Aimee Selten,Celeste J M Koster,Daniëlle S C Maassen,Alba Montoro Canelo,Maureen Fredriks,Myrthe J A Koppers,Kim Clevers,Julia Klein,Vela Kaludjerovic,Jan Meeldijk,Emma W Pijnappel,Heggert G Rebel,Sven van Kempen,Sandra Crnko,Thijs Koorman,Aniello Federico,Francesco Valzano,Pieter Wesseling,Friso G J Calkoen,Jasper van der Lugt,Toine Ten Broeke,Marcel Kool,Niels Bovenschen

International journal of molecular sciences 26: PubMed40565313

2025

Immune-Checkpoint Expression in Breast Cancer Patients: Clinicopathological Implications: A Retrospective Case Series Study.

Applications

Unspecified application

Species

Unspecified reactive species

Angel Quiroz-Bolaños,Antonio Quintero-Ramos,Juliana Marisol Godínez-Rubí,Ramon Franco-Topete,Porfirio Gutiérrez González,Bricia M Gutiérrez-Zepeda,Denisse S Becerra-Loaiza,Antonio Topete,Cesar de Loera-Rodriguez,Alicia Del Toro-Arreola,Adrián Daneri-Navarro

Cell reports. Medicine 6:102024 PubMed40107247

2025

Immune-featured stromal niches associate with response to neoadjuvant immunotherapy in oral squamous cell carcinoma.

Applications

Unspecified application

Species

Unspecified reactive species

Yu-Tong Liu,Hai-Ming Liu,Jian-Gang Ren,Wei Zhang,Xin-Xin Wang,Zi-Li Yu,Qiu-Yun Fu,Xue-Peng Xiong,Jun Jia,Bing Liu,Gang Chen

Cell reports. Medicine 6:101934 PubMed39909044

2025

Spatially resolved transcriptomics reveal the determinants of primary resistance to immunotherapy in NSCLC with mature tertiary lymphoid structures.

Applications

Unspecified application

Species

Unspecified reactive species

Florent Peyraud,Jean-Philippe Guégan,Christophe Rey,Oren Lara,Ophélie Odin,Marie Del Castillo,Lucile Vanhersecke,Jean-Michel Coindre,Emma Clot,Maxime Brunet,Thomas Grellety,Angélique Tasseel,Sylvestre Le Moulec,Robert J Johnston,Alban Bessede,Antoine Italiano

Cell reports. Medicine 6:101930 PubMed39889711

2025

Neoadjuvant immunotherapy with or without chemotherapy in locally advanced oral squamous cell carcinoma: Randomized, two-arm, phase 2 trial.

Applications

Unspecified application

Species

Unspecified reactive species

Hai-Ming Liu,Xue-Peng Xiong,Zi-Li Yu,Zhe Shao,Gai-Li Chen,Yu-Tong Liu,Xin-Xin Wang,Qiu-Yun Fu,Xiao-Xia Cheng,Jing Li,Jia-Li Zhang,Bo Li,Hong-Yun Gong,Ya-Hua Zhong,Wei Zhang,Jun Jia,Bing Liu,Gang Chen

Cancer medicine 13:e70459 PubMed39659057

2024

Effective Antiviral Therapy Improves Immunosuppressive Activities in the Immune Microenvironment of Hepatocellular Carcinoma by Alleviating Inflammation and Fibrosis.

Applications

Unspecified application

Species

Unspecified reactive species

Zhu-Tao Wang,Ruo-Yu Guan,Wei Gan,Zhang-Fu Yang,Bao-Ye Sun,Jing-Fang Wu,Dai Zhang,Guo-Qiang Sun,Xu-Kang Gao,Jin-Long Huang,Gao Liu,Cheng Zhou,Jian Zhou,Jia Fan,Yong Yi,Bo Hu,Shuang-Jian Qiu

Frontiers in immunology 15:1430163 PubMed39474422

2024

Single-cell and spatial transcriptome characterize coinhibitory cell-cell communications during histological progression of lung adenocarcinoma.

Applications

Unspecified application

Species

Unspecified reactive species

Judong Luo,Qianman Gao,Meihua Wang,Hui Liu,Hong Zhu

Life (Basel, Switzerland) 14: PubMed39459546

2024

Bojungikki-Tang Augments Pembrolizumab Efficacy in Human PBMC-Injected H460 Tumor-Bearing Mice.

Applications

Unspecified application

Species

Unspecified reactive species

Se Won Na,Jin-Mu Yi,Heerim Yeo,Sang-Min Park,Mibae Jeong,Jaemoo Chun,Mi-Kyung Jeong
View all publications

Product promise

We are committed to supporting your work with high-quality reagents, and we're here for you every step of the way. In the unlikely event that one of our products does not perform as expected, you're protected by our Product Promise.
For full details, please see our Terms & Conditions

Please note: All products are 'FOR RESEARCH USE ONLY. NOT FOR USE IN DIAGNOSTIC OR THERAPEUTIC PROCEDURES'.

For licensing inquiries, please contact partnerships@abcam.com