JavaScript is disabled in your browser. Please enable JavaScript to view this website.
AB300073

Anti-TIGIT antibody [EPR26037-152]

Be the first to review this product! Submit a review

|

(0 Publication)

Rabbit Recombinant Monoclonal TIGIT antibody. Suitable for IHC-P and reacts with Transfected cell line - Mouse, Mouse, Rat samples.

View Alternative Names

Vstm3, Tigit, T-cell immunoreceptor with Ig and ITIM domains, V-set and transmembrane domain-containing protein 3

4 Images
Immunohistochemistry (Formalin/PFA-fixed paraffin-embedded sections) - Anti-TIGIT antibody [EPR26037-152] (AB300073)
  • IHC-P

Supplier Data

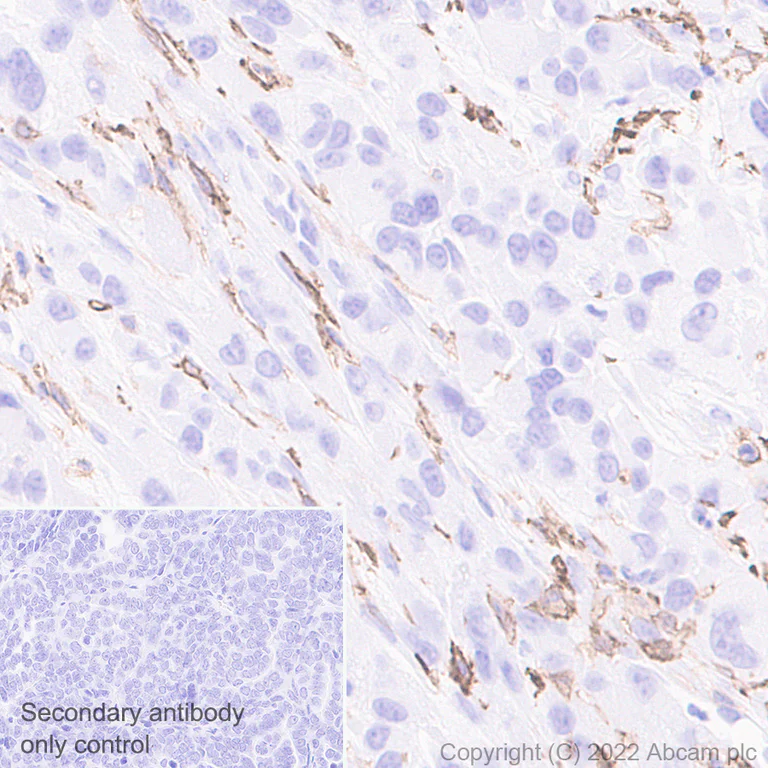
Immunohistochemistry (Formalin/PFA-fixed paraffin-embedded sections) - Anti-TIGIT antibody [EPR26037-152] (AB300073)

Immunohistochemical analysis of paraffin-embedded Mouse pancreas cancer tissue labelling TIGIT with ab300073 at 1/500 (1.064 μg/ml) followed by a ready to use Goat Anti-Rabbit IgG H&L (HRP polymer). Positive staining on mouse pancreas cancer. The section was incubated with ab300073 at 4°C overnight. Counterstained with Hematoxylin.

Secondary antibody only control : Secondary antibody is a ready to use Goat Anti-Rabbit IgG H&L (HRP polymer).

Heat mediated antigen retrieval with Tris-EDTA buffer (pH 9.0, epitope retrieval solution 2) for 20 mins

Immunohistochemistry (Formalin/PFA-fixed paraffin-embedded sections) - Anti-TIGIT antibody [EPR26037-152] (AB300073)
  • IHC-P

Supplier Data

Immunohistochemistry (Formalin/PFA-fixed paraffin-embedded sections) - Anti-TIGIT antibody [EPR26037-152] (AB300073)

Immunohistochemical analysis of paraffin-embedded HEK-293T cells transfected tissue, labelling TIGIT with ab300073 at 1/500 (1.064 μg/ml) followed by a ready to use Goat Anti-Rabbit IgG H&L (HRP polymer). Positive staining on HEK-293T cells transfected with a mouse TIGIT expression vector containing a myc-His tag (image A). No staining on 293T transfected with an empty vector (image B). The section was incubated with ab300073 at 4°C overnight. Counterstained with Hematoxylin.

Secondary antibody only control : Secondary antibody is a ready to use Goat Anti-Rabbit IgG H&L (HRP polymer).

Heat mediated antigen retrieval with Tris-EDTA buffer (pH 9.0, epitope retrieval solution 2) for 20 mins

Immunohistochemistry (Formalin/PFA-fixed paraffin-embedded sections) - Anti-TIGIT antibody [EPR26037-152] (AB300073)
  • IHC-P

Supplier Data

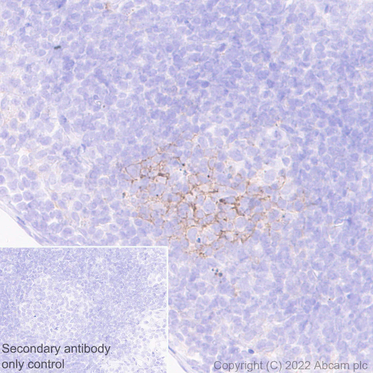
Immunohistochemistry (Formalin/PFA-fixed paraffin-embedded sections) - Anti-TIGIT antibody [EPR26037-152] (AB300073)

Immunohistochemical analysis of paraffin-embedded Mouse lymph node tissue labelling TIGIT with ab300073 at 1/500 (1.064 μg/ml) followed by a ready to use Goat Anti-Rabbit IgG H&L (HRP polymer). Positive staining on mouse lymph node. The section was incubated with ab300073 at 4°C overnight. Counterstained with Hematoxylin.

Secondary antibody only control : Secondary antibody is a ready to use Goat Anti-Rabbit IgG H&L (HRP polymer).

Heat mediated antigen retrieval with Tris-EDTA buffer (pH 9.0, epitope retrieval solution 2) for 20 mins

Immunohistochemistry (Formalin/PFA-fixed paraffin-embedded sections) - Anti-TIGIT antibody [EPR26037-152] (AB300073)
  • IHC-P

Supplier Data

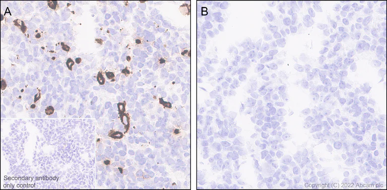
Immunohistochemistry (Formalin/PFA-fixed paraffin-embedded sections) - Anti-TIGIT antibody [EPR26037-152] (AB300073)

Immunohistochemical analysis of paraffin-embedded Rat lymph node tissue labelling TIGIT with ab300073 at 1/500 (1.064 μg/ml) followed by a ready to use Goat Anti-Rabbit IgG H&L (HRP polymer). Positive staining on rat lymph node. The section was incubated with ab300073 at 4°C overnight. Counterstained with Hematoxylin.

Secondary antibody only control : Secondary antibody is a ready to use Goat Anti-Rabbit IgG H&L (HRP polymer).

Heat mediated antigen retrieval with Tris-EDTA buffer (pH 9.0, epitope retrieval solution 2) for 20 mins

Key facts

Host species

Rabbit

Clonality

Monoclonal

Clone number

EPR26037-152

Isotype

IgG

Carrier free

No

Reacts with

Rat, Mouse

Applications

IHC-P

applications

Immunogen

The exact immunogen used to generate this antibody is proprietary information.

Reactivity data

{ "title": "Reactivity Data", "filters": { "stats": ["", "Species", "Dilution Info", "Notes"], "tabs": { "all-applications": {"fullname" : "All Applications", "shortname": "All Applications"}, "WB" : {"fullname" : "Western blot", "shortname":"WB"}, "ICCIF" : {"fullname" : "Immunocytochemistry/ Immunofluorescence", "shortname":"ICC/IF"}, "IHCP" : {"fullname" : "Immunohistochemistry (Formalin/PFA-fixed paraffin-embedded sections)", "shortname":"IHC-P"}, "FlowCyt" : {"fullname" : "Flow Cytometry", "shortname":"Flow Cyt"}, "IP" : {"fullname" : "Immunoprecipitation", "shortname":"IP"} }, "product-promise": { "all": "all", "testedAndGuaranteed": "tested", "guaranteed": "expected", "predicted": "predicted", "notRecommended": "not-recommended" } }, "values": { "Human": { "WB-species-checked": "notRecommended", "WB-species-dilution-info": "", "WB-species-notes": "", "ICCIF-species-checked": "notRecommended", "ICCIF-species-dilution-info": "", "ICCIF-species-notes": "", "IHCP-species-checked": "notRecommended", "IHCP-species-dilution-info": "1/500", "IHCP-species-notes": "<p></p> Perform heat-mediated antigen retrieval with Tris/EDTA buffer pH 9.0 before commencing with IHC staining protocol.", "FlowCyt-species-checked": "notRecommended", "FlowCyt-species-dilution-info": "", "FlowCyt-species-notes": "", "IP-species-checked": "notRecommended", "IP-species-dilution-info": "", "IP-species-notes": "" }, "Mouse": { "WB-species-checked": "notRecommended", "WB-species-dilution-info": "", "WB-species-notes": "<p></p>", "ICCIF-species-checked": "notRecommended", "ICCIF-species-dilution-info": "", "ICCIF-species-notes": "<p></p>", "IHCP-species-checked": "testedAndGuaranteed", "IHCP-species-dilution-info": "1/500", "IHCP-species-notes": "<p></p> Perform heat-mediated antigen retrieval with Tris/EDTA buffer pH 9.0 before commencing with IHC staining protocol.", "FlowCyt-species-checked": "notRecommended", "FlowCyt-species-dilution-info": "", "FlowCyt-species-notes": "<p></p>", "IP-species-checked": "notRecommended", "IP-species-dilution-info": "", "IP-species-notes": "<p></p>" }, "Rat": { "WB-species-checked": "notRecommended", "WB-species-dilution-info": "", "WB-species-notes": "<p></p>", "ICCIF-species-checked": "notRecommended", "ICCIF-species-dilution-info": "", "ICCIF-species-notes": "<p></p>", "IHCP-species-checked": "testedAndGuaranteed", "IHCP-species-dilution-info": "1/500", "IHCP-species-notes": "<p></p> Perform heat-mediated antigen retrieval with Tris/EDTA buffer pH 9.0 before commencing with IHC staining protocol.", "FlowCyt-species-checked": "notRecommended", "FlowCyt-species-dilution-info": "", "FlowCyt-species-notes": "<p></p>", "IP-species-checked": "notRecommended", "IP-species-dilution-info": "", "IP-species-notes": "<p></p>" }, "Transfected cell line - Mouse": { "WB-species-checked": "notRecommended", "WB-species-dilution-info": "", "WB-species-notes": "", "ICCIF-species-checked": "notRecommended", "ICCIF-species-dilution-info": "", "ICCIF-species-notes": "", "IHCP-species-checked": "testedAndGuaranteed", "IHCP-species-dilution-info": "1/500", "IHCP-species-notes": "<p></p> Perform heat-mediated antigen retrieval with Tris/EDTA buffer pH 9.0 before commencing with IHC staining protocol.", "FlowCyt-species-checked": "notRecommended", "FlowCyt-species-dilution-info": "", "FlowCyt-species-notes": "", "IP-species-checked": "notRecommended", "IP-species-dilution-info": "", "IP-species-notes": "" } } }

You may be interested in:

AB314599

Human TIGIT ELISA Kit - Extracellular

0

0 Reviews

View product

We recommend this product because it’s often used in the same experiment or related research.

We advise that you always check the datasheet to ensure it fits your experiments, or contact ourtechnical teamfor help.

Properties and storage information

Form
Liquid
Purification technique
Affinity purification Protein A
Storage buffer
pH: 7.2 - 7.4 Preservative: 0.01% Sodium azide Constituents: PBS, 40% Glycerol (glycerin, glycerine), 0.05% BSA
Shipped at conditions
Blue Ice
Appropriate short-term storage duration
1-2 weeks
Appropriate short-term storage conditions
+4°C
Appropriate long-term storage conditions
-20°C
Aliquoting information
Upon delivery aliquot
Storage information
Avoid freeze / thaw cycle

Supplementary information

This supplementary information is collated from multiple sources and compiled automatically.

TIGIT also known as T cell immunoreceptor with Ig and ITIM domains is an immunoglobulin superfamily receptor. It weighs approximately 26 kDa. TIGIT commonly expresses on T cells especially on regulatory T cells (Tregs) and effector memory T cells. It also presents on natural killer (NK) cells. Among its alternate forms some notable ones also include the anti-TIGIT and biotinylated TIGIT antibodies used in experimental research to monitor immune responses.
Biological function summary

TIGIT acts as an inhibitory receptor modulating immune responses. It belongs to the CD28 family and binds to poliovirus receptor (PVR) and nectin-2 on antigen-presenting cells. This interaction inhibits T cell activation and proliferation and increases Treg cell activity maintaining immune homeostasis. TIGIT forms a complex with other inhibitory receptors like PD-1 2B4 and CD96 to further regulate immune functions.

Pathways

The interaction of TIGIT with its ligands significantly affects the immune checkpoint pathway. This involvement regulates T cell and NK cell activity. TIGIT is related to CD226 (DNAM-1) which competes for binding to its ligands influencing cellular signaling pathways. Through these pathways TIGIT signals through the downstream SHP-1 and SHP-2 proteins affecting immune cell signaling and response.

TIGIT has implications in cancer and autoimmune diseases. Its inhibitory function can allow tumor progression by dampening effective anti-tumor immunity. In cancer TIGIT’s activity often pairs with PD-1 both contributing to immune checkpoint blockade resistance necessary for tumor evasion. In autoimmune diseases increased TIGIT expression could result in reduced immune cell attack against self tissues showing its potential to modulate treatment strategies.

Product protocols

For this product, it's our understanding that no specific protocols are required. You can visit:

Target data

Inhibitory receptor that plays a role in the modulation of immune responses. Suppresses T-cell activation by promoting the generation of mature immunoregulatory dendritic cells. Upon binding to its ligands PVR/CD155 or NECTIN2/CD112, which are expressed on antigen-presenting cells, sends inhibitory signals to the T-cell or NK cell. Mechanistically, interaction with ligand leads to phosphorylation of the cytoplasmic tail by Src family tyrosine kinases such as FYN or LCK, allowing subsequent binding to adapter GRB2 and SHIP1/INPP5D. In turn, inhibits PI3K and MAPK signaling cascades. In addition, associates with beta-arrestin-2/ARRB2 to recruit SHIP1/INPP5D that suppresses autoubiquitination of TRAF6 and subsequently inhibits NF-kappa-B signaling pathway. Acts also as a receptor for NECTIN4 to inhibit NK cell cytotoxicity.
See full target information Tigit

Product promise

We are committed to supporting your work with high-quality reagents, and we're here for you every step of the way. In the unlikely event that one of our products does not perform as expected, you're protected by our Product Promise.
For full details, please see our Terms & Conditions

Please note: All products are 'FOR RESEARCH USE ONLY. NOT FOR USE IN DIAGNOSTIC OR THERAPEUTIC PROCEDURES'.

For licensing inquiries, please contact partnerships@abcam.com