JavaScript is disabled in your browser. Please enable JavaScript to view this website.
AB300074

Anti-TIGIT antibody [EPR26037-152] (BSA and Azide free)

Be the first to review this product! Submit a review

|

(0 Publication)

Rabbit Recombinant Monoclonal TIGIT antibody. Carrier free. Suitable for IHC-P and reacts with Mouse, Transfected cell line - Mouse, Rat samples.

View Alternative Names

Vstm3, Tigit, T-cell immunoreceptor with Ig and ITIM domains, V-set and transmembrane domain-containing protein 3

4 Images
Immunohistochemistry (Formalin/PFA-fixed paraffin-embedded sections) - Anti-TIGIT antibody [EPR26037-152] (BSA and Azide free) (AB300074)
  • IHC-P

Supplier Data

Immunohistochemistry (Formalin/PFA-fixed paraffin-embedded sections) - Anti-TIGIT antibody [EPR26037-152] (BSA and Azide free) (AB300074)

This data was developed using ab300073, the same antibody clone in a different buffer formulation.

Immunohistochemical analysis of paraffin-embedded HEK-293T cells transfected tissue, labelling TIGIT with ab300073 at 1/500 (1.064 μg/ml) followed by a ready to use Goat Anti-Rabbit IgG H&L (HRP polymer). Positive staining on HEK-293T cells transfected with a mouse TIGIT expression vector containing a myc-His tag (image A). No staining on 293T transfected with an empty vector (image B). The section was incubated with ab300073 at 4°C overnight. Counterstained with Hematoxylin.

Secondary antibody only control : Secondary antibody is a ready to use Goat Anti-Rabbit IgG H&L (HRP polymer).

Heat mediated antigen retrieval with Tris-EDTA buffer (pH 9.0, epitope retrieval solution 2) for 20 mins

Immunohistochemistry (Formalin/PFA-fixed paraffin-embedded sections) - Anti-TIGIT antibody [EPR26037-152] (BSA and Azide free) (AB300074)
  • IHC-P

Supplier Data

Immunohistochemistry (Formalin/PFA-fixed paraffin-embedded sections) - Anti-TIGIT antibody [EPR26037-152] (BSA and Azide free) (AB300074)

This data was developed using ab300073, the same antibody clone in a different buffer formulation.

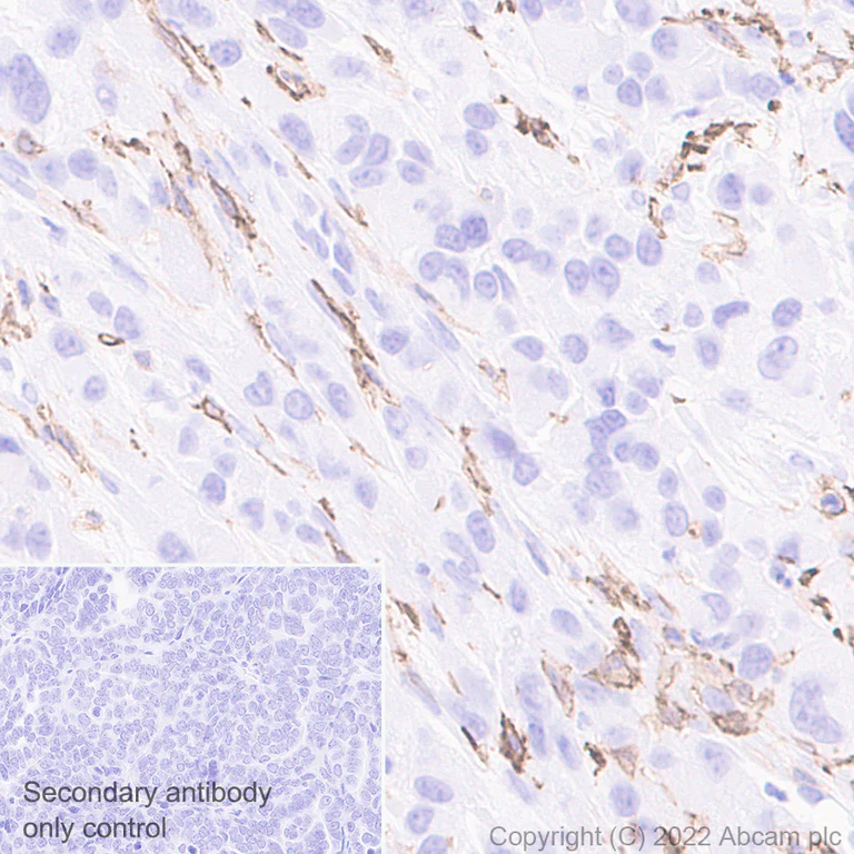
Immunohistochemical analysis of paraffin-embedded Mouse pancreas cancer tissue labelling TIGIT with ab300073 at 1/500 (1.064 μg/ml) followed by a ready to use Goat Anti-Rabbit IgG H&L (HRP polymer). Positive staining on mouse pancreas cancer. The section was incubated with ab300073 at 4°C overnight. Counterstained with Hematoxylin.

Secondary antibody only control : Secondary antibody is a ready to use Goat Anti-Rabbit IgG H&L (HRP polymer).

Heat mediated antigen retrieval with Tris-EDTA buffer (pH 9.0, epitope retrieval solution 2) for 20 mins

Immunohistochemistry (Formalin/PFA-fixed paraffin-embedded sections) - Anti-TIGIT antibody [EPR26037-152] (BSA and Azide free) (AB300074)
  • IHC-P

Supplier Data

Immunohistochemistry (Formalin/PFA-fixed paraffin-embedded sections) - Anti-TIGIT antibody [EPR26037-152] (BSA and Azide free) (AB300074)

This data was developed using ab300073, the same antibody clone in a different buffer formulation.

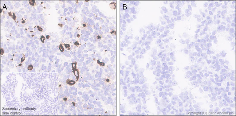
Immunohistochemical analysis of paraffin-embedded Mouse lymph node tissue labelling TIGIT with ab300073 at 1/500 (1.064 μg/ml) followed by a ready to use Goat Anti-Rabbit IgG H&L (HRP polymer). Positive staining on mouse lymph node. The section was incubated with ab300073 at 4°C overnight. Counterstained with Hematoxylin.

Secondary antibody only control : Secondary antibody is a ready to use Goat Anti-Rabbit IgG H&L (HRP polymer).

Heat mediated antigen retrieval with Tris-EDTA buffer (pH 9.0, epitope retrieval solution 2) for 20 mins

Immunohistochemistry (Formalin/PFA-fixed paraffin-embedded sections) - Anti-TIGIT antibody [EPR26037-152] (BSA and Azide free) (AB300074)
  • IHC-P

Supplier Data

Immunohistochemistry (Formalin/PFA-fixed paraffin-embedded sections) - Anti-TIGIT antibody [EPR26037-152] (BSA and Azide free) (AB300074)

This data was developed using ab300073, the same antibody clone in a different buffer formulation.

Immunohistochemical analysis of paraffin-embedded Rat lymph node tissue labelling TIGIT with ab300073 at 1/500 (1.064 μg/ml) followed by a ready to use Goat Anti-Rabbit IgG H&L (HRP polymer). Positive staining on rat lymph node. The section was incubated with ab300073 at 4°C overnight. Counterstained with Hematoxylin.

Secondary antibody only control : Secondary antibody is a ready to use Goat Anti-Rabbit IgG H&L (HRP polymer).

Heat mediated antigen retrieval with Tris-EDTA buffer (pH 9.0, epitope retrieval solution 2) for 20 mins

Key facts

Host species

Rabbit

Clonality

Monoclonal

Clone number

EPR26037-152

Isotype

IgG

Carrier free

Yes

Reacts with

Mouse, Rat

Applications

IHC-P

applications

Immunogen

The exact immunogen used to generate this antibody is proprietary information.

Specificity

This antibody is not suitable to detect with liver, skin, and kidney tissues.

Reactivity data

{ "title": "Reactivity Data", "filters": { "stats": ["", "Species", "Dilution Info", "Notes"], "tabs": { "all-applications": {"fullname" : "All Applications", "shortname": "All Applications"}, "WB" : {"fullname" : "Western blot", "shortname":"WB"}, "ICCIF" : {"fullname" : "Immunocytochemistry/ Immunofluorescence", "shortname":"ICC/IF"}, "IHCP" : {"fullname" : "Immunohistochemistry (Formalin/PFA-fixed paraffin-embedded sections)", "shortname":"IHC-P"}, "FlowCyt" : {"fullname" : "Flow Cytometry", "shortname":"Flow Cyt"}, "IP" : {"fullname" : "Immunoprecipitation", "shortname":"IP"} }, "product-promise": { "all": "all", "testedAndGuaranteed": "tested", "guaranteed": "expected", "predicted": "predicted", "notRecommended": "not-recommended" } }, "values": { "Human": { "WB-species-checked": "notRecommended", "WB-species-dilution-info": "", "WB-species-notes": "", "ICCIF-species-checked": "notRecommended", "ICCIF-species-dilution-info": "", "ICCIF-species-notes": "", "IHCP-species-checked": "notRecommended", "IHCP-species-dilution-info": "", "IHCP-species-notes": "<p></p> Perform heat-mediated antigen retrieval with Tris/EDTA buffer pH 9.0 before commencing with IHC staining protocol.", "FlowCyt-species-checked": "notRecommended", "FlowCyt-species-dilution-info": "", "FlowCyt-species-notes": "", "IP-species-checked": "notRecommended", "IP-species-dilution-info": "", "IP-species-notes": "" }, "Mouse": { "WB-species-checked": "notRecommended", "WB-species-dilution-info": "", "WB-species-notes": "<p></p>", "ICCIF-species-checked": "notRecommended", "ICCIF-species-dilution-info": "", "ICCIF-species-notes": "<p></p>", "IHCP-species-checked": "testedAndGuaranteed", "IHCP-species-dilution-info": "", "IHCP-species-notes": "<p></p> Perform heat-mediated antigen retrieval with Tris/EDTA buffer pH 9.0 before commencing with IHC staining protocol.", "FlowCyt-species-checked": "notRecommended", "FlowCyt-species-dilution-info": "", "FlowCyt-species-notes": "<p></p>", "IP-species-checked": "notRecommended", "IP-species-dilution-info": "", "IP-species-notes": "<p></p>" }, "Rat": { "WB-species-checked": "notRecommended", "WB-species-dilution-info": "", "WB-species-notes": "<p></p>", "ICCIF-species-checked": "notRecommended", "ICCIF-species-dilution-info": "", "ICCIF-species-notes": "<p></p>", "IHCP-species-checked": "testedAndGuaranteed", "IHCP-species-dilution-info": "", "IHCP-species-notes": "<p></p> Perform heat-mediated antigen retrieval with Tris/EDTA buffer pH 9.0 before commencing with IHC staining protocol.", "FlowCyt-species-checked": "notRecommended", "FlowCyt-species-dilution-info": "", "FlowCyt-species-notes": "<p></p>", "IP-species-checked": "notRecommended", "IP-species-dilution-info": "", "IP-species-notes": "<p></p>" }, "Transfected cell line - Mouse": { "WB-species-checked": "notRecommended", "WB-species-dilution-info": "", "WB-species-notes": "", "ICCIF-species-checked": "notRecommended", "ICCIF-species-dilution-info": "", "ICCIF-species-notes": "", "IHCP-species-checked": "testedAndGuaranteed", "IHCP-species-dilution-info": "", "IHCP-species-notes": "<p></p> Perform heat-mediated antigen retrieval with Tris/EDTA buffer pH 9.0 before commencing with IHC staining protocol.", "FlowCyt-species-checked": "notRecommended", "FlowCyt-species-dilution-info": "", "FlowCyt-species-notes": "", "IP-species-checked": "notRecommended", "IP-species-dilution-info": "", "IP-species-notes": "" } } }

Product details

Patented technology
Our RabMAb® technology is a patented hybridoma-based technology for making rabbit monoclonal antibodies. For details on our patents, please refer to RabMAb® patents.

Conjugation ready
Our carrier-free antibodies are typically supplied in a PBS-only formulation, purified and free of BSA, sodium azide and glycerol. This conjugation-ready format is designed for use with fluorochromes, metal isotopes, oligonucleotides, and enzymes, which makes them ideal for antibody labelling, functional and cell-based assays, flow-based assays (e.g. mass cytometry) and Multiplex Imaging applications.

Use our conjugation kits for antibody conjugates that are ready-to-use in as little as 20 minutes with 1 minute hands-on-time and 100% antibody recovery: available for fluorescent dyes, HRP, biotin and gold.

Compatibility
This product is compatible with the Maxpar® Antibody Labeling Kit from Fluidigm, without the need for antibody preparation. Maxpar® is a trademark of Fluidigm Canada Inc.

What are the advantages of a recombinant monoclonal antibody?
This product is a recombinant monoclonal antibody, which offers several advantages including:

  • - High batch-to-batch consistency and reproducibility
  • - Improved sensitivity and specificity
  • - Long-term security of supply
  • - Animal-free batch production

For more information, read more on recombinant antibodies.

Properties and storage information

Form
Liquid
Purification technique
Affinity purification Protein A
Storage buffer
pH: 7.2 - 7.4 Constituents: PBS
Shipped at conditions
Blue Ice
Appropriate short-term storage conditions
+4°C
Appropriate long-term storage conditions
+4°C
Aliquoting information
Upon delivery aliquot

Supplementary information

This supplementary information is collated from multiple sources and compiled automatically.

TIGIT also known as T cell immunoreceptor with Ig and ITIM domains is an immunoglobulin superfamily receptor. It weighs approximately 26 kDa. TIGIT commonly expresses on T cells especially on regulatory T cells (Tregs) and effector memory T cells. It also presents on natural killer (NK) cells. Among its alternate forms some notable ones also include the anti-TIGIT and biotinylated TIGIT antibodies used in experimental research to monitor immune responses.
Biological function summary

TIGIT acts as an inhibitory receptor modulating immune responses. It belongs to the CD28 family and binds to poliovirus receptor (PVR) and nectin-2 on antigen-presenting cells. This interaction inhibits T cell activation and proliferation and increases Treg cell activity maintaining immune homeostasis. TIGIT forms a complex with other inhibitory receptors like PD-1 2B4 and CD96 to further regulate immune functions.

Pathways

The interaction of TIGIT with its ligands significantly affects the immune checkpoint pathway. This involvement regulates T cell and NK cell activity. TIGIT is related to CD226 (DNAM-1) which competes for binding to its ligands influencing cellular signaling pathways. Through these pathways TIGIT signals through the downstream SHP-1 and SHP-2 proteins affecting immune cell signaling and response.

TIGIT has implications in cancer and autoimmune diseases. Its inhibitory function can allow tumor progression by dampening effective anti-tumor immunity. In cancer TIGIT’s activity often pairs with PD-1 both contributing to immune checkpoint blockade resistance necessary for tumor evasion. In autoimmune diseases increased TIGIT expression could result in reduced immune cell attack against self tissues showing its potential to modulate treatment strategies.

Product protocols

For this product, it's our understanding that no specific protocols are required. You can visit:

Target data

Inhibitory receptor that plays a role in the modulation of immune responses. Suppresses T-cell activation by promoting the generation of mature immunoregulatory dendritic cells. Upon binding to its ligands PVR/CD155 or NECTIN2/CD112, which are expressed on antigen-presenting cells, sends inhibitory signals to the T-cell or NK cell. Mechanistically, interaction with ligand leads to phosphorylation of the cytoplasmic tail by Src family tyrosine kinases such as FYN or LCK, allowing subsequent binding to adapter GRB2 and SHIP1/INPP5D. In turn, inhibits PI3K and MAPK signaling cascades. In addition, associates with beta-arrestin-2/ARRB2 to recruit SHIP1/INPP5D that suppresses autoubiquitination of TRAF6 and subsequently inhibits NF-kappa-B signaling pathway. Acts also as a receptor for NECTIN4 to inhibit NK cell cytotoxicity.
See full target information Tigit

Product promise

We are committed to supporting your work with high-quality reagents, and we're here for you every step of the way. In the unlikely event that one of our products does not perform as expected, you're protected by our Product Promise.
For full details, please see our Terms & Conditions

Please note: All products are 'FOR RESEARCH USE ONLY. NOT FOR USE IN DIAGNOSTIC OR THERAPEUTIC PROCEDURES'.

For licensing inquiries, please contact partnerships@abcam.com