JavaScript is disabled in your browser. Please enable JavaScript to view this website.
AB323414

Anti-TIM 1 antibody [RM1294]

  • BOND RX™ Validated
  • Recombinant
  • 20ul selling size
  • RabMAb
  • What is this?

Be the first to review this product! Submit a review

|

(0 Publication)

Rabbit Recombinant Multiclonal TIM 1 antibody. Suitable for IHC-P, ICC/IF, Flow Cyt, WB, IP and reacts with Mouse, Human samples.

View Alternative Names

CD365, KIM1, TIM1, TIMD1, HAVCR1, Hepatitis A virus cellular receptor 1, HAVcr-1, Kidney injury molecule 1, T-cell immunoglobulin and mucin domain-containing protein 1, T-cell immunoglobulin mucin receptor 1, T-cell membrane protein 1, KIM-1, TIMD-1, TIM, TIM-1

10 Images
Immunocytochemistry/ Immunofluorescence - Anti-TIM 1 antibody [RM1294] (AB323414)
  • ICC/IF

Supplier Data

Immunocytochemistry/ Immunofluorescence - Anti-TIM 1 antibody [RM1294] (AB323414)

Immunofluorescent analysis of 4% Paraformaldehyde-fixed, 0.1% TritonX-100 permeabilized Huh7 (human hepatocellular carcinoma epithelial cell) cells labelling TIM 1 with ab323414 at 1/100 (4.94 ug/ml) dilution, followed by ab150081 Goat Anti-Rabbit IgG H&L (Alexa Fluor® 488) preadsorbed antibody at 1/ 1000 2ug/ml dilution (Green).

Confocal image showing cytoplasmic and membrane staining in Huh7 cell line (shown in green). The counterstain was observed in magenta. Nuclear DNA was labelled with DAPI (shown in blue).
Negative control : 293T (PMID : 23084921)
Image was taken with a confocal microscope (Leica-Microsystems, TCS SP8).

ab195889 Anti-alpha Tubulin mouse monoclonal antibody - Microtubule Marker (Alexa Fluor® 594) was used to counterstain tubulin at 1/200 2.5ug/ml dilution (Magenta). The Nuclear counterstain was DAPI (Blue).

Secondary antibody only control : Secondary antibody is ab150081 Goat Anti-Rabbit IgG H&L (Alexa Fluor® 488) preadsorbed at 1/ 1000 2ug/ml dilution.

Flow Cytometry - Anti-TIM 1 antibody [RM1294] (AB323414)
  • Flow Cyt

Supplier Data

Flow Cytometry - Anti-TIM 1 antibody [RM1294] (AB323414)

Flow cytometric analysis of 293T (human embryonic kidney epithelial cell, Left) / Huh7 (human hepatocellular carcinoma epithelial cell, Right) cells labelling TIM 1 with ab323414 at 1/50 dilution (1ug) (Red) compared with a Rabbit monoclonal IgG (ab172730) (Black) isotype control and an unlabelled control (cells without incubation with primary antibody and secondary antibody).

Goat Anti-Rabbit IgG (Alexa Fluor® 488, ab150081) at 1/5000 dilution was used as the secondary antibody.

Negative control : 293T.

Immunocytochemistry/ Immunofluorescence - Anti-TIM 1 antibody [RM1294] (AB323414)
  • ICC/IF

Supplier Data

Immunocytochemistry/ Immunofluorescence - Anti-TIM 1 antibody [RM1294] (AB323414)

Immunofluorescent analysis of 4% Paraformaldehyde-fixed, 0.1% TritonX-100 permeabilized A20 (mouse reticulum sarcoma B lymphocyte) cells labelling TIM 1 with ab323414 at 1/100 (4.94 ug/ml) dilution, followed by ab150081 Goat Anti-Rabbit IgG H&L (Alexa Fluor® 488) preadsorbed antibody at 1/ 1000 2ug/ml dilution (Green).

Confocal image showing membrane staining in A20 cell line (shown in green). The counterstain was observed in magenta. Nuclear DNA was labelled with DAPI (shown in blue).
Low expression : MEF.
Image was taken with a confocal microscope (Leica-Microsystems, TCS SP8).

ab195889 Anti-alpha Tubulin mouse monoclonal antibody - Microtubule Marker (Alexa Fluor® 594) was used to counterstain tubulin at 1/200 2.5ug/ml dilution (Magenta). The Nuclear counterstain was DAPI (Blue).

Secondary antibody only control : Secondary antibody is ab150081 Goat Anti-Rabbit IgG H&L (Alexa Fluor® 488) preadsorbed at 1/ 1000 2ug/ml dilution.

Immunohistochemistry (Formalin/PFA-fixed paraffin-embedded sections) - Anti-TIM 1 antibody [RM1294] (AB323414)
  • IHC-P

Supplier Data

Immunohistochemistry (Formalin/PFA-fixed paraffin-embedded sections) - Anti-TIM 1 antibody [RM1294] (AB323414)

Immunohistochemical analysis of paraffin-embedded (A) Injured mouse kidney (cisplatin-induced acute kidney injury). (B) Control mouse kidney. tissue labeling TIM 1 with ab323414 at 1/2000 (0.247 ug/ml) dilution, followed by a ready to use LeicaDS9800 (Bond™ Polymer Refine Detection) was used.

Positive staining on (A) Injured mouse kidney (cisplatin-induced acute kidney injury), no staining on (B) control mouse kidney. The section was incubated with ab323414 for 30 mins at room temperature.
The immunostaining was performed on a Leica Biosystems BOND® RX instrument

Counterstained with Hematoxylin.

Secondary antibody only control : Secondary antibody is a ready to use LeicaDS9800 (Bond™ Polymer Refine Detection) was used.

Heat mediated antigen retrieval was performed with Tris-EDTA buffer (pH 9.0, Epitope Retrieval Solution2) for 20 mins

Flow Cytometry - Anti-TIM 1 antibody [RM1294] (AB323414)
  • Flow Cyt

Supplier Data

Flow Cytometry - Anti-TIM 1 antibody [RM1294] (AB323414)

Flow cytometric analysis of MEF (mouse embryo fibroblast, Left) / A20 (mouse reticulum sarcoma B lymphocyte, Right) cells labelling TIM 1 with ab323414 at 1/50 dilution (1ug) (Red) compared with a Rabbit monoclonal IgG (ab172730) (Black) isotype control and an unlabelled control (cells without incubation with primary antibody and secondary antibody).

Goat anti-Rabbit IgG (Alexa Fluor® 647, ab150083) at 1/5000 dilution was used as the secondary antibody.

Low expression : MEF.

Immunohistochemistry (Formalin/PFA-fixed paraffin-embedded sections) - Anti-TIM 1 antibody [RM1294] (AB323414)
  • IHC-P

Supplier Data

Immunohistochemistry (Formalin/PFA-fixed paraffin-embedded sections) - Anti-TIM 1 antibody [RM1294] (AB323414)

Immunohistochemical analysis of paraffin-embedded Mouse spleen tissue labeling TIM 1 with ab323414 at 1/2000 (0.247 ug/ml) dilution, followed by a ready to use LeicaDS9800 (Bond™ Polymer Refine Detection) was used.

Negative control : no staining on mouse spleen. The section was incubated with ab323414 for 30 mins at room temperature.
The immunostaining was performed on a Leica Biosystems BOND® RX instrument

Counterstained with Hematoxylin.

Secondary antibody only control : Secondary antibody is a ready to use LeicaDS9800 (Bond™ Polymer Refine Detection) was used.

Heat mediated antigen retrieval was performed with Tris-EDTA buffer (pH 9.0, Epitope Retrieval Solution2) for 20 mins

Immunoprecipitation - Anti-TIM 1 antibody [RM1294] (AB323414)
  • IP

Supplier Data

Immunoprecipitation - Anti-TIM 1 antibody [RM1294] (AB323414)

TIM 1 was immunoprecipitated from 0.35 mg A20 (mouse reticulum sarcoma B lymphocyte) whole cell lysate with ab323414 at 1/1000 dilution (2ug in 0.35mg lysates). Western blot was performed on the immunoprecipitate using ab323414 at 1/1000 dilution.

Blocking and dilution buffer and concentration : 5% NFDM/TBST

All lanes:

Immunoprecipitation - Anti-TIM 1 antibody [RM1294] (ab323414) at 1/1000 dilution

Lane 1:

A20 (mouse reticulum sarcoma B lymphocyte) whole cell lysate at 10 µg

Lane 2:

ab323414 at 1/30 IP in A20 (mouse reticulum sarcoma B lymphocyte) whole cell lysate at 10 µg

Lane 3:

Rabbit monoclonal IgG (<a href='/en-us/products/primary-antibodies/rabbit-igg-monoclonal-epr25a-isotype-control-ab172730'>ab172730</a>) instead of ab323414 in A20 whole cell lysate at 10 µg

Secondary

All lanes:

Immunoprecipitation - VeriBlot for IP Detection Reagent (HRP) (<a href='/en-us/products/reagents/veriblot-for-ip-detection-reagent-hrp-ab131366'>ab131366</a>) at 1/5000 dilution

Observed band size: 70 kDa

false

Exposure time: 180s

Western blot - Anti-TIM 1 antibody [RM1294] (AB323414)
  • WB

Supplier Data

Western blot - Anti-TIM 1 antibody [RM1294] (AB323414)

Blocking and diluting buffer and concentration : 5% NFDM/TBST.

Negative control : 293T (PMID : 23084921, PMID : 12138159), HeLa

The molecular weight observed is consistent with what has been described in the literature (PMID : 12138159, PMID : 35073759).

In Western blot, Anti-GAPDH antibody [EPR16891] - Loading Control (ab181602) staining at 1/200000 dilution.

All lanes:

Western blot - Anti-TIM 1 antibody [RM1294] (ab323414) at 1/500 dilution

Lane 1:

Huh7 (human hepatocellular carcinoma epithelial cell) fresh whole cell lysate at 20 µg

Lane 2:

HeLa (human cervical adenocarcinoma epithelial cell) fresh whole cell lysate at 20 µg

Lane 3:

293T (human embryonic kidney epithelial cell) fresh whole cell lysate at 20 µg

Secondary

All lanes:

Western blot - Goat Anti-Rabbit IgG H&L (HRP) (<a href='/en-us/products/secondary-antibodies/goat-rabbit-igg-h-l-hrp-ab97051'>ab97051</a>) at 1/20000 dilution

Observed band size: 100 kDa,36 kDa

false

Exposure time: 48s

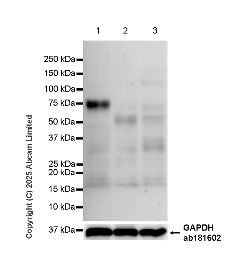
Western blot - Anti-TIM 1 antibody [RM1294] (AB323414)
  • WB

Supplier Data

Western blot - Anti-TIM 1 antibody [RM1294] (AB323414)

Blocking and diluting buffer and concentration : 5% NFDM/TBST.

Low expression : MEF and Neuro-2a

The molecular weight observed is consistent with what has been described in the literature (PMID : 12138159, PMID : 37460623).

In Western blot, Anti-GAPDH antibody [EPR16891] - Loading Control (ab181602) staining at 1/200000 dilution.

All lanes:

Western blot - Anti-TIM 1 antibody [RM1294] (ab323414) at 1/1000 dilution

Lane 1:

A20 (mouse reticulum sarcoma B lymphocyte) whole cell lysate at 20 µg

Lane 2:

MEF (mouse embryo fibroblast) whole cell lysate at 20 µg

Lane 3:

Neuro-2a (mouse neuroblastoma neuroblast) whole cell lysate at 20 µg

Secondary

All lanes:

Western blot - Goat Anti-Rabbit IgG H&L (HRP) (<a href='/en-us/products/secondary-antibodies/goat-rabbit-igg-h-l-hrp-ab97051'>ab97051</a>) at 1/20000 dilution

Observed band size: 70 kDa,36 kDa

false

Exposure time: 81s

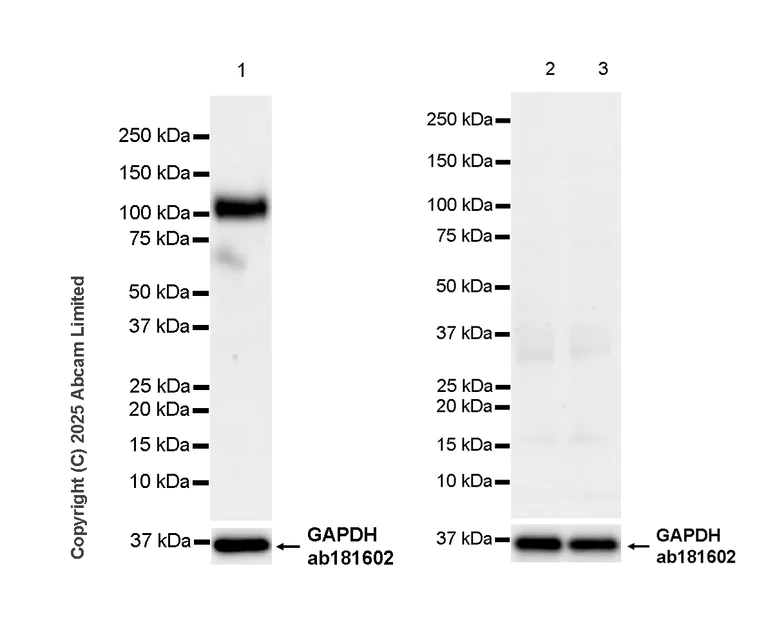
Western blot - Anti-TIM 1 antibody [RM1294] (AB323414)
  • WB

Supplier Data

Western blot - Anti-TIM 1 antibody [RM1294] (AB323414)

Blocking and diluting buffer and concentration : 5% NFDM/TBST.

Negative control : kidney (PMID : 37460623), spleen

The molecular weight observed is consistent with what has been described in the literature (PMID : 12138159, PMID : 37460623).

In Western blot, Anti-GAPDH antibody [EPR16891] - Loading Control (ab181602) staining at 1/200000 dilution.

All lanes:

Western blot - Anti-TIM 1 antibody [RM1294] (ab323414) at 1/1000 dilution

Lane 1:

Mouse injured kidney tissue lysate (cisplatin-induced acute kidney injury) at 20 µg

Lane 2:

Mouse kidney tissue lysate at 20 µg

Lane 3:

Mouse spleen tissue lysate at 20 µg

Secondary

All lanes:

Western blot - Goat Anti-Rabbit IgG H&L (HRP) (<a href='/en-us/products/secondary-antibodies/goat-rabbit-igg-h-l-hrp-ab97051'>ab97051</a>) at 1/20000 dilution

Observed band size: 70 kDa,36 kDa

false

Exposure time: 26s

Key facts

Host species

Rabbit

Clonality

Multiclonal

Clone number

RM1294

Isotype

IgG

Carrier free

No

Reacts with

Mouse, Human

Applications

ICC/IF, IP, WB, Flow Cyt, IHC-P

applications

Immunogen

The exact immunogen used to generate this antibody is proprietary information.

Reactivity data

{ "title": "Reactivity Data", "filters": { "stats": ["", "Species", "Dilution Info", "Notes"], "tabs": { "all-applications": {"fullname" : "All Applications", "shortname": "All Applications"}, "IHCP" : {"fullname" : "Immunohistochemistry (Formalin/PFA-fixed paraffin-embedded sections)", "shortname":"IHC-P"}, "ICCIF" : {"fullname" : "Immunocytochemistry/ Immunofluorescence", "shortname":"ICC/IF"}, "FlowCyt" : {"fullname" : "Flow Cytometry", "shortname":"Flow Cyt"}, "WB" : {"fullname" : "Western blot", "shortname":"WB"}, "IP" : {"fullname" : "Immunoprecipitation", "shortname":"IP"} }, "product-promise": { "all": "all", "testedAndGuaranteed": "tested", "guaranteed": "expected", "predicted": "predicted", "notRecommended": "not-recommended" } }, "values": { "Human": { "IHCP-species-checked": "guaranteed", "IHCP-species-dilution-info": "", "IHCP-species-notes": "", "ICCIF-species-checked": "testedAndGuaranteed", "ICCIF-species-dilution-info": "1/100", "ICCIF-species-notes": "<p></p>", "FlowCyt-species-checked": "testedAndGuaranteed", "FlowCyt-species-dilution-info": "1/50", "FlowCyt-species-notes": "<p></p>", "WB-species-checked": "testedAndGuaranteed", "WB-species-dilution-info": "1/500", "WB-species-notes": "<p></p>", "IP-species-checked": "notRecommended", "IP-species-dilution-info": "", "IP-species-notes": "<p></p>" }, "Mouse": { "IHCP-species-checked": "testedAndGuaranteed", "IHCP-species-dilution-info": "1/2000", "IHCP-species-notes": "<p></p> Perform heat-mediated antigen retrieval with Tris/EDTA buffer pH 9.0 before commencing with IHC staining protocol.", "ICCIF-species-checked": "testedAndGuaranteed", "ICCIF-species-dilution-info": "1/100", "ICCIF-species-notes": "<p></p>", "FlowCyt-species-checked": "testedAndGuaranteed", "FlowCyt-species-dilution-info": "1/50", "FlowCyt-species-notes": "<p></p>", "WB-species-checked": "testedAndGuaranteed", "WB-species-dilution-info": "1/1000", "WB-species-notes": "<p></p>", "IP-species-checked": "testedAndGuaranteed", "IP-species-dilution-info": "1/1000", "IP-species-notes": "<p></p>" } } }

Product details

Patented technology
Our RabMAb® technology is a patented hybridoma-based technology for making rabbit monoclonal antibodies. For details on our patents, please refer to RabMAb® patents.

What are recombinant multiclonals?
Recombinant multiclonals are a mixture of recombinant antibodies co-expressed from a library of heavy and light chains. They offer several advantages including:

  • - The sensitivity of polyclonal antibodies by recognising multiple epitopes
  • - High batch-to-batch consistency and reproducibility
  • - Improved sensitivity and specificity
  • - Long-term security of supply
  • - Animal-free batch production

View our range of recombinant multiclonal antibodies.

Properties and storage information

Form
Liquid
Purification technique
Affinity purification Protein A
Storage buffer
pH: 7.2 - 7.4 Preservative: 0.01% Sodium azide Constituents: PBS, 40% Glycerol (glycerin, glycerine), 0.05% BSA
Shipped at conditions
Blue Ice
Appropriate short-term storage duration
1-2 weeks
Appropriate short-term storage conditions
+4°C
Appropriate long-term storage conditions
-20°C
Aliquoting information
Upon delivery aliquot
Storage information
Avoid freeze / thaw cycle

Product protocols

For this product, it's our understanding that no specific protocols are required. You can visit:

Target data

Phosphatidylserine receptor that plays an important functional role in regulatory B-cells homeostasis including generation, expansion and suppressor functions (By similarity). As P-selectin/SELPLG ligand, plays a specialized role in activated but not naive T-cell trafficking during inflammatory responses (PubMed : 24703780). Controls thereby T-cell accumulation in the inflamed central nervous system (CNS) and the induction of autoimmune disease (PubMed : 24703780). Regulates also expression of various anti-inflammatory cytokines and co-inhibitory ligands including IL10 (By similarity). Acts as a regulator of T-cell proliferation (By similarity). May play a role in kidney injury and repair (PubMed : 17471468).. (Microbial infection) Acts as a receptor for Hepatitis A virus.. (Microbial infection) Acts as a receptor for Ebolavirus and Marburg virus by binding exposed phosphatidyl-serine at the surface of virion membrane (PubMed : 21536871). Serves as a dual receptor for Ebolavirus by also interacting with envelope glycoprotein GP (PubMed : 26487564).. (Microbial infection) Acts as a receptor for Dengue virus by binding exposed phosphatidyl-serine at the surface of virion membrane (PubMed : 23084921). TIM1 and Dengue virus are co-internalized during virus entry (PubMed : 29742433).. (Microbial infection) Acts as a receptor for Zika virus by binding to envelope protein E.. (Microbial infection) Plays a positive role in Chikungunya virus cell entry.
See full target information HAVCR1

Additional targets

Havcr1

Product promise

We are committed to supporting your work with high-quality reagents, and we're here for you every step of the way. In the unlikely event that one of our products does not perform as expected, you're protected by our Product Promise.
For full details, please see our Terms & Conditions

Please note: All products are 'FOR RESEARCH USE ONLY. NOT FOR USE IN DIAGNOSTIC OR THERAPEUTIC PROCEDURES'.

For licensing inquiries, please contact partnerships@abcam.com