JavaScript is disabled in your browser. Please enable JavaScript to view this website.
AB252214

Anti-TIM 3 antibody [CAL69] - BSA and Azide free

Be the first to review this product! Submit a review

|

(1 Publication)

Rabbit Recombinant Monoclonal TIM 3 antibody. Carrier free. Suitable for IHC-P and reacts with Human samples. Cited in 1 publication.

View Alternative Names

CD366, TIM3, TIMD3, HAVCR2, Hepatitis A virus cellular receptor 2, HAVcr-2, T-cell immunoglobulin and mucin domain-containing protein 3, T-cell immunoglobulin mucin receptor 3, T-cell membrane protein 3, TIMD-3, TIM-3

2 Images
Immunohistochemistry (Formalin/PFA-fixed paraffin-embedded sections) - Anti-TIM 3 antibody [CAL69] - BSA and Azide free (AB252214)
  • IHC-P

Supplier Data

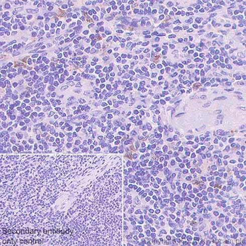
Immunohistochemistry (Formalin/PFA-fixed paraffin-embedded sections) - Anti-TIM 3 antibody [CAL69] - BSA and Azide free (AB252214)

Immunohistochemical analysis of paraffin-embedded human tonsil tissue labeling TIM 3 with ab246852 at 1/500 dilution (for 30 minutes at room temperature), followed by a ready to use Rabbit specific IHC polymer detection kit HRP/DAB (ab209101). Positive staining on the human tonsil is observed. Counterstained with hematoxylin.

This data was developed using the same antibody clone in a different buffer formulation containing PBS, BSA, glycerol, and sodium azide (ab246852).

Immunohistochemistry (Formalin/PFA-fixed paraffin-embedded sections) - Anti-TIM 3 antibody [CAL69] - BSA and Azide free (AB252214)
  • IHC-P

Supplier Data

Immunohistochemistry (Formalin/PFA-fixed paraffin-embedded sections) - Anti-TIM 3 antibody [CAL69] - BSA and Azide free (AB252214)

Formalin-fixed, paraffin-embedded human tonsil tissue stained for TIM 3 using ab246852 at 1 μg/ml in immunohistochemical analysis.

This data was developed using the same antibody clone in a different buffer formulation containing PBS, BSA, glycerol, and sodium azide (ab246852).

Key facts

Host species

Rabbit

Clonality

Monoclonal

Clone number

CAL69

Isotype

IgG

Carrier free

Yes

Reacts with

Human

Applications

IHC-P

applications

Immunogen

The exact immunogen used to generate this antibody is proprietary information.

Reactivity data

{ "title": "Reactivity Data", "filters": { "stats": ["", "Species", "Dilution Info", "Notes"], "tabs": { "all-applications": {"fullname" : "All Applications", "shortname": "All Applications"}, "IP" : {"fullname" : "Immunoprecipitation", "shortname":"IP"}, "FlowCyt" : {"fullname" : "Flow Cytometry", "shortname":"Flow Cyt"}, "WB" : {"fullname" : "Western blot", "shortname":"WB"}, "ICCIF" : {"fullname" : "Immunocytochemistry/ Immunofluorescence", "shortname":"ICC/IF"}, "IHCP" : {"fullname" : "Immunohistochemistry (Formalin/PFA-fixed paraffin-embedded sections)", "shortname":"IHC-P"} }, "product-promise": { "all": "all", "testedAndGuaranteed": "tested", "guaranteed": "expected", "predicted": "predicted", "notRecommended": "not-recommended" } }, "values": { "Human": { "IP-species-checked": "notRecommended", "IP-species-dilution-info": "", "IP-species-notes": "<p></p>", "FlowCyt-species-checked": "notRecommended", "FlowCyt-species-dilution-info": "", "FlowCyt-species-notes": "<p></p>", "WB-species-checked": "notRecommended", "WB-species-dilution-info": "", "WB-species-notes": "<p></p>", "ICCIF-species-checked": "notRecommended", "ICCIF-species-dilution-info": "", "ICCIF-species-notes": "<p></p>", "IHCP-species-checked": "testedAndGuaranteed", "IHCP-species-dilution-info": "", "IHCP-species-notes": "<p></p>" } } }

Product details

ab252214 is the carrier-free version of ab246852.

Conjugation ready
Our carrier-free antibodies are typically supplied in a PBS-only formulation, purified and free of BSA, sodium azide and glycerol. This conjugation-ready format is designed for use with fluorochromes, metal isotopes, oligonucleotides, and enzymes, which makes them ideal for antibody labelling, functional and cell-based assays, flow-based assays (e.g. mass cytometry) and Multiplex Imaging applications.

Use our conjugation kits for antibody conjugates that are ready-to-use in as little as 20 minutes with 1 minute hands-on-time and 100% antibody recovery: available for fluorescent dyes, HRP, biotin and gold.

Compatibility
This product is compatible with the Maxpar® Antibody Labeling Kit from Fluidigm, without the need for antibody preparation. Maxpar® is a trademark of Fluidigm Canada Inc.

Properties and storage information

Form
Liquid
Purification technique
Affinity purification Protein A
Storage buffer
pH: 7.2 - 7.4 Constituents: PBS
Shipped at conditions
Blue Ice
Appropriate short-term storage conditions
+4°C
Appropriate long-term storage conditions
+4°C
Storage information
Do Not Freeze

Supplementary information

This supplementary information is collated from multiple sources and compiled automatically.

TIM-3 also known as T cell immunoglobulin and mucin-domain containing-3 or HAVCR2 is a protein involved in immune regulation. It possesses an approximate mass of 35 kDa. TIM-3 is expressed on various immune cells including T cells NK cells and dendritic cells especially after activation. The expression level often changes in response to inflammatory conditions suggesting its role in modulating immune responses.
Biological function summary

TIM-3 functions as a checkpoint inhibitor impacting immune cell activity. It is not part of a larger physical complex but it modulates immune responses by interacting with its ligands such as Galectin-9 phosphatidylserine and CEACAM1. TIM-3 involvement in downregulating Th1 cell responses shows its necessary role in maintaining immune homeostasis. The protein also acts in regulating tolerance mechanisms and preventing autoimmunity.

Pathways

TIM-3 participation is seen in the immune checkpoint and T cell exhaustion pathways. TIM-3 signaling results in T cell inhibition affecting the PD-1 pathway as well. It shares a relationship with proteins like LAG-3 and PD-1 which are key to immune inhibitory signaling. These interactions depict TIM-3's role in immune tolerance during chronic infections and malignancies.

TIM-3 association with cancer and chronic infections provides insight into therapeutic implications. In cancer TIM-3 contributes to immune evasion often co-expressed with PD-1 leading to T cell exhaustion. In autoimmune diseases TIM-3 modulation may affect disease progression by influencing immune tolerance. Understanding TIM-3's role in these contexts aids in developing targeted therapies such as anti-TIM-3 antibodies to enhance immune responses in cancer while promoting tolerance in autoimmunity.

Product protocols

For this product, it's our understanding that no specific protocols are required. You can visit:

Target data

Cell surface receptor implicated in modulating innate and adaptive immune responses. Generally accepted to have an inhibiting function. Reports on stimulating functions suggest that the activity may be influenced by the cellular context and/or the respective ligand (PubMed : 24825777). Regulates macrophage activation (PubMed : 11823861). Inhibits T-helper type 1 lymphocyte (Th1)-mediated auto- and alloimmune responses and promotes immunological tolerance (PubMed : 14556005). In CD8+ cells attenuates TCR-induced signaling, specifically by blocking NF-kappaB and NFAT promoter activities resulting in the loss of IL-2 secretion. The function may implicate its association with LCK proposed to impair phosphorylation of TCR subunits, and/or LGALS9-dependent recruitment of PTPRC to the immunological synapse (PubMed : 24337741, PubMed : 26492563). In contrast, shown to activate TCR-induced signaling in T-cells probably implicating ZAP70, LCP2, LCK and FYN (By similarity). Expressed on Treg cells can inhibit Th17 cell responses (PubMed : 24838857). Receptor for LGALS9 (PubMed : 16286920, PubMed : 24337741). Binding to LGALS9 is believed to result in suppression of T-cell responses; the resulting apoptosis of antigen-specific cells may implicate HAVCR2 phosphorylation and disruption of its association with BAG6. Binding to LGALS9 is proposed to be involved in innate immune response to intracellular pathogens. Expressed on Th1 cells interacts with LGALS9 expressed on Mycobacterium tuberculosis-infected macrophages to stimulate antibactericidal activity including IL-1 beta secretion and to restrict intracellular bacterial growth (By similarity). However, the function as receptor for LGALS9 has been challenged (PubMed : 23555261). Also reported to enhance CD8+ T-cell responses to an acute infection such as by Listeria monocytogenes (By similarity). Receptor for phosphatidylserine (PtSer); PtSer-binding is calcium-dependent. May recognize PtSer on apoptotic cells leading to their phagocytosis. Mediates the engulfment of apoptotic cells by dendritic cells. Expressed on T-cells, promotes conjugation but not engulfment of apoptotic cells. Expressed on dendritic cells (DCs) positively regulates innate immune response and in synergy with Toll-like receptors promotes secretion of TNF-alpha. In tumor-imfiltrating DCs suppresses nucleic acid-mediated innate immune repsonse by interaction with HMGB1 and interfering with nucleic acid-sensing and trafficking of nucleid acids to endosomes (By similarity). Expressed on natural killer (NK) cells acts as a coreceptor to enhance IFN-gamma production in response to LGALS9 (PubMed : 22323453). In contrast, shown to suppress NK cell-mediated cytotoxicity (PubMed : 22383801). Negatively regulates NK cell function in LPS-induced endotoxic shock (By similarity).
See full target information HAVCR2

Publications (1)

Recent publications for all applications. Explore the full list and refine your search

NPJ digital medicine 6:48 PubMed36959234

2023

Weakly supervised deep learning to predict recurrence in low-grade endometrial cancer from multiplexed immunofluorescence images.

Applications

Unspecified application

Species

Unspecified reactive species

Daniel Jiménez-Sánchez,Álvaro López-Janeiro,María Villalba-Esparza,Mikel Ariz,Ece Kadioglu,Ivan Masetto,Virginie Goubert,Maria D Lozano,Ignacio Melero,David Hardisson,Carlos Ortiz-de-Solórzano,Carlos E de Andrea
View all publications

Product promise

We are committed to supporting your work with high-quality reagents, and we're here for you every step of the way. In the unlikely event that one of our products does not perform as expected, you're protected by our Product Promise.
For full details, please see our Terms & Conditions

Please note: All products are 'FOR RESEARCH USE ONLY. NOT FOR USE IN DIAGNOSTIC OR THERAPEUTIC PROCEDURES'.

For licensing inquiries, please contact partnerships@abcam.com