JavaScript is disabled in your browser. Please enable JavaScript to view this website.
AB222093

Anti-TIM 4 antibody [EPR22304-3]

Be the first to review this product! Submit a review

|

(1 Publication)

Rabbit Recombinant Monoclonal TIM 4 antibody. Suitable for Flow Cyt, ICC/IF and reacts with Human samples. Cited in 1 publication.

View Alternative Names

TIM4, TIMD4, T-cell immunoglobulin and mucin domain-containing protein 4, TIMD-4, T-cell immunoglobulin mucin receptor 4, T-cell membrane protein 4, TIM-4

3 Images
Immunocytochemistry/ Immunofluorescence - Anti-TIM 4 antibody [EPR22304-3] (AB222093)
  • ICC/IF

Unknown

Immunocytochemistry/ Immunofluorescence - Anti-TIM 4 antibody [EPR22304-3] (AB222093)

Immunofluorescent analysis of 4% paraformaldehyde-fixed, 0.1% Triton X-100 permeabilized TIM 4 transfected HEK-293T (Human epithelial cell line from embryonic kidney transformed with large T antigen) cells labeling TIM 4 (Green) with ab222093 at 1/100 dilution, followed by AlexaFluor®488 Goat anti-Rabbit secondary (ab150077) antibody at 1/1000 dilution. Confocal image showing positive staining in HEK-293T cells transfected with a myc-tagged TIM 4 expression construct. myc-Tag (9B11) Mouse mAb (Alexa Fluor® 594 Conjugate) (ab223894) was used as the counterstain (Red) at 1/100 dilution. The nuclear counterstain was DAPI (Blue).

Negative control : Myc only transfected HEK-293T cells.

Secondary antibody only control : Used PBS instead of primary antibody, secondary antibody is AlexaFluor®488 Goat anti-Rabbit secondary (ab150077).

Flow Cytometry - Anti-TIM 4 antibody [EPR22304-3] (AB222093)
  • Flow Cyt

Unknown

Flow Cytometry - Anti-TIM 4 antibody [EPR22304-3] (AB222093)

Flow cytometric analysis of 4% paraformaldehyde-fixed HEK-293T (Human epithelial cell line from embryonic kidney transformed with large T antigen) transfected with a myc-tagged TIM 4 expression construct labeling TIM 4 with ab222093 at 1/500 dilution (Red) compared with a Rabbit monoclonal IgG (ab172730, Black) and an unlabeled control (cells without incubation with primary antibody and secondary antibody, Blue).

Cells were surface stained with ab222093. Then fixed with 2% PFA for 10min, followed by intracellular staining of anti-myc tag conjugated to Alexa Fluor®647.

Gated on myc -positive population.

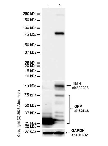
Western blot - Anti-TIM 4 antibody [EPR22304-3] (AB222093)
  • WB

Supplier Data

Western blot - Anti-TIM 4 antibody [EPR22304-3] (AB222093)

In Western blot, Anti-GAPDH antibody [EPR16891] - Loading Control (ab181602) staining at 1/200000 dilution.

In Western blot, Anti-GFP antibody [E385] (ab32146) staining at 1/10000 dilution.

In Western blot, Anti-TIM 4 antibody [EPR22304-3] (ab222093) staining at 1/1000 dilution.

All lanes:

Western blot - Anti-HA tag antibody [RM1058] (<a href='/en-us/products/primary-antibodies/ha-tag-antibody-rm1058-ab314237'>ab314237</a>) at 1/1000 dilution

Lane 1:

293T (human embryonic kidney) transfected with an empty vector (vector control), containing a myc-GFP-tag, whole cell lysate at 20 µg with 5% NFDM/TBST

Lane 2:

293T transfected with TIM 4 (WT) expression vector containing a HA-myc-His-GFP-tag and PDGFR TM domain, whole cell lysate at 20 µg with 5% NFDM/TBST

Secondary

All lanes:

Western blot - Goat Anti-Rabbit IgG H&L (HRP) (<a href='/en-us/products/secondary-antibodies/goat-rabbit-igg-h-l-hrp-ab97051'>ab97051</a>) at 1/100000 dilution

Observed band size: 78 kDa,36 kDa

false

Exposure time: 37s

Key facts

Host species

Rabbit

Clonality

Monoclonal

Clone number

EPR22304-3

Isotype

IgG

Carrier free

No

Reacts with

Human

Applications

Flow Cyt, ICC/IF

applications

Immunogen

The exact immunogen used to generate this antibody is proprietary information.

Reactivity data

{ "title": "Reactivity Data", "filters": { "stats": ["", "Species", "Dilution Info", "Notes"], "tabs": { "all-applications": {"fullname" : "All Applications", "shortname": "All Applications"}, "IP" : {"fullname" : "Immunoprecipitation", "shortname":"IP"}, "FlowCyt" : {"fullname" : "Flow Cytometry", "shortname":"Flow Cyt"}, "WB" : {"fullname" : "Western blot", "shortname":"WB"}, "IHCP" : {"fullname" : "Immunohistochemistry (Formalin/PFA-fixed paraffin-embedded sections)", "shortname":"IHC-P"}, "ICCIF" : {"fullname" : "Immunocytochemistry/ Immunofluorescence", "shortname":"ICC/IF"} }, "product-promise": { "all": "all", "testedAndGuaranteed": "tested", "guaranteed": "expected", "predicted": "predicted", "notRecommended": "not-recommended" } }, "values": { "Human": { "IP-species-checked": "notRecommended", "IP-species-dilution-info": "", "IP-species-notes": "<p></p>", "FlowCyt-species-checked": "testedAndGuaranteed", "FlowCyt-species-dilution-info": "1/500", "FlowCyt-species-notes": "<p></p>", "WB-species-checked": "notRecommended", "WB-species-dilution-info": "", "WB-species-notes": "<p></p>", "IHCP-species-checked": "notRecommended", "IHCP-species-dilution-info": "", "IHCP-species-notes": "<p></p>", "ICCIF-species-checked": "testedAndGuaranteed", "ICCIF-species-dilution-info": "1/100", "ICCIF-species-notes": "<p></p>" } } }

Product details

Patented technology
Our RabMAb® technology is a patented hybridoma-based technology for making rabbit monoclonal antibodies. For details on our patents, please refer to RabMAb® patents.

What are the advantages of a recombinant monoclonal antibody?
This product is a recombinant monoclonal antibody, which offers several advantages including:

  • - High batch-to-batch consistency and reproducibility
  • - Improved sensitivity and specificity
  • - Long-term security of supply
  • - Animal-free batch production

For more information, read more on recombinant antibodies.

Properties and storage information

Form
Liquid
Purification technique
Affinity purification Protein A
Storage buffer
pH: 7.2 - 7.4 Preservative: 0.01% Sodium azide Constituents: PBS, 40% Glycerol (glycerin, glycerine), 0.05% BSA
Shipped at conditions
Blue Ice
Appropriate short-term storage duration
1-2 weeks
Appropriate short-term storage conditions
+4°C
Appropriate long-term storage conditions
-20°C
Aliquoting information
Upon delivery aliquot
Storage information
Avoid freeze / thaw cycle

Supplementary information

This supplementary information is collated from multiple sources and compiled automatically.

TIM 4 also known as T cell immunoglobulin and mucin domain 4 is a protein of significant interest in immunology. It belongs to the TIM family of proteins which includes TIM 1 TIM 2 and TIM 3. TIM 4 weighs approximately 70 kDa and is mainly expressed on antigen-presenting cells including dendritic cells and macrophages. This protein plays an important role in immune response through its ability to recognize phosphatidylserine on apoptotic cells facilitating their clearance.
Biological function summary

The function of TIM 4 extends to regulating immune homeostasis and tolerance. TIM 4 does not possess signaling motifs itself but often associates with other adaptor proteins to exert its biological effects. It acts independently or forms part of complexes that modulate cell signaling events influencing the outcome of immune responses. The protein plays important roles in maintaining the delicate balance of immune activation and suppression which is critical to preventing autoimmunity.

Pathways

TIM 4 interaction occurs in pathways like the phosphatidylserine-mediated phagocytosis pathway which involves clearance of apoptotic cells. TIM 4 engages with phosphatidylserine a process important to maintaining tissue homeostasis and preventing inflammation. It works alongside other proteins in similar pathways including TIM 3 where together they mediate distinct and overlapping cellular processes involved in immune regulation.

TIM 4 presents significant implications in conditions including autoimmune diseases and cancer. Aberrant expression or function of TIM 4 associates with autoimmune disorders where it may contribute to the insufficient clearance of apoptotic cells subsequently promoting autoimmunity. In cancer altered TIM 4 activity can influence tumor progression by affecting immune evasion mechanisms. As TIM 4 interacts with TIM 3 these proteins together play roles in the development and progression of these diseases.

Product protocols

For this product, it's our understanding that no specific protocols are required. You can visit:

Target data

Phosphatidylserine receptor that plays different role in immune response including phagocytosis of apoptotic cells and T-cell regulation. Controls T-cell activation in a bimodal fashion, decreasing the activation of naive T-cells by inducing cell cycle arrest, while increasing proliferation of activated T-cells by activating AKT1 and ERK1/2 phosphorylations and subsequent signaling pathways (By similarity). Also plays a role in efferocytosis which is the process by which apoptotic cells are removed by phagocytic cells (PubMed : 32703939, PubMed : 34067457). Mechanistically, promotes the engulfment of apoptotic cells or exogenous particles by securing them to phagocytes through direct binding to phosphatidylserine present on apoptotic cells, while other engulfment receptors such as MERTK efficiently recognize apoptotic cells and mediate their ingestion (PubMed : 32640697). Additionally, promotes autophagy process by suppressing NLRP3 inflammasome activity via activation of LKB1/PRKAA1 pathway in a phosphatidylserine-dependent mechanism (By similarity).. (Microbial infection) Plays a positive role in exosome-mediated trafficking of HIV-1 virus and its entry into immune cells.
See full target information TIMD4

Publications (1)

Recent publications for all applications. Explore the full list and refine your search

Annali italiani di chirurgia 95:299-307 PubMed38918963

2024

The Factors for the Occurrence of Pulmonary Infection after Gastrointestinal Surgery and the Construction of a Predictive Model Using sTREM-1 and TIM-4: A Retrospective Study.

Applications

Unspecified application

Species

Unspecified reactive species

Dai Tang,Hua Ge,Zhengquan Tan,Maozhao Yan,Jiacheng Song
View all publications

Product promise

We are committed to supporting your work with high-quality reagents, and we're here for you every step of the way. In the unlikely event that one of our products does not perform as expected, you're protected by our Product Promise.
For full details, please see our Terms & Conditions

Please note: All products are 'FOR RESEARCH USE ONLY. NOT FOR USE IN DIAGNOSTIC OR THERAPEUTIC PROCEDURES'.

For licensing inquiries, please contact partnerships@abcam.com