JavaScript is disabled in your browser. Please enable JavaScript to view this website.
AB251909

Anti-TIM22 antibody

Be the first to review this product! Submit a review

|

(1 Publication)

Rabbit Polyclonal TIM22 antibody. Suitable for IHC-P, WB and reacts with Human samples. Cited in 1 publication. Immunogen corresponding to Recombinant Fragment Protein within Human TIMM22 aa 50 to C-terminus.

View Alternative Names

TEX4, TIM22, TIMM22, Mitochondrial import inner membrane translocase subunit Tim22, Testis-expressed protein 4

2 Images
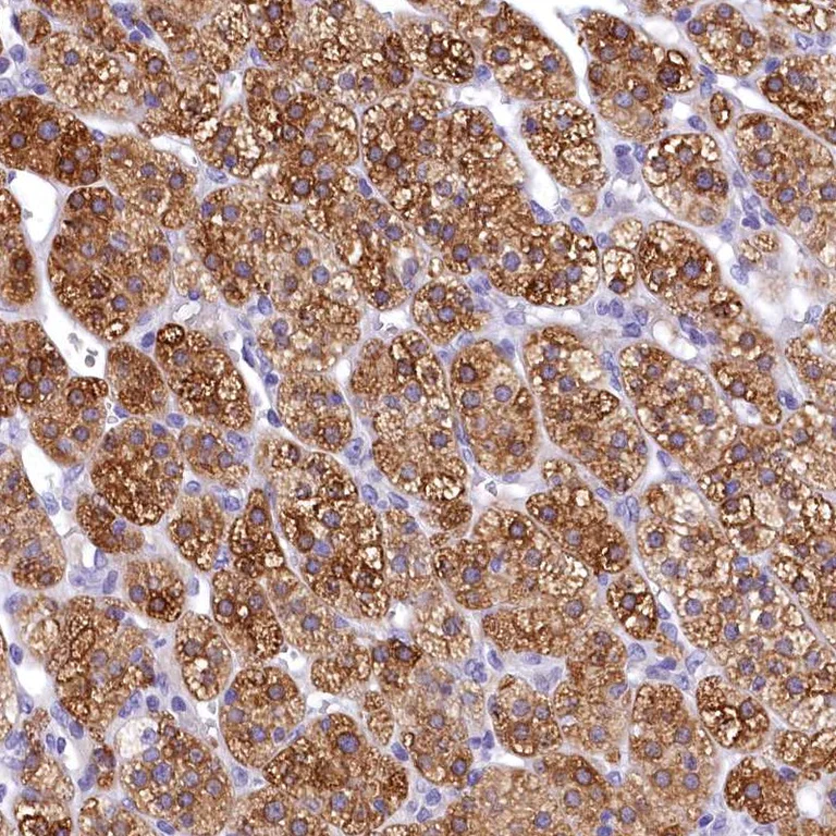
Immunohistochemistry (Formalin/PFA-fixed paraffin-embedded sections) - Anti-TIM22 antibody (AB251909)
  • IHC-P

Unknown

Immunohistochemistry (Formalin/PFA-fixed paraffin-embedded sections) - Anti-TIM22 antibody (AB251909)

Paraffin-embedded human adrenal gland tissue stained for TIM22 using ab251909 at 1/500 dilution in immunohistochemical analysis.

Western blot - Anti-TIM22 antibody (AB251909)
  • WB

Unknown

Western blot - Anti-TIM22 antibody (AB251909)

All lanes:

Western blot - Anti-TIM22 antibody (ab251909) at 0.4 µg/mL

Lane 1:

Vector only transfected HEK-293T (human epithelial cell line from embryonic kidney transformed with large T antigen) whole cell lysate

Lane 2:

HEK-293T overexpressing TIM22 with a C terminal myc-DDK tag, whole cell lysate.

Predicted band size: 20 kDa

false

Key facts

Host species

Rabbit

Clonality

Polyclonal

Isotype

IgG

Carrier free

No

Reacts with

Human

Applications

WB, IHC-P

applications

Immunogen

Recombinant Fragment Protein within Human TIMM22 aa 50 to C-terminus. The exact immunogen used to generate this antibody is proprietary information.

Q9Y584

Reactivity data

{ "title": "Reactivity Data", "filters": { "stats": ["", "Species", "Dilution Info", "Notes"], "tabs": { "all-applications": {"fullname" : "All Applications", "shortname": "All Applications"}, "IHCP" : {"fullname" : "Immunohistochemistry (Formalin/PFA-fixed paraffin-embedded sections)", "shortname":"IHC-P"}, "WB" : {"fullname" : "Western blot", "shortname":"WB"} }, "product-promise": { "all": "all", "testedAndGuaranteed": "tested", "guaranteed": "expected", "predicted": "predicted", "notRecommended": "not-recommended" } }, "values": { "Human": { "IHCP-species-checked": "testedAndGuaranteed", "IHCP-species-dilution-info": "1/500 - 1/1000", "IHCP-species-notes": "<p></p> Perform heat-mediated antigen retrieval with citrate buffer pH 6 before commencing with IHC staining protocol.", "WB-species-checked": "testedAndGuaranteed", "WB-species-dilution-info": "0.04-0.4 µg/mL", "WB-species-notes": "<p></p>" }, "Mouse": { "IHCP-species-checked": "predicted", "IHCP-species-dilution-info": "", "IHCP-species-notes": "", "WB-species-checked": "predicted", "WB-species-dilution-info": "", "WB-species-notes": "" }, "Rat": { "IHCP-species-checked": "predicted", "IHCP-species-dilution-info": "", "IHCP-species-notes": "", "WB-species-checked": "predicted", "WB-species-dilution-info": "", "WB-species-notes": "" }, "Cow": { "IHCP-species-checked": "predicted", "IHCP-species-dilution-info": "", "IHCP-species-notes": "", "WB-species-checked": "predicted", "WB-species-dilution-info": "", "WB-species-notes": "" }, "Xenopus laevis": { "IHCP-species-checked": "predicted", "IHCP-species-dilution-info": "", "IHCP-species-notes": "", "WB-species-checked": "predicted", "WB-species-dilution-info": "", "WB-species-notes": "" }, "Xenopus tropicalis": { "IHCP-species-checked": "predicted", "IHCP-species-dilution-info": "", "IHCP-species-notes": "", "WB-species-checked": "predicted", "WB-species-dilution-info": "", "WB-species-notes": "" } } }

Properties and storage information

Form
Liquid
Purification technique
Affinity purification Immunogen
Storage buffer
pH: 7.2 Preservative: 0.02% Sodium azide Constituents: PBS, 40% Glycerol (glycerin, glycerine)
Shipped at conditions
Blue Ice
Appropriate short-term storage duration
1-2 weeks
Appropriate short-term storage conditions
+4°C
Appropriate long-term storage conditions
-20°C
Aliquoting information
Upon delivery aliquot
Storage information
Avoid freeze / thaw cycle

Supplementary information

This supplementary information is collated from multiple sources and compiled automatically.

The TIM22 protein also known as Translocase of Inner Mitochondrial Membrane 22 has a molecular mass of approximately 20 kilodaltons. It plays an important mechanical role in the import and insertion of membrane proteins into the mitochondrial inner membrane. TIM22 locates itself in the mitochondrial inner membrane where it functions as part of a larger translocase complex.
Biological function summary

TIM22 interacts with several mitochondria-rich cellular environments to facilitate the integration of polytopic proteins. As part of the TIM22 complex it integrates endeavored proteins into the mitochondrial inner membrane. This integration is essential for the optimal function of the mitochondria. It interacts closely with other components including TIM54 and TIM18 which assist in its function within the complex.

Pathways

The TIM22 complex activities heavily contribute to the mitochondrial import pathways. It remains connected with the translocase of outer mitochondrial membrane (TOM) complex as it receives incoming proteins. TIM22 connects with TOM40 and small TIM such as TIM9 and TIM10 during the import and sorting processes. This integration ensures that proteins achieve the correct membrane insertion needed for mitochondrial function.

TIM22-related dysfunction can lead to mitochondrial-related disorders such as mitochondrial myopathy. This happens when the protein integration into the mitochondrial membrane faces disruption. Additionally deficiencies or mutations in TIM22 have links to neurodegenerative disorders where proper mitochondrial function is compromised. The interaction with other members of the mitochondrial membrane translocase complexes like TIM54 and TIM18 is important in these disorder contexts.

Product protocols

For this product, it's our understanding that no specific protocols are required. You can visit:

Target data

Essential core component of the TIM22 complex, a complex that mediates the import and insertion of multi-pass transmembrane proteins into the mitochondrial inner membrane. In the TIM22 complex, it constitutes the voltage-activated and signal-gated channel. Forms a twin-pore translocase that uses the membrane potential as external driving force in 2 voltage-dependent steps (By similarity).
See full target information TIMM22

Publications (1)

Recent publications for all applications. Explore the full list and refine your search

Cell journal 25:222-228 PubMed37210642

2023

Understanding The Regulatory Role of USP32 and SHMT2 in The Progression of Gastric Cancer.

Applications

Unspecified application

Species

Unspecified reactive species

Jun Li,Yafei Bo,Bo Ding,Lei Wang
View all publications

Product promise

We are committed to supporting your work with high-quality reagents, and we're here for you every step of the way. In the unlikely event that one of our products does not perform as expected, you're protected by our Product Promise.
For full details, please see our Terms & Conditions

Please note: All products are 'FOR RESEARCH USE ONLY. NOT FOR USE IN DIAGNOSTIC OR THERAPEUTIC PROCEDURES'.

For licensing inquiries, please contact partnerships@abcam.com