JavaScript is disabled in your browser. Please enable JavaScript to view this website.
AB251197

Anti-TIM44 antibody [EPR16821] - BSA and Azide free

Be the first to review this product! Submit a review

|

(1 Publication)

Rabbit Recombinant Monoclonal TIM44 antibody. Carrier free. Suitable for ICC/IF, IP, WB, IHC-P and reacts with Human, Mouse samples. Cited in 1 publication.

View Alternative Names

MIMT44, TIM44, TIMM44, Mitochondrial import inner membrane translocase subunit TIM44

5 Images
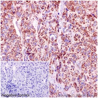
Immunohistochemistry (Formalin/PFA-fixed paraffin-embedded sections) - Anti-TIM44 antibody [EPR16821] - BSA and Azide free (AB251197)
  • IHC-P

Supplier Data

Immunohistochemistry (Formalin/PFA-fixed paraffin-embedded sections) - Anti-TIM44 antibody [EPR16821] - BSA and Azide free (AB251197)

This data was developed using ab194829, the same antibody clone in a different buffer formulation.

Immunohistochemical analysis of paraffin-embedded Human endometrial adenocarcinoma tissue labeling TIM44 with ab194829 at 1/100 dilution (5μg/ml). A Goat Anti-Rabbit IgG H&L (HRP) at 1/500 dilution was used as secondary (ab97051). Counterstain : Hematoxylin.
Inset image : negative control obtained using PBS instead of ab194829. Cytoplasm staining on humanendometrial adenocarcinoma was observed.

Perform heat mediated antigen retrieval with Tris/EDTA buffer pH 9.0 before commencing with IHC staining protocol.

Immunocytochemistry/ Immunofluorescence - Anti-TIM44 antibody [EPR16821] - BSA and Azide free (AB251197)
  • ICC/IF

Supplier Data

Immunocytochemistry/ Immunofluorescence - Anti-TIM44 antibody [EPR16821] - BSA and Azide free (AB251197)

This data was developed using ab194829, the same antibody clone in a different buffer formulation.

Immunofluorescent analysis of A431 cells labeling TIM44 with ab194829 at 1/50 dilution. A Goat anti rabbit IgG (Alexa Fluor488) at 1/400 dilution (ab150077) was used as secondary antibody. Cells were fixed with 4% paraformaldehyde and permeabilized with 0.1% triton X-100. Counterstain : DAPI. Cytoplasm staining on A431 cell line was observed.

Immunoprecipitation - Anti-TIM44 antibody [EPR16821] - BSA and Azide free (AB251197)
  • IP

Supplier Data

Immunoprecipitation - Anti-TIM44 antibody [EPR16821] - BSA and Azide free (AB251197)

This data was developed using ab194829, the same antibody clone in a different buffer formulation.

Immunoprecipitation analysis of immunoprecipitation pellet from K562 cell lysate immunoprecipitated using ab194826 at 1/20 dilution (Lane 1). Lane 2 : PBS instead of K562 cell lysate. ab194829 at 1/1000 was used for subsequent western blot detection. Anti-Rabbit IgG (HRP), specific to the non-reduced form of IgG at 1/1500 was used as secondary antibody.

All lanes:

Immunoprecipitation - Anti-TIM44 antibody [EPR16821] (<a href='/en-us/products/primary-antibodies/tim44-antibody-epr16821-ab194829'>ab194829</a>)

Predicted band size: 51 kDa

false

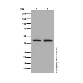
Western blot - Anti-TIM44 antibody [EPR16821] - BSA and Azide free (AB251197)
  • WB

Supplier Data

Western blot - Anti-TIM44 antibody [EPR16821] - BSA and Azide free (AB251197)

This data was developed using ab194829, the same antibody clone in a different buffer formulation.

All lanes:

Western blot - Anti-TIM44 antibody [EPR16821] (<a href='/en-us/products/primary-antibodies/tim44-antibody-epr16821-ab194829'>ab194829</a>) at 1/5000 dilution

Lane 1:

A431 cell lysate at 20 µg

Lane 2:

HepG2 cell lysate at 20 µg

Secondary

All lanes:

Goat Anti-Rabbit IgG, (H+L), Peroxidase conjugated at 1/1000 dilution

Predicted band size: 51 kDa

false

Western blot - Anti-TIM44 antibody [EPR16821] - BSA and Azide free (AB251197)
  • WB

Supplier Data

Western blot - Anti-TIM44 antibody [EPR16821] - BSA and Azide free (AB251197)

This data was developed using ab194829, the same antibody clone in a different buffer formulation.

All lanes:

Western blot - Anti-TIM44 antibody [EPR16821] (<a href='/en-us/products/primary-antibodies/tim44-antibody-epr16821-ab194829'>ab194829</a>) at 1/1000 dilution

All lanes:

Mouse heart tissue lysate at 10 µg

Secondary

All lanes:

Goat Anti-Rabbit IgG, (H+L), Peroxidase conjugated at 1/1000 dilution

Predicted band size: 51 kDa

false

Key facts

Host species

Rabbit

Clonality

Monoclonal

Clone number

EPR16821

Isotype

IgG

Carrier free

Yes

Reacts with

Mouse, Human

Applications

IHC-P, IP, WB, ICC/IF

applications

Immunogen

The exact immunogen used to generate this antibody is proprietary information.

Reactivity data

{ "title": "Reactivity Data", "filters": { "stats": ["", "Species", "Dilution Info", "Notes"], "tabs": { "all-applications": {"fullname" : "All Applications", "shortname": "All Applications"}, "ICCIF" : {"fullname" : "Immunocytochemistry/ Immunofluorescence", "shortname":"ICC/IF"}, "IP" : {"fullname" : "Immunoprecipitation", "shortname":"IP"}, "WB" : {"fullname" : "Western blot", "shortname":"WB"}, "IHCP" : {"fullname" : "Immunohistochemistry (Formalin/PFA-fixed paraffin-embedded sections)", "shortname":"IHC-P"} }, "product-promise": { "all": "all", "testedAndGuaranteed": "tested", "guaranteed": "expected", "predicted": "predicted", "notRecommended": "not-recommended" } }, "values": { "Human": { "ICCIF-species-checked": "testedAndGuaranteed", "ICCIF-species-dilution-info": "", "ICCIF-species-notes": "<p></p>", "IP-species-checked": "testedAndGuaranteed", "IP-species-dilution-info": "", "IP-species-notes": "<p></p>", "WB-species-checked": "testedAndGuaranteed", "WB-species-dilution-info": "", "WB-species-notes": "<p></p>", "IHCP-species-checked": "testedAndGuaranteed", "IHCP-species-dilution-info": "", "IHCP-species-notes": "<p></p>" }, "Mouse": { "ICCIF-species-checked": "guaranteed", "ICCIF-species-dilution-info": "", "ICCIF-species-notes": "", "IP-species-checked": "guaranteed", "IP-species-dilution-info": "", "IP-species-notes": "", "WB-species-checked": "testedAndGuaranteed", "WB-species-dilution-info": "", "WB-species-notes": "<p></p>", "IHCP-species-checked": "guaranteed", "IHCP-species-dilution-info": "", "IHCP-species-notes": "" } } }

Product details

ab251197 is the carrier-free version of ab194829.

Patented technology
Our RabMAb® technology is a patented hybridoma-based technology for making rabbit monoclonal antibodies. For details on our patents, please refer to RabMAb® patents.

What are the advantages of a recombinant monoclonal antibody?
This product is a recombinant monoclonal antibody, which offers several advantages including:

  • - High batch-to-batch consistency and reproducibility
  • - Improved sensitivity and specificity
  • - Long-term security of supply
  • - Animal-free batch production

For more information, read more on recombinant antibodies.

Conjugation ready
Our carrier-free antibodies are typically supplied in a PBS-only formulation, purified and free of BSA, sodium azide and glycerol. This conjugation-ready format is designed for use with fluorochromes, metal isotopes, oligonucleotides, and enzymes, which makes them ideal for antibody labelling, functional and cell-based assays, flow-based assays (e.g. mass cytometry) and Multiplex Imaging applications.

Use our conjugation kits for antibody conjugates that are ready-to-use in as little as 20 minutes with 1 minute hands-on-time and 100% antibody recovery: available for fluorescent dyes, HRP, biotin and gold.

Compatibility
This product is compatible with the Maxpar® Antibody Labeling Kit from Fluidigm, without the need for antibody preparation. Maxpar® is a trademark of Fluidigm Canada Inc.

Properties and storage information

Form
Liquid
Storage buffer
pH: 7.2 - 7.4 Constituents: PBS
Shipped at conditions
Blue Ice
Appropriate short-term storage conditions
+4°C
Appropriate long-term storage conditions
+4°C
Storage information
Do Not Freeze

Supplementary information

This supplementary information is collated from multiple sources and compiled automatically.

TIM44 also known as translocase of inner mitochondrial membrane 44 serves an important role in mitochondrial protein import mechanisms. The protein weighs approximately 44 kDa and localizes in the inner mitochondrial membrane. TIM44 works as an essential part of the mitochondrial inner membrane presequence translocase complex where it assists in guiding proteins into the mitochondrial matrix. Expression of TIM44 is observed mainly in tissues with high energetic demands such as muscle and liver.
Biological function summary

TIM44 functions in conjunction with other components of the TIM23 complex which includes proteins like TIM23 and TIM17. The main role of TIM44 involves connecting the translocase complex to mitochondrial heat shock protein 70 (mtHsp70) facilitating ATP-dependent translocation of polypeptides. This process supports the import of precursor proteins synthesized in the cytosol into the mitochondria ensuring proper mitochondrial function and energy production.

Pathways

TIM44 influences the mitochondrial protein import pathway and the maintenance of mitochondrial function. As part of the protein import machinery it connects closely to the chaperone-mediated folding pathway aided by mtHsp70. The TIM23 complex participates in the translocation of proteins with mitochondrial targeting sequences linking TIM44 to pathways essential for mitochondrial biogenesis and function.

Dysfunction in the TIM44 protein associates with mitochondrial disorders including those impacting oxidative phosphorylation capacity. Mutations or deficiencies in TIM44 have connections to disorders such as mitochondrial myopathy. Relation to other proteins such as mtHsp70 and components of oxidative phosphorylation emphasizes the role of TIM44 in cellular energy homeostasis and highlights its importance in maintaining mitochondrial health.

Product protocols

For this product, it's our understanding that no specific protocols are required. You can visit:

Target data

Essential component of the PAM complex, a complex required for the translocation of transit peptide-containing proteins from the inner membrane into the mitochondrial matrix in an ATP-dependent manner (By similarity). Recruits mitochondrial HSP70 to drive protein translocation into the matrix using ATP as an energy source (By similarity).
See full target information TIMM44

Publications (1)

Recent publications for all applications. Explore the full list and refine your search

International journal of medical sciences 20:1079-1090 PubMed37484809

2023

NAT10-mediated RNA acetylation enhances HNRNPUL1 mRNA stability to contribute cervical cancer progression.

Applications

Unspecified application

Species

Unspecified reactive species

Yingfei Long,Yifei Ren,Qinglv Wei,Youchaou Mobet,Yujiao Liu,Hongyan Zhao,Tao Liu,Lei Cheng,Ping Yi
View all publications

Product promise

We are committed to supporting your work with high-quality reagents, and we're here for you every step of the way. In the unlikely event that one of our products does not perform as expected, you're protected by our Product Promise.
For full details, please see our Terms & Conditions

Please note: All products are 'FOR RESEARCH USE ONLY. NOT FOR USE IN DIAGNOSTIC OR THERAPEUTIC PROCEDURES'.

For licensing inquiries, please contact partnerships@abcam.com