JavaScript is disabled in your browser. Please enable JavaScript to view this website.
AB224320

Anti-TIMM9 antibody

Be the first to review this product! Submit a review

|

(1 Publication)

Rabbit Polyclonal TIMM9 antibody. Suitable for IHC-P, ICC/IF and reacts with Human samples. Cited in 1 publication. Immunogen corresponding to Recombinant Full Length Protein corresponding to Human TIMM9.

View Alternative Names

TIM9, TIM9A, TIMM9A, TIMM9, Mitochondrial import inner membrane translocase subunit Tim9

2 Images
Immunocytochemistry/ Immunofluorescence - Anti-TIMM9 antibody (AB224320)
  • ICC/IF

Supplier Data

Immunocytochemistry/ Immunofluorescence - Anti-TIMM9 antibody (AB224320)

PFA-fixed/Triton X-100 permeabilized U-251 MG (human brain glioma cell line) cells stained for TIMM9 (green) using ab224320 at 4 μg/ml in ICC/IF.

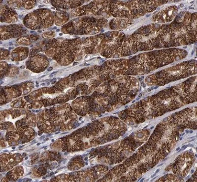
Immunohistochemistry (Formalin/PFA-fixed paraffin-embedded sections) - Anti-TIMM9 antibody (AB224320)
  • IHC-P

Supplier Data

Immunohistochemistry (Formalin/PFA-fixed paraffin-embedded sections) - Anti-TIMM9 antibody (AB224320)

Paraffin-embedded human stomach tissue stained for TIMM9 using ab224320 at 1/50 dilution in immunohistochemical analysis.

Key facts

Host species

Rabbit

Clonality

Polyclonal

Isotype

IgG

Carrier free

No

Reacts with

Human

Applications

IHC-P, ICC/IF

applications

Immunogen

Recombinant Full Length Protein corresponding to Human TIMM9.

Q9Y5J7

Reactivity data

{ "title": "Reactivity Data", "filters": { "stats": ["", "Species", "Dilution Info", "Notes"], "tabs": { "all-applications": {"fullname" : "All Applications", "shortname": "All Applications"}, "IHCP" : {"fullname" : "Immunohistochemistry (Formalin/PFA-fixed paraffin-embedded sections)", "shortname":"IHC-P"}, "ICCIF" : {"fullname" : "Immunocytochemistry/ Immunofluorescence", "shortname":"ICC/IF"} }, "product-promise": { "all": "all", "testedAndGuaranteed": "tested", "guaranteed": "expected", "predicted": "predicted", "notRecommended": "not-recommended" } }, "values": { "Human": { "IHCP-species-checked": "testedAndGuaranteed", "IHCP-species-dilution-info": "1/50 - 1/200", "IHCP-species-notes": "<p></p> Perform heat-mediated antigen retrieval with citrate buffer pH 6 before commencing with IHC staining protocol.", "ICCIF-species-checked": "testedAndGuaranteed", "ICCIF-species-dilution-info": "0.25-2 µg/mL", "ICCIF-species-notes": "<p>Fixation/Permeabilization: PFA/Triton X-100.</p>" }, "Mouse": { "IHCP-species-checked": "predicted", "IHCP-species-dilution-info": "", "IHCP-species-notes": "", "ICCIF-species-checked": "predicted", "ICCIF-species-dilution-info": "", "ICCIF-species-notes": "" }, "Rat": { "IHCP-species-checked": "predicted", "IHCP-species-dilution-info": "", "IHCP-species-notes": "", "ICCIF-species-checked": "predicted", "ICCIF-species-dilution-info": "", "ICCIF-species-notes": "" }, "Cow": { "IHCP-species-checked": "predicted", "IHCP-species-dilution-info": "", "IHCP-species-notes": "", "ICCIF-species-checked": "predicted", "ICCIF-species-dilution-info": "", "ICCIF-species-notes": "" }, "Xenopus laevis": { "IHCP-species-checked": "predicted", "IHCP-species-dilution-info": "", "IHCP-species-notes": "", "ICCIF-species-checked": "predicted", "ICCIF-species-dilution-info": "", "ICCIF-species-notes": "" } } }

Properties and storage information

Form
Liquid
Purification technique
Affinity purification Immunogen
Storage buffer
pH: 7.2 Preservative: 0.02% Sodium azide Constituents: PBS, 40% Glycerol (glycerin, glycerine)
Shipped at conditions
Blue Ice
Appropriate short-term storage duration
1-2 weeks
Appropriate short-term storage conditions
+4°C
Appropriate long-term storage conditions
-20°C
Aliquoting information
Upon delivery aliquot
Storage information
Avoid freeze / thaw cycle

Supplementary information

This supplementary information is collated from multiple sources and compiled automatically.

TIMM9 also known as TINY TIM9 or TIM9 is a part of the TIMM complex that plays an essential role in mitochondrial protein import. It is a small protein with a molecular mass of approximately 10 kDa. TIMM9 is expressed mainly in mitochondria and is involved in the important process of transferring precursor proteins from the TOM complex to the TIM22 translocase within the inner mitochondrial membrane. This transfer ensures that proteins are correctly integrated and functional within the mitochondrial inner membrane.
Biological function summary

TIMM9 operates as part of the TIMM9-TIMM10 complex which is integral for the import and assembly of mitochondrial carrier proteins. This assembly occurs within the mitochondrial intermembrane space aiding in the continuation of oxidative phosphorylation and energy production by maintaining the mitochondrial carrier proteins’ activity. The TIMM9-TIMM10 complex therefore facilitates the stability and functionality of mitochondrial membranes important for cellular metabolism and energy homeostasis.

Pathways

TIMM9 is significantly involved in the protein translocation pathway specific to mitochondria. It functions closely with the TIM22 translocase serving as an escort for protein precursors. In this pathway TIMM9 collaborates alongside TIMM10 forming an essential step in the translocation of hydrophobic precursor proteins important for mitochondrial activity. This collaboration ensures the integrity of importing key proteins that drive processes like ATP production and metabolic regulation within mitochondria.

Mutations or dysfunctions in TIMM9 are linked to mitochondrial disorders that affect energy metabolism. Disorders such as Mitochondrial Encephalomyopathy can arise from a deficiency in the TIMM9-TIMM10 functional complex causing impaired protein import and oxidative phosphorylation. TIMM9 is also interconnected with disorders involving TIMM10 since they jointly facilitate mitochondrial function indicating that disruptions in either protein can lead to related pathophysiological conditions where energy metabolizing tissues like those in the brain and muscles are most affected.

Product protocols

For this product, it's our understanding that no specific protocols are required. You can visit:

Target data

Mitochondrial intermembrane chaperone that participates in the import and insertion of multi-pass transmembrane proteins into the mitochondrial inner membrane. May also be required for the transfer of beta-barrel precursors from the TOM complex to the sorting and assembly machinery (SAM complex) of the outer membrane. Acts as a chaperone-like protein that protects the hydrophobic precursors from aggregation and guide them through the mitochondrial intermembrane space.
See full target information TIMM9

Publications (1)

Recent publications for all applications. Explore the full list and refine your search

Theranostics 12:910-928 PubMed34976220

2022

Dysregulation of interaction between LOX fibroblast and smooth muscle cells contributes to the pathogenesis of aortic dissection.

Applications

Unspecified application

Species

Unspecified reactive species

Yinan Chen,Tao Zhang,Fang Yao,Xiang Gao,Dandan Li,Shufang Fu,Lin Mao,Fei Liu,Xuelin Zhang,Yongle Xu,Jianqing Deng,Weihao Li,Guangpu Fan,Cangsong Xiao,Yu Chen,Li Wang,Wei Guo,Bingying Zhou
View all publications

Product promise

We are committed to supporting your work with high-quality reagents, and we're here for you every step of the way. In the unlikely event that one of our products does not perform as expected, you're protected by our Product Promise.
For full details, please see our Terms & Conditions

Please note: All products are 'FOR RESEARCH USE ONLY. NOT FOR USE IN DIAGNOSTIC OR THERAPEUTIC PROCEDURES'.

For licensing inquiries, please contact partnerships@abcam.com