JavaScript is disabled in your browser. Please enable JavaScript to view this website.
AB109125

Anti-TIMP1 antibody [EPR1550]

Be the first to review this product! Submit a review

|

(34 Publications)

Knockout Tested Rabbit Recombinant Monoclonal TIMP1 antibody. Suitable for WB, IHC-P and reacts with Human, Recombinant fragment samples. Cited in 34 publications.

View Alternative Names

CLGI, TIMP, TIMP1, Metalloproteinase inhibitor 1, Erythroid-potentiating activity, Fibroblast collagenase inhibitor, Tissue inhibitor of metalloproteinases 1, EPA, Collagenase inhibitor, TIMP-1

8 Images
Immunohistochemistry (Formalin/PFA-fixed paraffin-embedded sections) - Anti-TIMP1 antibody [EPR1550] (AB109125)
  • IHC-P

Lab

Immunohistochemistry (Formalin/PFA-fixed paraffin-embedded sections) - Anti-TIMP1 antibody [EPR1550] (AB109125)

Immunohistochemistry (Formalin/PFA-fixed paraffin-embedded sections) analysis of human prostatic hyperplasia tissue sections labeling TIMP1 with purified ab109125 at 1 : 8000 dilution (0.21 μg/ml). Heat mediated antigen retrieval was performed using EDTA buffer, pH 9.0. Tissue was counterstained with hematoxylin. ImmunoHistoProbe one step HRP Polymer (ready to use) secondary antibody was used at 1 : 0 dilution. PBS instead of the primary antibody was used as the negative control.

Immunohistochemistry (Formalin/PFA-fixed paraffin-embedded sections) - Anti-TIMP1 antibody [EPR1550] (AB109125)
  • IHC-P

Lab

Immunohistochemistry (Formalin/PFA-fixed paraffin-embedded sections) - Anti-TIMP1 antibody [EPR1550] (AB109125)

Immunohistochemistry (Formalin/PFA-fixed paraffin-embedded sections) analysis of human thyroid carcinoma tissue sections labeling TIMP1 with purified ab109125 at 1 : 8000 dilution (0.21 μg/ml). Heat mediated antigen retrieval was performed using EDTA buffer, pH 9.0. Tissue was counterstained with hematoxylin. ImmunoHistoProbe one step HRP Polymer (ready to use) secondary antibody was used at 1 : 0 dilution. PBS instead of the primary antibody was used as the negative control.

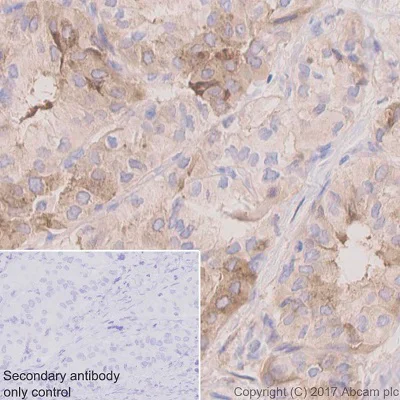
Immunohistochemistry (Formalin/PFA-fixed paraffin-embedded sections) - Anti-TIMP1 antibody [EPR1550] (AB109125)
  • IHC-P

Unknown

Immunohistochemistry (Formalin/PFA-fixed paraffin-embedded sections) - Anti-TIMP1 antibody [EPR1550] (AB109125)

Unpurified ab109125, at 1/250 dilution staining TIMP1 in paraffin-embedded human liver tissue, by Immunohistochemistry.

Western blot - Anti-TIMP1 antibody [EPR1550] (AB109125)
  • WB

Unknown

Western blot - Anti-TIMP1 antibody [EPR1550] (AB109125)

All lanes:

Western blot - Anti-TIMP1 antibody [EPR1550] (ab109125) at 1/1000 dilution

Lane 1:

HL60+TPA cell lysates at 10 µg

Lane 2:

PBMC cell lysates at 10 µg

Predicted band size: 23 kDa

false

Western blot - Anti-TIMP1 antibody [EPR1550] (AB109125)
  • WB

Lab

Western blot - Anti-TIMP1 antibody [EPR1550] (AB109125)

Lanes 1-4 : Merged signal (red and green). Green - ab109125 observed at 26 kDa. Red - loading control ab7291 observed at 50 kDa.

ab109125 Anti-TIMP1 antibody [EPR1550] was shown to specifically react with TIMP1 in wild-type HeLa cells. Loss of signal was observed when knockout cell line ab261740 (knockout cell lysate ab257291) was used. Wild-type and TIMP1 knockout samples were subjected to SDS-PAGE. ab109125 and Anti-alpha Tubulin antibody [DM1A] - Loading Control (ab7291) were incubated overnight at 4°C at 1 in 1000 dilution and 1 in 20000 dilution respectively. Blots were developed with Goat anti-Rabbit IgG H&L (IRDye® 800CW) preadsorbed (ab216773) and Goat anti-Mouse IgG H&L (IRDye® 680RD) preadsorbed (ab216776) secondary antibodies at 1 in 20000 dilution for 1 hour at room temperature before imaging.

All lanes:

Western blot - Anti-TIMP1 antibody [EPR1550] (ab109125) at 1/1000 dilution

Lane 1:

Wild-type HeLa cell lysate at 20 µg

Lane 2:

TIMP1 knockout HeLa cell lysate at 20 µg

Lane 3:

HT-1080 treated with 200ng/ml 12-O-Tetradecanoylphorbol-13-acetate (TPA) for 24 hours, cell lysate at 20 µg

Lane 4:

Untreated HT-1080 cell lysate at 20 µg

Secondary

All lanes:

Western blot - Goat anti-Rabbit IgG H&L (IRDye® 800CW) preadsorbed (<a href='/en-us/products/secondary-antibodies/goat-rabbit-igg-h-l-irdye-800cw-preadsorbed-ab216773'>ab216773</a>) at 1/10000 dilution

Predicted band size: 23 kDa

Observed band size: 26 kDa

false

Western blot - Anti-TIMP1 antibody [EPR1550] (AB109125)
  • WB

Lab

Western blot - Anti-TIMP1 antibody [EPR1550] (AB109125)

False colour image of Western blot : Anti-TIMP1 antibody [EPR1550] staining at 1/1000 dilution, shown in green; Mouse anti-GAPDH antibody [6C5] (ab8245) loading control staining at 1/20000 dilution, shown in red. In Western blot, ab109125 was shown to bind specifically to TIMP1. A band was observed at 30 kDa in wild-type HeLa cell lysates with no signal observed at this size in TIMP1 knockout cell line ab264022 (knockout cell lysate ab260091). The identity of bands observed at higher molecular weights has not been determined. To generate this image, wild-type and TIMP1 knockout HeLa cell lysates were analysed. First, samples were run on an SDS-PAGE gel then transferred onto a nitrocellulose membrane. Membranes were blocked in fluorescent western blot (TBS-based) blocking solution before incubation with primary antibodies overnight at 4 °C. Blots were washed four times in TBS-T, incubated with secondary antibodies for 1 h at room temperature, washed again four times then imaged. Secondary antibodies used were Goat anti-Rabbit IgG H&L 800CW and Goat anti-Mouse IgG H&L 680RD at 1/20000 dilution.

All lanes:

Western blot - Anti-TIMP1 antibody [EPR1550] (ab109125) at 1/1000 dilution

Lane 1:

Wild-type HeLa cell lysate at 20 µg

Lane 2:

TIMP1 knockout HeLa cell lysate at 20 µg

Lane 3:

MOLT-4 cell lysate at 20 µg

Lane 4:

SH-SY5Y cell lysate at 20 µg

Lane 5:

U-87 MG cell lysate at 20 µg

Predicted band size: 23 kDa

Observed band size: 30 kDa

false

Western blot - Anti-TIMP1 antibody [EPR1550] (AB109125)
  • WB

Unknown

Western blot - Anti-TIMP1 antibody [EPR1550] (AB109125)

All lanes:

Western blot - Anti-TIMP1 antibody [EPR1550] (ab109125) at 1/1000 dilution

All lanes:

TIMP1 recombinant protein at 10 µg

Predicted band size: 23 kDa

false

Western blot - Anti-TIMP1 antibody [EPR1550] (AB109125)
  • WB

Lab

Western blot - Anti-TIMP1 antibody [EPR1550] (AB109125)

Blocking and diluting buffer : 5% NFDM/TBST

All lanes:

Western blot - Anti-TIMP1 antibody [EPR1550] (ab109125) at 1/1000 dilution

Lane 1:

Human prostate lysates at 20 µg

Lane 2:

HT-1080 (Human fibrosarcoma epithelial cell) treated with 200ng/ml TPA for 24 hours whole cell lysates at 15 µg

Lane 3:

Untreated with HT-1080 (Human fibrosarcoma epithelial cell) whole cell lysates at 15 µg

Secondary

All lanes:

Anti-Rabbit IgG (HRP), specific to the non-reduced form of IgG at 1/2000 dilution

Predicted band size: 23 kDa

false

Key facts

Host species

Rabbit

Clonality

Monoclonal

Clone number

EPR1550

Isotype

IgG

Carrier free

No

Reacts with

Human

Applications

WB, IHC-P

applications

Immunogen

The exact immunogen used to generate this antibody is proprietary information.

Reactivity data

{ "title": "Reactivity Data", "filters": { "stats": ["", "Species", "Dilution Info", "Notes"], "tabs": { "all-applications": {"fullname" : "All Applications", "shortname": "All Applications"}, "FlowCyt" : {"fullname" : "Flow Cytometry", "shortname":"Flow Cyt"}, "IP" : {"fullname" : "Immunoprecipitation", "shortname":"IP"}, "ICCIF" : {"fullname" : "Immunocytochemistry/ Immunofluorescence", "shortname":"ICC/IF"}, "WB" : {"fullname" : "Western blot", "shortname":"WB"}, "IHCP" : {"fullname" : "Immunohistochemistry (Formalin/PFA-fixed paraffin-embedded sections)", "shortname":"IHC-P"} }, "product-promise": { "all": "all", "testedAndGuaranteed": "tested", "guaranteed": "expected", "predicted": "predicted", "notRecommended": "not-recommended" } }, "values": { "Human": { "FlowCyt-species-checked": "notRecommended", "FlowCyt-species-dilution-info": "", "FlowCyt-species-notes": "<p></p>", "IP-species-checked": "notRecommended", "IP-species-dilution-info": "", "IP-species-notes": "<p></p>", "ICCIF-species-checked": "notRecommended", "ICCIF-species-dilution-info": "", "ICCIF-species-notes": "<p></p>", "WB-species-checked": "testedAndGuaranteed", "WB-species-dilution-info": "1/1000 - 1/10000", "WB-species-notes": "<p></p>", "IHCP-species-checked": "testedAndGuaranteed", "IHCP-species-dilution-info": "1/8000", "IHCP-species-notes": "<p><strong>For unpurified use at 1/250 - 1/500.</strong></p>" }, "Recombinant fragment": { "FlowCyt-species-checked": "notRecommended", "FlowCyt-species-dilution-info": "", "FlowCyt-species-notes": "", "IP-species-checked": "notRecommended", "IP-species-dilution-info": "", "IP-species-notes": "", "ICCIF-species-checked": "notRecommended", "ICCIF-species-dilution-info": "", "ICCIF-species-notes": "", "WB-species-checked": "testedAndGuaranteed", "WB-species-dilution-info": "1/1000 - 1/10000", "WB-species-notes": "<p></p>", "IHCP-species-checked": "notRecommended", "IHCP-species-dilution-info": "", "IHCP-species-notes": "" } } }

Product details

Species reactivity
Mouse, Rat: We have preliminary internal testing data to indicate this antibody may not react with these species.
Please contact us for more information.

Patented technology
Our RabMAb® technology is a patented hybridoma-based technology for making rabbit monoclonal antibodies. For details on our patents, please refer to RabMAb® patents.

What are the advantages of a recombinant monoclonal antibody?
This product is a recombinant monoclonal antibody, which offers several advantages including:

  • - High batch-to-batch consistency and reproducibility
  • - Improved sensitivity and specificity
  • - Long-term security of supply
  • - Animal-free batch production

For more information, read more on recombinant antibodies.

Properties and storage information

Form
Liquid
Purification technique
Affinity purification Protein A
Storage buffer
pH: 7.2 - 7.4 Preservative: 0.01% Sodium azide Constituents: PBS, 40% Glycerol (glycerin, glycerine), 0.05% BSA
Shipped at conditions
Blue Ice
Appropriate short-term storage duration
1-2 weeks
Appropriate short-term storage conditions
+4°C
Appropriate long-term storage conditions
-20°C
Aliquoting information
Upon delivery aliquot
Storage information
Avoid freeze / thaw cycle|Stable for 12 months at -20°C

Supplementary information

This supplementary information is collated from multiple sources and compiled automatically.

Tissue Inhibitor of Metalloproteinase 1 (TIMP1) is a protein with a molecular mass of approximately 28 kDa. The protein inhibits metalloproteinases by binding to them preventing the breakdown of the extracellular matrix. This action regulates extracellular environment and tissue remodeling. TIMP1 is also known by the name Erythroid-Potentiating Activity (EPA). It is expressed in various tissues including the liver and the brain and can be found in high levels in the blood serum.
Biological function summary

TIMP1 plays several essential roles beyond inhibiting metalloproteinases. It supports cell proliferation and influences apoptosis. It is part of a larger TIMP family and does not function as part of a complex per se but interacts closely with matrix metalloproteinases (MMPs). By regulating MMP activity TIMP1 balances processes like tissue growth and inflammatory responses which are important for normal development and repair.

Pathways

TIMP1 participates in the regulation of the matrix metalloproteinase pathway impacting tissue homeostasis and repair. It closely associates with proteins such as MMP-9 and MMP-2 within this pathway. TIMP1 also plays a role in cytokine signaling pathways which influence immune responses by interacting with other signaling molecules and receptors that govern these pathways.

TIMP1's regulation of MMPs links it to cancer and cardiovascular disease progression. Overexpression of TIMP1 associates with tumor growth and metastasis where it can modulate interactions with other proteins like MMP-9 leading to altered tissue invasion and angiogenesis. Additionally TIMP1 imbalance connects to tissue fibrosis in cardiovascular disorders working in tandem with proteins such as MMP-2 which affects the structural remodeling and function of tissues within the cardiovascular system.

Product protocols

For this product, it's our understanding that no specific protocols are required. You can visit:

Target data

Metalloproteinase inhibitor that functions by forming one to one complexes with target metalloproteinases, such as collagenases, and irreversibly inactivates them by binding to their catalytic zinc cofactor. Acts on MMP1, MMP2, MMP3, MMP7, MMP8, MMP9, MMP10, MMP11, MMP12, MMP13 and MMP16. Does not act on MMP14. Also functions as a growth factor that regulates cell differentiation, migration and cell death and activates cellular signaling cascades via CD63 and ITGB1. Plays a role in integrin signaling. Mediates erythropoiesis in vitro; but, unlike IL3, it is species-specific, stimulating the growth and differentiation of only human and murine erythroid progenitors.
See full target information TIMP1

Publications (34)

Recent publications for all applications. Explore the full list and refine your search

Cellular and molecular life sciences : CMLS 82:192 PubMed40323446

2025

Fibulin-1 deficiency alleviates liver fibrosis by inhibiting hepatic stellate cell activation via the p38 MAPK pathway.

Applications

Unspecified application

Species

Unspecified reactive species

Wenshan Zhao,Jingyu Zhang,Qingdong Guo,Qi Wang,Hong Zhao,Fan Xiao,Ming Han,Ying Cao,Rui Ding,Aiting Yang,Wen Xie

Frontiers in molecular neuroscience 16:1119164 PubMed36998510

2023

Systematic identification of potential key microRNAs and circRNAs in the dorsal root ganglia of mice with sciatic nerve injury.

Applications

Unspecified application

Species

Unspecified reactive species

Youfen Yu,Xueru Xu,Chun Lin,Rongguo Liu

Nature communications 14:861 PubMed36792623

2023

Coadaptation fostered by the SLIT2-ROBO1 axis facilitates liver metastasis of pancreatic ductal adenocarcinoma.

Applications

Unspecified application

Species

Unspecified reactive species

Qing Li,Xiao-Xin Zhang,Li-Peng Hu,Bo Ni,Dong-Xue Li,Xu Wang,Shu-Heng Jiang,Hui Li,Min-Wei Yang,Yong-Sheng Jiang,Chun-Jie Xu,Xue-Li Zhang,Yan-Li Zhang,Pei-Qi Huang,Qin Yang,Yang Zhou,Jian-Ren Gu,Gary Gui-Shan Xiao,Yong-Wei Sun,Jun Li,Zhi-Gang Zhang

FASEB journal : official publication of the Federation of American Societies for Experimental Biology 37:e22779 PubMed36723798

2023

ANP promotes HTR-8/SVneo cell invasion by upregulating protein kinase N 3 via autophagy inhibition.

Applications

Unspecified application

Species

Unspecified reactive species

Nan Chu,Yao Tang,Cheng-Jie Wang,Jiang-Nan Pei,Shou-Ling Luo,Yi Yu,Zhen-Zhen Liu,Hai-Yan Liu,Xue-Min Qiu,Ling Wang,Da-Jin Li,Wei-Rong Gu

Journal of biomedical science 29:103 PubMed36457117

2022

Secretory autophagy promotes Rab37-mediated exocytosis of tissue inhibitor of metalloproteinase 1.

Applications

Unspecified application

Species

Unspecified reactive species

Shan-Ying Wu,Jia-Wen Chen,Hsi-Yu Liu,Yi-Ching Wang,Yeh-Shiu Chu,Chi-Ying Huang,Kai-Ying Lan,Hsiao-Sheng Liu,Sheng-Hui Lan

Annals of translational medicine 10:23 PubMed35242868

2022

Cangxitongbi capsules protect the articular cartilage in the rat knee through the long non-coding RNA HOTAIR/p38MAPK pathway.

Applications

Unspecified application

Species

Unspecified reactive species

Xu-Yu Song,Min Zhao,Peng Zhang,Ling-Sen Yang,Rong-Xiu Bi,Wen-Peng Xie

Frontiers in genetics 13:648134 PubMed35281807

2022

TIMP1 Indicates Poor Prognosis of Renal Cell Carcinoma and Accelerates Tumorigenesis EMT Signaling Pathway.

Applications

Unspecified application

Species

Unspecified reactive species

Yi Shou,Yuenan Liu,Jiaju Xu,Jingchong Liu,Tianbo Xu,Junwei Tong,Lilong Liu,Yaxin Hou,Di Liu,Hongmei Yang,Gong Cheng,Xiaoping Zhang

Experimental dermatology 31:841-853 PubMed34932851

2022

miR-24-3p obstructs the proliferation and migration of human skin fibroblasts after thermal injury by targeting PPAR-β and positively regulated by NF-κB.

Applications

Unspecified application

Species

Unspecified reactive species

Xu Cui,Xu Huang,Mitao Huang,Situo Zhou,Guo Le,Wenchang Yu,Mengting Duan,Bimei Jiang,Jizhang Zeng,Jie Zhou,Xiaoyuan Huang,Pengfei Liang,Pihong Zhang

PeerJ 9:e12232 PubMed34820156

2021

Circular RNA RBM33 contributes to extracellular matrix degradation miR-4268/EPHB2 axis in abdominal aortic aneurysm.

Applications

Unspecified application

Species

Unspecified reactive species

Shizhi Wang,Qingwen Yuan,Wenpeng Zhao,Weimin Zhou

Cells 10: PubMed34685761

2021

Inhibition of FABP6 Reduces Tumor Cell Invasion and Angiogenesis through the Decrease in MMP-2 and VEGF in Human Glioblastoma Cells.

Applications

Unspecified application

Species

Unspecified reactive species

Feng-Cheng Pai,Hsiang-Wei Huang,Yu-Ling Tsai,Wen-Chiuan Tsai,Yu-Chen Cheng,Hsin-Han Chang,Ying Chen
View all publications

Product promise

We are committed to supporting your work with high-quality reagents, and we're here for you every step of the way. In the unlikely event that one of our products does not perform as expected, you're protected by our Product Promise.
For full details, please see our Terms & Conditions

Please note: All products are 'FOR RESEARCH USE ONLY. NOT FOR USE IN DIAGNOSTIC OR THERAPEUTIC PROCEDURES'.

For licensing inquiries, please contact partnerships@abcam.com