JavaScript is disabled in your browser. Please enable JavaScript to view this website.
AB211926

Anti-TIMP1 antibody [EPR18352]

5

(10 Reviews)

|

(58 Publications)

Anti-TIMP1 antibody [EPR18352] (ab211926) is a rabbit monoclonal antibody detecting TIMP1 in Western Blot, IHC-P, ICC/IF. Suitable for Human.

- KO validated for confirmed specificity
- Biophysical QC for unrivalled batch-batch consistency
- Over 30 publications

View Alternative Names

CLGI, TIMP, TIMP1, Metalloproteinase inhibitor 1, Erythroid-potentiating activity, Fibroblast collagenase inhibitor, Tissue inhibitor of metalloproteinases 1, EPA, Collagenase inhibitor, TIMP-1

12 Images
Immunohistochemistry (Formalin/PFA-fixed paraffin-embedded sections) - Anti-TIMP1 antibody [EPR18352] (AB211926)
  • IHC-P

Supplier Data

Immunohistochemistry (Formalin/PFA-fixed paraffin-embedded sections) - Anti-TIMP1 antibody [EPR18352] (AB211926)

Immunohistochemical analysis of paraffin-embedded human lung cancer tissue labeling TIMP1 with ab211926 at 1/1000 dilution, followed by Goat Anti-Rabbit IgG H&L (HRP) (ab97051) at 1/500 dilution. Cytoplasmic staining on human lung cancer is observed. Counter stained with Hematoxylin.

Secondary antibody only control : Used PBS instead of primary antibody, secondary antibody is Goat Anti-Rabbit IgG H&L (HRP) (ab97051) at 1/500 dilution.

Perform heat mediated antigen retrieval with Tris/EDTA buffer pH 9.0 before commencing with IHC staining protocol.

Immunocytochemistry/ Immunofluorescence - Anti-TIMP1 antibody [EPR18352] (AB211926)
  • ICC/IF

Supplier Data

Immunocytochemistry/ Immunofluorescence - Anti-TIMP1 antibody [EPR18352] (AB211926)

Immunofluorescent analysis of 4% paraformaldehyde-fixed, 0.1% Triton X-100 permeabilized HT-29 (Human colorectal adenocarcinoma cell line) cells labeling TIMP1 with ab211926 at 1/500 dilution, followed by Goat Anti-Rabbit IgG (Alexa Fluor® 488) (ab150077) secondary antibody at 1/1000 dilution (green). Confocal image showing cytoplasmic staining on HT-29 cell line. The nuclear counter stain is DAPI (blue).

Tubulin is detected with Anti-alpha Tubulin mouse MAb (ab7291) at 1/1000 dilution, followed by Goat Anti-Mouse IgG H&L (Alexa Fluor® 594) (ab150120) secondary antibody at 1/1000 dilution (red).

The negative controls are as follows :
-ve control 1 : ab211926 at 1/500 dilution, followed by Goat Anti-Mouse IgG H&L (Alexa Fluor® 594) (ab150120) secondary antibody at 1/1000 dilution.
-ve control 2 : Anti-alpha Tubulin mouse MAb (ab7291) at 1/1000 dilution, followed by Goat Anti-Rabbit IgG (Alexa Fluor® 488) (ab150077) secondary antibody at 1/1000 dilution.

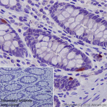
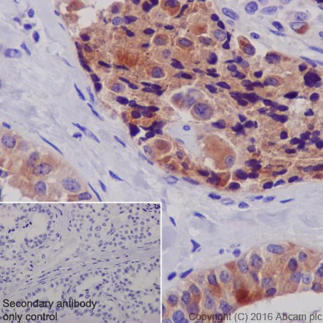
Immunohistochemistry (Formalin/PFA-fixed paraffin-embedded sections) - Anti-TIMP1 antibody [EPR18352] (AB211926)
  • IHC-P

Supplier Data

Immunohistochemistry (Formalin/PFA-fixed paraffin-embedded sections) - Anti-TIMP1 antibody [EPR18352] (AB211926)

Immunohistochemical analysis of paraffin-embedded human colon tissue labeling TIMP1 with ab211926 at 1/1000 dilution, followed by Goat Anti-Rabbit IgG H&L (HRP) (ab97051) at 1/500 dilution. Cytoplasmic staining on human colon neuroendocrine cell is observed. Counter stained with Hematoxylin.

Secondary antibody only control : Used PBS instead of primary antibody, secondary antibody is Goat Anti-Rabbit IgG H&L (HRP) (ab97051) at 1/500 dilution.

Perform heat mediated antigen retrieval with Tris/EDTA buffer pH 9.0 before commencing with IHC staining protocol.

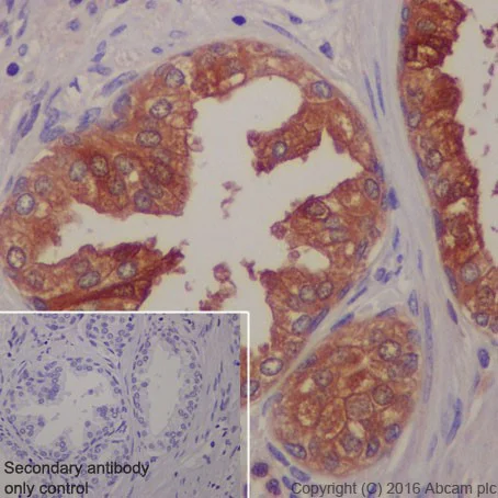
Immunohistochemistry (Formalin/PFA-fixed paraffin-embedded sections) - Anti-TIMP1 antibody [EPR18352] (AB211926)
  • IHC-P

Supplier Data

Immunohistochemistry (Formalin/PFA-fixed paraffin-embedded sections) - Anti-TIMP1 antibody [EPR18352] (AB211926)

Immunohistochemical analysis of paraffin-embedded human prostate cancer tissue labeling TIMP1 with ab211926 at 1/1000 dilution, followed by Goat Anti-Rabbit IgG H&L (HRP) (ab97051) at 1/500 dilution. Cytoplasmic staining on human prostate cancer is observed. Counter stained with Hematoxylin.

Secondary antibody only control : Used PBS instead of primary antibody, secondary antibody is Goat Anti-Rabbit IgG H&L (HRP) (ab97051) at 1/500 dilution.

Perform heat mediated antigen retrieval with Tris/EDTA buffer pH 9.0 before commencing with IHC staining protocol.

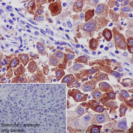
Immunohistochemistry (Formalin/PFA-fixed paraffin-embedded sections) - Anti-TIMP1 antibody [EPR18352] (AB211926)
  • IHC-P

Supplier Data

Immunohistochemistry (Formalin/PFA-fixed paraffin-embedded sections) - Anti-TIMP1 antibody [EPR18352] (AB211926)

Immunohistochemical analysis of paraffin-embedded human pancreas tissue labeling TIMP1 with ab211926 at 1/1000 dilution, followed by Goat Anti-Rabbit IgG H&L (HRP) (ab97051) at 1/500 dilution. Cytoplasmic staining on human islet is observed. Counter stained with Hematoxylin.

Secondary antibody only control : Used PBS instead of primary antibody, secondary antibody is Goat Anti-Rabbit IgG H&L (HRP) (ab97051) at 1/500 dilution.

Perform heat mediated antigen retrieval with Tris/EDTA buffer pH 9.0 before commencing with IHC staining protocol.

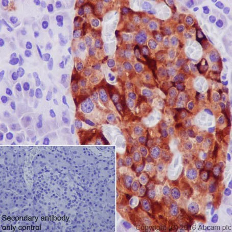
Immunohistochemistry (Formalin/PFA-fixed paraffin-embedded sections) - Anti-TIMP1 antibody [EPR18352] (AB211926)
  • IHC-P

Supplier Data

Immunohistochemistry (Formalin/PFA-fixed paraffin-embedded sections) - Anti-TIMP1 antibody [EPR18352] (AB211926)

Immunohistochemical analysis of paraffin-embedded human medullary thyroid carcinoma tissue labeling TIMP1 with ab211926 at 1/1000 dilution, followed by Goat Anti-Rabbit IgG H&L (HRP) (ab97051) at 1/500 dilution. Cytoplasmic staining on human medullary thyroid carcinoma is observed. Counter stained with Hematoxylin.

Secondary antibody only control : Used PBS instead of primary antibody, secondary antibody is Goat Anti-Rabbit IgG H&L (HRP) (ab97051) at 1/500 dilution.

Perform heat mediated antigen retrieval with Tris/EDTA buffer pH 9.0 before commencing with IHC staining protocol.

Immunocytochemistry/ Immunofluorescence - Anti-TIMP1 antibody [EPR18352] (AB211926)
  • ICC/IF

Supplier Data

Immunocytochemistry/ Immunofluorescence - Anti-TIMP1 antibody [EPR18352] (AB211926)

Immunofluorescent analysis of 4% paraformaldehyde-fixed, 0.1% Triton X-100 permeabilized SK-OV-3 (Human ovarian cancer cell line) cells labeling TIMP1 with ab211926 at 1/500 dilution, followed by Goat Anti-Rabbit IgG (Alexa Fluor® 488) (ab150077) secondary antibody at 1/1000 dilution (green). Confocal image showing cytoplasmic staining on SK-OV-3 cell line. The nuclear counter stain is DAPI (blue).

Tubulin is detected with Anti-alpha Tubulin mouse MAb (ab7291) at 1/1000 dilution, followed by Goat Anti-Mouse IgG H&L (Alexa Fluor® 594) (ab150120) secondary antibody at 1/1000 dilution (red).

The negative controls are as follows :
-ve control 1 : ab211926 at 1/500 dilution, followed by Goat Anti-Mouse IgG H&L (Alexa Fluor® 594) (ab150120) secondary antibody at 1/1000 dilution.
-ve control 2 : Anti-alpha Tubulin mouse MAb (ab7291) at 1/1000 dilution, followed by Goat Anti-Rabbit IgG (Alexa Fluor® 488) (ab150077) secondary antibody at 1/1000 dilution.

Western blot - Anti-TIMP1 antibody [EPR18352] (AB211926)
  • WB

Lab

Western blot - Anti-TIMP1 antibody [EPR18352] (AB211926)

False colour image of Western blot : Anti-TIMP1 antibody [EPR18352] staining at 1/1000 dilution, shown in green; Mouse anti-GAPDH antibody [6C5] (ab8245) loading control staining at 1/20000 dilution, shown in red. In Western blot, ab211926 was shown to bind specifically to TIMP1. A band was observed at 30 kDa in wild-type HeLa cell lysates with no signal observed at this size in TIMP1 knockout cell line ab264022 (knockout cell lysate ab260091). The identity of bands observed at higher molecular weights has not been determined. To generate this image, wild-type and TIMP1 knockout HeLa cell lysates were analysed. First, samples were run on an SDS-PAGE gel then transferred onto a nitrocellulose membrane. Membranes were blocked in fluorescent western blot (TBS-based) blocking solution before incubation with primary antibodies overnight at 4 °C. Blots were washed four times in TBS-T, incubated with secondary antibodies for 1 h at room temperature, washed again four times then imaged. Secondary antibodies used were Goat anti-Rabbit IgG H&L 800CW and Goat anti-Mouse IgG H&L 680RD at 1/20000 dilution.

All lanes:

Western blot - Anti-TIMP1 antibody [EPR18352] (ab211926) at 1/1000 dilution

Lane 1:

Wild-type HeLa cell lysate at 20 µg

Lanes 1 - 5:

Western blot - Human TIMP1 knockout HeLa cell line (ab264022)

Lane 2:

TIMP1 knockout HeLa cell lysate at 20 µg

Lane 3:

MOLT-4 cell lysate at 20 µg

Lane 4:

SH-SY5Y cell lysate at 20 µg

Lane 5:

U-87 MG cell lysate at 20 µg

Secondary

Lanes 1 - 5:

Goat anti-Rabbit IgG H&L 800CW at 1/20000 dilution

Lanes 1 - 5:

Goat anti-Mouse IgG H&L 680RD at 1/20000 dilution

Predicted band size: 23 kDa

Observed band size: 30 kDa

false

Western blot - Anti-TIMP1 antibody [EPR18352] (AB211926)
  • WB

Supplier Data

Western blot - Anti-TIMP1 antibody [EPR18352] (AB211926)

Blocking/Dilution buffer : 5% NFDM/TBST.

The expression profile/ molecular weight observed is consistent with what has been described in the literature (PMID : 16517973).

All lanes:

Western blot - Anti-TIMP1 antibody [EPR18352] (ab211926) at 1/1000 dilution

All lanes:

Human prostate cancer lysate at 10 µg

Secondary

All lanes:

Goat Anti-Rabbit IgG Peroxidase Conjugate, specific to the non-reduced form of IgG at 1/10000 dilution

Predicted band size: 23 kDa

Observed band size: 26 kDa

false

Exposure time: 5s

Western blot - Anti-TIMP1 antibody [EPR18352] (AB211926)
  • WB

Supplier Data

Western blot - Anti-TIMP1 antibody [EPR18352] (AB211926)

Blocking/Dilution buffer : 5% NFDM/TBST.

Binding in these cell lines was extremely weak and requires optimization.

All lanes:

Western blot - Anti-TIMP1 antibody [EPR18352] (ab211926) at 1/1000 dilution

Lane 1:

HT-29 (Human colorectal adenocarcinoma cell line) whole cell lysate at 10 µg

Lane 2:

SK-OV-3 (Human ovarian cancer cell line) whole cell lysate at 10 µg

Secondary

All lanes:

Western blot - Goat Anti-Rabbit IgG H&L (HRP) (<a href='/en-us/products/secondary-antibodies/goat-rabbit-igg-h-l-hrp-ab97051'>ab97051</a>) at 1/100000 dilution

Predicted band size: 23 kDa

Observed band size: 26 kDa

false

Exposure time: 3min

Western blot - Anti-TIMP1 antibody [EPR18352] (AB211926)
  • WB

Lab

Western blot - Anti-TIMP1 antibody [EPR18352] (AB211926)

False colour image of Western blot : Anti-TIMP1 antibody [EPR18352] staining at 1/1000 dilution, shown in green; Mouse anti-GAPDH antibody [6C5] (ab8245) loading control staining at 1/20000 dilution, shown in red. In Western blot, ab211926 was shown to bind specifically to TIMP1. A band was observed at 30 kDa in wild-type HeLa cell lysates with no signal observed at this size in TIMP1 knockout cell line ab264022 (knockout cell lysate ab260091). The identity of bands observed at higher molecular weights has not been determined. To generate this image, wild-type and TIMP1 knockout HeLa cell lysates were analysed. First, samples were run on an SDS-PAGE gel then transferred onto a nitrocellulose membrane. Membranes were blocked in fluorescent western blot (TBS-based) blocking solution before incubation with primary antibodies overnight at 4 °C. Blots were washed four times in TBS-T, incubated with secondary antibodies for 1 h at room temperature, washed again four times then imaged. Secondary antibodies used were Goat anti-Rabbit IgG H&L 800CW and Goat anti-Mouse IgG H&L 680RD at 1/20000 dilution.

All lanes:

Western blot - Anti-TIMP1 antibody [EPR18352] (ab211926) at 1/1000 dilution

Lane 1:

Wild-type HeLa cell lysate at 20 µg

Lane 2:

TIMP1 knockout HeLa cell lysate at 20 µg

Lane 3:

HT-1080 treated with 200ng/ml 12-O-Tetradecanoylphorbol-13-acetate (TPA) for 24 hours, cell lysate at 20 µg

Lane 4:

Untreated HT-1080 cell lysate at 20 µg

Secondary

All lanes:

Western blot - Goat anti-Rabbit IgG H&L (IRDye® 800CW) preadsorbed (<a href='/en-us/products/secondary-antibodies/goat-rabbit-igg-h-l-irdye-800cw-preadsorbed-ab216773'>ab216773</a>) at 1/10000 dilution

Predicted band size: 23 kDa

Observed band size: 26 kDa

false

Western blot - Anti-TIMP1 antibody [EPR18352] (AB211926)
  • WB

Lab

Western blot - Anti-TIMP1 antibody [EPR18352] (AB211926)

False colour image of Western blot : Anti-TIMP1 antibody [EPR18352] staining at 1/1000 dilution, shown in black. In Western blot, ab211926 was shown to bind specifically to TIMP1. First, samples were run on an SDS-PAGE gel then transferred onto a nitrocellulose membrane. Membranes were blocked in 3 % milk in TBS-0.1 % Tween® 20 (TBS-T) before incubation with primary antibodies overnight at 4 °C. Blots were washed four times in TBS-T, incubated with secondary antibodies for 1 h at room temperature, washed again four times before development with Optiblot (ECL reagent ab133456) and imaged with 20 minutes exposure time. Secondary antibodies used were HRP conjugated Goat anti-Rabbit (H+L) at 1/50000 dilution and Goat anti-Mouse IgG H&L 680RD at 1/20000 dilution.

All lanes:

Western blot - Anti-TIMP1 antibody [EPR18352] (ab211926) at 1/1000 dilution

Lane 1:

A549 Vehicle Control BFA (0 u/mL, 6 h) cell lysate at 20 µg

Lane 2:

A549 Treated BFA (5 u/mL, 6 h) cell lysate at 20 µg

Predicted band size: 23 kDa

Observed band size: 30 kDa

false

  • Carrier free

    Anti-TIMP1 antibody [EPR18352] - BSA and Azide free

  • Biotin

    Biotin Anti-TIMP1 antibody [EPR18352]

  • 519 Alexa Fluor® 488

    Alexa Fluor® 488 Anti-TIMP1 antibody [EPR18352]

Key facts

Host species

Rabbit

Clonality

Monoclonal

Clone number

EPR18352

Isotype

IgG

Carrier free

No

Reacts with

Human

Applications

ICC/IF, WB, IHC-P

applications

Immunogen

The exact immunogen used to generate this antibody is proprietary information.

Reactivity data

{ "title": "Reactivity Data", "filters": { "stats": ["", "Species", "Dilution Info", "Notes"], "tabs": { "all-applications": {"fullname" : "All Applications", "shortname": "All Applications"}, "WB" : {"fullname" : "Western blot", "shortname":"WB"}, "ICCIF" : {"fullname" : "Immunocytochemistry/ Immunofluorescence", "shortname":"ICC/IF"}, "IHCP" : {"fullname" : "Immunohistochemistry (Formalin/PFA-fixed paraffin-embedded sections)", "shortname":"IHC-P"} }, "product-promise": { "all": "all", "testedAndGuaranteed": "tested", "guaranteed": "expected", "predicted": "predicted", "notRecommended": "not-recommended" } }, "values": { "Human": { "WB-species-checked": "testedAndGuaranteed", "WB-species-dilution-info": "1/1000", "WB-species-notes": "<p></p>", "ICCIF-species-checked": "testedAndGuaranteed", "ICCIF-species-dilution-info": "1/500", "ICCIF-species-notes": "<p></p>", "IHCP-species-checked": "testedAndGuaranteed", "IHCP-species-dilution-info": "1/1000", "IHCP-species-notes": "<p></p> Perform heat-mediated antigen retrieval with Tris/EDTA buffer pH 9.0 before commencing with IHC staining protocol." } } }

Product details

What is this antibody validated in?
Anti-TIMP1 antibody [EPR18352] (ab211926) is a rabbit recombinant monoclonal antibody and is validated for use in Western Blot (WB), Immunohistochemistry (IHC-P), Immunocytochemistry/immunofluorescence (ICC/IF) in Human samples.

What is the molecular weight of TIMP1?
Anti-TIMP1 [EPR18352] (ab211926) specifically detects a band for TIMP1 (UniProt: P01033) at a molecular weight of 23kDa.

Trusted by the scientific community
Anti-TIMP1 [EPR18352] (ab211926) was first used in a scientific publication in 2016 and has been cited over 30 times in peer-reviewed journals.

Reviewed by scientists
Anti-TIMP1 [EPR18352] (ab211926) has over 10 independent reviews from customers.

Trial sizes available!
Test your antibody or perform pre-screening before committing to a larger quantity. Sold in 10µl. Discover our selection of trial-size antibodies.

Specificity confirmed
The specificity of Anti-TIMP1 antibody [EPR18352] (ab211926) has been confirmed by Western blot testing in TIMP1 Knockout HeLa cells.

Other related products
We have a range of other formats of antibody clone [EPR18352] also available for your convenience: ab211926, Carrier free - ab219471, Biotin - ab317768, Alexa Fluor® 488 - ab321852

Patented technology
Our RabMAb® technology is a patented hybridoma-based technology for making rabbit monoclonal antibodies. For details on our patents, please refer to RabMAb® patents.

What are the advantages of a recombinant monoclonal antibody?
This product is a recombinant monoclonal antibody, which offers several advantages including:

  • - High batch-to-batch consistency and reproducibility
  • - Improved sensitivity and specificity
  • - Long-term security of supply
  • - Animal-free batch production

For more information, read more on recombinant antibodies.

Properties and storage information

Form
Liquid
Purification technique
Affinity purification Protein A
Storage buffer
pH: 7.2 - 7.4 Preservative: 0.01% Sodium azide Constituents: PBS, 40% Glycerol (glycerin, glycerine), 0.05% BSA
Shipped at conditions
Blue Ice
Appropriate short-term storage duration
1-2 weeks
Appropriate short-term storage conditions
+4°C
Appropriate long-term storage conditions
-20°C
Aliquoting information
Upon delivery aliquot
Storage information
Avoid freeze / thaw cycle

Supplementary information

This supplementary information is collated from multiple sources and compiled automatically.

Tissue Inhibitor of Metalloproteinase 1 (TIMP1) is a protein with a molecular mass of approximately 28 kDa. The protein inhibits metalloproteinases by binding to them preventing the breakdown of the extracellular matrix. This action regulates extracellular environment and tissue remodeling. TIMP1 is also known by the name Erythroid-Potentiating Activity (EPA). It is expressed in various tissues including the liver and the brain and can be found in high levels in the blood serum.
Biological function summary

TIMP1 plays several essential roles beyond inhibiting metalloproteinases. It supports cell proliferation and influences apoptosis. It is part of a larger TIMP family and does not function as part of a complex per se but interacts closely with matrix metalloproteinases (MMPs). By regulating MMP activity TIMP1 balances processes like tissue growth and inflammatory responses which are important for normal development and repair.

Pathways

TIMP1 participates in the regulation of the matrix metalloproteinase pathway impacting tissue homeostasis and repair. It closely associates with proteins such as MMP-9 and MMP-2 within this pathway. TIMP1 also plays a role in cytokine signaling pathways which influence immune responses by interacting with other signaling molecules and receptors that govern these pathways.

TIMP1's regulation of MMPs links it to cancer and cardiovascular disease progression. Overexpression of TIMP1 associates with tumor growth and metastasis where it can modulate interactions with other proteins like MMP-9 leading to altered tissue invasion and angiogenesis. Additionally TIMP1 imbalance connects to tissue fibrosis in cardiovascular disorders working in tandem with proteins such as MMP-2 which affects the structural remodeling and function of tissues within the cardiovascular system.

Product protocols

For this product, it's our understanding that no specific protocols are required. You can visit:

Target data

Metalloproteinase inhibitor that functions by forming one to one complexes with target metalloproteinases, such as collagenases, and irreversibly inactivates them by binding to their catalytic zinc cofactor. Acts on MMP1, MMP2, MMP3, MMP7, MMP8, MMP9, MMP10, MMP11, MMP12, MMP13 and MMP16. Does not act on MMP14. Also functions as a growth factor that regulates cell differentiation, migration and cell death and activates cellular signaling cascades via CD63 and ITGB1. Plays a role in integrin signaling. Mediates erythropoiesis in vitro; but, unlike IL3, it is species-specific, stimulating the growth and differentiation of only human and murine erythroid progenitors.
See full target information TIMP1

Publications (58)

Recent publications for all applications. Explore the full list and refine your search

Brazilian journal of medical and biological research = Revista brasileira de pesquisas medicas e biologica 58:e14540 PubMed40862456

2025

Pitavastatin reduces intestinal fibrosis in chronic colitis and inhibits colon fibroblast activation by enhancing MMP-9 expression via the IGF-1/IGF-1R pathway.

Applications

Unspecified application

Species

Unspecified reactive species

Mengran Zhang,Hongping Lu,Jun Cheng

NPJ precision oncology 9:198 PubMed40537497

2025

G0S2: a potential target for NSCLC identified through prognostic models from multi-Omic analysis of regulatory T cell metabolic genes.

Applications

Unspecified application

Species

Unspecified reactive species

Min Zhou,Mengqing Liu,Yile Hu,Zhe Xu,Lutong Cai,Yunpeng Bai,Lin Su,Lei Sun

Hereditas 162:109 PubMed40533843

2025

Abnormal expression of miR-330-3p predicts post-prostatectomy urinary incontinence and regulates the function of urethral fibroblasts by targeting MMP2.

Applications

Unspecified application

Species

Unspecified reactive species

Xiaoying Feng,Yuanyuan Mi,Mengye Weng

Biomolecules 15: PubMed40149974

2025

Efficient Fabrication of Human Corneal Stromal Cell Spheroids and Promoting Cell Stemness Based on 3D-Printed Derived PDMS Microwell Platform.

Applications

Unspecified application

Species

Unspecified reactive species

Yuexi Chen,Jianing Gu,Zekai Cui,Xihao Sun,Yuqin Liang,Chunwen Duan,Xiaoxue Li,Zhanyu Su,Bo Zhang,Jiansu Chen,Zheng Wang

BMC cancer 24:978 PubMed39118103

2024

Identification and experimental verification of a biomarker by combining the unfolded protein response with the immune cells in colon cancer.

Applications

Unspecified application

Species

Unspecified reactive species

Yichao Ma,Jingqiu Zhang,Chen Wei,Fei Wang,Hao Ji,Jiahao Zhao,Daorong Wang,Xinyue Zhang,Dong Tang

Heliyon 10:e33648 PubMed39091931

2024

Deciphering the role of ferroptosis in rheumatoid arthritis: Synovial transcriptome analysis and immune infiltration correlation.

Applications

Unspecified application

Species

Unspecified reactive species

Hongli Wang,Miaomiao Zhang,Yiping Hu,Juan He,Yuchao Zhong,Yong Dai,Qingwen Wang

iScience 27:109829 PubMed38770133

2024

Repurposing homoharringtonine for thyroid cancer treatment through TIMP1/FAK/PI3K/AKT signaling pathway.

Applications

Unspecified application

Species

Unspecified reactive species

Chuang Xi,Guoqiang Zhang,Nan Sun,Mengyue Liu,Nianting Ju,Chentian Shen,Hongjun Song,Quanyong Luo,Zhongling Qiu

Brain pathology (Zurich, Switzerland) 34:e13217 PubMed37865975

2023

SPI1 activates TGF-β1/PI3K/Akt signaling through transcriptional upregulation of FKBP12 to support the mesenchymal phenotype of glioma stem cells.

Applications

Unspecified application

Species

Unspecified reactive species

Yifu Song,Yaochuan Zhang,Xiaoliang Wang,Xiaodi Han,Mengwu Shi,Ling Xu,Juanhan Yu,Li Zhang,Sheng Han

Molecular human reproduction 29: PubMed37774003

2023

Upregulated TIMP1 facilitates and coordinates myometrial contraction by decreasing collagens and cell adhesive capacity during human labor.

Applications

Unspecified application

Species

Unspecified reactive species

Junjie Bao,Xiaodi Wang,Lina Chen,Bolun Wen,Qiu Gao,Xiuyu Pan,Yunshan Chen,Kaiyuan Ji,Huishu Liu

Molecular medicine (Cambridge, Mass.) 29:127 PubMed37710176

2023

Quercetin inhibits the metabolism of arachidonic acid by inhibiting the activity of CYP3A4, thereby inhibiting the progression of breast cancer.

Applications

Unspecified application

Species

Unspecified reactive species

Huaming Tang,Yuanli Kuang,Wan Wu,Bing Peng,Qianmei Fu
View all publications

Product promise

We are committed to supporting your work with high-quality reagents, and we're here for you every step of the way. In the unlikely event that one of our products does not perform as expected, you're protected by our Product Promise.
For full details, please see our Terms & Conditions

Please note: All products are 'FOR RESEARCH USE ONLY. NOT FOR USE IN DIAGNOSTIC OR THERAPEUTIC PROCEDURES'.

For licensing inquiries, please contact partnerships@abcam.com