JavaScript is disabled in your browser. Please enable JavaScript to view this website.
AB219471

Anti-TIMP1 antibody [EPR18352] - BSA and Azide free

Be the first to review this product! Submit a review

|

(0 Publication)

Knockout Tested Rabbit Recombinant Monoclonal TIMP1 antibody. Carrier free. Suitable for WB, ICC/IF, IHC-P and reacts with Human samples.

View Alternative Names

CLGI, TIMP, TIMP1, Metalloproteinase inhibitor 1, Erythroid-potentiating activity, Fibroblast collagenase inhibitor, Tissue inhibitor of metalloproteinases 1, EPA, Collagenase inhibitor, TIMP-1

9 Images
Western blot - Anti-TIMP1 antibody [EPR18352] - BSA and Azide free (AB219471)
  • WB

Lab

Western blot - Anti-TIMP1 antibody [EPR18352] - BSA and Azide free (AB219471)

This data was developed using the same antibody clone in a different buffer formulation (ab211926). False colour image of Western blot : Anti-TIMP1 antibody [EPR18352] staining at 1/1000 dilution, shown in black. In Western blot, ab211926 was shown to bind specifically to TIMP1. First, samples were run on an SDS-PAGE gel then transferred onto a nitrocellulose membrane. Membranes were blocked in 3 % milk in TBS-0.1 % Tween® 20 (TBS-T) before incubation with primary antibodies overnight at 4 °C. Blots were washed four times in TBS-T, incubated with secondary antibodies for 1 h at room temperature, washed again four times before development with Optiblot (ECL reagent ab133456) and imaged with 20 minutes exposure time. Secondary antibodies used were HRP conjugated Goat anti-Rabbit (H+L) at 1/50000 dilution and Goat anti-Mouse IgG H&L 680RD at 1/20000 dilution.

All lanes:

Western blot - Anti-TIMP1 antibody [EPR18352] (<a href='/en-us/products/primary-antibodies/timp1-antibody-epr18352-ab211926'>ab211926</a>) at 1/1000 dilution

Lane 1:

Wild-type HeLa cell lysate at 20 µg

Lanes 1 - 5:

Western blot - Human TIMP1 knockout HeLa cell line (ab264022)

Lane 2:

TIMP1 knockout HeLa cell lysate at 20 µg

Lane 3:

MOLT-4 cell lysate at 20 µg

Lane 4:

SH-SY5Y cell lysate at 20 µg

Lane 5:

U-87 MG cell lysate at 20 µg

Secondary

Lanes 1 - 5:

Goat anti-Rabbit IgG H&L 800CW at 1/20000 dilution

Lanes 1 - 5:

Goat anti-Mouse IgG H&L 680RD at 1/20000 dilution

Predicted band size: 23 kDa

Observed band size: 30 kDa

false

Western blot - Anti-TIMP1 antibody [EPR18352] - BSA and Azide free (AB219471)
  • WB

Lab

Western blot - Anti-TIMP1 antibody [EPR18352] - BSA and Azide free (AB219471)

This data was developed using the same antibody clone in a different buffer formulation (ab211926).

Lanes 1-4 : Merged signal (red and green). Green - ab211926 observed at 26 kDa. Red - loading control ab7291 observed at 50 kDa.

ab211926 Anti-TIMP1 antibody [EPR18352] was shown to specifically react with TIMP1 in wild-type HeLa cells. Loss of signal was observed when knockout cell line ab261740 (knockout cell lysate ab257291) was used. Wild-type and TIMP1 knockout samples were subjected to SDS-PAGE. ab211926 and Anti-alpha Tubulin antibody [DM1A] - Loading Control (ab7291) were incubated overnight at 4°C at 1 in 1000 dilution and 1 in 20000 dilution respectively. Blots were developed with Goat anti-Rabbit IgG H&L (IRDye® 800CW) preadsorbed (ab216773) and Goat anti-Mouse IgG H&L (IRDye® 680RD) preadsorbed (ab216776) secondary antibodies at 1 in 20000 dilution for 1 hour at room temperature before imaging.

All lanes:

Western blot - Anti-TIMP1 antibody [EPR18352] (<a href='/en-us/products/primary-antibodies/timp1-antibody-epr18352-ab211926'>ab211926</a>) at 1/1000 dilution

Lane 1:

Wild-type HeLa cell lysate at 20 µg

Lane 2:

TIMP1 knockout HeLa cell lysate at 20 µg

Lane 3:

HT-1080 treated with 200ng/ml 12-O-Tetradecanoylphorbol-13-acetate (TPA) for 24 hours, cell lysate at 20 µg

Lane 4:

Untreated HT-1080 cell lysate at 20 µg

Secondary

All lanes:

Western blot - Goat anti-Rabbit IgG H&L (IRDye® 800CW) preadsorbed (<a href='/en-us/products/secondary-antibodies/goat-rabbit-igg-h-l-irdye-800cw-preadsorbed-ab216773'>ab216773</a>) at 1/10000 dilution

Predicted band size: 23 kDa

Observed band size: 26 kDa

false

Immunocytochemistry/ Immunofluorescence - Anti-TIMP1 antibody [EPR18352] - BSA and Azide free (AB219471)
  • ICC/IF

Supplier Data

Immunocytochemistry/ Immunofluorescence - Anti-TIMP1 antibody [EPR18352] - BSA and Azide free (AB219471)

Immunofluorescent analysis of 4% paraformaldehyde-fixed, 0.1% Triton X-100 permeabilized HT-29 (Human colorectal adenocarcinoma cell line) cells labeling TIMP1 with ab211926 at 1/500 dilution, followed by Goat Anti-Rabbit IgG (Alexa Fluor® 488) (ab150077) secondary antibody at 1/1000 dilution (green). Confocal image showing cytoplasmic staining on HT-29 cell line. The nuclear counter stain is DAPI (blue).

Tubulin is detected with Anti-alpha Tubulin mouse MAb (ab7291) at 1/1000 dilution, followed by Goat Anti-Mouse IgG H&L (Alexa Fluor® 594) (ab150120) secondary antibody at 1/1000 dilution (red).

The negative controls are as follows :
-ve control 1 : ab211926 at 1/500 dilution, followed by Goat Anti-Mouse IgG H&L (Alexa Fluor® 594) (ab150120) secondary antibody at 1/1000 dilution.
-ve control 2 : Anti-alpha Tubulin mouse MAb (ab7291) at 1/1000 dilution, followed by Goat Anti-Rabbit IgG (Alexa Fluor® 488) (ab150077) secondary antibody at 1/1000 dilution.

This data was developed using the same antibody clone in a different buffer formulation containing PBS, BSA, glycerol, and sodium azide (ab211926).

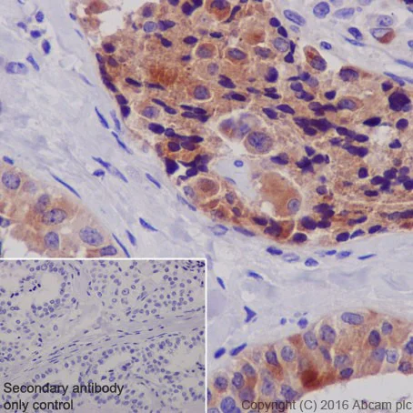
Immunohistochemistry (Formalin/PFA-fixed paraffin-embedded sections) - Anti-TIMP1 antibody [EPR18352] - BSA and Azide free (AB219471)
  • IHC-P

Supplier Data

Immunohistochemistry (Formalin/PFA-fixed paraffin-embedded sections) - Anti-TIMP1 antibody [EPR18352] - BSA and Azide free (AB219471)

Immunohistochemical analysis of paraffin-embedded human lung cancer tissue labeling TIMP1 with ab211926 at 1/1000 dilution, followed by Goat Anti-Rabbit IgG H&L (HRP) (ab97051) at 1/500 dilution. Cytoplasmic staining on human lung cancer is observed. Counter stained with Hematoxylin.

Secondary antibody only control : Used PBS instead of primary antibody, secondary antibody is Goat Anti-Rabbit IgG H&L (HRP) (ab97051) at 1/500 dilution.

This data was developed using the same antibody clone in a different buffer formulation containing PBS, BSA, glycerol, and sodium azide (ab211926).

Perform heat mediated antigen retrieval with Tris/EDTA buffer pH 9.0 before commencing with IHC staining protocol.

Immunocytochemistry/ Immunofluorescence - Anti-TIMP1 antibody [EPR18352] - BSA and Azide free (AB219471)
  • ICC/IF

Supplier Data

Immunocytochemistry/ Immunofluorescence - Anti-TIMP1 antibody [EPR18352] - BSA and Azide free (AB219471)

Immunofluorescent analysis of 4% paraformaldehyde-fixed, 0.1% Triton X-100 permeabilized SK-OV-3 (Human ovarian cancer cell line) cells labeling TIMP1 with ab211926 at 1/500 dilution, followed by Goat Anti-Rabbit IgG (Alexa Fluor® 488) (ab150077) secondary antibody at 1/1000 dilution (green). Confocal image showing cytoplasmic staining on SK-OV-3 cell line. The nuclear counter stain is DAPI (blue).

Tubulin is detected with Anti-alpha Tubulin mouse MAb (ab7291) at 1/1000 dilution, followed by Goat Anti-Mouse IgG H&L (Alexa Fluor® 594) (ab150120) secondary antibody at 1/1000 dilution (red).

The negative controls are as follows :
-ve control 1 : ab211926 at 1/500 dilution, followed by Goat Anti-Mouse IgG H&L (Alexa Fluor® 594) (ab150120) secondary antibody at 1/1000 dilution.
-ve control 2 : Anti-alpha Tubulin mouse MAb (ab7291) at 1/1000 dilution, followed by Goat Anti-Rabbit IgG (Alexa Fluor® 488) (ab150077) secondary antibody at 1/1000 dilution.

This data was developed using the same antibody clone in a different buffer formulation containing PBS, BSA, glycerol, and sodium azide (ab211926).

Immunohistochemistry (Formalin/PFA-fixed paraffin-embedded sections) - Anti-TIMP1 antibody [EPR18352] - BSA and Azide free (AB219471)
  • IHC-P

Supplier Data

Immunohistochemistry (Formalin/PFA-fixed paraffin-embedded sections) - Anti-TIMP1 antibody [EPR18352] - BSA and Azide free (AB219471)

Immunohistochemical analysis of paraffin-embedded human pancreas tissue labeling TIMP1 with ab211926 at 1/1000 dilution, followed by Goat Anti-Rabbit IgG H&L (HRP) (ab97051) at 1/500 dilution. Cytoplasmic staining on human islet is observed. Counter stained with Hematoxylin.

Secondary antibody only control : Used PBS instead of primary antibody, secondary antibody is Goat Anti-Rabbit IgG H&L (HRP) (ab97051) at 1/500 dilution.

This data was developed using the same antibody clone in a different buffer formulation containing PBS, BSA, glycerol, and sodium azide (ab211926).

Perform heat mediated antigen retrieval with Tris/EDTA buffer pH 9.0 before commencing with IHC staining protocol.

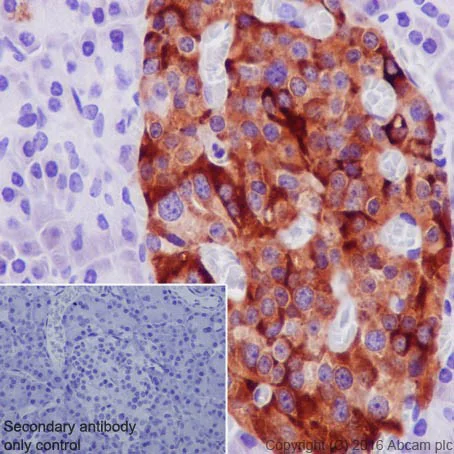
Immunohistochemistry (Formalin/PFA-fixed paraffin-embedded sections) - Anti-TIMP1 antibody [EPR18352] - BSA and Azide free (AB219471)
  • IHC-P

Supplier Data

Immunohistochemistry (Formalin/PFA-fixed paraffin-embedded sections) - Anti-TIMP1 antibody [EPR18352] - BSA and Azide free (AB219471)

Immunohistochemical analysis of paraffin-embedded human prostate cancer tissue labeling TIMP1 with ab211926 at 1/1000 dilution, followed by Goat Anti-Rabbit IgG H&L (HRP) (ab97051) at 1/500 dilution. Cytoplasmic staining on human prostate cancer is observed. Counter stained with Hematoxylin.

Secondary antibody only control : Used PBS instead of primary antibody, secondary antibody is Goat Anti-Rabbit IgG H&L (HRP) (ab97051) at 1/500 dilution.

This data was developed using the same antibody clone in a different buffer formulation containing PBS, BSA, glycerol, and sodium azide (ab211926).

Perform heat mediated antigen retrieval with Tris/EDTA buffer pH 9.0 before commencing with IHC staining protocol.

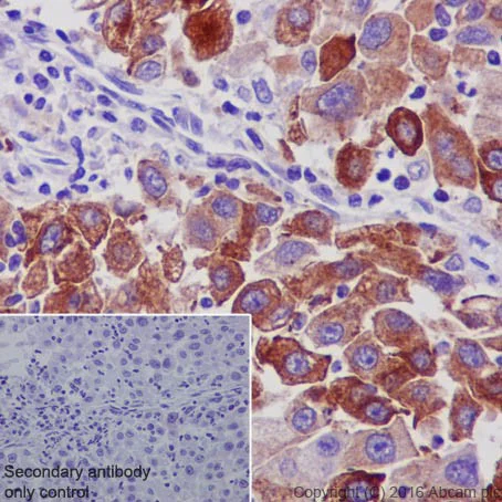
Immunohistochemistry (Formalin/PFA-fixed paraffin-embedded sections) - Anti-TIMP1 antibody [EPR18352] - BSA and Azide free (AB219471)
  • IHC-P

Supplier Data

Immunohistochemistry (Formalin/PFA-fixed paraffin-embedded sections) - Anti-TIMP1 antibody [EPR18352] - BSA and Azide free (AB219471)

Immunohistochemical analysis of paraffin-embedded human medullary thyroid carcinoma tissue labeling TIMP1 with ab211926 at 1/1000 dilution, followed by Goat Anti-Rabbit IgG H&L (HRP) (ab97051) at 1/500 dilution. Cytoplasmic staining on human medullary thyroid carcinoma is observed. Counter stained with Hematoxylin.

Secondary antibody only control : Used PBS instead of primary antibody, secondary antibody is Goat Anti-Rabbit IgG H&L (HRP) (ab97051) at 1/500 dilution.

This data was developed using the same antibody clone in a different buffer formulation containing PBS, BSA, glycerol, and sodium azide (ab211926).

Perform heat mediated antigen retrieval with Tris/EDTA buffer pH 9.0 before commencing with IHC staining protocol.

Immunohistochemistry (Formalin/PFA-fixed paraffin-embedded sections) - Anti-TIMP1 antibody [EPR18352] - BSA and Azide free (AB219471)
  • IHC-P

Supplier Data

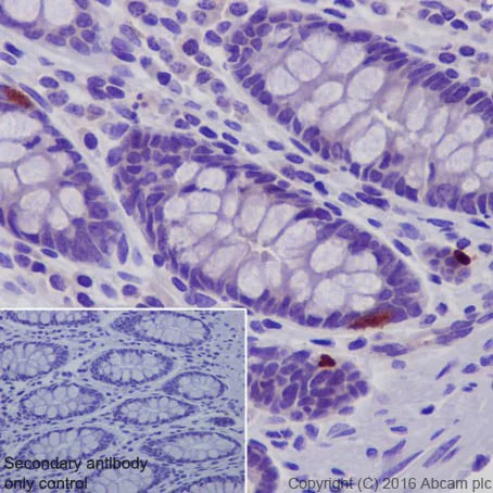
Immunohistochemistry (Formalin/PFA-fixed paraffin-embedded sections) - Anti-TIMP1 antibody [EPR18352] - BSA and Azide free (AB219471)

Immunohistochemical analysis of paraffin-embedded human colon tissue labeling TIMP1 with ab211926 at 1/1000 dilution, followed by Goat Anti-Rabbit IgG H&L (HRP) (ab97051) at 1/500 dilution. Cytoplasmic staining on human colon neuroendocrine cell is observed. Counter stained with Hematoxylin.

Secondary antibody only control : Used PBS instead of primary antibody, secondary antibody is Goat Anti-Rabbit IgG H&L (HRP) (ab97051) at 1/500 dilution.

This data was developed using the same antibody clone in a different buffer formulation containing PBS, BSA, glycerol, and sodium azide (ab211926).

Perform heat mediated antigen retrieval with Tris/EDTA buffer pH 9.0 before commencing with IHC staining protocol.

  • Unconjugated

    Anti-TIMP1 antibody [EPR18352]

  • Biotin

    Biotin Anti-TIMP1 antibody [EPR18352]

Key facts

Host species

Rabbit

Clonality

Monoclonal

Clone number

EPR18352

Isotype

IgG

Carrier free

Yes

Reacts with

Human

Applications

IHC-P, WB, ICC/IF

applications

Immunogen

The exact immunogen used to generate this antibody is proprietary information.

Reactivity data

{ "title": "Reactivity Data", "filters": { "stats": ["", "Species", "Dilution Info", "Notes"], "tabs": { "all-applications": {"fullname" : "All Applications", "shortname": "All Applications"}, "WB" : {"fullname" : "Western blot", "shortname":"WB"}, "ICCIF" : {"fullname" : "Immunocytochemistry/ Immunofluorescence", "shortname":"ICC/IF"}, "IHCP" : {"fullname" : "Immunohistochemistry (Formalin/PFA-fixed paraffin-embedded sections)", "shortname":"IHC-P"} }, "product-promise": { "all": "all", "testedAndGuaranteed": "tested", "guaranteed": "expected", "predicted": "predicted", "notRecommended": "not-recommended" } }, "values": { "Human": { "WB-species-checked": "testedAndGuaranteed", "WB-species-dilution-info": "", "WB-species-notes": "<p></p>", "ICCIF-species-checked": "testedAndGuaranteed", "ICCIF-species-dilution-info": "", "ICCIF-species-notes": "<p></p>", "IHCP-species-checked": "testedAndGuaranteed", "IHCP-species-dilution-info": "", "IHCP-species-notes": "<p></p>" } } }

You may be interested in:

AB187394

Human TIMP1 ELISA Kit

0

0 Reviews

View product

We recommend this product because it’s often used in the same experiment or related research.

We advise that you always check the datasheet to ensure it fits your experiments, or contact ourtechnical teamfor help.

Product details

ab219471 is the carrier-free version of ab211926.

Patented technology
Our RabMAb® technology is a patented hybridoma-based technology for making rabbit monoclonal antibodies. For details on our patents, please refer to RabMAb® patents.

What are the advantages of a recombinant monoclonal antibody?
This product is a recombinant monoclonal antibody, which offers several advantages including:

  • - High batch-to-batch consistency and reproducibility
  • - Improved sensitivity and specificity
  • - Long-term security of supply
  • - Animal-free batch production

For more information, read more on recombinant antibodies.

Conjugation ready
Our carrier-free antibodies are typically supplied in a PBS-only formulation, purified and free of BSA, sodium azide and glycerol. This conjugation-ready format is designed for use with fluorochromes, metal isotopes, oligonucleotides, and enzymes, which makes them ideal for antibody labelling, functional and cell-based assays, flow-based assays (e.g. mass cytometry) and Multiplex Imaging applications.

Use our conjugation kits for antibody conjugates that are ready-to-use in as little as 20 minutes with 1 minute hands-on-time and 100% antibody recovery: available for fluorescent dyes, HRP, biotin and gold.

Compatibility
This product is compatible with the Maxpar® Antibody Labeling Kit from Fluidigm, without the need for antibody preparation. Maxpar® is a trademark of Fluidigm Canada Inc.

Properties and storage information

Form
Liquid
Purification technique
Affinity purification Protein A
Storage buffer
pH: 7.2 - 7.4 Constituents: PBS
Shipped at conditions
Blue Ice
Appropriate short-term storage conditions
+4°C
Appropriate long-term storage conditions
+4°C
Storage information
Do Not Freeze

Supplementary information

This supplementary information is collated from multiple sources and compiled automatically.

Tissue Inhibitor of Metalloproteinase 1 (TIMP1) is a protein with a molecular mass of approximately 28 kDa. The protein inhibits metalloproteinases by binding to them preventing the breakdown of the extracellular matrix. This action regulates extracellular environment and tissue remodeling. TIMP1 is also known by the name Erythroid-Potentiating Activity (EPA). It is expressed in various tissues including the liver and the brain and can be found in high levels in the blood serum.
Biological function summary

TIMP1 plays several essential roles beyond inhibiting metalloproteinases. It supports cell proliferation and influences apoptosis. It is part of a larger TIMP family and does not function as part of a complex per se but interacts closely with matrix metalloproteinases (MMPs). By regulating MMP activity TIMP1 balances processes like tissue growth and inflammatory responses which are important for normal development and repair.

Pathways

TIMP1 participates in the regulation of the matrix metalloproteinase pathway impacting tissue homeostasis and repair. It closely associates with proteins such as MMP-9 and MMP-2 within this pathway. TIMP1 also plays a role in cytokine signaling pathways which influence immune responses by interacting with other signaling molecules and receptors that govern these pathways.

TIMP1's regulation of MMPs links it to cancer and cardiovascular disease progression. Overexpression of TIMP1 associates with tumor growth and metastasis where it can modulate interactions with other proteins like MMP-9 leading to altered tissue invasion and angiogenesis. Additionally TIMP1 imbalance connects to tissue fibrosis in cardiovascular disorders working in tandem with proteins such as MMP-2 which affects the structural remodeling and function of tissues within the cardiovascular system.

Product protocols

For this product, it's our understanding that no specific protocols are required. You can visit:

Target data

Metalloproteinase inhibitor that functions by forming one to one complexes with target metalloproteinases, such as collagenases, and irreversibly inactivates them by binding to their catalytic zinc cofactor. Acts on MMP1, MMP2, MMP3, MMP7, MMP8, MMP9, MMP10, MMP11, MMP12, MMP13 and MMP16. Does not act on MMP14. Also functions as a growth factor that regulates cell differentiation, migration and cell death and activates cellular signaling cascades via CD63 and ITGB1. Plays a role in integrin signaling. Mediates erythropoiesis in vitro; but, unlike IL3, it is species-specific, stimulating the growth and differentiation of only human and murine erythroid progenitors.
See full target information TIMP1

Product promise

We are committed to supporting your work with high-quality reagents, and we're here for you every step of the way. In the unlikely event that one of our products does not perform as expected, you're protected by our Product Promise.
For full details, please see our Terms & Conditions

Associated Products

Select an associated product type
Alternative Product
Primary Antibodies

AB77848

Biotin Anti-TIMP1 antibody

primary-antibodies

biotin-timp1-antibody-ab77848

0

(0 reviews)

Alternative Product
Primary Antibodies

AB61224

Anti-TIMP1 antibody

primary-antibodies

timp1-antibody-ab61224

0

(0 reviews)

Alternative Product
Primary Antibodies

AB179580

Anti-TIMP1 antibody [EPR16616]

primary-antibodies

timp1-antibody-epr16616-ab179580

0

(0 reviews)

Alternative Product
Primary Antibodies

AB240504

Anti-TIMP1 antibody [EPR1550] - BSA and Azide free

primary-antibodies

timp1-antibody-epr1550-bsa-and-azide-free-ab240504

0

(0 reviews)

Alternative Product
Primary Antibodies

AB232937

Anti-TIMP1 antibody [EPR16616] - BSA and Azide free

primary-antibodies

timp1-antibody-epr16616-bsa-and-azide-free-ab232937

0

(0 reviews)

Alternative Product
Primary Antibodies

AB216432

Anti-TIMP1 antibody

primary-antibodies

timp1-antibody-ab216432

4

(1 reviews)

Alternative Product
Primary Antibodies

AB38978

Anti-TIMP1 antibody - Carboxyterminal end

primary-antibodies

timp1-antibody-carboxyterminal-end-ab38978

4

(4 reviews)

Alternative Product
Primary Antibodies

AB86482

Anti-TIMP1 antibody [RM0136-6A34]

primary-antibodies

timp1-antibody-rm0136-6a34-ab86482

0

(0 reviews)

Alternative Product
Primary Antibodies

AB109125

Anti-TIMP1 antibody [EPR1550]

primary-antibodies

timp1-antibody-epr1550-ab109125

0

(0 reviews)

Please note: All products are 'FOR RESEARCH USE ONLY. NOT FOR USE IN DIAGNOSTIC OR THERAPEUTIC PROCEDURES'.

For licensing inquiries, please contact partnerships@abcam.com