JavaScript is disabled in your browser. Please enable JavaScript to view this website.
AB237913

Anti-TIMP2 antibody [TIMP2/2044] - BSA and Azide free

Be the first to review this product! Submit a review

|

(1 Publication)

Mouse Monoclonal TIMP2 antibody. Carrier free. Suitable for IHC-P and reacts with Human samples. Cited in 1 publication. Immunogen corresponding to Recombinant Fragment Protein within Human TIMP2 aa 1 to C-terminus.

View Alternative Names

Metalloproteinase inhibitor 2, CSC-21K, Tissue inhibitor of metalloproteinases 2, TIMP-2, TIMP2

1 Images
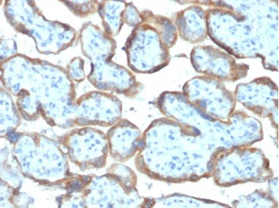
Immunohistochemistry (Formalin/PFA-fixed paraffin-embedded sections) - Anti-TIMP2 antibody [TIMP2/2044] - BSA and Azide free (AB237913)
  • IHC-P

Supplier Data

Immunohistochemistry (Formalin/PFA-fixed paraffin-embedded sections) - Anti-TIMP2 antibody [TIMP2/2044] - BSA and Azide free (AB237913)

Formalin-fixed, paraffin-embedded human placenta tissue stained for TIMP2 using ab237913 at 2 μg/mL in immunohistochemical analysis.

Key facts

Host species

Mouse

Clonality

Monoclonal

Clone number

TIMP2/2044

Isotype

IgG1

Light chain type

lambda

Carrier free

Yes

Reacts with

Human

Applications

IHC-P

applications

Immunogen

Recombinant Fragment Protein within Human TIMP2 aa 1 to C-terminus. The exact immunogen used to generate this antibody is proprietary information.

P16035

Reactivity data

{ "title": "Reactivity Data", "filters": { "stats": ["", "Species", "Dilution Info", "Notes"], "tabs": { "all-applications": {"fullname" : "All Applications", "shortname": "All Applications"}, "IHCP" : {"fullname" : "Immunohistochemistry (Formalin/PFA-fixed paraffin-embedded sections)", "shortname":"IHC-P"} }, "product-promise": { "all": "all", "testedAndGuaranteed": "tested", "guaranteed": "expected", "predicted": "predicted", "notRecommended": "not-recommended" } }, "values": { "Human": { "IHCP-species-checked": "testedAndGuaranteed", "IHCP-species-dilution-info": "1-2 µg/mL", "IHCP-species-notes": "<p>Incubate with primary ab for 30 minutes at RT</p>" } } }

Properties and storage information

Form
Liquid
Purification technique
Affinity purification Protein A/G
Purification notes
Ab purified from Bioreactor Concentrate by Protein A/G.
Storage buffer
pH: 7.2 - 7.4 Constituents: PBS
Shipped at conditions
Blue Ice
Appropriate short-term storage duration
1-2 weeks
Appropriate short-term storage conditions
+4°C
Appropriate long-term storage conditions
-20°C
Aliquoting information
Upon delivery aliquot
Storage information
Avoid freeze / thaw cycle

Supplementary information

This supplementary information is collated from multiple sources and compiled automatically.

TIMP2 also known as Tissue Inhibitor of Metalloproteinases 2 mechanistically inhibits the activity of matrix metalloproteinases (MMPs). It binds to MMPs regulating the extracellular matrix's remodeling. The protein has a molecular mass of around 21 kDa. TIMP2 is expressed in various tissues including the brain liver and kidneys where it maintains a balance between matrix degradation and production.
Biological function summary

TIMP2 plays a significant role in tissue maintenance and repair by controlling extracellular matrix turnover. It forms complexes with MMPs such as MMP-2 inhibiting their proteolytic activities. The protein is also involved in cell proliferation and differentiation affecting processes like angiogenesis and wound healing. Its regulatory function aids in maintaining tissue homeostasis and preventing excessive matrix breakdown.

Pathways

TIMP2 is integral to the matrix metalloproteinase pathway and the regulation of endothelial cell migration. The protein interacts closely with other MMPs influencing their activation and modulation. Through these pathways TIMP2 holds an important position in cellular migration and signaling ensuring precise matrix remodeling in response to physiological needs.

TIMP2 has significant links with cancer and fibrosis. Dysregulation of TIMP2 expression or its imbalance with MMPs can contribute to tumor progression and metastasis due to uncontrolled matrix degradation. Additionally abnormal TIMP2 levels associate with fibrotic diseases where excessive tissue deposition occurs. TIMP2's interaction with proteins like MMP-9 and MMP-2 highlights its involvement in these pathological conditions.

Product protocols

For this product, it's our understanding that no specific protocols are required. You can visit:

Target data

Complexes with metalloproteinases (such as collagenases) and irreversibly inactivates them by binding to their catalytic zinc cofactor. Known to act on MMP-1, MMP-2, MMP-3, MMP-7, MMP-8, MMP-9, MMP-10, MMP-13, MMP-14, MMP-15, MMP-16 and MMP-19.
See full target information TIMP2

Publications (1)

Recent publications for all applications. Explore the full list and refine your search

Veterinary sciences 8: PubMed34941853

2021

Gene Silencing Promotes Apoptosis and Suppresses Proliferation of Heat-Stressed Bovine Granulosa Cells via Induction of Oxidative Stress.

Applications

Unspecified application

Species

Unspecified reactive species

Adnan Khan,Muhammad Zahoor Khan,Jinhuan Dou,Huitao Xu,Lei Liu,Huabin Zhu,Yachun Wang
View all publications

Product promise

We are committed to supporting your work with high-quality reagents, and we're here for you every step of the way. In the unlikely event that one of our products does not perform as expected, you're protected by our Product Promise.
For full details, please see our Terms & Conditions

Please note: All products are 'FOR RESEARCH USE ONLY. NOT FOR USE IN DIAGNOSTIC OR THERAPEUTIC PROCEDURES'.

For licensing inquiries, please contact partnerships@abcam.com