JavaScript is disabled in your browser. Please enable JavaScript to view this website.
AB231495

Anti-TIMP3 antibody - C-terminal

Be the first to review this product! Submit a review

|

(1 Publication)

Rabbit Polyclonal TIMP3 antibody. C-terminal. Suitable for IHC-P and reacts with Human samples. Cited in 1 publication.

View Alternative Names

Metalloproteinase inhibitor 3, Protein MIG-5, Tissue inhibitor of metalloproteinases 3, TIMP-3, TIMP3

1 Images
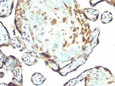
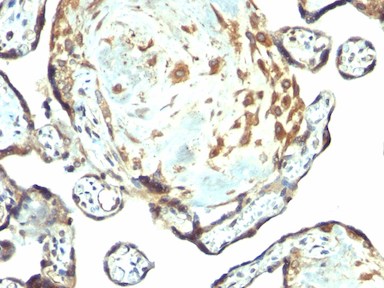
Immunohistochemistry (Formalin/PFA-fixed paraffin-embedded sections) - Anti-TIMP3 antibody - C-terminal (AB231495)
  • IHC-P

Supplier Data

Immunohistochemistry (Formalin/PFA-fixed paraffin-embedded sections) - Anti-TIMP3 antibody - C-terminal (AB231495)

Formalin-fixed, paraffin-embedded human placenta tissue stained for TIMP3 using ab231495 at 1/70 dilution in immunohistochemical analysis.

Key facts

Host species

Rabbit

Clonality

Polyclonal

Isotype

IgG

Carrier free

No

Reacts with

Human

Applications

IHC-P

applications

Immunogen

The exact immunogen used to generate this antibody is proprietary information.

Reactivity data

{ "title": "Reactivity Data", "filters": { "stats": ["", "Species", "Dilution Info", "Notes"], "tabs": { "all-applications": {"fullname" : "All Applications", "shortname": "All Applications"}, "IHCP" : {"fullname" : "Immunohistochemistry (Formalin/PFA-fixed paraffin-embedded sections)", "shortname":"IHC-P"} }, "product-promise": { "all": "all", "testedAndGuaranteed": "tested", "guaranteed": "expected", "predicted": "predicted", "notRecommended": "not-recommended" } }, "values": { "Human": { "IHCP-species-checked": "testedAndGuaranteed", "IHCP-species-dilution-info": "1/70", "IHCP-species-notes": "<p>Primary antibody incubation for 10 minutes at room temperature.</p>" }, "Mouse": { "IHCP-species-checked": "predicted", "IHCP-species-dilution-info": "", "IHCP-species-notes": "" }, "Rat": { "IHCP-species-checked": "predicted", "IHCP-species-dilution-info": "", "IHCP-species-notes": "" }, "Chicken": { "IHCP-species-checked": "predicted", "IHCP-species-dilution-info": "", "IHCP-species-notes": "" }, "Cow": { "IHCP-species-checked": "predicted", "IHCP-species-dilution-info": "", "IHCP-species-notes": "" }, "Dog": { "IHCP-species-checked": "predicted", "IHCP-species-dilution-info": "", "IHCP-species-notes": "" } } }

Properties and storage information

Form
Liquid
Purification technique
Affinity purification Immunogen
Storage buffer
pH: 7.6 Preservative: 0.1% Sodium azide Constituents: PBS, 1% BSA
Shipped at conditions
Blue Ice
Appropriate short-term storage duration
1-2 weeks
Appropriate short-term storage conditions
+4°C
Appropriate long-term storage conditions
-20°C
Aliquoting information
Upon delivery aliquot
Storage information
Avoid freeze / thaw cycle

Supplementary information

This supplementary information is collated from multiple sources and compiled automatically.

Tissue inhibitor of metalloproteinases 3 (TIMP3) is widely recognized for its role in inhibiting the activity of matrix metalloproteinases (MMPs). It has an approximate mass of 24 kDa and is often referred to by its alternate name MIG. TIMP3 is expressed in various tissues especially those involved in extracellular matrix composition such as the kidney and lungs. Its expression helps maintain the balance between matrix deposition and degradation which is critical for normal tissue homeostasis.
Biological function summary

The function of TIMP3 extends beyond mere inhibition of MMPs; it is also involved in regulating angiogenesis and apoptosis. TIMP3 forms complexes with extracellular matrix components acting as an anchor that modulates cell-matrix interactions. This capacity to bind to matrix elements enhances its inhibitory activity against proteases making it an important regulator of extracellular matrix integrity.

Pathways

TIMP3 plays significant roles in extracellular matrix remodeling and the inflammatory response. It participates in pathways involving structural organization and signaling mediation such as the NF-kB signaling cascade. TIMP3 regulates proteins like TNF-alpha and MMPs which are central to these pathways balancing inflammatory responses and tissue remodeling processes.

The imbalance of TIMP3 activity has been linked to chronic obstructive pulmonary disease (COPD) and age-related macular degeneration (AMD). In COPD impaired regulation of ECM turnover by TIMP3 leads to destructive lung tissue remodeling. In AMD the regulation of angiogenesis and degradation of ECM around the retina by TIMP3 is disturbed influencing disease progression. Its interaction with proteins such as VEGF is critical in these pathological contexts where altered TIMP3 expression or function can exacerbate disease states.

Product protocols

For this product, it's our understanding that no specific protocols are required. You can visit:

Target data

Complexes with metalloproteinases (such as collagenases) and irreversibly inactivates them by binding to their catalytic zinc cofactor. May form part of a tissue-specific acute response to remodeling stimuli. Known to act on MMP-1, MMP-2, MMP-3, MMP-7, MMP-9, MMP-13, MMP-14 and MMP-15.
See full target information TIMP3

Publications (1)

Recent publications for all applications. Explore the full list and refine your search

Journal of vascular research 55:255-267 PubMed30179877

2018

Perfusion Tissue Culture Initiates Differential Remodeling of Internal Thoracic Arteries, Radial Arteries, and Saphenous Veins.

Applications

Unspecified application

Species

Unspecified reactive species

David A Prim,Vinal Menon,Shahd Hasanian,Laurel Carter,Tarek Shazly,Jay D Potts,John F Eberth
View all publications

Product promise

We are committed to supporting your work with high-quality reagents, and we're here for you every step of the way. In the unlikely event that one of our products does not perform as expected, you're protected by our Product Promise.
For full details, please see our Terms & Conditions

Please note: All products are 'FOR RESEARCH USE ONLY. NOT FOR USE IN DIAGNOSTIC OR THERAPEUTIC PROCEDURES'.

For licensing inquiries, please contact partnerships@abcam.com