JavaScript is disabled in your browser. Please enable JavaScript to view this website.
AB39185

Anti-TIMP3 antibody - Carboxyterminal end

5

(1 Review)

|

(4 Publications)

Rabbit Polyclonal TIMP3 antibody. Suitable for WB, IHC-P, ICC/IF and reacts with Human samples. Cited in 4 publications. Immunogen corresponding to Synthetic Peptide within Human TIMP3.

View Alternative Names

Metalloproteinase inhibitor 3, Protein MIG-5, Tissue inhibitor of metalloproteinases 3, TIMP-3, TIMP3

3 Images
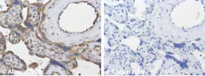
Immunohistochemistry (Formalin/PFA-fixed paraffin-embedded sections) - Anti-TIMP3 antibody - Carboxyterminal end (AB39185)
  • IHC-P

Unknown

Immunohistochemistry (Formalin/PFA-fixed paraffin-embedded sections) - Anti-TIMP3 antibody - Carboxyterminal end (AB39185)

ab39185 staining Human normal placenta. Staining is localized to the cytoplasm or excreted.
Left panel : with primary antibody at 2 ug/ml. Right panel : isotype control.
Sections were stained using an automated system DAKO Autostainer Plus , at room temperature. Sections were rehydrated and antigen retrieved with the Dako 3-in-1 AR buffer citrate EDTA pH 9.0 in a DAKO PT Link. Slides were peroxidase blocked in 3% H2O2 in methanol for 10 minutes. They were then blocked with Dako Protein block for 10 minutes (containing casein 0.25% in PBS), then incubated with primary antibody for 20 minutes, and detected with Dako Envision Flex amplification kit for 30 minutes. Colorimetric detection was completed with diaminobenzidine for 5 minutes. Slides were counterstained with Haematoxylin and coverslipped under DePeX. Please note that for manual staining we recommend to optimize the primary antibody concentration and incubation time (overnight incubation), and amplification may be required.

Immunocytochemistry/ Immunofluorescence - Anti-TIMP3 antibody - Carboxyterminal end (AB39185)
  • ICC/IF

Unknown

Immunocytochemistry/ Immunofluorescence - Anti-TIMP3 antibody - Carboxyterminal end (AB39185)

ICC/IF image of ab39185 stained HeLa cells. The cells were 100% methanol fixed (5 min) and then incubated in 1%BSA / 10% normal goat serum / 0.3M glycine in 0.1% PBS-Tween for 1h to permeabilise the cells and block non-specific protein-protein interactions. The cells were then incubated with the antibody (ab39185, 1µg/ml) overnight at +4°C. The secondary antibody (green) was Alexa Fluor® 488 goat anti-rabbit IgG (H+L) used at a 1/1000 dilution for 1h. Alexa Fluor® 594 WGA was used to label plasma membranes (red) at a 1/200 dilution for 1h. DAPI was used to stain the cell nuclei (blue) at a concentration of 1.43µM.

Western blot - Anti-TIMP3 antibody - Carboxyterminal end (AB39185)
  • WB

Unknown

Western blot - Anti-TIMP3 antibody - Carboxyterminal end (AB39185)

All lanes:

Western blot - Anti-TIMP3 antibody - Carboxyterminal end (ab39185) at 1 µg/mL

All lanes:

Lung (Human) Tissue Lysate at 10 µg

Secondary

All lanes:

Western blot - Goat Anti-Rabbit IgG H&L (HRP) preadsorbed (<a href='/en-us/products/secondary-antibodies/goat-rabbit-igg-h-l-hrp-preadsorbed-ab97080'>ab97080</a>) at 1/5000 dilution

Predicted band size: 24 kDa

Observed band size: 100 kDa,24 kDa

true

Exposure time: 90s

Key facts

Host species

Rabbit

Clonality

Polyclonal

Isotype

IgG

Carrier free

No

Reacts with

Human

Applications

WB, IHC-P, ICC/IF

applications

Immunogen

Synthetic Peptide within Human TIMP3. The exact immunogen used to generate this antibody is proprietary information.

P35625

Specificity

This antibody recognizes both the glycosylated and unglycosylated forms of TIMP3, and works against native or reduced TIMP3. It does not cross react with the other TIMP family members (TIMP1, TIMP2, TIMP4).

Reactivity data

{ "title": "Reactivity Data", "filters": { "stats": ["", "Species", "Dilution Info", "Notes"], "tabs": { "all-applications": {"fullname" : "All Applications", "shortname": "All Applications"}, "WB" : {"fullname" : "Western blot", "shortname":"WB"}, "IHCP" : {"fullname" : "Immunohistochemistry (Formalin/PFA-fixed paraffin-embedded sections)", "shortname":"IHC-P"}, "ICCIF" : {"fullname" : "Immunocytochemistry/ Immunofluorescence", "shortname":"ICC/IF"} }, "product-promise": { "all": "all", "testedAndGuaranteed": "tested", "guaranteed": "expected", "predicted": "predicted", "notRecommended": "not-recommended" } }, "values": { "Human": { "WB-species-checked": "testedAndGuaranteed", "WB-species-dilution-info": "1/1000 - 1/5000", "WB-species-notes": "<p>Used under non reducing conditions.</p>", "IHCP-species-checked": "testedAndGuaranteed", "IHCP-species-dilution-info": "", "IHCP-species-notes": "<p></p>", "ICCIF-species-checked": "testedAndGuaranteed", "ICCIF-species-dilution-info": "1 µg/mL", "ICCIF-species-notes": "<p></p>" } } }

Properties and storage information

Form
Liquid
Purification technique
Affinity purification Immunogen
Storage buffer
Preservative: 0.05% Sodium azide Constituents: 50% Glycerol (glycerin, glycerine)
Shipped at conditions
Blue Ice
Appropriate short-term storage duration
1-2 weeks
Appropriate short-term storage conditions
+4°C
Appropriate long-term storage conditions
-20°C
Aliquoting information
Upon delivery aliquot

Supplementary information

This supplementary information is collated from multiple sources and compiled automatically.

Tissue inhibitor of metalloproteinases 3 (TIMP3) is widely recognized for its role in inhibiting the activity of matrix metalloproteinases (MMPs). It has an approximate mass of 24 kDa and is often referred to by its alternate name MIG. TIMP3 is expressed in various tissues especially those involved in extracellular matrix composition such as the kidney and lungs. Its expression helps maintain the balance between matrix deposition and degradation which is critical for normal tissue homeostasis.
Biological function summary

The function of TIMP3 extends beyond mere inhibition of MMPs; it is also involved in regulating angiogenesis and apoptosis. TIMP3 forms complexes with extracellular matrix components acting as an anchor that modulates cell-matrix interactions. This capacity to bind to matrix elements enhances its inhibitory activity against proteases making it an important regulator of extracellular matrix integrity.

Pathways

TIMP3 plays significant roles in extracellular matrix remodeling and the inflammatory response. It participates in pathways involving structural organization and signaling mediation such as the NF-kB signaling cascade. TIMP3 regulates proteins like TNF-alpha and MMPs which are central to these pathways balancing inflammatory responses and tissue remodeling processes.

The imbalance of TIMP3 activity has been linked to chronic obstructive pulmonary disease (COPD) and age-related macular degeneration (AMD). In COPD impaired regulation of ECM turnover by TIMP3 leads to destructive lung tissue remodeling. In AMD the regulation of angiogenesis and degradation of ECM around the retina by TIMP3 is disturbed influencing disease progression. Its interaction with proteins such as VEGF is critical in these pathological contexts where altered TIMP3 expression or function can exacerbate disease states.

Product protocols

For this product, it's our understanding that no specific protocols are required. You can visit:

Target data

Complexes with metalloproteinases (such as collagenases) and irreversibly inactivates them by binding to their catalytic zinc cofactor. May form part of a tissue-specific acute response to remodeling stimuli. Known to act on MMP-1, MMP-2, MMP-3, MMP-7, MMP-9, MMP-13, MMP-14 and MMP-15.
See full target information TIMP3

Publications (4)

Recent publications for all applications. Explore the full list and refine your search

Experimental and therapeutic medicine 20:246 PubMed33178344

2020

Long non-coding RNA RPSAP52 upregulates Timp3 by serving as the endogenous sponge of microRNA-365 in diabetic retinopathy.

Applications

Unspecified application

Species

Unspecified reactive species

Tongtong Niu,Yan An,Tingting Lv,Dongning Liu

Journal of neurosurgery. Pediatrics 18:396-407 PubMed27314542

2016

Using urinary bFGF and TIMP3 levels to predict the presence of juvenile pilocytic astrocytoma and establish a distinct biomarker signature.

Applications

Unspecified application

Species

Unspecified reactive species

Katie Pricola Fehnel,Micah Duggins-Warf,David Zurakowski,Maxwell McKee-Proctor,Rajarshi Majumder,Michael Raber,Xuezhe Han,Edward R Smith

EMBO molecular medicine 5:441-55 PubMed23401241

2013

Loss of TIMP3 underlies diabetic nephropathy via FoxO1/STAT1 interplay.

Applications

Unspecified application

Species

Mouse

Loredana Fiorentino,Michele Cavalera,Stefano Menini,Valentina Marchetti,Maria Mavilio,Marta Fabrizi,Francesca Conserva,Viviana Casagrande,Rossella Menghini,Paola Pontrelli,Ivan Arisi,Mara D'Onofrio,Davide Lauro,Rama Khokha,Domenico Accili,Giuseppe Pugliese,Loreto Gesualdo,Renato Lauro,Massimo Federici

The American journal of pathology 174:2129-36 PubMed19389930

2009

Disruption of interleukin-1 signaling improves the quality of wound healing.

Applications

WB

Species

Mouse

Alan A Thomay,Jean M Daley,Edmond Sabo,Patrick J Worth,Leslie J Shelton,Mark W Harty,Jonathan S Reichner,Jorge E Albina
View all publications

Product promise

We are committed to supporting your work with high-quality reagents, and we're here for you every step of the way. In the unlikely event that one of our products does not perform as expected, you're protected by our Product Promise.
For full details, please see our Terms & Conditions

Please note: All products are 'FOR RESEARCH USE ONLY. NOT FOR USE IN DIAGNOSTIC OR THERAPEUTIC PROCEDURES'.

For licensing inquiries, please contact partnerships@abcam.com