JavaScript is disabled in your browser. Please enable JavaScript to view this website.
AB325141

Anti-TIMP3 antibody [EPR30560-53]

Be the first to review this product! Submit a review

|

(0 Publication)

Rabbit Recombinant Monoclonal TIMP3 antibody. Suitable for WB and reacts with Mouse, Rat samples.

View Alternative Names

Sun, Timp-3, Metalloproteinase inhibitor 3, Tissue inhibitor of metalloproteinases 3, TIMP-3

3 Images
Western blot - Anti-TIMP3 antibody [EPR30560-53] (AB325141)
  • WB

Supplier Data

Western blot - Anti-TIMP3 antibody [EPR30560-53] (AB325141)

Blocking and diluting buffer and concentration : 5% NFDM/TBST.

In Western blot, Anti-GAPDH antibody [EPR16891] - Loading Control (ab181602) staining at 1/200000 dilution.

All lanes:

Western blot - Anti-TIMP3 antibody [EPR30560-53] (ab325141) at 1/1000 dilution

Lane 1:

NIH/3T3 (mouse embryonic fibroblast) transfected with scrambled siRNA control whole cell lysate at 20 µg

Lane 2:

NIH/3T3 transfected with siRNA specifically targeting TIMP3 whole cell lysate at 20 µg

Secondary

All lanes:

Western blot - Goat Anti-Rabbit IgG H&L (HRP) (<a href='/en-us/products/secondary-antibodies/goat-rabbit-igg-h-l-hrp-ab97051'>ab97051</a>) at 1/100000 dilution

Observed band size: 24 kDa,36 kDa

false

Exposure time: 180s

Western blot - Anti-TIMP3 antibody [EPR30560-53] (AB325141)
  • WB

Supplier Data

Western blot - Anti-TIMP3 antibody [EPR30560-53] (AB325141)

Blocking and diluting buffer and concentration : 5% NFDM/TBST.

Low expression : liver(PMID : 8174111), brain(PMID : 37095886)

The expression profile/ molecular weight observed is consistent with what has been described in the literature(PMID : 37095886).

In Western blot, Anti-GAPDH antibody [EPR16891] - Loading Control (ab181602) staining at 1/200000 dilution.

All lanes:

Western blot - Anti-TIMP3 antibody [EPR30560-53] (ab325141) at 1/1000 dilution

Lane 1:

Mouse kidney tissue lysate at 80 µg

Lane 2:

Mouse liver tissue lysate at 80 µg

Lane 3:

Mouse lung tissue lysate at 80 µg

Lane 4:

Mouse brain tissue lysate at 80 µg

Secondary

All lanes:

Goat Anti-Rabbit IgG (HRP) with minimal cross-reactivity with human IgG at 1/2000 dilution

Observed band size: 20 kDa,24 kDa,36 kDa

false

Exposure time: 3s

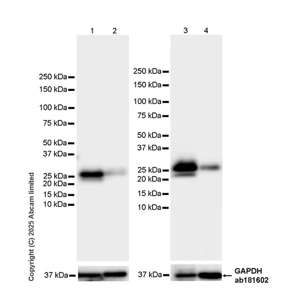
Western blot - Anti-TIMP3 antibody [EPR30560-53] (AB325141)
  • WB

Supplier Data

Western blot - Anti-TIMP3 antibody [EPR30560-53] (AB325141)

Blocking and diluting buffer and concentration : 5% NFDM/TBST.

Low expression : liver(PMID : 8174111)

The expression profile/ molecular weight observed is consistent with what has been described in the literature(PMID : 37095886).

In Western blot, Anti-GAPDH antibody [EPR16891] - Loading Control (ab181602) staining at 1/200000 dilution.

All lanes:

Western blot - Anti-TIMP3 antibody [EPR30560-53] (ab325141) at 1/1000 dilution

Lane 1:

Rat lung tissue lysate at 80 µg

Lane 2:

Rat placenta tissue lysate at 80 µg

Lane 3:

Rat kidney tissue lysate at 80 µg

Lane 4:

Rat liver tissue lysate at 80 µg

Secondary

All lanes:

Goat Anti-Rabbit IgG (HRP) with minimal cross-reactivity with human IgG at 1/2000 dilution

Observed band size: 20 kDa,24 kDa,36 kDa

false

Exposure time: 3s

Key facts

Host species

Rabbit

Clonality

Monoclonal

Clone number

EPR30560-53

Isotype

IgG

Carrier free

No

Reacts with

Mouse, Rat

Applications

WB

applications

Immunogen

The exact immunogen used to generate this antibody is proprietary information.

Reactivity data

{ "title": "Reactivity Data", "filters": { "stats": ["", "Species", "Dilution Info", "Notes"], "tabs": { "all-applications": {"fullname" : "All Applications", "shortname": "All Applications"}, "WB" : {"fullname" : "Western blot", "shortname":"WB"}, "IHCFr" : {"fullname" : "Immunohistochemistry (Frozen sections)", "shortname":"IHC-Fr"}, "IHCP" : {"fullname" : "Immunohistochemistry (Formalin/PFA-fixed paraffin-embedded sections)", "shortname":"IHC-P"} }, "product-promise": { "all": "all", "testedAndGuaranteed": "tested", "guaranteed": "expected", "predicted": "predicted", "notRecommended": "not-recommended" } }, "values": { "Human": { "WB-species-checked": "notRecommended", "WB-species-dilution-info": "", "WB-species-notes": "", "IHCFr-species-checked": "notRecommended", "IHCFr-species-dilution-info": "", "IHCFr-species-notes": "", "IHCP-species-checked": "notRecommended", "IHCP-species-dilution-info": "", "IHCP-species-notes": "<p></p>" }, "Mouse": { "WB-species-checked": "testedAndGuaranteed", "WB-species-dilution-info": "1/1000", "WB-species-notes": "<p></p>", "IHCFr-species-checked": "notRecommended", "IHCFr-species-dilution-info": "", "IHCFr-species-notes": "<p></p>", "IHCP-species-checked": "notRecommended", "IHCP-species-dilution-info": "", "IHCP-species-notes": "<p></p>" }, "Rat": { "WB-species-checked": "testedAndGuaranteed", "WB-species-dilution-info": "1/1000", "WB-species-notes": "<p></p>", "IHCFr-species-checked": "notRecommended", "IHCFr-species-dilution-info": "", "IHCFr-species-notes": "<p></p>", "IHCP-species-checked": "notRecommended", "IHCP-species-dilution-info": "", "IHCP-species-notes": "<p></p>" } } }

Product details

Patented technology
Our RabMAb® technology is a patented hybridoma-based technology for making rabbit monoclonal antibodies. For details on our patents, please refer to RabMAb® patents.

What are the advantages of a recombinant monoclonal antibody?
This product is a recombinant monoclonal antibody, which offers several advantages including:

  • - High batch-to-batch consistency and reproducibility
  • - Improved sensitivity and specificity
  • - Long-term security of supply
  • - Animal-free batch production

For more information, read more on recombinant antibodies.

Properties and storage information

Form
Liquid
Purification technique
Affinity purification Protein A
Storage buffer
pH: 7.2 - 7.4 Preservative: 0.01% Sodium azide Constituents: PBS, 40% Glycerol (glycerin, glycerine), 0.05% BSA
Shipped at conditions
Blue Ice
Appropriate short-term storage duration
1-2 weeks
Appropriate short-term storage conditions
+4°C
Appropriate long-term storage conditions
-20°C
Aliquoting information
Upon delivery aliquot
Storage information
Avoid freeze / thaw cycle

Product protocols

For this product, it's our understanding that no specific protocols are required. You can visit:

Target data

Mediates a variety of processes including matrix regulation and turnover, inflammation, and angiogenesis, through reversible inhibition of zinc protease superfamily enzymes, primarily matrix metalloproteinases (MMPs) (PubMed : 15322543, PubMed : 21282576). Regulates extracellular matrix (ECM) remodeling through inhibition of matrix metalloproteinases (MMP) including MMP-1, MMP-2, MMP-3, MMP-7, MMP-9, MMP-13, MMP-14 and MMP-15. Additionally, modulates the processing of amyloid precursor protein (APP) and apolipoprotein E receptor ApoER2 by inhibiting two alpha-secretases ADAM10 and ADAM17. Functions as a tumor suppressor and a potent inhibitor of angiogenesis. Exerts its anti-angiogenic effect by directly interacting with vascular endothelial growth factor (VEGF) receptor-2/KDR, preventing its binding to the VEGFA ligand. Selectively induces apoptosis in angiogenic endothelial cells through a caspase-independent cell death pathway. Mechanistically, inhibits matrix-induced focal adhesion kinase PTK2 tyrosine phosphorylation and association with paxillin/PXN and disrupts the incorporation of ITGB3, PTK2 and PXN into focal adhesion contacts on the matrix.
See full target information Timp3

Product promise

We are committed to supporting your work with high-quality reagents, and we're here for you every step of the way. In the unlikely event that one of our products does not perform as expected, you're protected by our Product Promise.
For full details, please see our Terms & Conditions

Please note: All products are 'FOR RESEARCH USE ONLY. NOT FOR USE IN DIAGNOSTIC OR THERAPEUTIC PROCEDURES'.

For licensing inquiries, please contact partnerships@abcam.com