JavaScript is disabled in your browser. Please enable JavaScript to view this website.
AB213403

Anti-TIP-1 antibody [EPR7900(2)] - BSA and Azide free

Be the first to review this product! Submit a review

|

(1 Publication)

Rabbit Recombinant Monoclonal TIP-1 antibody. Carrier free. Suitable for IHC-P, WB, Flow Cyt (Intra) and reacts with Human, Mouse, Rat samples. Cited in 1 publication.

View Alternative Names

TIP1, TAX1BP3, Tax1-binding protein 3, Glutaminase-interacting protein 3, Tax interaction protein 1, Tax-interacting protein 1, TIP-1

3 Images
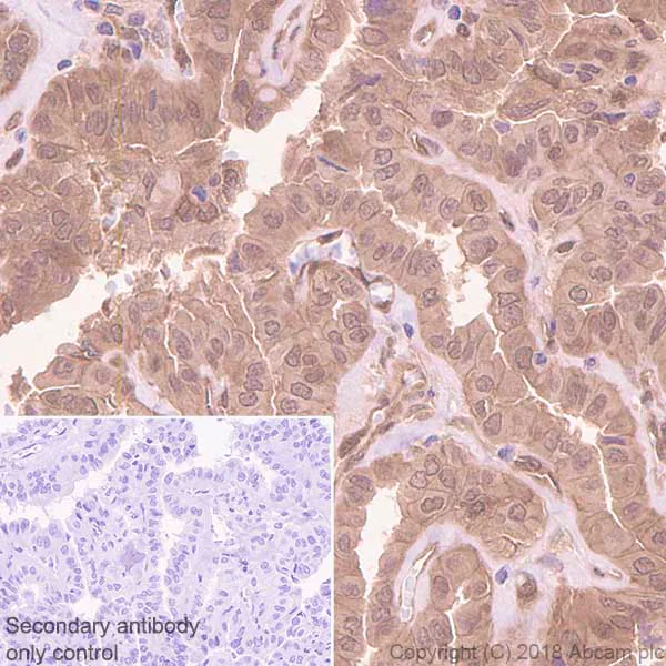
Immunohistochemistry (Formalin/PFA-fixed paraffin-embedded sections) - Anti-TIP-1 antibody [EPR7900(2)] - BSA and Azide free (AB213403)
  • IHC-P

Unknown

Immunohistochemistry (Formalin/PFA-fixed paraffin-embedded sections) - Anti-TIP-1 antibody [EPR7900(2)] - BSA and Azide free (AB213403)

Immunohistochemistry (Formalin/PFA-fixed paraffin-embedded sections) analysis of human thyroid carcinoma tissue sections labeling TIP-1 with Purified ab155992 at 1/1000 dilution (2.05 µg/mL). Perform heat mediated antigen retrieval using ab93684 (Tris/EDTA buffer, pH 9.0). ImmunoHistoProbe one step HRP Polymer (ready to use) was used as the secondary antibody. Negative control : PBS instead of the primary antibody. Hematoxylin was used as a counterstain.
This data was developed using the same antibody clone in a different buffer formulation containing PBS, BSA, glycerol, and sodium azide (ab155992).

Western blot - Anti-TIP-1 antibody [EPR7900(2)] - BSA and Azide free (AB213403)
  • WB

Unknown

Western blot - Anti-TIP-1 antibody [EPR7900(2)] - BSA and Azide free (AB213403)

This data was developed using the same antibody clone in a different buffer formulation containing PBS, BSA, glycerol, and sodium azide (ab155992).

All lanes:

Western blot - Anti-TIP-1 antibody [EPR7900(2)] (<a href='/en-us/products/primary-antibodies/tip-1-antibody-epr79002-ab155992'>ab155992</a>) at 1/1000 dilution

Lane 1:

A-673 (Human muscle Ewing's Sarcoma) whole cell lysate at 20 µg

Lane 2:

NIH/3T3 (Mouse embryonic fibroblast) whole cell lysate at 20 µg

Lane 3:

LLC1 (Mus musculus lung rounded-loosely attached or floating) whole cell lysate at 20 µg

Lane 4:

Mouse lung lysate at 20 µg

Lane 5:

Mouse heart lysate at 20 µg

Lane 6:

C6 (Rat glial tumor glial cell) whole cell lysate at 20 µg

Lane 7:

Rat lung lysate at 20 µg

Lane 8:

Rat heart tissue lysate at 20 µg

Secondary

All lanes:

Western blot - Goat Anti-Rabbit IgG H&L (HRP) (<a href='/en-us/products/secondary-antibodies/goat-rabbit-igg-h-l-hrp-ab97051'>ab97051</a>) at 1/20000 dilution

Predicted band size: 14 kDa

Observed band size: 14 kDa

false

Flow Cytometry (Intracellular) - Anti-TIP-1 antibody [EPR7900(2)] - BSA and Azide free (AB213403)
  • Flow Cyt (Intra)

Unknown

Flow Cytometry (Intracellular) - Anti-TIP-1 antibody [EPR7900(2)] - BSA and Azide free (AB213403)

Intracellular Flow Cytometry analysis of A-673 (Human muscle Ewing's Sarcoma) cells labeling TIP-1 with Purified ab155992 at 1/200 dilution (10 μg/mL) (Red). Cells were fixed with 4% Paraformaldehyde and permeabilised with 90% Methanol. A Goat anti rabbit IgG (Alexa Fluor® 488, ab150077) secondary antibody was used at 1/2000. Isotype control - Rabbit monoclonal IgG (Black). Unlabeled control - Cell without incubation with primary antibody and secondary antibody (Blue). This data was developed using the same antibody clone in a different buffer formulation containing PBS, BSA, glycerol, and sodium azide (ab155992).

Key facts

Host species

Rabbit

Clonality

Monoclonal

Clone number

EPR7900(2)

Isotype

IgG

Carrier free

Yes

Reacts with

Mouse, Rat, Human

Applications

Flow Cyt (Intra), WB, IHC-P

applications

Immunogen

The exact immunogen used to generate this antibody is proprietary information.

Specificity

The mouse and rat recommendation is based on the WB results. We do not guarantee IHC-P for mouse and rat.

Reactivity data

{ "title": "Reactivity Data", "filters": { "stats": ["", "Species", "Dilution Info", "Notes"], "tabs": { "all-applications": {"fullname" : "All Applications", "shortname": "All Applications"}, "IHCP" : {"fullname" : "Immunohistochemistry (Formalin/PFA-fixed paraffin-embedded sections)", "shortname":"IHC-P"}, "WB" : {"fullname" : "Western blot", "shortname":"WB"}, "ICCIF" : {"fullname" : "Immunocytochemistry/ Immunofluorescence", "shortname":"ICC/IF"}, "FlowCytIntra" : {"fullname" : "Flow Cytometry (Intracellular)", "shortname":"Flow Cyt (Intra)"} }, "product-promise": { "all": "all", "testedAndGuaranteed": "tested", "guaranteed": "expected", "predicted": "predicted", "notRecommended": "not-recommended" } }, "values": { "Human": { "IHCP-species-checked": "testedAndGuaranteed", "IHCP-species-dilution-info": "", "IHCP-species-notes": "<p>The mouse and rat recommendation is based on the WB results. We do not guarantee IHC-P for mouse and rat.</p>", "WB-species-checked": "testedAndGuaranteed", "WB-species-dilution-info": "", "WB-species-notes": "<p></p>", "ICCIF-species-checked": "notRecommended", "ICCIF-species-dilution-info": "", "ICCIF-species-notes": "<p></p>", "FlowCytIntra-species-checked": "testedAndGuaranteed", "FlowCytIntra-species-dilution-info": "", "FlowCytIntra-species-notes": "<p><a href='/en-us/products/primary-antibodies/rabbit-igg-monoclonal-epr25a-isotype-control-low-endotoxin-azide-free-ab199376'>ab199376</a> - Rabbit monoclonal IgG, is suitable for use as an isotype control with this antibody.</p>" }, "Mouse": { "IHCP-species-checked": "guaranteed", "IHCP-species-dilution-info": "", "IHCP-species-notes": "", "WB-species-checked": "testedAndGuaranteed", "WB-species-dilution-info": "", "WB-species-notes": "<p></p>", "ICCIF-species-checked": "notRecommended", "ICCIF-species-dilution-info": "", "ICCIF-species-notes": "<p></p>", "FlowCytIntra-species-checked": "guaranteed", "FlowCytIntra-species-dilution-info": "", "FlowCytIntra-species-notes": "" }, "Rat": { "IHCP-species-checked": "guaranteed", "IHCP-species-dilution-info": "", "IHCP-species-notes": "", "WB-species-checked": "testedAndGuaranteed", "WB-species-dilution-info": "", "WB-species-notes": "<p></p>", "ICCIF-species-checked": "notRecommended", "ICCIF-species-dilution-info": "", "ICCIF-species-notes": "<p></p>", "FlowCytIntra-species-checked": "guaranteed", "FlowCytIntra-species-dilution-info": "", "FlowCytIntra-species-notes": "" } } }

Product details

ab213403 is the carrier-free version of ab155992.

Patented technology
Our RabMAb® technology is a patented hybridoma-based technology for making rabbit monoclonal antibodies. For details on our patents, please refer to RabMAb® patents.

What are the advantages of a recombinant monoclonal antibody?
This product is a recombinant monoclonal antibody, which offers several advantages including:

  • - High batch-to-batch consistency and reproducibility
  • - Improved sensitivity and specificity
  • - Long-term security of supply
  • - Animal-free batch production

For more information, read more on recombinant antibodies.

Conjugation ready
Our carrier-free antibodies are typically supplied in a PBS-only formulation, purified and free of BSA, sodium azide and glycerol. This conjugation-ready format is designed for use with fluorochromes, metal isotopes, oligonucleotides, and enzymes, which makes them ideal for antibody labelling, functional and cell-based assays, flow-based assays (e.g. mass cytometry) and Multiplex Imaging applications.

Use our conjugation kits for antibody conjugates that are ready-to-use in as little as 20 minutes with 1 minute hands-on-time and 100% antibody recovery: available for fluorescent dyes, HRP, biotin and gold.

Compatibility
This product is compatible with the Maxpar® Antibody Labeling Kit from Fluidigm, without the need for antibody preparation. Maxpar® is a trademark of Fluidigm Canada Inc.

Properties and storage information

Form
Liquid
Purification technique
Affinity purification Protein A
Storage buffer
pH: 7.2 - 7.4 Constituents: PBS
Shipped at conditions
Blue Ice
Appropriate short-term storage conditions
+4°C
Appropriate long-term storage conditions
+4°C
Storage information
Do Not Freeze

Supplementary information

This supplementary information is collated from multiple sources and compiled automatically.

TIP-1 also known as Tax-interacting protein-1 or glutaminase-interacting protein (GIP) is a small protein with a mass of approximately 14.5 kDa. It functions mechanically by binding to PDZ domains found in a wide range of cellular proteins. TIP-1 expression occurs in various tissues with notable presence in the brain liver and kidney. Its ability to interact with PDZ domain-containing proteins plays an important role in cellular maintenance and signaling.
Biological function summary

TIP-1 functions as a regulator of cellular signaling pathways through its interaction with PDZ-domain proteins. It does not typically form part of a larger protein complex but rather acts as an independent modulator. TIP-1 influences cellular signaling by affecting the spatial arrangement of proteins in cells thereby impacting signal transduction mechanisms. This regulation can affect various biological processes including cell proliferation and apoptosis.

Pathways

TIP-1 plays a role in the Wnt signaling pathway where it interacts with proteins such as Dishevelled which is important for transducing Wnt signals. TIP-1 also has implications in the glutamate metabolic pathway by interacting with proteins like glutaminase. These pathways are essential for cellular growth processes and energy metabolism regulation showing the interconnectivity of TIP-1 with key cellular functions.

TIP-1 implicates itself in cancer and neurological disorders. Overexpression of TIP-1 has been associated with certain types of cancer where it may interact with proteins like β-catenin to impact cell proliferation and migration. In neurological disorders dysfunction in TIP-1's interactions within signaling pathways may contribute to diseases such as schizophrenia closely linked with disturbed glutamate signaling and TIP-1's PDZ domain interactions.

Product protocols

For this product, it's our understanding that no specific protocols are required. You can visit:

Target data

May regulate a number of protein-protein interactions by competing for PDZ domain binding sites. Binds CTNNB1 and may thereby act as an inhibitor of the Wnt signaling pathway. Competes with LIN7A for KCNJ4 binding, and thereby promotes KCNJ4 internalization. May play a role in the Rho signaling pathway. May play a role in activation of CDC42 by the viral protein HPV16 E6.
See full target information TAX1BP3

Publications (1)

Recent publications for all applications. Explore the full list and refine your search

Materials today. Bio 35:102272 PubMed40994624

2025

An injectable phosphocreatine-grafted hydrogel incorporating hierarchically structured teriparatide/SrZnP-functionalized Zn-Cu particles for osteogenesis-angiogenesis coupling and osteoporotic bone regeneration.

Applications

Unspecified application

Species

Unspecified reactive species

Haotian Qin,Zhiping Guan,Yuanhao Wang,Jin Zhao,Zhenhai Xie,Huaiyu Li,Chen Zhang,Weibei Sheng,Fei Yu,Jian Weng,Yingqi Chen,Deli Wang,Hui Zeng,Junyu Qian
View all publications

Product promise

We are committed to supporting your work with high-quality reagents, and we're here for you every step of the way. In the unlikely event that one of our products does not perform as expected, you're protected by our Product Promise.
For full details, please see our Terms & Conditions

Please note: All products are 'FOR RESEARCH USE ONLY. NOT FOR USE IN DIAGNOSTIC OR THERAPEUTIC PROCEDURES'.

For licensing inquiries, please contact partnerships@abcam.com