JavaScript is disabled in your browser. Please enable JavaScript to view this website.
AB229121

Anti-TIP150 antibody

Be the first to review this product! Submit a review

|

(1 Publication)

Rabbit Polyclonal TIP150 antibody. Suitable for WB, IHC-P and reacts with Human, Rat samples. Cited in 1 publication. Immunogen corresponding to Recombinant Fragment Protein within Human MTUS2.

View Alternative Names

CAZIP, KIAA0774, TIP150, MTUS2, Microtubule-associated tumor suppressor candidate 2, Cardiac zipper protein, Microtubule plus-end tracking protein TIP150, Tracking protein of 150 kDa

2 Images
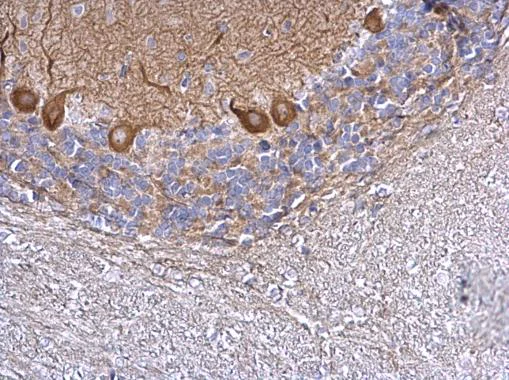
Immunohistochemistry (Formalin/PFA-fixed paraffin-embedded sections) - Anti-TIP150 antibody (AB229121)
  • IHC-P

Supplier Data

Immunohistochemistry (Formalin/PFA-fixed paraffin-embedded sections) - Anti-TIP150 antibody (AB229121)

Paraffin-embedded rat hind brain tissue stained for TIP150 with ab229121 at 1/500 dilution in immunohistochemical analysis.

Western blot - Anti-TIP150 antibody (AB229121)
  • WB

Supplier Data

Western blot - Anti-TIP150 antibody (AB229121)

5% SDS-PAGE gel.

All lanes:

Western blot - Anti-TIP150 antibody (ab229121) at 1/1000 dilution

Lane 1:

U-87 MG (human glioblastoma-astrocytoma epithelial cell line) whole cell extract at 30 µg

Lane 2:

SK-N-SH (human neuroblastoma cell line) whole cell extract at 30 µg

Lane 3:

IMR32 whole cell extract at 30 µg

Lane 4:

SK-N-AS whole cell extract at 30 µg

Predicted band size: 150 kDa

false

Key facts

Host species

Rabbit

Clonality

Polyclonal

Isotype

IgG

Carrier free

No

Reacts with

Rat, Human

Applications

IHC-P, WB

applications

Immunogen

Recombinant Fragment Protein within Human MTUS2. The exact immunogen used to generate this antibody is proprietary information.

Q5JR59

Reactivity data

{ "title": "Reactivity Data", "filters": { "stats": ["", "Species", "Dilution Info", "Notes"], "tabs": { "all-applications": {"fullname" : "All Applications", "shortname": "All Applications"}, "WB" : {"fullname" : "Western blot", "shortname":"WB"}, "IHCP" : {"fullname" : "Immunohistochemistry (Formalin/PFA-fixed paraffin-embedded sections)", "shortname":"IHC-P"} }, "product-promise": { "all": "all", "testedAndGuaranteed": "tested", "guaranteed": "expected", "predicted": "predicted", "notRecommended": "not-recommended" } }, "values": { "Human": { "WB-species-checked": "testedAndGuaranteed", "WB-species-dilution-info": "1/500 - 1/3000", "WB-species-notes": "<p></p>", "IHCP-species-checked": "guaranteed", "IHCP-species-dilution-info": "", "IHCP-species-notes": "" }, "Mouse": { "WB-species-checked": "predicted", "WB-species-dilution-info": "", "WB-species-notes": "", "IHCP-species-checked": "predicted", "IHCP-species-dilution-info": "", "IHCP-species-notes": "" }, "Rat": { "WB-species-checked": "guaranteed", "WB-species-dilution-info": "", "WB-species-notes": "", "IHCP-species-checked": "testedAndGuaranteed", "IHCP-species-dilution-info": "1/100 - 1/1000", "IHCP-species-notes": "<p></p>" }, "Cow": { "WB-species-checked": "predicted", "WB-species-dilution-info": "", "WB-species-notes": "", "IHCP-species-checked": "predicted", "IHCP-species-dilution-info": "", "IHCP-species-notes": "" } } }

Properties and storage information

Form
Liquid
Purification technique
Affinity purification Immunogen
Storage buffer
pH: 7 Preservative: 0.01% Thimerosal (merthiolate) Constituents: PBS, 20% Glycerol (glycerin, glycerine)
Shipped at conditions
Blue Ice
Appropriate short-term storage duration
1-2 weeks
Appropriate short-term storage conditions
+4°C
Appropriate long-term storage conditions
-20°C
Aliquoting information
Upon delivery aliquot
Storage information
Avoid freeze / thaw cycle

Supplementary information

This supplementary information is collated from multiple sources and compiled automatically.

TIP150 also known as TACC4 is a protein involved in the regulation of microtubule dynamics and centrosome function. TIP150 has an estimated molecular mass of around 150 kDa. Researchers find TIP150 mostly localized in the cytoplasm and nucleus within various types of cells including those in the brain and testis. This protein acts as an essential regulator of microtubule processes interacting directly with spindle apparatus components during cell division.
Biological function summary

TIP150 is a component of the mitotic spindle and contributes significantly to chromosome segregation and mitotic spindle stabilization. It forms part of the kinesin-13 associated protein complex where it helps control microtubule plus-end dynamics. As a result TIP150 supports the proper alignment and attachment of chromosomes to spindle microtubules during mitosis. Proper function is critical for accurate chromosome segregation which prevents aneuploidy.

Pathways

TIP150 plays an instrumental role in both the cell cycle and spindle assembly pathways. It associates with proteins such as KIF2C (also known as MCAK) a motor protein critical for microtubule depolymerization. This interaction is key to ensuring microtubule stability and proper mitotic spindle dynamics. Through these pathways TIP150 integrates into broader regulatory networks that sustain genomic stability during cell division.

TIP150 has connections to cancer and neurological disorders. Misregulation or mutation of TIP150 may contribute to tumorigenesis often linked with abnormal spindle function and chromosome missegregation. TIP150 also associates with KIF2C which when dysregulated similarly associates with cancer susceptibilities. Neurologically studies suggest TIP150 expression changes may be related to neuronal cell cycle re-entry a process implicated in neurodegenerative diseases. Such alterations in TIP150 regulation may lead to cellular events contributing to diseases like Alzheimer’s.

Product protocols

For this product, it's our understanding that no specific protocols are required. You can visit:

Target data

Binds microtubules. Together with MAPRE1 may target the microtubule depolymerase KIF2C to the plus-end of microtubules. May regulate the dynamics of microtubules at their growing distal tip.
See full target information MTUS2

Publications (1)

Recent publications for all applications. Explore the full list and refine your search

The Journal of clinical investigation 131: PubMed33630758

2021

Deficiency of macrophage PHACTR1 impairs efferocytosis and promotes atherosclerotic plaque necrosis.

Applications

Unspecified application

Species

Unspecified reactive species

Canan Kasikara,Maaike Schilperoort,Brennan Gerlach,Chenyi Xue,Xiaobo Wang,Ze Zheng,George Kuriakose,Bernhard Dorweiler,Hanrui Zhang,Gabrielle Fredman,Danish Saleheen,Muredach P Reilly,Ira Tabas
View all publications

Product promise

We are committed to supporting your work with high-quality reagents, and we're here for you every step of the way. In the unlikely event that one of our products does not perform as expected, you're protected by our Product Promise.
For full details, please see our Terms & Conditions

Please note: All products are 'FOR RESEARCH USE ONLY. NOT FOR USE IN DIAGNOSTIC OR THERAPEUTIC PROCEDURES'.

For licensing inquiries, please contact partnerships@abcam.com