JavaScript is disabled in your browser. Please enable JavaScript to view this website.
AB177961

Anti-TIP30 antibody [EPR13179]

Be the first to review this product! Submit a review

|

(4 Publications)

Rabbit Recombinant Monoclonal TIP30 antibody. Suitable for IHC-P, IP, WB, ICC/IF, Flow Cyt (Intra) and reacts with Human, Mouse, Rat samples. Cited in 4 publications.

View Alternative Names

CC3, TIP30, HTATIP2, Oxidoreductase HTATIP2, 30 kDa HIV-1 TAT-interacting protein, HIV-1 TAT-interactive protein 2

6 Images
Immunohistochemistry (Formalin/PFA-fixed paraffin-embedded sections) - Anti-TIP30 antibody [EPR13179] (AB177961)
  • IHC-P

Supplier Data

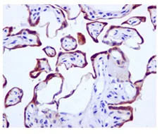
Immunohistochemistry (Formalin/PFA-fixed paraffin-embedded sections) - Anti-TIP30 antibody [EPR13179] (AB177961)

Immunohistochemical analysis of Human placenta tissue labeling TIP30 using ab177961 at 1/50 dilution.

Perform heat mediated antigen retrieval via the pressure cooker method before commencing with IHC staining protocol.

Immunocytochemistry/ Immunofluorescence - Anti-TIP30 antibody [EPR13179] (AB177961)
  • ICC/IF

Supplier Data

Immunocytochemistry/ Immunofluorescence - Anti-TIP30 antibody [EPR13179] (AB177961)

Immunofluorescence analysis of A431 cells labeling TIP30 using ab177961 at 1/50 dilution.

Flow Cytometry (Intracellular) - Anti-TIP30 antibody [EPR13179] (AB177961)
  • Flow Cyt (Intra)

Supplier Data

Flow Cytometry (Intracellular) - Anti-TIP30 antibody [EPR13179] (AB177961)

Intracellular flow cytometric analysis of permeabilized HeLa cells labeling TIP30 using ab177961 at 1/10 dilution (red) or a rabbit IgG (negative) (green).

Immunohistochemistry (Formalin/PFA-fixed paraffin-embedded sections) - Anti-TIP30 antibody [EPR13179] (AB177961)
  • IHC-P

Supplier Data

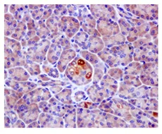
Immunohistochemistry (Formalin/PFA-fixed paraffin-embedded sections) - Anti-TIP30 antibody [EPR13179] (AB177961)

Immunohistochemical analysis of Human pancreas tissue labeling TIP30 using ab177961 at 1/50 dilution.

Perform heat mediated antigen retrieval via the pressure cooker method before commencing with IHC staining protocol.

Western blot - Anti-TIP30 antibody [EPR13179] (AB177961)
  • WB

Supplier Data

Western blot - Anti-TIP30 antibody [EPR13179] (AB177961)

All lanes:

Western blot - Anti-TIP30 antibody [EPR13179] (ab177961) at 1/1000 dilution

Lane 1:

HeLa cell lysate at 10 µg

Lane 2:

A431 cell lysate at 10 µg

Lane 3:

Fetal liver lysate at 10 µg

Predicted band size: 27 kDa

false

Immunoprecipitation - Anti-TIP30 antibody [EPR13179] (AB177961)
  • IP

Supplier Data

Immunoprecipitation - Anti-TIP30 antibody [EPR13179] (AB177961)

Western blot analysis on immunoprecipitation pellet from (1) HeLa cell lysate or (2) 1XPBS (negative control) using ab177961 at 1/10 dilution to immunoprecipitate TIP30, and HRP-conjugated anti-rabbit IgG preferentially detecting the non-reduced form of rabbit IgG.

All lanes:

Immunoprecipitation - Anti-TIP30 antibody [EPR13179] (ab177961)

Predicted band size: 27 kDa

false

Key facts

Host species

Rabbit

Clonality

Monoclonal

Clone number

EPR13179

Isotype

IgG

Carrier free

No

Reacts with

Human, Rat, Mouse

Applications

Flow Cyt (Intra), WB, ICC/IF, IHC-P, IP

applications

Immunogen

The exact immunogen used to generate this antibody is proprietary information.

Reactivity data

{ "title": "Reactivity Data", "filters": { "stats": ["", "Species", "Dilution Info", "Notes"], "tabs": { "all-applications": {"fullname" : "All Applications", "shortname": "All Applications"}, "IHCP" : {"fullname" : "Immunohistochemistry (Formalin/PFA-fixed paraffin-embedded sections)", "shortname":"IHC-P"}, "IP" : {"fullname" : "Immunoprecipitation", "shortname":"IP"}, "WB" : {"fullname" : "Western blot", "shortname":"WB"}, "ICCIF" : {"fullname" : "Immunocytochemistry/ Immunofluorescence", "shortname":"ICC/IF"}, "FlowCytIntra" : {"fullname" : "Flow Cytometry (Intracellular)", "shortname":"Flow Cyt (Intra)"} }, "product-promise": { "all": "all", "testedAndGuaranteed": "tested", "guaranteed": "expected", "predicted": "predicted", "notRecommended": "not-recommended" } }, "values": { "Human": { "IHCP-species-checked": "testedAndGuaranteed", "IHCP-species-dilution-info": "1/50 - 1/100", "IHCP-species-notes": "<p></p>", "IP-species-checked": "testedAndGuaranteed", "IP-species-dilution-info": "1/10 - 1/100", "IP-species-notes": "<p></p>", "WB-species-checked": "testedAndGuaranteed", "WB-species-dilution-info": "1/1000 - 1/10000", "WB-species-notes": "<p></p>", "ICCIF-species-checked": "testedAndGuaranteed", "ICCIF-species-dilution-info": "1/50 - 1/100", "ICCIF-species-notes": "<p></p>", "FlowCytIntra-species-checked": "testedAndGuaranteed", "FlowCytIntra-species-dilution-info": "1/10 - 1/100", "FlowCytIntra-species-notes": "<p><a href='/en-us/products/primary-antibodies/rabbit-igg-monoclonal-epr25a-isotype-control-ab172730'>ab172730</a> - Rabbit monoclonal IgG, is suitable for use as an isotype control with this antibody.</p>" }, "Mouse": { "IHCP-species-checked": "guaranteed", "IHCP-species-dilution-info": "1/50 - 1/100", "IHCP-species-notes": "<p></p>", "IP-species-checked": "guaranteed", "IP-species-dilution-info": "1/10 - 1/100", "IP-species-notes": "<p></p>", "WB-species-checked": "guaranteed", "WB-species-dilution-info": "1/1000 - 1/10000", "WB-species-notes": "<p></p>", "ICCIF-species-checked": "guaranteed", "ICCIF-species-dilution-info": "1/50 - 1/100", "ICCIF-species-notes": "<p></p>", "FlowCytIntra-species-checked": "guaranteed", "FlowCytIntra-species-dilution-info": "1/10 - 1/100", "FlowCytIntra-species-notes": "<p><a href='/en-us/products/primary-antibodies/rabbit-igg-monoclonal-epr25a-isotype-control-ab172730'>ab172730</a> - Rabbit monoclonal IgG, is suitable for use as an isotype control with this antibody.</p>" }, "Rat": { "IHCP-species-checked": "guaranteed", "IHCP-species-dilution-info": "1/50 - 1/100", "IHCP-species-notes": "<p></p>", "IP-species-checked": "guaranteed", "IP-species-dilution-info": "1/10 - 1/100", "IP-species-notes": "<p></p>", "WB-species-checked": "guaranteed", "WB-species-dilution-info": "1/1000 - 1/10000", "WB-species-notes": "<p></p>", "ICCIF-species-checked": "guaranteed", "ICCIF-species-dilution-info": "1/50 - 1/100", "ICCIF-species-notes": "<p></p>", "FlowCytIntra-species-checked": "guaranteed", "FlowCytIntra-species-dilution-info": "1/10 - 1/100", "FlowCytIntra-species-notes": "<p><a href='/en-us/products/primary-antibodies/rabbit-igg-monoclonal-epr25a-isotype-control-ab172730'>ab172730</a> - Rabbit monoclonal IgG, is suitable for use as an isotype control with this antibody.</p>" } } }

Product details

Patented technology
Our RabMAb® technology is a patented hybridoma-based technology for making rabbit monoclonal antibodies. For details on our patents, please refer to RabMAb® patents.

What are the advantages of a recombinant monoclonal antibody?
This product is a recombinant monoclonal antibody, which offers several advantages including:

  • - High batch-to-batch consistency and reproducibility
  • - Improved sensitivity and specificity
  • - Long-term security of supply
  • - Animal-free batch production

For more information, read more on recombinant antibodies.

Properties and storage information

Form
Liquid
Purification technique
Affinity purification Protein A
Storage buffer
pH: 7.2 - 7.4 Preservative: 0.01% Sodium azide Constituents: PBS, 40% Glycerol (glycerin, glycerine), 0.05% BSA
Shipped at conditions
Blue Ice
Appropriate short-term storage duration
1-2 weeks
Appropriate short-term storage conditions
+4°C
Appropriate long-term storage conditions
-20°C
Aliquoting information
Upon delivery aliquot
Storage information
Avoid freeze / thaw cycle

Supplementary information

This supplementary information is collated from multiple sources and compiled automatically.

TIP30 also known as HTATIP2 is a tumor suppressor protein that plays an important role in various cellular processes. It has a mass of approximately 30 kDa and is expressed in a range of human tissues including the liver lung and brain. TIP30 is an oxidoreductase and its activity involves the regulation of cellular responses to oxidative stress. It interacts with transcription factors and other proteins to modulate gene expression that is critical for cell growth and apoptosis.
Biological function summary

The TIP30 protein contributes to the regulation of gene transcription and the maintenance of cellular homeostasis. TIP30 is part of a complex that influences transcriptional activity by interacting with specific transcription factors. Its function suppresses oncogene activity and enhances the expression of genes that prevent tumor development. By controlling signaling pathways related to cell cycle and apoptosis TIP30 reinforces the protective mechanisms against cancer cell proliferation.

Pathways

TIP30 engages in important signaling pathways such as the PI3K/AKT pathway and the MAPK pathway where it acts to inhibit unwanted cell survival signals and tumorigenic processes. It interacts closely with proteins like AKT and ERK influencing their activity and ensuring appropriate responses to growth signals. TIP30 modulates cellular dynamics by regulating pathway fidelity which impacts cell survival proliferation and tumor suppression.

TIP30 levels are notably altered in certain cancer types such as hepatocellular carcinoma and breast cancer. These disorders correlate with its role in inhibiting tumor progression. Proteins such as c-MYC and ERBB2 often show varied expression in relation to TIP30 suggesting significant links in pathways leading to tumor growth. By investigating TIP30 involvement in these conditions researchers hope to identify potential therapeutic avenues that could restore its tumor suppressor function and curb cancer development.

Product protocols

For this product, it's our understanding that no specific protocols are required. You can visit:

Target data

Oxidoreductase required for tumor suppression. NADPH-bound form inhibits nuclear import by competing with nuclear import substrates for binding to a subset of nuclear transport receptors. May act as a redox sensor linked to transcription through regulation of nuclear import. Isoform 1 is a metastasis suppressor with proapoptotic as well as antiangiogenic properties. Isoform 2 has an antiapoptotic effect.
See full target information HTATIP2

Publications (4)

Recent publications for all applications. Explore the full list and refine your search

EMBO molecular medicine 11:e10018 PubMed31468715

2019

TIP30 counteracts cardiac hypertrophy and failure by inhibiting translational elongation.

Applications

Unspecified application

Species

Unspecified reactive species

Andrea Grund,Malgorzata Szaroszyk,Mortimer Korf-Klingebiel,Mona Malek Mohammadi,Felix A Trogisch,Ulrike Schrameck,Anna Gigina,Christopher Tiedje,Matthias Gaestel,Theresia Kraft,Jan Hegermann,Sandor Batkai,Thomas Thum,Andreas Perrot,Cris Dos Remedios,Eva Riechert,Mirko Völkers,Shirin Doroudgar,Andreas Jungmann,Ralf Bauer,Xiaoke Yin,Manuel Mayr,Kai C Wollert,Andreas Pich,Hua Xiao,Hugo A Katus,Johann Bauersachs,Oliver J Müller,Joerg Heineke

Journal of Cancer 10:1930-1940 PubMed31205552

2019

Long Non-Coding RNA NONHSAT076754 Promotes Invasion and Metastasis in Epithelial Ovarian Cancer.

Applications

Unspecified application

Species

Unspecified reactive species

Xiaojing Lin,Xiaoyan Tang,Tingting Zheng,Junjun Qiu,Keqin Hua

Medical science monitor : international medical jo 24:2225-2234 PubMed29654226

2018

Metformin Enhances the Effect of Regorafenib and Inhibits Recurrence and Metastasis of Hepatic Carcinoma After Liver Resection via Regulating Expression of Hypoxia Inducible Factors 2α (HIF-2α) and 30 kDa HIV Tat-Interacting Protein (TIP30).

Applications

Unspecified application

Species

Unspecified reactive species

Qing Yang,Xintao Guo,LingLi Yang

Journal of hematology & oncology 9:20 PubMed26957312

2016

Metformin sensitizes sorafenib to inhibit postoperative recurrence and metastasis of hepatocellular carcinoma in orthotopic mouse models.

Applications

WB

Species

Human

Abin You,Manqing Cao,Zhigui Guo,Bingfeng Zuo,Junrong Gao,Hongyuan Zhou,Huikai Li,Yunlong Cui,Feng Fang,Wei Zhang,Tianqiang Song,Qiang Li,Xiaolin Zhu,Haifang Yin,Huichuan Sun,Ti Zhang
View all publications

Product promise

We are committed to supporting your work with high-quality reagents, and we're here for you every step of the way. In the unlikely event that one of our products does not perform as expected, you're protected by our Product Promise.
For full details, please see our Terms & Conditions

Please note: All products are 'FOR RESEARCH USE ONLY. NOT FOR USE IN DIAGNOSTIC OR THERAPEUTIC PROCEDURES'.

For licensing inquiries, please contact partnerships@abcam.com